化疗后一名年轻患者的边缘型鳞状上皮肿瘤组织病理学降级:病例报告

IF 2.4 4区 医学 Q3 ONCOLOGY
Yuki Hara, Rin Yamaguchi, Ryota Otsubo, Ayako Fukushima, Eiko Inamasu, Momoko Akashi, Michi Morita, Sayaka Kuba, Susumu Eguchi, Keitaro Matsumoto
{"title":"化疗后一名年轻患者的边缘型鳞状上皮肿瘤组织病理学降级:病例报告","authors":"Yuki Hara, Rin Yamaguchi, Ryota Otsubo, Ayako Fukushima, Eiko Inamasu, Momoko Akashi, Michi Morita, Sayaka Kuba, Susumu Eguchi, Keitaro Matsumoto","doi":"10.4048/jbc.2024.0159","DOIUrl":null,"url":null,"abstract":"<p><p>Phyllodes tumors (PT) are fibroepithelial neoplasms that are treated by complete surgical excision. The effectiveness of adjuvant therapies, including radiotherapy and chemotherapy, for PT remains unclear, and the use of neoadjuvant chemotherapy (NAC) is yet to be established. We report a case of a 15-year-old girl with acute lymphatic leukemia (ALL) who was incidentally diagnosed with a 50-mm borderline PT in the left breast using computed tomography, ultrasonography, and histological examination following needle biopsy. Lumpectomy was performed after administration of anthracycline-based chemotherapy for ALL, resulting in tumor size reduction. Histopathological examination of the excised specimen demonstrated decreased mitotic activity and stromal cellularity post-chemotherapy. To our knowledge, this is the first study to report the histopathological differences in pre- and post-chemotherapy borderline PT samples. Our findings suggest that NAC may induce changes in borderline PT, potentially affecting diagnosis and treatment decisions. Hence, further investigation is warranted in this regard.</p>","PeriodicalId":15206,"journal":{"name":"Journal of Breast Cancer","volume":"27 5","pages":"343-349"},"PeriodicalIF":2.4000,"publicationDate":"2024-10-01","publicationTypes":"Journal Article","fieldsOfStudy":null,"isOpenAccess":false,"openAccessPdf":"https://www.ncbi.nlm.nih.gov/pmc/articles/PMC11543280/pdf/","citationCount":"0","resultStr":"{\"title\":\"Histopathological Downgrading of Borderline Phyllodes Tumor in a Young Patient Following Chemotherapy: A Case Report.\",\"authors\":\"Yuki Hara, Rin Yamaguchi, Ryota Otsubo, Ayako Fukushima, Eiko Inamasu, Momoko Akashi, Michi Morita, Sayaka Kuba, Susumu Eguchi, Keitaro Matsumoto\",\"doi\":\"10.4048/jbc.2024.0159\",\"DOIUrl\":null,\"url\":null,\"abstract\":\"<p><p>Phyllodes tumors (PT) are fibroepithelial neoplasms that are treated by complete surgical excision. The effectiveness of adjuvant therapies, including radiotherapy and chemotherapy, for PT remains unclear, and the use of neoadjuvant chemotherapy (NAC) is yet to be established. We report a case of a 15-year-old girl with acute lymphatic leukemia (ALL) who was incidentally diagnosed with a 50-mm borderline PT in the left breast using computed tomography, ultrasonography, and histological examination following needle biopsy. Lumpectomy was performed after administration of anthracycline-based chemotherapy for ALL, resulting in tumor size reduction. Histopathological examination of the excised specimen demonstrated decreased mitotic activity and stromal cellularity post-chemotherapy. To our knowledge, this is the first study to report the histopathological differences in pre- and post-chemotherapy borderline PT samples. Our findings suggest that NAC may induce changes in borderline PT, potentially affecting diagnosis and treatment decisions. Hence, further investigation is warranted in this regard.</p>\",\"PeriodicalId\":15206,\"journal\":{\"name\":\"Journal of Breast Cancer\",\"volume\":\"27 5\",\"pages\":\"343-349\"},\"PeriodicalIF\":2.4000,\"publicationDate\":\"2024-10-01\",\"publicationTypes\":\"Journal Article\",\"fieldsOfStudy\":null,\"isOpenAccess\":false,\"openAccessPdf\":\"https://www.ncbi.nlm.nih.gov/pmc/articles/PMC11543280/pdf/\",\"citationCount\":\"0\",\"resultStr\":null,\"platform\":\"Semanticscholar\",\"paperid\":null,\"PeriodicalName\":\"Journal of Breast Cancer\",\"FirstCategoryId\":\"3\",\"ListUrlMain\":\"https://doi.org/10.4048/jbc.2024.0159\",\"RegionNum\":4,\"RegionCategory\":\"医学\",\"ArticlePicture\":[],\"TitleCN\":null,\"AbstractTextCN\":null,\"PMCID\":null,\"EPubDate\":\"\",\"PubModel\":\"\",\"JCR\":\"Q3\",\"JCRName\":\"ONCOLOGY\",\"Score\":null,\"Total\":0}","platform":"Semanticscholar","paperid":null,"PeriodicalName":"Journal of Breast Cancer","FirstCategoryId":"3","ListUrlMain":"https://doi.org/10.4048/jbc.2024.0159","RegionNum":4,"RegionCategory":"医学","ArticlePicture":[],"TitleCN":null,"AbstractTextCN":null,"PMCID":null,"EPubDate":"","PubModel":"","JCR":"Q3","JCRName":"ONCOLOGY","Score":null,"Total":0}
引用次数: 0

