内质网应激与实验性结肠炎的发病机制:5-氨基水杨酸的作用机制

IF 2.2 3区 医学 Q1 MEDICINE, GENERAL & INTERNAL
Medical Principles and Practice Pub Date : 2025-01-01 Epub Date: 2024-11-04 DOI:10.1159/000541791
Zahraa A Baydoun, Muddanna Rao, Islam Khan
{"title":"内质网应激与实验性结肠炎的发病机制:5-氨基水杨酸的作用机制","authors":"Zahraa A Baydoun, Muddanna Rao, Islam Khan","doi":"10.1159/000541791","DOIUrl":null,"url":null,"abstract":"<p><strong>Objectives: </strong>Inflammatory bowel diseases which are characterized by endoplasmic reticulum (ER) stress and activation of the unfolded protein response (UPR) signaling pathway are commonly treated with 5-amino salicylic acid (5-ASA). The objective of this study was to investigate the role of 5-amino salicylic acid in the UPR-signaling pathway in experimental colitis.</p><p><strong>Materials and methods: </strong>Colitis was induced in male Sprague-Dawley rats by intrarectal instillation of trinitrobenzene sulfonic acid. Animals received 5-amino salicylic acid (100 mg/kg body weight) 2 h before the induction of colitis and repeated daily until day 7. The animals were sacrificed on day 7 and tissues were collected for analysis.</p><p><strong>Results: </strong>The expression of protein kinase R (PKR)-like ER kinase (PERK), a mediator of UPR signaling increased significantly (p < 0.05), while inositol-requiring enzyme type-1 (IRE1) and the CCAAT/enhancer-binding homologous protein (CHOP) remained unaltered in the inflamed colon. The expression of glucose-regulated protein-78, activator of transcription factor-4, and phosphorylated-eukaryotic initiation factor-2α (eIF2αP) increased (p < 0.05) in the inflamed colon. However, the levels of eIF2α protein and mRNA expression remained unchanged. Myeloperoxidase activity, colon weight, and infiltration of inflammatory cells increased significantly (p < 0.05) in the submucosa whereas the body weight decreased. These changes were significantly inhibited by 5-amino salicylate treatment.</p><p><strong>Conclusion: </strong>These findings suggest that the anti-inflammatory properties of 5-amino salicylic acid are mediated through the inhibition of the PERK signaling pathway.</p><p><strong>Objectives: </strong>Inflammatory bowel diseases which are characterized by endoplasmic reticulum (ER) stress and activation of the unfolded protein response (UPR) signaling pathway are commonly treated with 5-amino salicylic acid (5-ASA). The objective of this study was to investigate the role of 5-amino salicylic acid in the UPR-signaling pathway in experimental colitis.</p><p><strong>Materials and methods: </strong>Colitis was induced in male Sprague-Dawley rats by intrarectal instillation of trinitrobenzene sulfonic acid. Animals received 5-amino salicylic acid (100 mg/kg body weight) 2 h before the induction of colitis and repeated daily until day 7. The animals were sacrificed on day 7 and tissues were collected for analysis.</p><p><strong>Results: </strong>The expression of protein kinase R (PKR)-like ER kinase (PERK), a mediator of UPR signaling increased significantly (p < 0.05), while inositol-requiring enzyme type-1 (IRE1) and the CCAAT/enhancer-binding homologous protein (CHOP) remained unaltered in the inflamed colon. The expression of glucose-regulated protein-78, activator of transcription factor-4, and phosphorylated-eukaryotic initiation factor-2α (eIF2αP) increased (p < 0.05) in the inflamed colon. However, the levels of eIF2α protein and mRNA expression remained unchanged. Myeloperoxidase activity, colon weight, and infiltration of inflammatory cells increased significantly (p < 0.05) in the submucosa whereas the body weight decreased. These changes were significantly inhibited by 5-amino salicylate treatment.</p><p><strong>Conclusion: </strong>These findings suggest that the anti-inflammatory properties of 5-amino salicylic acid are mediated through the inhibition of the PERK signaling pathway.</p>","PeriodicalId":18455,"journal":{"name":"Medical Principles and Practice","volume":" ","pages":"39-47"},"PeriodicalIF":2.2000,"publicationDate":"2025-01-01","publicationTypes":"Journal Article","fieldsOfStudy":null,"isOpenAccess":false,"openAccessPdf":"https://www.ncbi.nlm.nih.gov/pmc/articles/PMC11805548/pdf/","citationCount":"0","resultStr":"{\"title\":\"Endoplasmic Reticular Stress and Pathogenesis of Experimental Colitis: Mechanism of Action of 5-Amino Salicylic Acid.\",\"authors\":\"Zahraa A Baydoun, Muddanna Rao, Islam Khan\",\"doi\":\"10.1159/000541791\",\"DOIUrl\":null,\"url\":null,\"abstract\":\"<p><strong>Objectives: </strong>Inflammatory bowel diseases which are characterized by endoplasmic reticulum (ER) stress and activation of the unfolded protein response (UPR) signaling pathway are commonly treated with 5-amino salicylic acid (5-ASA). The objective of this study was to investigate the role of 5-amino salicylic acid in the UPR-signaling pathway in experimental colitis.