治疗基底动脉端部分血栓形成的无症状巨大动脉瘤的策略性双管齐下法--整合肌内血流分流和血管内血流逆转。

IF 1.7 4区 医学 Q4 CLINICAL NEUROLOGY
Journal of Korean Neurosurgical Society Pub Date : 2025-03-01 Epub Date: 2024-11-05 DOI:10.3340/jkns.2024.0178
Se Yun Kim, Jong Min Lee, Soon Chan Kwon
{"title":"治疗基底动脉端部分血栓形成的无症状巨大动脉瘤的策略性双管齐下法--整合肌内血流分流和血管内血流逆转。","authors":"Se Yun Kim, Jong Min Lee, Soon Chan Kwon","doi":"10.3340/jkns.2024.0178","DOIUrl":null,"url":null,"abstract":"<p><p>Managing giant partially thrombosed intracranial aneurysms presents significant challenges due to their unfavorable natural history and the lack of standardized treatment approaches. Conventional treatments, whether open surgical or endovascular, often struggle to manage these aneurysms effectively, resulting in high recurrence rates or significant morbidity. The patient was a 62-year-old male with a symptomatic giant partially thrombosed aneurysm at the tip of the basilar artery, presenting with left-sided hemiparesis and dysarthria. Diagnostic imaging revealed a giant aneurysm with a wide-necked, canalized portion. A two-stage endovascular treatment was conducted, involving a balloon occlusion test and intraoperative monitoring for maximum patient safety. The treatment utilized stent-assisted Woven EndoBridge (WEB) embolization and serial bilateral vertebral artery trapping. The procedure successfully isolated the aneurysm and postoperative imaging confirmed the absence of recanalization, preserving the intact posterior circulation. The patient showed stable recovery and no neurological deficits during the 12-month follow-up period. This technical note demonstrates the feasibility and efficacy of strategically integrating intrasaccular flow diversion using a WEB device and flow reversal through bilateral vertebral artery trapping for treating giant partially thrombosed aneurysms.</p>","PeriodicalId":16283,"journal":{"name":"Journal of Korean Neurosurgical Society","volume":" ","pages":"234-240"},"PeriodicalIF":1.7000,"publicationDate":"2025-03-01","publicationTypes":"Journal Article","fieldsOfStudy":null,"isOpenAccess":false,"openAccessPdf":"https://www.ncbi.nlm.nih.gov/pmc/articles/PMC11924641/pdf/","citationCount":"0","resultStr":"{\"title\":\"Strategic Dual Approach for the Management of a Symptomatic Giant Partially Thrombosed Aneurysm at the Basilar Tip - Integrating Intrasaccular Flow Diversion and Endovascular Flow Reversal.\",\"authors\":\"Se Yun Kim, Jong Min Lee, Soon Chan Kwon\",\"doi\":\"10.3340/jkns.2024.0178\",\"DOIUrl\":null,\"url\":null,\"abstract\":\"<p><p>Managing giant partially thrombosed intracranial aneurysms presents significant challenges due to their unfavorable natural history and the lack of standardized treatment approaches. Conventional treatments, whether open surgical or endovascular, often struggle to manage these aneurysms effectively, resulting in high recurrence rates or significant morbidity. The patient was a 62-year-old male with a symptomatic giant partially thrombosed aneurysm at the tip of the basilar artery, presenting with left-sided hemiparesis and dysarthria. Diagnostic imaging revealed a giant aneurysm with a wide-necked, canalized portion. A two-stage endovascular treatment was conducted, involving a balloon occlusion test and intraoperative monitoring for maximum patient safety. The treatment utilized stent-assisted Woven EndoBridge (WEB) embolization and serial bilateral vertebral artery trapping. The procedure successfully isolated the aneurysm and postoperative imaging confirmed the absence of recanalization, preserving the intact posterior circulation. The patient showed stable recovery and no neurological deficits during the 12-month follow-up period. This technical note demonstrates the feasibility and efficacy of strategically integrating intrasaccular flow diversion using a WEB device and flow reversal through bilateral vertebral artery trapping for treating giant partially thrombosed aneurysms.</p>\",\"PeriodicalId\":16283,\"journal\":{\"name\":\"Journal of Korean Neurosurgical Society\",\"volume\":\" \",\"pages\":\"234-240\"},\"PeriodicalIF\":1.7000,\"publicationDate\":\"2025-03-01\",\"publicationTypes\":\"Journal Article\",\"fieldsOfStudy\":null,\"isOpenAccess\":false,\"openAccessPdf\":\"https://www.ncbi.nlm.nih.gov/pmc/articles/PMC11924641/pdf/\",\"citationCount\":\"0\",\"resultStr\":null,\"platform\":\"Semanticscholar\",\"paperid\":null,\"PeriodicalName\":\"Journal of Korean Neurosurgical Society\",\"FirstCategoryId\":\"3\",\"ListUrlMain\":\"https://doi.org/10.3340/jkns.2024.0178\",\"RegionNum\":4,\"RegionCategory\":\"医学\",\"ArticlePicture\":[],\"TitleCN\":null,\"AbstractTextCN\":null,\"PMCID\":null,\"EPubDate\":\"2024/11/5 0:00:00\",\"PubModel\":\"Epub\",\"JCR\":\"Q4\",\"JCRName\":\"CLINICAL NEUROLOGY\",\"Score\":null,\"Total\":0}","platform":"Semanticscholar","paperid":null,"PeriodicalName":"Journal of Korean Neurosurgical Society","FirstCategoryId":"3","ListUrlMain":"https://doi.org/10.3340/jkns.2024.0178","RegionNum":4,"RegionCategory":"医学","ArticlePicture":[],"TitleCN":null,"AbstractTextCN":null,"PMCID":null,"EPubDate":"2024/11/5 0:00:00","PubModel":"Epub","JCR":"Q4","JCRName":"CLINICAL NEUROLOGY","Score":null,"Total":0}
引用次数: 0

