产后抑郁症疑似 CSF1R 相关性白质脑病:病例报告。

IF 0.6 Q4 CLINICAL NEUROLOGY
Case Reports in Neurology Pub Date : 2024-10-02 eCollection Date: 2024-01-01 DOI:10.1159/000541551
Masahiko Mikuni, Kazuhiro Horiuchi, Ayako Ishikura, Soichiro Kimura, Sho Masutani, Shinya Watanabe, Akihiro Mikami, Shuhei Ishikawa, Hisashi Narita, Ichiro Kusumi, Hidenao Sasaki
{"title":"产后抑郁症疑似 CSF1R 相关性白质脑病:病例报告。","authors":"Masahiko Mikuni, Kazuhiro Horiuchi, Ayako Ishikura, Soichiro Kimura, Sho Masutani, Shinya Watanabe, Akihiro Mikami, Shuhei Ishikawa, Hisashi Narita, Ichiro Kusumi, Hidenao Sasaki","doi":"10.1159/000541551","DOIUrl":null,"url":null,"abstract":"<p><strong>Introduction: </strong>This is a case of a 32-year-old woman who developed postpartum depression (PPD). She became anxious and depressive about caring for her child, and the Edinburgh Postnatal Depression Scale (EPDS) test showed a score of 9 at 2 weeks after delivery, and at 7 months postpartum, she presented with major melancholic depression followed by mild cognitive decline without any neurological symptoms except cluttering speech.</p><p><strong>Case presentation: </strong>Cerebral magnetic resonance imaging showed confluent fluid-attenuated inversion recovery hyperintensities in the periventricular and frontal deep white matter, with multiple spotty calcifications in the frontal white matter by cerebral CT. Genetic testing revealed a mutation in the colony-stimulating factor 1 receptor (CSF1R).</p><p><strong>Conclusion: </strong>This case report is consistent with evidence that PPD may have organic causes in some cases, including CSF1R mutations. Atypical findings such as mild cognitive decline combined with PPD in psychiatric interview may justify brain imaging to avoid misdiagnosis, since CSF1R-related leukoencephalopathy is probably an under-recognized disease in medical psychiatry. Further investigations are needed to clarify a pathophysiological correlation between CSF1R signaling abnormality and PPD as well as major depression.</p>","PeriodicalId":9639,"journal":{"name":"Case Reports in Neurology","volume":"16 1","pages":"281-287"},"PeriodicalIF":0.6000,"publicationDate":"2024-10-02","publicationTypes":"Journal Article","fieldsOfStudy":null,"isOpenAccess":false,"openAccessPdf":"https://www.ncbi.nlm.nih.gov/pmc/articles/PMC11527462/pdf/","citationCount":"0","resultStr":"{\"title\":\"Suspected Postpartum Depression Revealed to be CSF1R-Related Leukoencephalopathy: A Case Report.\",\"authors\":\"Masahiko Mikuni, Kazuhiro Horiuchi, Ayako Ishikura, Soichiro Kimura, Sho Masutani, Shinya Watanabe, Akihiro Mikami, Shuhei Ishikawa, Hisashi Narita, Ichiro Kusumi, Hidenao Sasaki\",\"doi\":\"10.1159/000541551\",\"DOIUrl\":null,\"url\":null,\"abstract\":\"<p><strong>Introduction: </strong>This is a case of a 32-year-old woman who developed postpartum depression (PPD). She became anxious and depressive about caring for her child, and the Edinburgh Postnatal Depression Scale (EPDS) test showed a score of 9 at 2 weeks after delivery, and at 7 months postpartum, she presented with major melancholic depression followed by mild cognitive decline without any neurological symptoms except cluttering speech.</p><p><strong>Case presentation: </strong>Cerebral magnetic resonance imaging showed confluent fluid-attenuated inversion recovery hyperintensities in the periventricular and frontal deep white matter, with multiple spotty calcifications in the frontal white matter by cerebral CT. Genetic testing revealed a mutation in the colony-stimulating factor 1 receptor (CSF1R).</p><p><strong>Conclusion: </strong>This case report is consistent with evidence that PPD may have organic causes in some cases, including CSF1R mutations. Atypical findings such as mild cognitive decline combined with PPD in psychiatric interview may justify brain imaging to avoid misdiagnosis, since CSF1R-related leukoencephalopathy is probably an under-recognized disease in medical psychiatry. Further investigations are needed to clarify a pathophysiological correlation between CSF1R signaling abnormality and PPD as well as major depression.</p>\",\"PeriodicalId\":9639,\"journal\":{\"name\":\"Case Reports in Neurology\",\"volume\":\"16 1\",\"pages\":\"281-287\"},\"PeriodicalIF\":0.6000,\"publicationDate\":\"2024-10-02\",\"publicationTypes\":\"Journal Article\",\"fieldsOfStudy\":null,\"isOpenAccess\":false,\"openAccessPdf\":\"https://www.ncbi.nlm.nih.gov/pmc/articles/PMC11527462/pdf/\",\"citationCount\":\"0\",\"resultStr\":null,\"platform\":\"Semanticscholar\",\"paperid\":null,\"PeriodicalName\":\"Case Reports in Neurology\",\"FirstCategoryId\":\"1085\",\"ListUrlMain\":\"https://doi.org/10.1159/000541551\",\"RegionNum\":0,\"RegionCategory\":null,\"ArticlePicture\":[],\"TitleCN\":null,\"AbstractTextCN\":null,\"PMCID\":null,\"EPubDate\":\"2024/1/1 0:00:00\",\"PubModel\":\"eCollection\",\"JCR\":\"Q4\",\"JCRName\":\"CLINICAL NEUROLOGY\",\"Score\":null,\"Total\":0}","platform":"Semanticscholar","paperid":null,"PeriodicalName":"Case Reports in Neurology","FirstCategoryId":"1085","ListUrlMain":"https://doi.org/10.1159/000541551","RegionNum":0,"RegionCategory":null,"ArticlePicture":[],"TitleCN":null,"AbstractTextCN":null,"PMCID":null,"EPubDate":"2024/1/1 0:00:00","PubModel":"eCollection","JCR":"Q4","JCRName":"CLINICAL NEUROLOGY","Score":null,"Total":0}
引用次数: 0