</p><p><strong>Materials and methods: </strong>Colitis was induced in male Sprague-Dawley rats by intrarectal instillation of trinitrobenzene sulfonic acid. Animals received 5-amino salicylic acid (100 mg/kg body weight) 2 h before the induction of colitis and repeated daily until day 7. The animals were sacrificed on day 7 and tissues were collected for analysis.</p><p><strong>Results: </strong>The expression of protein kinase R (PKR)-like ER kinase (PERK), a mediator of UPR signaling increased significantly (p < 0.05), while inositol-requiring enzyme type-1 (IRE1) and the CCAAT/enhancer-binding homologous protein (CHOP) remained unaltered in the inflamed colon. The expression of glucose-regulated protein-78, activator of transcription factor-4, and phosphorylated-eukaryotic initiation factor-2α (eIF2αP) increased (p < 0.05) in the inflamed colon. However, the levels of eIF2α protein and mRNA expression remained unchanged. Myeloperoxidase activity, colon weight, and infiltration of inflammatory cells increased significantly (p < 0.05) in the submucosa whereas the body weight decreased. These changes were significantly inhibited by 5-amino salicylate treatment.</p><p><strong>Conclusion: </strong>These findings suggest that the anti-inflammatory properties of 5-amino salicylic acid are mediated through the inhibition of the PERK signaling pathway.</p><p><strong>Objectives: </strong>Inflammatory bowel diseases which are characterized by endoplasmic reticulum (ER) stress and activation of the unfolded protein response (UPR) signaling pathway are commonly treated with 5-amino salicylic acid (5-ASA). The objective of this study was to investigate the role of 5-amino salicylic acid in the UPR-signaling pathway in experimental colitis.</p><p><strong>Materials and methods: </strong>Colitis was induced in male Sprague-Dawley rats by intrarectal instillation of trinitrobenzene sulfonic acid. Animals received 5-amino salicylic acid (100 mg/kg body weight) 2 h before the induction of colitis and repeated daily until day 7. The animals were sacrificed on day 7 and tissues were collected for analysis.</p><p><strong>Results: </strong>The expression of protein kinase R (PKR)-like ER kinase (PERK), a mediator of UPR signaling increased significantly (p < 0.05), while inositol-requiring enzyme type-1 (IRE1) and the CCAAT/enhancer-binding homologous protein (CHOP) remained unaltered in the inflamed colon. The expression of glucose-regulated protein-78, activator of transcription factor-4, and phosphorylated-eukaryotic initiation factor-2α (eIF2αP) increased (p < 0.05) in the inflamed colon. However, the levels of eIF2α protein and mRNA expression remained unchanged. Myeloperoxidase activity, colon weight, and infiltration of inflammatory cells increased significantly (p < 0.05) in the submucosa whereas the body weight decreased. These changes were significantly inhibited by 5-amino salicylate treatment.</p><p><strong>Conclusion: </strong>These findings suggest that the anti-inflammatory properties of 5-amino salicylic acid are mediated through the inhibition of the PERK signaling pathway.</p>\",\"PeriodicalId\":18455,\"journal\":{\"name\":\"Medical Principles and Practice\",\"volume\":\" \",\"pages\":\"39-47\"},\"PeriodicalIF\":2.2000,\"publicationDate\":\"2025-01-01\",\"publicationTypes\":\"Journal Article\",\"fieldsOfStudy\":null,\"isOpenAccess\":false,\"openAccessPdf\":\"https://www.ncbi.nlm.nih.gov/pmc/articles/PMC11805548/pdf/\",\"citationCount\":\"0\",\"resultStr\":null,\"platform\":\"Semanticscholar\",\"paperid\":null,\"PeriodicalName\":\"Medical Principles and Practice\",\"FirstCategoryId\":\"3\",\"ListUrlMain\":\"https://doi.org/10.1159/000541791\",\"RegionNum\":3,\"RegionCategory\":\"医学\",\"ArticlePicture\":[],\"TitleCN\":null,\"AbstractTextCN\":null,\"PMCID\":null,\"EPubDate\":\"2024/11/4 0:00:00\",\"PubModel\":\"Epub\",\"JCR\":\"Q1\",\"JCRName\":\"MEDICINE, GENERAL & INTERNAL\",\"Score\":null,\"Total\":0}","platform":"Semanticscholar","paperid":null,"PeriodicalName":"Medical Principles and Practice","FirstCategoryId":"3","ListUrlMain":"https://doi.org/10.1159/000541791","RegionNum":3,"RegionCategory":"医学","ArticlePicture":[],"TitleCN":null,"AbstractTextCN":null,"PMCID":null,"EPubDate":"2024/11/4 0:00:00","PubModel":"Epub","JCR":"Q1","JCRName":"MEDICINE, GENERAL & INTERNAL","Score":null,"Total":0}
引用次数: 0

