胶质母细胞瘤的瘤周脑区:预处理方法综述。

Polish journal of radiology Pub Date : 2024-10-11 eCollection Date: 2024-01-01 DOI:10.5114/pjr/192044
Anna Michalska-Foryszewska, Maciej Bujko, Agnieszka Kwiatkowska-Miernik, Katarzyna Ziemba, Katarzyna Sklinda, Jerzy Walecki, Bartosz Mruk
{"title":"胶质母细胞瘤的瘤周脑区:预处理方法综述。","authors":"Anna Michalska-Foryszewska, Maciej Bujko, Agnieszka Kwiatkowska-Miernik, Katarzyna Ziemba, Katarzyna Sklinda, Jerzy Walecki, Bartosz Mruk","doi":"10.5114/pjr/192044","DOIUrl":null,"url":null,"abstract":"<p><p>Glioblastomas are the most common and aggressive form of malignant primary brain tumors in adults. The standard treatment is surgical resection followed by radiotherapy and chemotherapy. Despite optimal treatment methods, the prognosis for patients remains poor. Preoperative determination of glioblastoma margins remains beneficial for the complete removal of the tumor mass. Radiotherapy is essential for post-surgery treatment, but radioresistance is a significant challenge contributing to high mortality rates. Advanced imaging technologies are used to analyze the changes in the peritumoral brain zone (PTZ). Consequently, they may lead to the development of novel therapeutic options, especially targeting the marginal parts of a tumor, which could improve the prognosis of glioblastoma patients. The clinical presentation of glioblastoma is heterogeneous and mostly depends on the location and size of a tumor. Glioblastomas are characterized by both intratumoral cellular heterogeneity and an extensive, diffuse infiltration into the normal tissue bordering a tumor called the PTZ. Neuroimaging techniques, such as diffusion-weighted imaging (DWI), diffusion tensor imaging (DTI), perfusion-weighted imaging (PWI), proton magnetic resonance spectroscopy (<sup>1</sup>H MRS), and chemical exchange saturation transfer (CEST) are useful methods in the evaluation of the tumor infiltration and thus the resection margin.</p>","PeriodicalId":94174,"journal":{"name":"Polish journal of radiology","volume":"89 ","pages":"e480-e487"},"PeriodicalIF":0.0000,"publicationDate":"2024-10-11","publicationTypes":"Journal Article","fieldsOfStudy":null,"isOpenAccess":false,"openAccessPdf":"https://www.ncbi.nlm.nih.gov/pmc/articles/PMC11538905/pdf/","citationCount":"0","resultStr":"{\"title\":\"The peritumoral brain zone in glioblastoma: a review of the pretreatment approach.\",\"authors\":\"Anna Michalska-Foryszewska, Maciej Bujko, Agnieszka Kwiatkowska-Miernik, Katarzyna Ziemba, Katarzyna Sklinda, Jerzy Walecki, Bartosz Mruk\",\"doi\":\"10.5114/pjr/192044\",\"DOIUrl\":null,\"url\":null,\"abstract\":\"<p><p>Glioblastomas are the most common and aggressive form of malignant primary brain tumors in adults. The standard treatment is surgical resection followed by radiotherapy and chemotherapy. Despite optimal treatment methods, the prognosis for patients remains poor. Preoperative determination of glioblastoma margins remains beneficial for the complete removal of the tumor mass. Radiotherapy is essential for post-surgery treatment, but radioresistance is a significant challenge contributing to high mortality rates. Advanced imaging technologies are used to analyze the changes in the peritumoral brain zone (PTZ). Consequently, they may lead to the development of novel therapeutic options, especially targeting the marginal parts of a tumor, which could improve the prognosis of glioblastoma patients. The clinical presentation of glioblastoma is heterogeneous and mostly depends on the location and size of a tumor. Glioblastomas are characterized by both intratumoral cellular heterogeneity and an extensive, diffuse infiltration into the normal tissue bordering a tumor called the PTZ. Neuroimaging techniques, such as diffusion-weighted imaging (DWI), diffusion tensor imaging (DTI), perfusion-weighted imaging (PWI), proton magnetic resonance spectroscopy (<sup>1</sup>H MRS), and chemical exchange saturation transfer (CEST) are useful methods in the evaluation of the tumor infiltration and thus the resection margin.</p>\",\"PeriodicalId\":94174,\"journal\":{\"name\":\"Polish journal of radiology\",\"volume\":\"89 \",\"pages\":\"e480-e487\"},\"PeriodicalIF\":0.0000,\"publicationDate\":\"2024-10-11\",\"publicationTypes\":\"Journal Article\",\"fieldsOfStudy\":null,\"isOpenAccess\":false,\"openAccessPdf\":\"https://www.ncbi.nlm.nih.gov/pmc/articles/PMC11538905/pdf/\",\"citationCount\":\"0\",\"resultStr\":null,\"platform\":\"Semanticscholar\",\"paperid\":null,\"PeriodicalName\":\"Polish journal of radiology\",\"FirstCategoryId\":\"1085\",\"ListUrlMain\":\"https://doi.org/10.5114/pjr/192044\",\"RegionNum\":0,\"RegionCategory\":null,\"ArticlePicture\":[],\"TitleCN\":null,\"AbstractTextCN\":null,\"PMCID\":null,\"EPubDate\":\"2024/1/1 0:00:00\",\"PubModel\":\"eCollection\",\"JCR\":\"\",\"JCRName\":\"\",\"Score\":null,\"Total\":0}","platform":"Semanticscholar","paperid":null,"PeriodicalName":"Polish journal of radiology","FirstCategoryId":"1085","ListUrlMain":"https://doi.org/10.5114/pjr/192044","RegionNum":0,"RegionCategory":null,"ArticlePicture":[],"TitleCN":null,"AbstractTextCN":null,"PMCID":null,"EPubDate":"2024/1/1 0:00:00","PubModel":"eCollection","JCR":"","JCRName":"","Score":null,"Total":0}
引用次数: 0

