卡萨伊手术后胆道闭锁的切口病理:两个肝脏的故事。

Q4 Medicine
Autopsy and Case Reports Pub Date : 2024-10-08 eCollection Date: 2024-01-01 DOI:10.4322/acr.2024.521
Sunayana Misra, Sonia Badwal, Shashi Dhawan, Arpita Mittal, Naimish Mehta, Nishant Wadhwa, Arjun Maria
{"title":"卡萨伊手术后胆道闭锁的切口病理:两个肝脏的故事。","authors":"Sunayana Misra, Sonia Badwal, Shashi Dhawan, Arpita Mittal, Naimish Mehta, Nishant Wadhwa, Arjun Maria","doi":"10.4322/acr.2024.521","DOIUrl":null,"url":null,"abstract":"<p><p>Biliary atresia (BA) is a progressive inflammatory cholangiopathy of infancy that results in fibrous obliteration of the extrahepatic and intrahepatic bile ducts. In untreated patients, this leads to biliary-type cirrhosis within the first two years of life. Timely diagnosis of BA with a lack of significant hepatic fibrosis is critical and surgical drainage (Kasai procedure) within the first two months of life is the initial treatment modality with the highest success rate. Ultimately, liver transplantation is required due to surgical drainage complications, such as recurrent cholangitis, failure to thrive, and portal hypertension (PHTN). Histopathological findings of hepatectomy specimens after failed and successful Kasai procedures are vastly different depending on the subsequent course of liver disease. Bile flow is inadequate following a failed Kasai procedure with rapid development of biliary cirrhosis. Explants from patients with successful Kasai procedure may show cholestatic (recurrent cholangitis), vascular (obliterative venopathy, regenerative hyperplasia, and PHTN), or an interplay of both cholestatic and vascular abnormalities. Pathologists need to be aware of explant histopathology (post-successful Kasai procedures) with a clinical course dominated by PHTN for precise documentation of vascular abnormalities.</p>","PeriodicalId":53117,"journal":{"name":"Autopsy and Case Reports","volume":"14 ","pages":"e2024521"},"PeriodicalIF":0.0000,"publicationDate":"2024-10-08","publicationTypes":"Journal Article","fieldsOfStudy":null,"isOpenAccess":false,"openAccessPdf":"https://www.ncbi.nlm.nih.gov/pmc/articles/PMC11529889/pdf/","citationCount":"0","resultStr":"{\"title\":\"Explant pathology in Biliary Atresia post Kasai procedure: a tale of two livers.\",\"authors\":\"Sunayana Misra, Sonia Badwal, Shashi Dhawan, Arpita Mittal, Naimish Mehta, Nishant Wadhwa, Arjun Maria\",\"doi\":\"10.4322/acr.2024.521\",\"DOIUrl\":null,\"url\":null,\"abstract\":\"<p><p>Biliary atresia (BA) is a progressive inflammatory cholangiopathy of infancy that results in fibrous obliteration of the extrahepatic and intrahepatic bile ducts. In untreated patients, this leads to biliary-type cirrhosis within the first two years of life. Timely diagnosis of BA with a lack of significant hepatic fibrosis is critical and surgical drainage (Kasai procedure) within the first two months of life is the initial treatment modality with the highest success rate. Ultimately, liver transplantation is required due to surgical drainage complications, such as recurrent cholangitis, failure to thrive, and portal hypertension (PHTN). Histopathological findings of hepatectomy specimens after failed and successful Kasai procedures are vastly different depending on the subsequent course of liver disease. Bile flow is inadequate following a failed Kasai procedure with rapid development of biliary cirrhosis. Explants from patients with successful Kasai procedure may show cholestatic (recurrent cholangitis), vascular (obliterative venopathy, regenerative hyperplasia, and PHTN), or an interplay of both cholestatic and vascular abnormalities. Pathologists need to be aware of explant histopathology (post-successful Kasai procedures) with a clinical course dominated by PHTN for precise documentation of vascular abnormalities.</p>\",\"PeriodicalId\":53117,\"journal\":{\"name\":\"Autopsy and Case Reports\",\"volume\":\"14 \",\"pages\":\"e2024521\"},\"PeriodicalIF\":0.0000,\"publicationDate\":\"2024-10-08\",\"publicationTypes\":\"Journal Article\",\"fieldsOfStudy\":null,\"isOpenAccess\":false,\"openAccessPdf\":\"https://www.ncbi.nlm.nih.gov/pmc/articles/PMC11529889/pdf/\",\"citationCount\":\"0\",\"resultStr\":null,\"platform\":\"Semanticscholar\",\"paperid\":null,\"PeriodicalName\":\"Autopsy and Case Reports\",\"FirstCategoryId\":\"1085\",\"ListUrlMain\":\"https://doi.org/10.4322/acr.2024.521\",\"RegionNum\":0,\"RegionCategory\":null,\"ArticlePicture\":[],\"TitleCN\":null,\"AbstractTextCN\":null,\"PMCID\":null,\"EPubDate\":\"2024/1/1 0:00:00\",\"PubModel\":\"eCollection\",\"JCR\":\"Q4\",\"JCRName\":\"Medicine\",\"Score\":null,\"Total\":0}","platform":"Semanticscholar","paperid":null,"PeriodicalName":"Autopsy and Case Reports","FirstCategoryId":"1085","ListUrlMain":"https://doi.org/10.4322/acr.2024.521","RegionNum":0,"RegionCategory":null,"ArticlePicture":[],"TitleCN":null,"AbstractTextCN":null,"PMCID":null,"EPubDate":"2024/1/1 0:00:00","PubModel":"eCollection","JCR":"Q4","JCRName":"Medicine","Score":null,"Total":0}
引用次数: 0