摘要

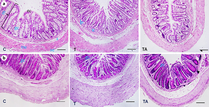
目的:炎症性肠病以内质网(ER)应激和未折叠蛋白反应(UPR)信号通路激活为特征,通常使用5-氨基水杨酸(5-ASA)治疗。本研究旨在探讨 5-氨基水杨酸在实验性结肠炎的 UPR 信号通路中的作用:雄性 Sprague-Dawley 大鼠通过直肠内灌注三硝基苯磺酸诱发结肠炎。在诱导结肠炎前两小时,给动物注射 5-氨基水杨酸(100 毫克/千克体重),每天重复注射,直至第 7 天。第 7 天动物被处死,收集组织进行分析:结果:炎症结肠中蛋白激酶 R(PKR)-类内质网(ER)激酶(PERK)的表达量显著增加(p < 0.05),而肌醇需要酶 1 型(IRE1)和 CCAAT/增强子结合同源蛋白(CHOP)的表达量保持不变。葡萄糖调节蛋白-78、转录因子激活剂-4 和磷酸化真核细胞启动因子-2α(eIF2αP)的表达在炎症结肠中增加(p < 0.05)。然而,eIF2α 蛋白和 mRNA 表达水平保持不变。粘膜下层的髓过氧化物酶活性、结肠重量和炎症细胞浸润显著增加(p < 0.05),而体重却有所下降。这些变化在 5-氨基水杨酸盐处理后受到明显抑制:这些研究结果表明,5-氨基水杨酸的抗炎特性是通过抑制 PERK 信号通路介导的。
本文章由计算机程序翻译,如有差异,请以英文原文为准。

Endoplasmic Reticular Stress and Pathogenesis of Experimental Colitis: Mechanism of Action of 5-Amino Salicylic Acid.

Endoplasmic Reticular Stress and Pathogenesis of Experimental Colitis: Mechanism of Action of 5-Amino Salicylic Acid.

Endoplasmic Reticular Stress and Pathogenesis of Experimental Colitis: Mechanism of Action of 5-Amino Salicylic Acid.

Endoplasmic Reticular Stress and Pathogenesis of Experimental Colitis: Mechanism of Action of 5-Amino Salicylic Acid.

Objectives: Inflammatory bowel diseases which are characterized by endoplasmic reticulum (ER) stress and activation of the unfolded protein response (UPR) signaling pathway are commonly treated with 5-amino salicylic acid (5-ASA). The objective of this study was to investigate the role of 5-amino salicylic acid in the UPR-signaling pathway in experimental colitis.