摘要

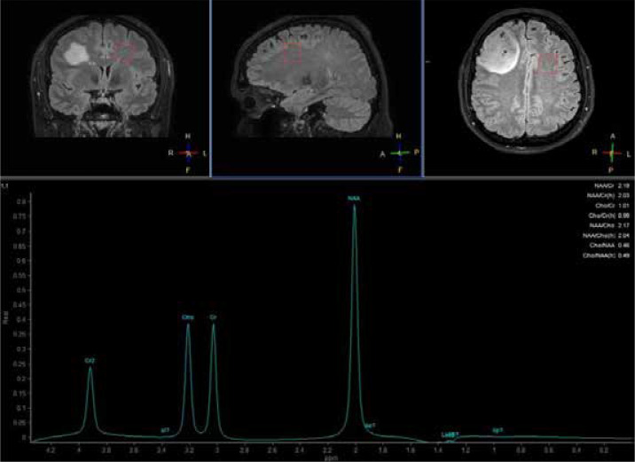
胶质母细胞瘤是成人恶性原发性脑肿瘤中最常见、最具侵袭性的一种。标准治疗方法是手术切除,然后进行放疗和化疗。尽管采用了最佳治疗方法,但患者的预后仍然很差。术前确定胶质母细胞瘤的边缘仍然有利于彻底切除肿瘤。放疗对术后治疗至关重要,但放射抗药性是导致高死亡率的一个重大挑战。先进的成像技术可用于分析瘤周脑区(PTZ)的变化。因此,这些技术可能会开发出新的治疗方案,尤其是针对肿瘤边缘部位的治疗方案,从而改善胶质母细胞瘤患者的预后。胶质母细胞瘤的临床表现多种多样,主要取决于肿瘤的位置和大小。胶质母细胞瘤的特点是瘤内细胞异质性和向肿瘤周围正常组织的广泛、弥漫性浸润(称为 PTZ)。神经成像技术,如弥散加权成像(DWI)、弥散张量成像(DTI)、灌注加权成像(PWI)、质子磁共振波谱(1H MRS)和化学交换饱和转移(CEST)是评估肿瘤浸润和切除边缘的有用方法。
本文章由计算机程序翻译,如有差异,请以英文原文为准。

The peritumoral brain zone in glioblastoma: a review of the pretreatment approach.

The peritumoral brain zone in glioblastoma: a review of the pretreatment approach.

The peritumoral brain zone in glioblastoma: a review of the pretreatment approach.

The peritumoral brain zone in glioblastoma: a review of the pretreatment approach.

Glioblastomas are the most common and aggressive form of malignant primary brain tumors in adults. The standard treatment is surgical resection followed by radiotherapy and chemotherapy. Despite optimal treatment methods, the prognosis for patients remains poor. Preoperative determination of glioblastoma margins remains beneficial for the complete removal of the tumor mass. Radiotherapy is essential for post-surgery treatment, but radioresistance is a significant challenge contributing to high mortality rates. Advanced imaging technologies are used to analyze the changes in the peritumoral brain zone (PTZ). Consequently, they may lead to the development of novel therapeutic options, especially targeting the marginal parts of a tumor, which could improve the prognosis of glioblastoma patients. The clinical presentation of glioblastoma is heterogeneous and mostly depends on the location and size of a tumor. Glioblastomas are characterized by both intratumoral cellular heterogeneity and an extensive, diffuse infiltration into the normal tissue bordering a tumor called the PTZ. Neuroimaging techniques, such as diffusion-weighted imaging (DWI), diffusion tensor imaging (DTI), perfusion-weighted imaging (PWI), proton magnetic resonance spectroscopy (1H MRS), and chemical exchange saturation transfer (CEST) are useful methods in the evaluation of the tumor infiltration and thus the resection margin.

求助全文
通过发布文献求助,成功后即可免费获取论文全文。 去求助
来源期刊
CiteScore
2.10
自引率
0.00%
发文量
0
×
引用
GB/T 7714-2015
复制
MLA
复制
APA
复制
导出至
BibTeX EndNote RefMan NoteFirst NoteExpress
×
提示
您的信息不完整,为了账户安全,请先补充。
现在去补充
×
提示
您因"违规操作"
具体请查看互助需知
我知道了
×
提示
确定
请完成安全验证×
copy
已复制链接
快去分享给好友吧!
我知道了
右上角分享
点击右上角分享
0
联系我们:info@booksci.cn Book学术提供免费学术资源搜索服务,方便国内外学者检索中英文文献。致力于提供最便捷和优质的服务体验。 Copyright © 2023 布克学术 All rights reserved.
京ICP备2023020795号-1
ghs 京公网安备 11010802042870号
Book学术文献互助
Book学术文献互助群
群 号:604180095
Book学术官方微信