一名变性男性的脑脊液漏和特发性颅内高压:颅内高压由激素介导吗?

IF 0.6 Q4 CLINICAL NEUROLOGY
Case Reports in Neurology Pub Date : 2024-07-25 eCollection Date: 2024-01-01 DOI:10.1159/000540259
Isaac Smith, Raissa Aoun, Rebecca Lalchan
{"title":"一名变性男性的脑脊液漏和特发性颅内高压:颅内高压由激素介导吗?","authors":"Isaac Smith, Raissa Aoun, Rebecca Lalchan","doi":"10.1159/000540259","DOIUrl":null,"url":null,"abstract":"<p><strong>Introduction: </strong>The pathophysiology of idiopathic intracranial hypertension (IIH) is not fully characterized, and less is known about its development in transgender patients. Several cases of IIH in transgender patients have been reported, but fewer cases have been published that identify a cerebrospinal fluid (CSF) leak as a complication of IIH in this population. These patients can serve as an important study population, as an association between exogenous testosterone use in karyotypical females and development of IIH may support a hormonally mediated mechanism of development of this disease.</p><p><strong>Case presentation: </strong>We describe the case of a 33-year-old obese (BMI: 30.58 kg/m<sup>2</sup>) female-to-male transgender patient on exogenous testosterone for 15 years who presented with 1 month of acute or chronic headache with profuse rhinorrhea. Fundoscopic exam revealed disk pallor and edema consistent with a Frisen grade 3 papilledema. Nasal secretion was positive for beta-2 transferrin, consistent with CSF. Computed tomography head demonstrated a 5-mm defect in the medial left middle cranial fossa, bilateral optic nerve prominence and tortuosity, and abnormal arachnoid granulations concerning for IIH. After a successful endoscopic endonasal repair of the left lateral sphenoid recess leak, our patient continued to report headaches, was started on acetazolamide, and noted improvement in symptoms.</p><p><strong>Conclusion: </strong>The case described herein further supports the growing body of evidence that implicates a hormonal mechanism of action in the development of IIH. Importantly, it also addresses the need for increased study and conversation about rare neurologic diseases in transgender patients.</p>","PeriodicalId":9639,"journal":{"name":"Case Reports in Neurology","volume":"16 1","pages":"213-220"},"PeriodicalIF":0.6000,"publicationDate":"2024-07-25","publicationTypes":"Journal Article","fieldsOfStudy":null,"isOpenAccess":false,"openAccessPdf":"https://www.ncbi.nlm.nih.gov/pmc/articles/PMC11521422/pdf/","citationCount":"0","resultStr":"{\"title\":\"Cerebrospinal Fluid Leak and Idiopathic Intracranial Hypertension in a Transgender Male: Is Intracranial Hypertension Hormonally Mediated?