Materials and methods: Colitis was induced in male Sprague-Dawley rats by intrarectal instillation of trinitrobenzene sulfonic acid. Animals received 5-amino salicylic acid (100 mg/kg body weight) 2 h before the induction of colitis and repeated daily until day 7. The animals were sacrificed on day 7 and tissues were collected for analysis.

Results: The expression of protein kinase R (PKR)-like ER kinase (PERK), a mediator of UPR signaling increased significantly (p < 0.05), while inositol-requiring enzyme type-1 (IRE1) and the CCAAT/enhancer-binding homologous protein (CHOP) remained unaltered in the inflamed colon. The expression of glucose-regulated protein-78, activator of transcription factor-4, and phosphorylated-eukaryotic initiation factor-2α (eIF2αP) increased (p < 0.05) in the inflamed colon. However, the levels of eIF2α protein and mRNA expression remained unchanged. Myeloperoxidase activity, colon weight, and infiltration of inflammatory cells increased significantly (p < 0.05) in the submucosa whereas the body weight decreased. These changes were significantly inhibited by 5-amino salicylate treatment.

Conclusion: These findings suggest that the anti-inflammatory properties of 5-amino salicylic acid are mediated through the inhibition of the PERK signaling pathway.

Objectives: Inflammatory bowel diseases which are characterized by endoplasmic reticulum (ER) stress and activation of the unfolded protein response (UPR) signaling pathway are commonly treated with 5-amino salicylic acid (5-ASA). The objective of this study was to investigate the role of 5-amino salicylic acid in the UPR-signaling pathway in experimental colitis.

Materials and methods: Colitis was induced in male Sprague-Dawley rats by intrarectal instillation of trinitrobenzene sulfonic acid. Animals received 5-amino salicylic acid (100 mg/kg body weight) 2 h before the induction of colitis and repeated daily until day 7. The animals were sacrificed on day 7 and tissues were collected for analysis.

Results: The expression of protein kinase R (PKR)-like ER kinase (PERK), a mediator of UPR signaling increased significantly (p < 0.05), while inositol-requiring enzyme type-1 (IRE1) and the CCAAT/enhancer-binding homologous protein (CHOP) remained unaltered in the inflamed colon. The expression of glucose-regulated protein-78, activator of transcription factor-4, and phosphorylated-eukaryotic initiation factor-2α (eIF2αP) increased (p < 0.05) in the inflamed colon. However, the levels of eIF2α protein and mRNA expression remained unchanged. Myeloperoxidase activity, colon weight, and infiltration of inflammatory cells increased significantly (p < 0.05) in the submucosa whereas the body weight decreased. These changes were significantly inhibited by 5-amino salicylate treatment.

Conclusion: These findings suggest that the anti-inflammatory properties of 5-amino salicylic acid are mediated through the inhibition of the PERK signaling pathway.

求助全文
通过发布文献求助,成功后即可免费获取论文全文。 去求助
来源期刊
Medical Principles and Practice
Medical Principles and Practice 医学-医学:内科
CiteScore
6.10
自引率
0.00%
发文量
72
审稿时长
6-12 weeks
期刊介绍: ''Medical Principles and Practice'', as the journal of the Health Sciences Centre, Kuwait University, aims to be a publication of international repute that will be a medium for dissemination and exchange of scientific knowledge in the health sciences.
×
引用
GB/T 7714-2015
复制
MLA
复制
APA
复制
导出至
BibTeX EndNote RefMan NoteFirst NoteExpress
×
提示
您的信息不完整,为了账户安全,请先补充。
现在去补充
×
提示
您因"违规操作"
具体请查看互助需知
我知道了
×
提示
确定
请完成安全验证×
copy
已复制链接
快去分享给好友吧!
我知道了
右上角分享
点击右上角分享
0
联系我们:info@booksci.cn Book学术提供免费学术资源搜索服务,方便国内外学者检索中英文文献。致力于提供最便捷和优质的服务体验。 Copyright © 2023 布克学术 All rights reserved.
京ICP备2023020795号-1
ghs 京公网安备 11010802042870号
Book学术文献互助
Book学术文献互助群
群 号:604180095
Book学术官方微信