摘要

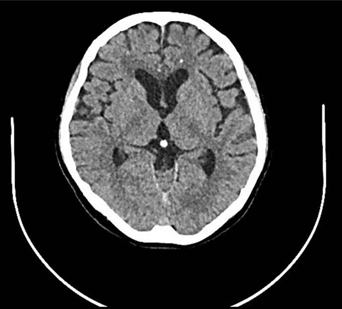
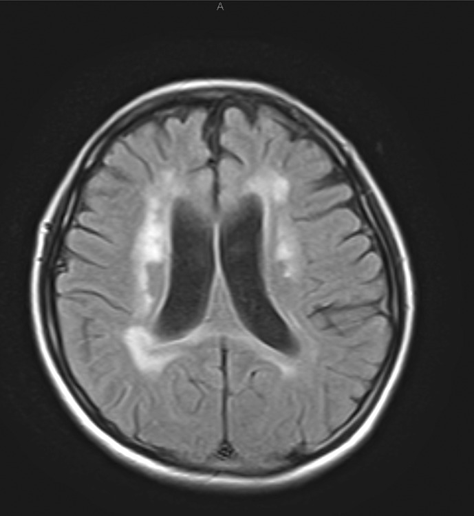
导言:这是一个 32 岁产妇产后抑郁(PPD)的病例。她因照顾孩子而变得焦虑和抑郁,爱丁堡产后抑郁量表(EPDS)测试显示她在产后2周得了9分,在产后7个月时,她出现了严重的忧郁性抑郁,随后出现了轻度认知功能衰退,除了说话杂乱无章外,没有任何神经系统症状:脑磁共振成像显示,脑室周围和额叶深部白质呈弥漫性液体增强反转恢复高密度,脑CT显示额叶白质多发斑点状钙化。基因检测发现集落刺激因子1受体(CSF1R)发生了突变:本病例报告与某些病例可能有器质性病因(包括 CSF1R 突变)的证据一致。精神科访谈中的非典型发现,如轻度认知功能减退合并 PPD,可能需要进行脑成像检查以避免误诊,因为 CSF1R 相关性白质脑病可能是内科精神病学中一种未得到充分认识的疾病。要明确 CSF1R 信号异常与 PPD 和重度抑郁症之间的病理生理学相关性,还需要进一步的研究。
本文章由计算机程序翻译,如有差异,请以英文原文为准。