\",\"authors\":\"Isaac Smith, Raissa Aoun, Rebecca Lalchan\",\"doi\":\"10.1159/000540259\",\"DOIUrl\":null,\"url\":null,\"abstract\":\"<p><strong>Introduction: </strong>The pathophysiology of idiopathic intracranial hypertension (IIH) is not fully characterized, and less is known about its development in transgender patients. Several cases of IIH in transgender patients have been reported, but fewer cases have been published that identify a cerebrospinal fluid (CSF) leak as a complication of IIH in this population. These patients can serve as an important study population, as an association between exogenous testosterone use in karyotypical females and development of IIH may support a hormonally mediated mechanism of development of this disease.</p><p><strong>Case presentation: </strong>We describe the case of a 33-year-old obese (BMI: 30.58 kg/m<sup>2</sup>) female-to-male transgender patient on exogenous testosterone for 15 years who presented with 1 month of acute or chronic headache with profuse rhinorrhea. Fundoscopic exam revealed disk pallor and edema consistent with a Frisen grade 3 papilledema. Nasal secretion was positive for beta-2 transferrin, consistent with CSF. Computed tomography head demonstrated a 5-mm defect in the medial left middle cranial fossa, bilateral optic nerve prominence and tortuosity, and abnormal arachnoid granulations concerning for IIH. After a successful endoscopic endonasal repair of the left lateral sphenoid recess leak, our patient continued to report headaches, was started on acetazolamide, and noted improvement in symptoms.</p><p><strong>Conclusion: </strong>The case described herein further supports the growing body of evidence that implicates a hormonal mechanism of action in the development of IIH. Importantly, it also addresses the need for increased study and conversation about rare neurologic diseases in transgender patients.</p>\",\"PeriodicalId\":9639,\"journal\":{\"name\":\"Case Reports in Neurology\",\"volume\":\"16 1\",\"pages\":\"213-220\"},\"PeriodicalIF\":0.6000,\"publicationDate\":\"2024-07-25\",\"publicationTypes\":\"Journal Article\",\"fieldsOfStudy\":null,\"isOpenAccess\":false,\"openAccessPdf\":\"https://www.ncbi.nlm.nih.gov/pmc/articles/PMC11521422/pdf/\",\"citationCount\":\"0\",\"resultStr\":null,\"platform\":\"Semanticscholar\",\"paperid\":null,\"PeriodicalName\":\"Case Reports in Neurology\",\"FirstCategoryId\":\"1085\",\"ListUrlMain\":\"https://doi.org/10.1159/000540259\",\"RegionNum\":0,\"RegionCategory\":null,\"ArticlePicture\":[],\"TitleCN\":null,\"AbstractTextCN\":null,\"PMCID\":null,\"EPubDate\":\"2024/1/1 0:00:00\",\"PubModel\":\"eCollection\",\"JCR\":\"Q4\",\"JCRName\":\"CLINICAL NEUROLOGY\",\"Score\":null,\"Total\":0}","platform":"Semanticscholar","paperid":null,"PeriodicalName":"Case Reports in Neurology","FirstCategoryId":"1085","ListUrlMain":"https://doi.org/10.1159/000540259","RegionNum":0,"RegionCategory":null,"ArticlePicture":[],"TitleCN":null,"AbstractTextCN":null,"PMCID":null,"EPubDate":"2024/1/1 0:00:00","PubModel":"eCollection","JCR":"Q4","JCRName":"CLINICAL NEUROLOGY","Score":null,"Total":0}
引用次数: 0

