对比增强超声与 B 型超声在诊断和监测肝脓肿方面的功效。

Polish journal of radiology Pub Date : 2024-10-08 eCollection Date: 2024-01-01 DOI:10.5114/pjr/192184
Adam Dobek, Mateusz Kobierecki, Wojciech Ciesielski, Oliwia Grząsiak, Konrad Kosztowny, Adam Fabisiak, Piotr Białek, Ludomir Stefańczyk
{"title":"对比增强超声与 B 型超声在诊断和监测肝脓肿方面的功效。","authors":"Adam Dobek, Mateusz Kobierecki, Wojciech Ciesielski, Oliwia Grząsiak, Konrad Kosztowny, Adam Fabisiak, Piotr Białek, Ludomir Stefańczyk","doi":"10.5114/pjr/192184","DOIUrl":null,"url":null,"abstract":"<p><strong>Purpose: </strong>This study aimed to evaluate the diagnostic value of contrast-enhanced ultrasound (CEUS) in diagnosing and monitoring hepatic abscesses (HA).</p><p><strong>Material and methods: </strong>This retrospective study included 29 patients (9 females, 20 males) with 64 HA. Computed tomography (CT) served as the diagnostic benchmark, compared with CEUS and B-mode ultrasound (B-mode). Two radiologists assessed the presence, size, and characteristics of the HA.</p><p><strong>Results: </strong>The contrast enhancement pattern on CEUS matched post-contrast CT. Lesion size detected by CEUS ranged from 1.16 cm to 15.33 cm (median 5.74 cm). CT classified lesions into four types: I (tumor-like) - 2, II (honeycomb) - 5, III (lacunar) - 23, IV (cystic-like) - 34. CEUS fully agreed with these classifications. B-mode missed two type I lesions. For type III abscesses, agreement with CEUS was perfect (κ = 1, 100%), and moderate with B-mode (κ = 0.50, 79.7%). For type IV abscesses, agreement with CEUS was perfect (κ = 1, 100%), and high with B-mode (κ = 0.88, 93.75%). Pus enhancement remained stable (± 15 dB), while the abscess pouch background varied (± 11 dB to ± 6 dB). The Mann-Whitney <i>U</i> test confirmed these observations (arterial: <i>p</i> = 1.02e-14, portal: <i>p</i> = 3.79e-12, late venous: <i>p</i> = 4.53e-13). No significant difference in enhancement values was found based on abscess size (> 4 cm vs. < 4 cm).</p><p><strong>Conclusions: </strong>CEUS is superior to B-mode for diagnosing and monitoring HA, offering clearer views of the abscess pouch, septa, and liver parenchyma. The purulent part lacks contrast, allowing accurate assessment. CEUS can replace CT for monitoring and aid in patient selection for percutaneous intervention.</p>","PeriodicalId":94174,"journal":{"name":"Polish journal of radiology","volume":"89 ","pages":"e470-e479"},"PeriodicalIF":0.0000,"publicationDate":"2024-10-08","publicationTypes":"Journal Article","fieldsOfStudy":null,"isOpenAccess":false,"openAccessPdf":"https://www.ncbi.nlm.nih.gov/pmc/articles/PMC11538908/pdf/","citationCount":"0","resultStr":"{\"title\":\"Comparative efficacy of contrast-enhanced ultrasound versus B-mode ultrasound in the diagnosis and monitoring of hepatic abscesses.\",\"authors\":\"Adam Dobek, Mateusz Kobierecki, Wojciech Ciesielski, Oliwia Grząsiak, Konrad Kosztowny, Adam Fabisiak, Piotr Białek, Ludomir Stefańczyk\",\"doi\":\"10.5114/pjr/192184\",\"DOIUrl\":null,\"url\":null,\"abstract\":\"<p><strong>Purpose: </strong>This study aimed to evaluate the diagnostic value of contrast-enhanced ultrasound (CEUS) in diagnosing and monitoring hepatic abscesses (HA).</p><p><strong>Material and methods: </strong>This retrospective study included 29 patients (9 females, 20 males) with 64 HA. Computed tomography (CT) served as the diagnostic benchmark, compared with CEUS and B-mode ultrasound (B-mode). Two radiologists assessed the presence, size, and characteristics of the HA.</p><p><strong>Results: </strong>The contrast enhancement pattern on CEUS matched post-contrast CT. Lesion size detected by CEUS ranged from 1.16 cm to 15.33 cm (median 5.74 cm). CT classified lesions into four types: I (tumor-like) - 2, II (honeycomb) - 5, III (lacunar) - 23, IV (cystic-like) - 34. CEUS fully agreed with these classifications. B-mode missed two type I lesions. For type III abscesses, agreement with CEUS was perfect (κ = 1, 100%), and moderate with B-mode (κ = 0.50, 79.7%). For type IV abscesses, agreement with CEUS was perfect (κ = 1, 100%), and high with B-mode (κ = 0.88, 93.75%). Pus enhancement remained stable (± 15 dB), while the abscess pouch background varied (± 11 dB to ± 6 dB). The Mann-Whitney <i>U</i> test confirmed these observations (arterial: <i>p</i> = 1.02e-14, portal: <i>p</i> = 3.79e-12, late venous: <i>p</i> = 4.53e-13). No significant difference in enhancement values was found based on abscess size (> 4 cm vs. < 4 cm).</p><p><strong>Conclusions: </strong>CEUS is superior to B-mode for diagnosing and monitoring HA, offering clearer views of the abscess pouch, septa, and liver parenchyma. The purulent part lacks contrast, allowing accurate assessment. CEUS can replace CT for monitoring and aid in patient selection for percutaneous intervention.</p>\",\"PeriodicalId\":94174,\"journal\":{\"name\":\"Polish journal of radiology\",\"volume\":\"89 \",\"pages\":\"e470-e479\"},\"PeriodicalIF\":0.0000,\"publicationDate\":\"2024-10-08\",\"publicationTypes\":\"Journal Article\",\"fieldsOfStudy\":null,\"isOpenAccess\":false,\"openAccessPdf\":\"https://www.ncbi.nlm.nih.gov/pmc/articles/PMC11538908/pdf/\",\"citationCount\":\"0\",\"resultStr\":null,\"platform\":\"Semanticscholar\",\"paperid\":null,\"PeriodicalName\":\"Polish journal of radiology\",\"FirstCategoryId\":\"1085\",\"ListUrlMain\":\"https://doi.org/10.5114/pjr/192184\",\"RegionNum\":0,\"RegionCategory\":null,\"ArticlePicture\":[],\"TitleCN\":null,\"AbstractTextCN\":null,\"PMCID\":null,\"EPubDate\":\"2024/1/1 0:00:00\",\"PubModel\":\"eCollection\",\"JCR\":\"\",\"JCRName\":\"\",\"Score\":null,\"Total\":0}","platform":"Semanticscholar","paperid":null,"PeriodicalName":"Polish journal of radiology","FirstCategoryId":"1085","ListUrlMain":"https://doi.org/10.5114/pjr/192184","RegionNum":0,"RegionCategory":null,"ArticlePicture":[],"TitleCN":null,"AbstractTextCN":null,"PMCID":null,"EPubDate":"2024/1/1 0:00:00","PubModel":"eCollection","JCR":"","JCRName":"","Score":null,"Total":0}
引用次数: 0