Suspected Postpartum Depression Revealed to be CSF1R-Related Leukoencephalopathy: A Case Report.

Suspected Postpartum Depression Revealed to be CSF1R-Related Leukoencephalopathy: A Case Report.

Suspected Postpartum Depression Revealed to be CSF1R-Related Leukoencephalopathy: A Case Report.

Introduction: This is a case of a 32-year-old woman who developed postpartum depression (PPD). She became anxious and depressive about caring for her child, and the Edinburgh Postnatal Depression Scale (EPDS) test showed a score of 9 at 2 weeks after delivery, and at 7 months postpartum, she presented with major melancholic depression followed by mild cognitive decline without any neurological symptoms except cluttering speech.

Case presentation: Cerebral magnetic resonance imaging showed confluent fluid-attenuated inversion recovery hyperintensities in the periventricular and frontal deep white matter, with multiple spotty calcifications in the frontal white matter by cerebral CT. Genetic testing revealed a mutation in the colony-stimulating factor 1 receptor (CSF1R).

Conclusion: This case report is consistent with evidence that PPD may have organic causes in some cases, including CSF1R mutations. Atypical findings such as mild cognitive decline combined with PPD in psychiatric interview may justify brain imaging to avoid misdiagnosis, since CSF1R-related leukoencephalopathy is probably an under-recognized disease in medical psychiatry. Further investigations are needed to clarify a pathophysiological correlation between CSF1R signaling abnormality and PPD as well as major depression.

求助全文
通过发布文献求助,成功后即可免费获取论文全文。 去求助
来源期刊
Case Reports in Neurology
Case Reports in Neurology Medicine-Neurology (clinical)
CiteScore
1.50
自引率
0.00%
发文量
67
审稿时长
14 weeks
期刊介绍: This new peer-reviewed online-only journal publishes original case reports covering the entire spectrum of neurology. Clinicians and researchers are given a tool to disseminate their personal experience to a wider public as well as to review interesting cases encountered by colleagues all over the world. To complement the contributions supplementary material is welcomed. The reports are searchable according to the key words supplied by the authors; it will thus be possible to search across the entire growing collection of case reports with universally used terms, further facilitating the retrieval of specific information. Following the open access principle, the entire contents can be retrieved at no charge, guaranteeing easy access to this valuable source of anecdotal information at all times.
×
引用
GB/T 7714-2015
复制
MLA
复制
APA
复制
导出至
BibTeX EndNote RefMan NoteFirst NoteExpress
×
提示
您的信息不完整,为了账户安全,请先补充。
现在去补充
×
提示
您因"违规操作"
具体请查看互助需知
我知道了
×
提示
确定
请完成安全验证×
copy
已复制链接
快去分享给好友吧!
我知道了
右上角分享
点击右上角分享
0
联系我们:info@booksci.cn Book学术提供免费学术资源搜索服务,方便国内外学者检索中英文文献。致力于提供最便捷和优质的服务体验。 Copyright © 2023 布克学术 All rights reserved.
京ICP备2023020795号-1
ghs 京公网安备 11010802042870号
Book学术文献互助
Book学术文献互助群
群 号:604180095
Book学术官方微信