摘要

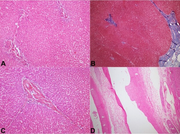
胆道闭锁(BA)是一种婴儿期进行性炎症性胆管病变,会导致肝外和肝内胆管纤维性闭塞。未经治疗的患者会在出生后两年内出现胆汁型肝硬化。及时诊断无明显肝纤维化的胆汁淤积症至关重要,在患者出生后两个月内进行手术引流(Kasai 手术)是成功率最高的初始治疗方式。最终,由于手术引流并发症,如复发性胆管炎、发育不良和门静脉高压症(PHTN),需要进行肝移植。卡萨伊手术失败和成功后的肝切除标本的组织病理学结果因肝病的后续发展而大不相同。卡萨伊手术失败后胆汁流量不足,会迅速发展为胆汁性肝硬化。Kasai手术成功患者的切片可能显示胆汁淤积(复发性胆管炎)、血管(闭塞性静脉病变、再生性增生和PHTN)或胆汁淤积和血管异常的相互作用。病理学家需要了解以 PHTN 为主的临床病程的外切组织病理学(Kasai 手术成功后),以准确记录血管异常。
本文章由计算机程序翻译,如有差异,请以英文原文为准。

Explant pathology in Biliary Atresia post Kasai procedure: a tale of two livers.

Explant pathology in Biliary Atresia post Kasai procedure: a tale of two livers.

Explant pathology in Biliary Atresia post Kasai procedure: a tale of two livers.

Explant pathology in Biliary Atresia post Kasai procedure: a tale of two livers.

Biliary atresia (BA) is a progressive inflammatory cholangiopathy of infancy that results in fibrous obliteration of the extrahepatic and intrahepatic bile ducts. In untreated patients, this leads to biliary-type cirrhosis within the first two years of life. Timely diagnosis of BA with a lack of significant hepatic fibrosis is critical and surgical drainage (Kasai procedure) within the first two months of life is the initial treatment modality with the highest success rate. Ultimately, liver transplantation is required due to surgical drainage complications, such as recurrent cholangitis, failure to thrive, and portal hypertension (PHTN). Histopathological findings of hepatectomy specimens after failed and successful Kasai procedures are vastly different depending on the subsequent course of liver disease. Bile flow is inadequate following a failed Kasai procedure with rapid development of biliary cirrhosis. Explants from patients with successful Kasai procedure may show cholestatic (recurrent cholangitis), vascular (obliterative venopathy, regenerative hyperplasia, and PHTN), or an interplay of both cholestatic and vascular abnormalities. Pathologists need to be aware of explant histopathology (post-successful Kasai procedures) with a clinical course dominated by PHTN for precise documentation of vascular abnormalities.

求助全文
通过发布文献求助,成功后即可免费获取论文全文。 去求助
来源期刊
Autopsy and Case Reports
Autopsy and Case Reports Medicine-Internal Medicine
CiteScore
1.20
自引率
0.00%
发文量
60
审稿时长
9 weeks
×
引用
GB/T 7714-2015
复制
MLA
复制
APA
复制
导出至
BibTeX EndNote RefMan NoteFirst NoteExpress
×
提示
您的信息不完整,为了账户安全,请先补充。
现在去补充
×
提示
您因"违规操作"
具体请查看互助需知
我知道了
×
提示
确定
请完成安全验证×
copy
已复制链接
快去分享给好友吧!
我知道了
右上角分享
点击右上角分享
0
联系我们:info@booksci.cn Book学术提供免费学术资源搜索服务,方便国内外学者检索中英文文献。致力于提供最便捷和优质的服务体验。 Copyright © 2023 布克学术 All rights reserved.
京ICP备2023020795号-1
ghs 京公网安备 11010802042870号
Book学术文献互助
Book学术文献互助群
群 号:604180095
Book学术官方微信