一匹马的蛇莓中毒 - 病例报告。

IF 0.8 4区 农林科学 Q3 VETERINARY SCIENCES
Veterinarni Medicina Pub Date : 2024-09-22 eCollection Date: 2024-09-01 DOI:10.17221/37/2024-VETMED
Andrea Kopecka, Tereza Novotna, Zdenka Svobodova, Zuzana Drabkova
{"title":"一匹马的蛇莓中毒 - 病例报告。","authors":"Andrea Kopecka, Tereza Novotna, Zdenka Svobodova, Zuzana Drabkova","doi":"10.17221/37/2024-VETMED","DOIUrl":null,"url":null,"abstract":"<p><p>This study describes a case of poisoning by pyrrolizidine alkaloids in a horse. To the best of the author's knowledge, this is the first confirmed case of <i>Senecio ovatus</i> poisoning. A six-year-old 450-kg Irish cob mare was presented to the Equine Clinic of the University of Veterinary Sciences Brno (Czechia) with symptoms of hepatic encephalopathy, which progressively worsened with time despite intensive therapy and led to euthanasia. A complex diagnostic and therapeutic approach including the post-mortem patoanatomical and histopathological examination is described here. Regarding the histopathology of the liver, there was necrosis with haemorrhage, fatty changes and inflammation. A later inspection of the grazing area revealed the presence of <i>Senecio ovatus</i> (wood ragwort). A sensitive chromatographic method was used to determine the pyrrolizidine alkaloids and their metabolites in the plasma and the liver. In both of the samples, metabolites of pyrrolizidine alkaloids were detected. Although pyrrolizidine alkaloid poisoning was proven, the histopathological findings typical for this disease were absent. It is clear from our case that the histopathology in cases of poisoning by pyrrolizidine alkaloids may not always be conclusive.</p>","PeriodicalId":23532,"journal":{"name":"Veterinarni Medicina","volume":"69 9","pages":"329-336"},"PeriodicalIF":0.8000,"publicationDate":"2024-09-22","publicationTypes":"Journal Article","fieldsOfStudy":null,"isOpenAccess":false,"openAccessPdf":"https://www.ncbi.nlm.nih.gov/pmc/articles/PMC11517866/pdf/","citationCount":"0","resultStr":"{\"title\":\"<i>Senecio ovatus</i> poisoning in a horse - A case report.\",\"authors\":\"Andrea Kopecka, Tereza Novotna, Zdenka Svobodova, Zuzana Drabkova\",\"doi\":\"10.17221/37/2024-VETMED\",\"DOIUrl\":null,\"url\":null,\"abstract\":\"<p><p>This study describes a case of poisoning by pyrrolizidine alkaloids in a horse. To the best of the author's knowledge, this is the first confirmed case of <i>Senecio ovatus</i> poisoning. A six-year-old 450-kg Irish cob mare was presented to the Equine Clinic of the University of Veterinary Sciences Brno (Czechia) with symptoms of hepatic encephalopathy, which progressively worsened with time despite intensive therapy and led to euthanasia. A complex diagnostic and therapeutic approach including the post-mortem patoanatomical and histopathological examination is described here. Regarding the histopathology of the liver, there was necrosis with haemorrhage, fatty changes and inflammation. A later inspection of the grazing area revealed the presence of <i>Senecio ovatus</i> (wood ragwort). A sensitive chromatographic method was used to determine the pyrrolizidine alkaloids and their metabolites in the plasma and the liver. In both of the samples, metabolites of pyrrolizidine alkaloids were detected. Although pyrrolizidine alkaloid poisoning was proven, the histopathological findings typical for this disease were absent. It is clear from our case that the histopathology in cases of poisoning by pyrrolizidine alkaloids may not always be conclusive.</p>\",\"PeriodicalId\":23532,\"journal\":{\"name\":\"Veterinarni Medicina\",\"volume\":\"69 9\",\"pages\":\"329-336\"},\"PeriodicalIF\":0.8000,\"publicationDate\":\"2024-09-22\",\"publicationTypes\":\"Journal Article\",\"fieldsOfStudy\":null,\"isOpenAccess\":false,\"openAccessPdf\":\"https://www.ncbi.nlm.nih.gov/pmc/articles/PMC11517866/pdf/\",\"citationCount\":\"0\",\"resultStr\":null,\"platform\":\"Semanticscholar\",\"paperid\":null,\"PeriodicalName\":\"Veterinarni Medicina\",\"FirstCategoryId\":\"97\",\"ListUrlMain\":\"https://doi.org/10.17221/37/2024-VETMED\",\"RegionNum\":4,\"RegionCategory\":\"农林科学\",\"ArticlePicture\":[],\"TitleCN\":null,\"AbstractTextCN\":null,\"PMCID\":null,\"EPubDate\":\"2024/9/1 0:00:00\",\"PubModel\":\"eCollection\",\"JCR\":\"Q3\",\"JCRName\":\"VETERINARY SCIENCES\",\"Score\":null,\"Total\":0}","platform":"Semanticscholar","paperid":null,"PeriodicalName":"Veterinarni Medicina","FirstCategoryId":"97","ListUrlMain":"https://doi.org/10.17221/37/2024-VETMED","RegionNum":4,"RegionCategory":"农林科学","ArticlePicture":[],"TitleCN":null,"AbstractTextCN":null,"PMCID":null,"EPubDate":"2024/9/1 0:00:00","PubModel":"eCollection","JCR":"Q3","JCRName":"VETERINARY SCIENCES","Score":null,"Total":0}
引用次数: 0

