缩窄性心包炎诊断延误导致复发性心力衰竭:病例报告

IF 0.6 Q3 MEDICINE, GENERAL & INTERNAL
Clinical Medicine Insights. Case Reports Pub Date : 2024-10-27 eCollection Date: 2024-01-01 DOI:10.1177/11795476241295725
Chunliang Wang, Yuzhu Fan, Guiting Liang, Yu Chen, Tian Tu, Juan Du
{"title":"缩窄性心包炎诊断延误导致复发性心力衰竭:病例报告","authors":"Chunliang Wang, Yuzhu Fan, Guiting Liang, Yu Chen, Tian Tu, Juan Du","doi":"10.1177/11795476241295725","DOIUrl":null,"url":null,"abstract":"<p><p>Constrictive pericarditis can lead to compromised diastolic ventricular filling due to pericardial inflammation and fibrosis. A diagnosis of constrictive pericarditis was established by identifying structural and hemodynamic features through echocardiography. We present a case of constrictive pericarditis, which manifested in the form of gradually worsening dyspnea and lower-extremity edema over a 7 years period. The patient was diagnosed with constrictive pericarditis using echocardiography, and underwent a pericardiectomy.</p>","PeriodicalId":10357,"journal":{"name":"Clinical Medicine Insights. Case Reports","volume":"17 ","pages":"11795476241295725"},"PeriodicalIF":0.6000,"publicationDate":"2024-10-27","publicationTypes":"Journal Article","fieldsOfStudy":null,"isOpenAccess":false,"openAccessPdf":"https://www.ncbi.nlm.nih.gov/pmc/articles/PMC11528678/pdf/","citationCount":"0","resultStr":"{\"title\":\"Delayed Diagnosis of Constrictive Pericarditis Resulting in Recurrent Heart Failure: A Case Report.\",\"authors\":\"Chunliang Wang, Yuzhu Fan, Guiting Liang, Yu Chen, Tian Tu, Juan Du\",\"doi\":\"10.1177/11795476241295725\",\"DOIUrl\":null,\"url\":null,\"abstract\":\"<p><p>Constrictive pericarditis can lead to compromised diastolic ventricular filling due to pericardial inflammation and fibrosis. A diagnosis of constrictive pericarditis was established by identifying structural and hemodynamic features through echocardiography. We present a case of constrictive pericarditis, which manifested in the form of gradually worsening dyspnea and lower-extremity edema over a 7 years period. The patient was diagnosed with constrictive pericarditis using echocardiography, and underwent a pericardiectomy.</p>\",\"PeriodicalId\":10357,\"journal\":{\"name\":\"Clinical Medicine Insights. Case Reports\",\"volume\":\"17 \",\"pages\":\"11795476241295725\"},\"PeriodicalIF\":0.6000,\"publicationDate\":\"2024-10-27\",\"publicationTypes\":\"Journal Article\",\"fieldsOfStudy\":null,\"isOpenAccess\":false,\"openAccessPdf\":\"https://www.ncbi.nlm.nih.gov/pmc/articles/PMC11528678/pdf/\",\"citationCount\":\"0\",\"resultStr\":null,\"platform\":\"Semanticscholar\",\"paperid\":null,\"PeriodicalName\":\"Clinical Medicine Insights. Case Reports\",\"FirstCategoryId\":\"1085\",\"ListUrlMain\":\"https://doi.org/10.1177/11795476241295725\",\"RegionNum\":0,\"RegionCategory\":null,\"ArticlePicture\":[],\"TitleCN\":null,\"AbstractTextCN\":null,\"PMCID\":null,\"EPubDate\":\"2024/1/1 0:00:00\",\"PubModel\":\"eCollection\",\"JCR\":\"Q3\",\"JCRName\":\"MEDICINE, GENERAL & INTERNAL\",\"Score\":null,\"Total\":0}","platform":"Semanticscholar","paperid":null,"PeriodicalName":"Clinical Medicine Insights. Case Reports","FirstCategoryId":"1085","ListUrlMain":"https://doi.org/10.1177/11795476241295725","RegionNum":0,"RegionCategory":null,"ArticlePicture":[],"TitleCN":null,"AbstractTextCN":null,"PMCID":null,"EPubDate":"2024/1/1 0:00:00","PubModel":"eCollection","JCR":"Q3","JCRName":"MEDICINE, GENERAL & INTERNAL","Score":null,"Total":0}
引用次数: 0

摘要

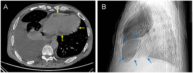
由于心包炎症和纤维化,缩窄性心包炎可导致舒张期心室充盈受损。收缩性心包炎的诊断需要通过超声心动图确定结构和血流动力学特征。我们报告了一例缩窄性心包炎病例,其表现形式为呼吸困难和下肢水肿在 7 年时间里逐渐加重。患者通过超声心动图确诊为缩窄性心包炎,并接受了心包切除术。
本文章由计算机程序翻译,如有差异,请以英文原文为准。

Delayed Diagnosis of Constrictive Pericarditis Resulting in Recurrent Heart Failure: A Case Report.

Delayed Diagnosis of Constrictive Pericarditis Resulting in Recurrent Heart Failure: A Case Report.

Delayed Diagnosis of Constrictive Pericarditis Resulting in Recurrent Heart Failure: A Case Report.

Delayed Diagnosis of Constrictive Pericarditis Resulting in Recurrent Heart Failure: A Case Report.

Constrictive pericarditis can lead to compromised diastolic ventricular filling due to pericardial inflammation and fibrosis. A diagnosis of constrictive pericarditis was established by identifying structural and hemodynamic features through echocardiography. We present a case of constrictive pericarditis, which manifested in the form of gradually worsening dyspnea and lower-extremity edema over a 7 years period. The patient was diagnosed with constrictive pericarditis using echocardiography, and underwent a pericardiectomy.

求助全文
通过发布文献求助,成功后即可免费获取论文全文。 去求助
来源期刊
Clinical Medicine Insights. Case Reports
Clinical Medicine Insights. Case Reports MEDICINE, GENERAL & INTERNAL-
CiteScore
1.10
自引率
0.00%
发文量
57
审稿时长
8 weeks
×
引用
GB/T 7714-2015
复制
MLA
复制
APA
复制
导出至
BibTeX EndNote RefMan NoteFirst NoteExpress
×
提示
您的信息不完整,为了账户安全,请先补充。
现在去补充
×
提示
您因"违规操作"
具体请查看互助需知
我知道了
×
提示
确定
请完成安全验证×
copy
已复制链接
快去分享给好友吧!
我知道了
右上角分享
点击右上角分享
0
联系我们:info@booksci.cn Book学术提供免费学术资源搜索服务,方便国内外学者检索中英文文献。致力于提供最便捷和优质的服务体验。 Copyright © 2023 布克学术 All rights reserved.
京ICP备2023020795号-1
ghs 京公网安备 11010802042870号
Book学术文献互助
Book学术文献互助群
群 号:604180095
Book学术官方微信
小红书