时隔 26 年的多相急性播散性脑脊髓炎:一个表现新颖的病例报告

IF 0.6 Q4 CLINICAL NEUROLOGY
Case Reports in Neurology Pub Date : 2024-08-19 eCollection Date: 2024-01-01 DOI:10.1159/000540951
Muhammad Hamza Asif, Armeen Butt, Khadija Riaz, Faizan Shahzad, Maimoonah Asif, Muhammad Farhan, Waqas Ahmed, Besher Shami
{"title":"时隔 26 年的多相急性播散性脑脊髓炎:一个表现新颖的病例报告","authors":"Muhammad Hamza Asif, Armeen Butt, Khadija Riaz, Faizan Shahzad, Maimoonah Asif, Muhammad Farhan, Waqas Ahmed, Besher Shami","doi":"10.1159/000540951","DOIUrl":null,"url":null,"abstract":"<p><strong>Introduction: </strong>Acute disseminated encephalomyelitis (ADEM) is an acute autoimmune demyelinating disease of the central nervous system that typically follows an acute viral infection or post-vaccination. It is more common in children than in adults and is characterized by widespread demyelination of the white matter of the brain and spinal cord. ADEM typically presents as a monophasic illness. Multiphasic ADEM has been an emerging topic with case reports highlighting the importance of the need for further investigation and literature on this topic. Multiphasic ADEM in adults is a rare presentation with an atypical course that can cause a delay in diagnosis leading to disability in patients.</p><p><strong>Case presentation: </strong>Multiple case reports have shown the presence of multiphasic ADEM without an established cause, emphasizing the importance of additional insight and data in this context. This is a unique case of multiphasic ADEM in a 59-year-old male with a temporal gap of 26 years with an idiopathic cause. He was suffering from many neurologic symptoms involving his upper and lower extremities and level of consciousness, and after he was diagnosed with ADEM, he was commenced on steroids and achieved a marked improvement in his clinical status.</p><p><strong>Conclusion: </strong>Rarely, ADEM can present with recurrence or multiple phases, which requires prompt diagnosis and treatment. These phases may or may not be preceded by an identifiable trigger. Most patients respond well to steroids. However, further studies are required to achieve a good understanding and guidelines when dealing with such cases.</p>","PeriodicalId":9639,"journal":{"name":"Case Reports in Neurology","volume":"16 1","pages":"242-248"},"PeriodicalIF":0.6000,"publicationDate":"2024-08-19","publicationTypes":"Journal Article","fieldsOfStudy":null,"isOpenAccess":false,"openAccessPdf":"https://www.ncbi.nlm.nih.gov/pmc/articles/PMC11521480/pdf/","citationCount":"0","resultStr":"{\"title\":\"Multiphasic Acute Disseminated Encephalomyelitis with a Temporal Gap of 26 Years: A Case Report with Novel Presentation.\",\"authors\":\"Muhammad Hamza Asif, Armeen Butt, Khadija Riaz, Faizan Shahzad, Maimoonah Asif, Muhammad Farhan, Waqas Ahmed, Besher Shami\",\"doi\":\"10.1159/000540951\",\"DOIUrl\":null,\"url\":null,\"abstract\":\"<p><strong>Introduction: </strong>Acute disseminated encephalomyelitis (ADEM) is an acute autoimmune demyelinating disease of the central nervous system that typically follows an acute viral infection or post-vaccination. It is more common in children than in adults and is characterized by widespread demyelination of the white matter of the brain and spinal cord. ADEM typically presents as a monophasic illness. Multiphasic ADEM has been an emerging topic with case reports highlighting the importance of the need for further investigation and literature on this topic. Multiphasic ADEM in adults is a rare presentation with an atypical course that can cause a delay in diagnosis leading to disability in patients.</p><p><strong>Case presentation: </strong>Multiple case reports have shown the presence of multiphasic ADEM without an established cause, emphasizing the importance of additional insight and data in this context. This is a unique case of multiphasic ADEM in a 59-year-old male with a temporal gap of 26 years with an idiopathic cause. He was suffering from many neurologic symptoms involving his upper and lower extremities and level of consciousness, and after he was diagnosed with ADEM, he was commenced on steroids and achieved a marked improvement in his clinical status.</p><p><strong>Conclusion: </strong>Rarely, ADEM can present with recurrence or multiple phases, which requires prompt diagnosis and treatment. These phases may or may not be preceded by an identifiable trigger. Most patients respond well to steroids. However, further studies are required to achieve a good understanding and guidelines when dealing with such cases.</p>\",\"PeriodicalId\":9639,\"journal\":{\"name\":\"Case Reports in Neurology\",\"volume\":\"16 1\",\"pages\":\"242-248\"},\"PeriodicalIF\":0.6000,\"publicationDate\":\"2024-08-19\",\"publicationTypes\":\"Journal Article\",\"fieldsOfStudy\":null,\"isOpenAccess\":false,\"openAccessPdf\":\"https://www.ncbi.nlm.nih.gov/pmc/articles/PMC11521480/pdf/\",\"citationCount\":\"0\",\"resultStr\":null,\"platform\":\"Semanticscholar\",\"paperid\":null,\"PeriodicalName\":\"Case Reports in Neurology\",\"FirstCategoryId\":\"1085\",\"ListUrlMain\":\"https://doi.org/10.1159/000540951\",\"RegionNum\":0,\"RegionCategory\":null,\"ArticlePicture\":[],\"TitleCN\":null,\"AbstractTextCN\":null,\"PMCID\":null,\"EPubDate\":\"2024/1/1 0:00:00\",\"PubModel\":\"eCollection\",\"JCR\":\"Q4\",\"JCRName\":\"CLINICAL NEUROLOGY\",\"Score\":null,\"Total\":0}","platform":"Semanticscholar","paperid":null,"PeriodicalName":"Case Reports in Neurology","FirstCategoryId":"1085","ListUrlMain":"https://doi.org/10.1159/000540951","RegionNum":0,"RegionCategory":null,"ArticlePicture":[],"TitleCN":null,"AbstractTextCN":null,"PMCID":null,"EPubDate":"2024/1/1 0:00:00","PubModel":"eCollection","JCR":"Q4","JCRName":"CLINICAL NEUROLOGY","Score":null,"Total":0}
引用次数: 0