摘要

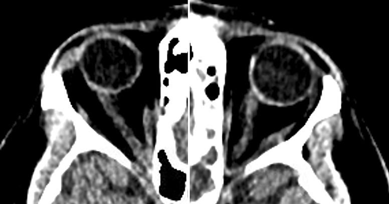
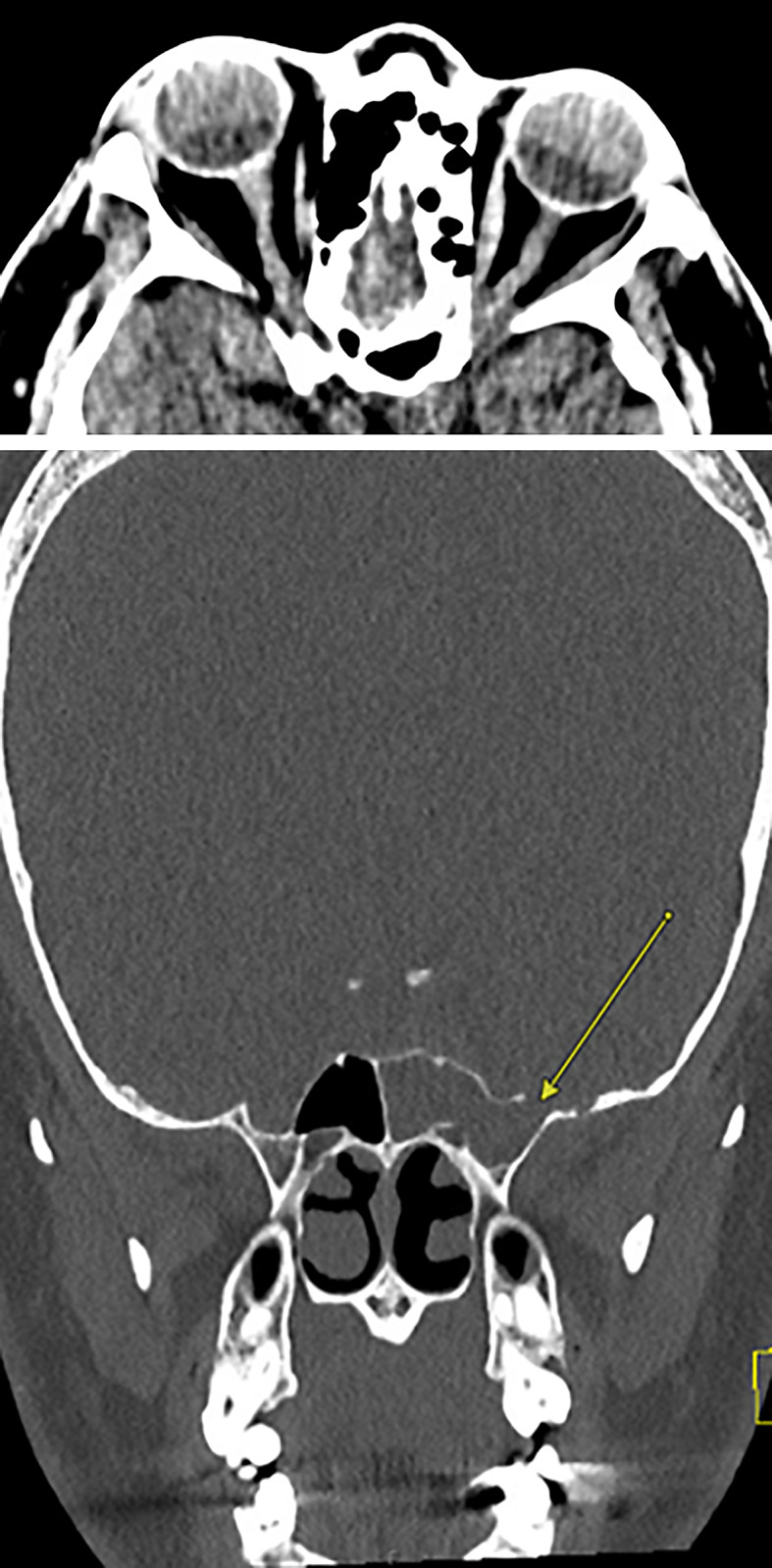
简介特发性颅内高压(IIH)的病理生理学尚未完全定性,而变性患者的发病情况也鲜为人知。变性患者的特发性颅内高压病例已有数例报道,但将脑脊液(CSF)漏视为变性患者特发性颅内高压并发症的病例却较少。这些患者可以作为一个重要的研究人群,因为核型女性使用外源性睾酮与 IIH 的发生之间的关联可能支持这种疾病由激素介导的发病机制:我们描述了一例 33 岁的肥胖(体重指数:30.58 kg/m2)女变男患者的病例,该患者使用外源性睾酮已有 15 年之久。眼底镜检查发现眼盘苍白和水肿,符合弗里森 3 级乳头水肿。鼻腔分泌物中的β-2转铁蛋白呈阳性,与脑脊液一致。头部计算机断层扫描显示,左侧中颅窝内侧有一个 5 毫米的缺损,双侧视神经突出和迂曲,蛛网膜颗粒异常,与 IIH 有关。在内窥镜下成功修复左侧蝶骨外侧凹漏后,患者仍报告头痛,开始服用乙酰唑胺,症状有所改善:本文描述的病例进一步证实了越来越多的证据表明,激素作用机制与 IIH 的发病有关。重要的是,该病例还说明,有必要加强对变性患者罕见神经系统疾病的研究和交流。
本文章由计算机程序翻译,如有差异,请以英文原文为准。

Cerebrospinal Fluid Leak and Idiopathic Intracranial Hypertension in a Transgender Male: Is Intracranial Hypertension Hormonally Mediated?