摘要

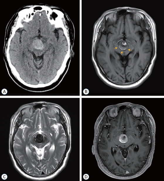
由于巨型部分血栓形成的颅内动脉瘤的自然病史并不乐观,而且缺乏标准化的治疗方法,因此治疗这类动脉瘤面临着巨大的挑战。传统的治疗方法,无论是开放手术还是血管内治疗,往往难以有效控制这些动脉瘤,导致高复发率或严重的发病率。患者是一名 62 岁的男性,基底动脉顶端有一个无症状的部分血栓形成的巨大动脉瘤,表现为左侧偏瘫和构音障碍。诊断成像显示该动脉瘤为巨型动脉瘤,宽颈、管状部分。为了最大限度地保障患者安全,患者接受了两阶段血管内治疗,包括球囊闭塞试验(BOT)和术中监测(IOM)。治疗采用了支架辅助编织内桥(WEB)栓塞和连续双侧椎动脉夹闭。手术成功分离了动脉瘤,术后成像证实没有再堵塞,保留了完整的后循环。患者在 12 个月的随访期间恢复稳定,未出现神经功能障碍。本技术报告展示了使用 WEB 装置和通过双侧椎动脉夹闭逆转血流治疗巨大的部分血栓动脉瘤的可行性和有效性。
本文章由计算机程序翻译,如有差异,请以英文原文为准。

Strategic Dual Approach for the Management of a Symptomatic Giant Partially Thrombosed Aneurysm at the Basilar Tip - Integrating Intrasaccular Flow Diversion and Endovascular Flow Reversal.

Strategic Dual Approach for the Management of a Symptomatic Giant Partially Thrombosed Aneurysm at the Basilar Tip - Integrating Intrasaccular Flow Diversion and Endovascular Flow Reversal.

Strategic Dual Approach for the Management of a Symptomatic Giant Partially Thrombosed Aneurysm at the Basilar Tip - Integrating Intrasaccular Flow Diversion and Endovascular Flow Reversal.

Strategic Dual Approach for the Management of a Symptomatic Giant Partially Thrombosed Aneurysm at the Basilar Tip - Integrating Intrasaccular Flow Diversion and Endovascular Flow Reversal.

Managing giant partially thrombosed intracranial aneurysms presents significant challenges due to their unfavorable natural history and the lack of standardized treatment approaches. Conventional treatments, whether open surgical or endovascular, often struggle to manage these aneurysms effectively, resulting in high recurrence rates or significant morbidity. The patient was a 62-year-old male with a symptomatic giant partially thrombosed aneurysm at the tip of the basilar artery, presenting with left-sided hemiparesis and dysarthria. Diagnostic imaging revealed a giant aneurysm with a wide-necked, canalized portion. A two-stage endovascular treatment was conducted, involving a balloon occlusion test and intraoperative monitoring for maximum patient safety. The treatment utilized stent-assisted Woven EndoBridge (WEB) embolization and serial bilateral vertebral artery trapping. The procedure successfully isolated the aneurysm and postoperative imaging confirmed the absence of recanalization, preserving the intact posterior circulation. The patient showed stable recovery and no neurological deficits during the 12-month follow-up period. This technical note demonstrates the feasibility and efficacy of strategically integrating intrasaccular flow diversion using a WEB device and flow reversal through bilateral vertebral artery trapping for treating giant partially thrombosed aneurysms.

求助全文
通过发布文献求助,成功后即可免费获取论文全文。 去求助
来源期刊
CiteScore
2.90
自引率
6.20%
发文量
109
审稿时长
3-8 weeks
期刊介绍: The Journal of Korean Neurosurgical Society (J Korean Neurosurg Soc) is the official journal of the Korean Neurosurgical Society, and published bimonthly (1st day of January, March, May, July, September, and November). It launched in October 31, 1972 with Volume 1 and Number 1. J Korean Neurosurg Soc aims to allow neurosurgeons from around the world to enrich their knowledge of patient management, education, and clinical or experimental research, and hence their professionalism. This journal publishes Laboratory Investigations, Clinical Articles, Review Articles, Case Reports, Technical Notes, and Letters to the Editor. Our field of interest involves clinical neurosurgery (cerebrovascular disease, neuro-oncology, skull base neurosurgery, spine, pediatric neurosurgery, functional neurosurgery, epilepsy, neuro-trauma, and peripheral nerve disease) and laboratory work in neuroscience.
×
引用
GB/T 7714-2015
复制
MLA
复制
APA
复制
导出至
BibTeX EndNote RefMan NoteFirst NoteExpress
×
提示
您的信息不完整,为了账户安全,请先补充。
现在去补充
×
提示
您因"违规操作"
具体请查看互助需知
我知道了
×
提示
确定
请完成安全验证×
copy
已复制链接
快去分享给好友吧!
我知道了
右上角分享
点击右上角分享
0
联系我们:info@booksci.cn Book学术提供免费学术资源搜索服务,方便国内外学者检索中英文文献。致力于提供最便捷和优质的服务体验。 Copyright © 2023 布克学术 All rights reserved.
京ICP备2023020795号-1
ghs 京公网安备 11010802042870号
Book学术文献互助
Book学术文献互助群
群 号:604180095
Book学术官方微信