摘要

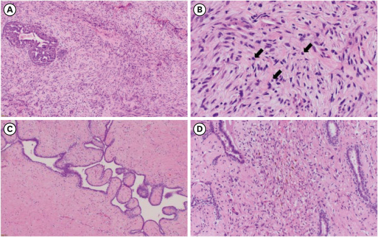
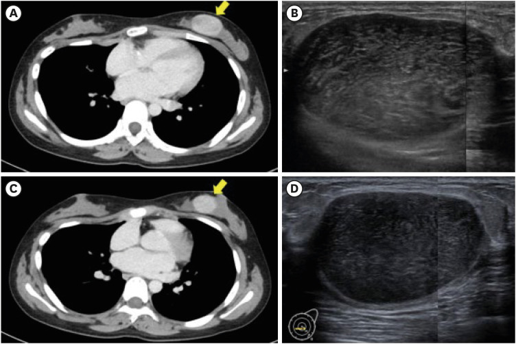
鳞状上皮细胞瘤(PT)是一种纤维上皮肿瘤,治疗方法是通过手术完全切除。包括放疗和化疗在内的辅助疗法对PT的疗效尚不明确,新辅助化疗(NAC)的应用也尚未确立。我们报告了一例患有急性淋巴白血病(ALL)的15岁女孩的病例,她通过计算机断层扫描、超声波检查和针刺活检后的组织学检查,偶然被诊断出左侧乳房有一个50毫米的边界PT。该患者在接受蒽环类化疗治疗后进行了乳腺切除术,术后肿瘤缩小。切除标本的组织病理学检查显示,化疗后有丝分裂活性和基质细胞减少。据我们所知,这是第一项报告化疗前和化疗后边缘PT样本组织病理学差异的研究。我们的研究结果表明,NAC可能会诱导边缘型PT发生变化,从而可能影响诊断和治疗决策。因此,有必要在这方面开展进一步研究。
本文章由计算机程序翻译,如有差异,请以英文原文为准。

Histopathological Downgrading of Borderline Phyllodes Tumor in a Young Patient Following Chemotherapy: A Case Report.

Histopathological Downgrading of Borderline Phyllodes Tumor in a Young Patient Following Chemotherapy: A Case Report.

Histopathological Downgrading of Borderline Phyllodes Tumor in a Young Patient Following Chemotherapy: A Case Report.

Histopathological Downgrading of Borderline Phyllodes Tumor in a Young Patient Following Chemotherapy: A Case Report.

Phyllodes tumors (PT) are fibroepithelial neoplasms that are treated by complete surgical excision. The effectiveness of adjuvant therapies, including radiotherapy and chemotherapy, for PT remains unclear, and the use of neoadjuvant chemotherapy (NAC) is yet to be established. We report a case of a 15-year-old girl with acute lymphatic leukemia (ALL) who was incidentally diagnosed with a 50-mm borderline PT in the left breast using computed tomography, ultrasonography, and histological examination following needle biopsy. Lumpectomy was performed after administration of anthracycline-based chemotherapy for ALL, resulting in tumor size reduction. Histopathological examination of the excised specimen demonstrated decreased mitotic activity and stromal cellularity post-chemotherapy. To our knowledge, this is the first study to report the histopathological differences in pre- and post-chemotherapy borderline PT samples. Our findings suggest that NAC may induce changes in borderline PT, potentially affecting diagnosis and treatment decisions. Hence, further investigation is warranted in this regard.

求助全文
通过发布文献求助,成功后即可免费获取论文全文。 去求助
来源期刊
Journal of Breast Cancer
Journal of Breast Cancer 医学-肿瘤学
CiteScore
3.80
自引率
4.20%
发文量
43
审稿时长
6-12 weeks
期刊介绍: The Journal of Breast Cancer (abbreviated as ''J Breast Cancer'') is the official journal of the Korean Breast Cancer Society, which is issued quarterly in the last day of March, June, September, and December each year since 1998. All the contents of the Journal is available online at the official journal website (http://ejbc.kr) under open access policy. The journal aims to provide a forum for the academic communication between medical doctors, basic science researchers, and health care professionals to be interested in breast cancer. To get this aim, we publish original investigations, review articles, brief communications including case reports, editorial opinions on the topics of importance to breast cancer, and welcome new research findings and epidemiological studies, especially when they contain a regional data to grab the international reader''s interest. Although the journal is mainly dealing with the issues of breast cancer, rare cases among benign breast diseases or evidence-based scientifically written articles providing useful information for clinical practice can be published as well.
×
引用
GB/T 7714-2015
复制
MLA
复制
APA
复制
导出至
BibTeX EndNote RefMan NoteFirst NoteExpress
×
提示
您的信息不完整,为了账户安全,请先补充。
现在去补充
×
提示
您因"违规操作"
具体请查看互助需知
我知道了
×
提示
确定
请完成安全验证×
copy
已复制链接
快去分享给好友吧!
我知道了
右上角分享
点击右上角分享
0
联系我们:info@booksci.cn Book学术提供免费学术资源搜索服务,方便国内外学者检索中英文文献。致力于提供最便捷和优质的服务体验。 Copyright © 2023 布克学术 All rights reserved.
京ICP备2023020795号-1
ghs 京公网安备 11010802042870号
Book学术文献互助
Book学术文献互助群
群 号:604180095
Book学术官方微信