摘要

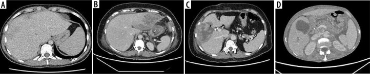
目的:本研究旨在评估对比增强超声(CEUS)在诊断和监测肝脓肿(HA)方面的诊断价值:这项回顾性研究纳入了 29 名患者(9 名女性,20 名男性),共 64 例肝脓肿。计算机断层扫描(CT)作为诊断基准,与 CEUS 和 B 型超声波(B 型)进行比较。两名放射科医生对 HA 的存在、大小和特征进行了评估:结果:CEUS的对比增强模式与对比后CT相匹配。CEUS检测到的病变大小从1.16厘米到15.33厘米不等(中位数为5.74厘米)。CT 将病变分为四种类型:I(肿瘤样)- 2,II(蜂窝状)- 5,III(裂隙状)- 23,IV(囊肿样)- 34。CEUS 与这些分类完全一致。B 超漏诊了两个 I 型病变。对于 III 型脓肿,CEUS 与之完全吻合(κ = 1,100%),B-mode 与之中度吻合(κ = 0.50,79.7%)。对于 IV 型脓肿,与 CEUS 的一致性非常好(κ = 1,100%),与 B 型的一致性较高(κ = 0.88,93.75%)。脓液增强保持稳定(± 15 dB),而脓袋背景则有变化(± 11 dB 到 ± 6 dB)。Mann-Whitney U 检验证实了这些观察结果(动脉:p = 1.02e-14;门静脉:p = 3.79e-12;晚期静脉:p = 4.53e-13)。脓肿大小(> 4 cm 与 < 4 cm)对增强值无明显差异:结论:CEUS在诊断和监测HA方面优于B型超声波,能更清晰地观察脓肿袋、隔膜和肝实质。化脓部分缺乏造影剂,可进行准确评估。CEUS 可替代 CT 进行监测,并有助于选择经皮介入治疗的患者。
本文章由计算机程序翻译,如有差异,请以英文原文为准。