摘要

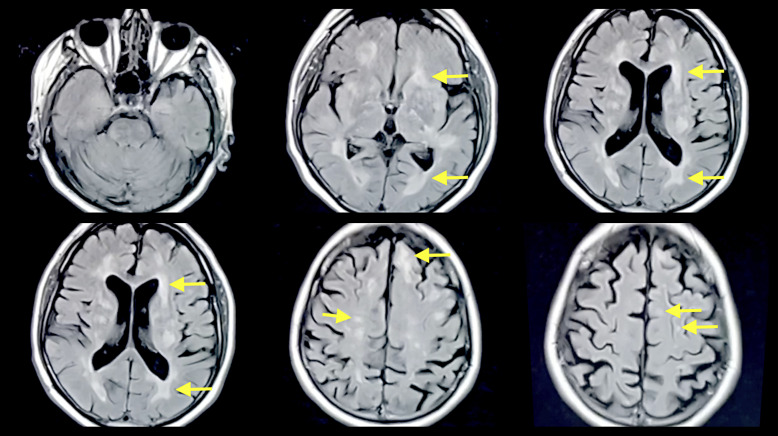
简介急性播散性脑脊髓炎(ADEM)是中枢神经系统的一种急性自身免疫性脱髓鞘疾病,通常发生在急性病毒感染后或接种疫苗后。它在儿童中的发病率高于成人,特点是大脑和脊髓白质广泛脱髓鞘。ADEM 通常表现为单相性疾病。多相 ADEM 是一个新出现的话题,其病例报告强调了进一步调查和文献研究的必要性。成人多相 ADEM 表现罕见,病程不典型,可能导致诊断延误,导致患者残疾:多份病例报告显示,多相性 ADEM 的存在没有确定的病因,这强调了在此背景下获得更多见解和数据的重要性。这是一例独特的多相 ADEM 病例,患者是一名 59 岁的男性,与特发性病因存在 26 年的时间差。在确诊为 ADEM 后,他开始服用类固醇药物,临床症状得到明显改善:结论:罕见的 ADEM 可出现复发或多个阶段,需要及时诊断和治疗。这些阶段之前可能有可识别的诱因,也可能没有。大多数患者对类固醇反应良好。不过,还需要进一步研究,以便在处理此类病例时获得良好的理解和指导。
本文章由计算机程序翻译,如有差异,请以英文原文为准。