摘要

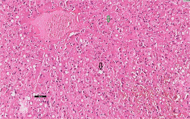
本研究描述了一匹马的吡咯里西啶生物碱中毒病例。据作者所知,这是首例确诊的蛇莓中毒病例。一匹 6 岁、体重 450 千克的爱尔兰驹母马因出现肝性脑病症状而被送往布尔诺兽医大学(捷克)马科诊所,尽管接受了强化治疗,但病情仍随时间推移而逐渐恶化,最终导致安乐死。本文介绍了一种复杂的诊断和治疗方法,包括死后病理解剖学和组织病理学检查。在肝脏组织病理学方面,肝脏坏死并伴有出血、脂肪变化和炎症。随后对放牧区进行的检查发现了木豚草(Senecio ovatus)的存在。采用灵敏的色谱法测定了血浆和肝脏中的吡咯烷生物碱及其代谢物。在两个样本中都检测到了吡咯里西啶生物碱的代谢物。虽然证明了吡咯里西啶生物碱中毒,但却没有这种疾病的典型组织病理学结果。从我们的病例中可以清楚地看出,吡咯里西啶类生物碱中毒病例的组织病理学检查并不总是确凿无疑的。
本文章由计算机程序翻译,如有差异,请以英文原文为准。

<i>Senecio ovatus</i> poisoning in a horse - A case report.

<i>Senecio ovatus</i> poisoning in a horse - A case report.

<i>Senecio ovatus</i> poisoning in a horse - A case report.

Senecio ovatus poisoning in a horse - A case report.

This study describes a case of poisoning by pyrrolizidine alkaloids in a horse. To the best of the author's knowledge, this is the first confirmed case of Senecio ovatus poisoning. A six-year-old 450-kg Irish cob mare was presented to the Equine Clinic of the University of Veterinary Sciences Brno (Czechia) with symptoms of hepatic encephalopathy, which progressively worsened with time despite intensive therapy and led to euthanasia. A complex diagnostic and therapeutic approach including the post-mortem patoanatomical and histopathological examination is described here. Regarding the histopathology of the liver, there was necrosis with haemorrhage, fatty changes and inflammation. A later inspection of the grazing area revealed the presence of Senecio ovatus (wood ragwort). A sensitive chromatographic method was used to determine the pyrrolizidine alkaloids and their metabolites in the plasma and the liver. In both of the samples, metabolites of pyrrolizidine alkaloids were detected. Although pyrrolizidine alkaloid poisoning was proven, the histopathological findings typical for this disease were absent. It is clear from our case that the histopathology in cases of poisoning by pyrrolizidine alkaloids may not always be conclusive.

求助全文
通过发布文献求助,成功后即可免费获取论文全文。 去求助
来源期刊
Veterinarni Medicina
Veterinarni Medicina Veterinary Sciences-兽医学
CiteScore
1.30
自引率
0.00%
发文量
62
审稿时长
18-36 weeks
期刊介绍: The journal Veterinarni Medicina publishes in English original papers, short communications, critical reviews and case reports from all fields of veterinary and biomedical sciences.
×
引用
GB/T 7714-2015
复制
MLA
复制
APA
复制
导出至
BibTeX EndNote RefMan NoteFirst NoteExpress
×
提示
您的信息不完整,为了账户安全,请先补充。
现在去补充
×
提示
您因"违规操作"
具体请查看互助需知
我知道了
×
提示
确定
请完成安全验证×
copy
已复制链接
快去分享给好友吧!
我知道了
右上角分享
点击右上角分享
0
联系我们:info@booksci.cn Book学术提供免费学术资源搜索服务,方便国内外学者检索中英文文献。致力于提供最便捷和优质的服务体验。 Copyright © 2023 布克学术 All rights reserved.
京ICP备2023020795号-1
ghs 京公网安备 11010802042870号
Book学术文献互助
Book学术文献互助群
群 号:604180095
Book学术官方微信