Cerebrospinal Fluid Leak and Idiopathic Intracranial Hypertension in a Transgender Male: Is Intracranial Hypertension Hormonally Mediated?

Cerebrospinal Fluid Leak and Idiopathic Intracranial Hypertension in a Transgender Male: Is Intracranial Hypertension Hormonally Mediated?

Introduction: The pathophysiology of idiopathic intracranial hypertension (IIH) is not fully characterized, and less is known about its development in transgender patients. Several cases of IIH in transgender patients have been reported, but fewer cases have been published that identify a cerebrospinal fluid (CSF) leak as a complication of IIH in this population. These patients can serve as an important study population, as an association between exogenous testosterone use in karyotypical females and development of IIH may support a hormonally mediated mechanism of development of this disease.

Case presentation: We describe the case of a 33-year-old obese (BMI: 30.58 kg/m2) female-to-male transgender patient on exogenous testosterone for 15 years who presented with 1 month of acute or chronic headache with profuse rhinorrhea. Fundoscopic exam revealed disk pallor and edema consistent with a Frisen grade 3 papilledema. Nasal secretion was positive for beta-2 transferrin, consistent with CSF. Computed tomography head demonstrated a 5-mm defect in the medial left middle cranial fossa, bilateral optic nerve prominence and tortuosity, and abnormal arachnoid granulations concerning for IIH. After a successful endoscopic endonasal repair of the left lateral sphenoid recess leak, our patient continued to report headaches, was started on acetazolamide, and noted improvement in symptoms.

Conclusion: The case described herein further supports the growing body of evidence that implicates a hormonal mechanism of action in the development of IIH. Importantly, it also addresses the need for increased study and conversation about rare neurologic diseases in transgender patients.

求助全文
通过发布文献求助,成功后即可免费获取论文全文。 去求助
来源期刊
Case Reports in Neurology
Case Reports in Neurology Medicine-Neurology (clinical)
CiteScore
1.50
自引率
0.00%
发文量
67
审稿时长
14 weeks
期刊介绍: This new peer-reviewed online-only journal publishes original case reports covering the entire spectrum of neurology. Clinicians and researchers are given a tool to disseminate their personal experience to a wider public as well as to review interesting cases encountered by colleagues all over the world. To complement the contributions supplementary material is welcomed. The reports are searchable according to the key words supplied by the authors; it will thus be possible to search across the entire growing collection of case reports with universally used terms, further facilitating the retrieval of specific information. Following the open access principle, the entire contents can be retrieved at no charge, guaranteeing easy access to this valuable source of anecdotal information at all times.
×
引用
GB/T 7714-2015
复制
MLA
复制
APA
复制
导出至
BibTeX EndNote RefMan NoteFirst NoteExpress
×
提示
您的信息不完整,为了账户安全,请先补充。
现在去补充
×
提示
您因"违规操作"
具体请查看互助需知
我知道了
×
提示
确定
请完成安全验证×
copy
已复制链接
快去分享给好友吧!
我知道了
右上角分享
点击右上角分享
0
联系我们:info@booksci.cn Book学术提供免费学术资源搜索服务,方便国内外学者检索中英文文献。致力于提供最便捷和优质的服务体验。 Copyright © 2023 布克学术 All rights reserved.
京ICP备2023020795号-1
ghs 京公网安备 11010802042870号
Book学术文献互助
Book学术文献互助群
群 号:604180095
Book学术官方微信