Multiphasic Acute Disseminated Encephalomyelitis with a Temporal Gap of 26 Years: A Case Report with Novel Presentation.

Multiphasic Acute Disseminated Encephalomyelitis with a Temporal Gap of 26 Years: A Case Report with Novel Presentation.

Introduction: Acute disseminated encephalomyelitis (ADEM) is an acute autoimmune demyelinating disease of the central nervous system that typically follows an acute viral infection or post-vaccination. It is more common in children than in adults and is characterized by widespread demyelination of the white matter of the brain and spinal cord. ADEM typically presents as a monophasic illness. Multiphasic ADEM has been an emerging topic with case reports highlighting the importance of the need for further investigation and literature on this topic. Multiphasic ADEM in adults is a rare presentation with an atypical course that can cause a delay in diagnosis leading to disability in patients.

Case presentation: Multiple case reports have shown the presence of multiphasic ADEM without an established cause, emphasizing the importance of additional insight and data in this context. This is a unique case of multiphasic ADEM in a 59-year-old male with a temporal gap of 26 years with an idiopathic cause. He was suffering from many neurologic symptoms involving his upper and lower extremities and level of consciousness, and after he was diagnosed with ADEM, he was commenced on steroids and achieved a marked improvement in his clinical status.

Conclusion: Rarely, ADEM can present with recurrence or multiple phases, which requires prompt diagnosis and treatment. These phases may or may not be preceded by an identifiable trigger. Most patients respond well to steroids. However, further studies are required to achieve a good understanding and guidelines when dealing with such cases.

求助全文
通过发布文献求助,成功后即可免费获取论文全文。 去求助
来源期刊
Case Reports in Neurology
Case Reports in Neurology Medicine-Neurology (clinical)
CiteScore
1.50
自引率
0.00%
发文量
67
审稿时长
14 weeks
期刊介绍: This new peer-reviewed online-only journal publishes original case reports covering the entire spectrum of neurology. Clinicians and researchers are given a tool to disseminate their personal experience to a wider public as well as to review interesting cases encountered by colleagues all over the world. To complement the contributions supplementary material is welcomed. The reports are searchable according to the key words supplied by the authors; it will thus be possible to search across the entire growing collection of case reports with universally used terms, further facilitating the retrieval of specific information. Following the open access principle, the entire contents can be retrieved at no charge, guaranteeing easy access to this valuable source of anecdotal information at all times.
×
引用
GB/T 7714-2015
复制
MLA
复制
APA
复制
导出至
BibTeX EndNote RefMan NoteFirst NoteExpress
×
提示
您的信息不完整,为了账户安全,请先补充。
现在去补充
×
提示
您因"违规操作"
具体请查看互助需知
我知道了
×
提示
确定
请完成安全验证×
copy
已复制链接
快去分享给好友吧!
我知道了
右上角分享
点击右上角分享
0
联系我们:info@booksci.cn Book学术提供免费学术资源搜索服务,方便国内外学者检索中英文文献。致力于提供最便捷和优质的服务体验。 Copyright © 2023 布克学术 All rights reserved.
京ICP备2023020795号-1
ghs 京公网安备 11010802042870号
Book学术文献互助
Book学术文献互助群
群 号:604180095
Book学术官方微信