Comparative efficacy of contrast-enhanced ultrasound versus B-mode ultrasound in the diagnosis and monitoring of hepatic abscesses.

Comparative efficacy of contrast-enhanced ultrasound versus B-mode ultrasound in the diagnosis and monitoring of hepatic abscesses.

Comparative efficacy of contrast-enhanced ultrasound versus B-mode ultrasound in the diagnosis and monitoring of hepatic abscesses.

Comparative efficacy of contrast-enhanced ultrasound versus B-mode ultrasound in the diagnosis and monitoring of hepatic abscesses.

Purpose: This study aimed to evaluate the diagnostic value of contrast-enhanced ultrasound (CEUS) in diagnosing and monitoring hepatic abscesses (HA).

Material and methods: This retrospective study included 29 patients (9 females, 20 males) with 64 HA. Computed tomography (CT) served as the diagnostic benchmark, compared with CEUS and B-mode ultrasound (B-mode). Two radiologists assessed the presence, size, and characteristics of the HA.

Results: The contrast enhancement pattern on CEUS matched post-contrast CT. Lesion size detected by CEUS ranged from 1.16 cm to 15.33 cm (median 5.74 cm). CT classified lesions into four types: I (tumor-like) - 2, II (honeycomb) - 5, III (lacunar) - 23, IV (cystic-like) - 34. CEUS fully agreed with these classifications. B-mode missed two type I lesions. For type III abscesses, agreement with CEUS was perfect (κ = 1, 100%), and moderate with B-mode (κ = 0.50, 79.7%). For type IV abscesses, agreement with CEUS was perfect (κ = 1, 100%), and high with B-mode (κ = 0.88, 93.75%). Pus enhancement remained stable (± 15 dB), while the abscess pouch background varied (± 11 dB to ± 6 dB). The Mann-Whitney U test confirmed these observations (arterial: p = 1.02e-14, portal: p = 3.79e-12, late venous: p = 4.53e-13). No significant difference in enhancement values was found based on abscess size (> 4 cm vs. < 4 cm).

Conclusions: CEUS is superior to B-mode for diagnosing and monitoring HA, offering clearer views of the abscess pouch, septa, and liver parenchyma. The purulent part lacks contrast, allowing accurate assessment. CEUS can replace CT for monitoring and aid in patient selection for percutaneous intervention.

求助全文
通过发布文献求助,成功后即可免费获取论文全文。 去求助
来源期刊
CiteScore
2.10
自引率
0.00%
发文量
0
×
引用
GB/T 7714-2015
复制
MLA
复制
APA
复制
导出至
BibTeX EndNote RefMan NoteFirst NoteExpress
×
提示
您的信息不完整,为了账户安全,请先补充。
现在去补充
×
提示
您因"违规操作"
具体请查看互助需知
我知道了
×
提示
确定
请完成安全验证×
copy
已复制链接
快去分享给好友吧!
我知道了
右上角分享
点击右上角分享
0
联系我们:info@booksci.cn Book学术提供免费学术资源搜索服务,方便国内外学者检索中英文文献。致力于提供最便捷和优质的服务体验。 Copyright © 2023 布克学术 All rights reserved.
京ICP备2023020795号-1
ghs 京公网安备 11010802042870号
Book学术文献互助
Book学术文献互助群
群 号:604180095
Book学术官方微信