在压力下工作:硬皮病肾危象中出现双侧渗出性视网膜脱离:病例报告。

IF 0.6 Q4 OPHTHALMOLOGY
Case Reports in Ophthalmology Pub Date : 2024-10-02 eCollection Date: 2024-01-01 DOI:10.1159/000530973
Rem Aziz, Cody Lo, James T Denstedt, Bernard Hurley
{"title":"在压力下工作:硬皮病肾危象中出现双侧渗出性视网膜脱离:病例报告。","authors":"Rem Aziz, Cody Lo, James T Denstedt, Bernard Hurley","doi":"10.1159/000530973","DOIUrl":null,"url":null,"abstract":"<p><p>This is an observational case report to detail a novel case of scleroderma renal crisis presenting as bilateral exudative retinal detachments in a patient with newly diagnosed systemic sclerosis. An otherwise healthy 58-year-old female presented primarily with vision complaints and was found to have malignant hypertension (230/120 mm Hg) and bilateral exudative retinal detachment on dilated fundus examination and macular OCT scan. Further history revealed sclerodactyly, mild dysphagia, and dyspnea. She was diagnosed with diffuse systemic sclerosis and Sjogren's syndrome complicated by an episode of scleroderma renal crisis based on initial medical workup. She was admitted to intensive care for management of refractory hypertension with IV antihypertensive therapy. Three months after treatment, her visual symptoms and ocular findings resolved. The presence of exudative retinal detachment among other signs of hypertensive retinopathy warrants thorough systemic screening for underlying causes of malignant hypertension, including systemic sclerosis. Treatment of the underlying disease with urgent antihypertensive therapy resolved the exudative retinal detachments and restored vision in the case of a scleroderma renal crisis.</p>","PeriodicalId":9635,"journal":{"name":"Case Reports in Ophthalmology","volume":"15 1","pages":"710-716"},"PeriodicalIF":0.6000,"publicationDate":"2024-10-02","publicationTypes":"Journal Article","fieldsOfStudy":null,"isOpenAccess":false,"openAccessPdf":"https://www.ncbi.nlm.nih.gov/pmc/articles/PMC11521407/pdf/","citationCount":"0","resultStr":"{\"title\":\"Working under Pressure: Scleroderma Presenting with Bilateral Exudative Retinal Detachment in the Context of Scleroderma Renal Crisis: A Case Report.\",\"authors\":\"Rem Aziz, Cody Lo, James T Denstedt, Bernard Hurley\",\"doi\":\"10.1159/000530973\",\"DOIUrl\":null,\"url\":null,\"abstract\":\"<p><p>This is an observational case report to detail a novel case of scleroderma renal crisis presenting as bilateral exudative retinal detachments in a patient with newly diagnosed systemic sclerosis. An otherwise healthy 58-year-old female presented primarily with vision complaints and was found to have malignant hypertension (230/120 mm Hg) and bilateral exudative retinal detachment on dilated fundus examination and macular OCT scan. Further history revealed sclerodactyly, mild dysphagia, and dyspnea. She was diagnosed with diffuse systemic sclerosis and Sjogren's syndrome complicated by an episode of scleroderma renal crisis based on initial medical workup. She was admitted to intensive care for management of refractory hypertension with IV antihypertensive therapy. Three months after treatment, her visual symptoms and ocular findings resolved. The presence of exudative retinal detachment among other signs of hypertensive retinopathy warrants thorough systemic screening for underlying causes of malignant hypertension, including systemic sclerosis. Treatment of the underlying disease with urgent antihypertensive therapy resolved the exudative retinal detachments and restored vision in the case of a scleroderma renal crisis.</p>\",\"PeriodicalId\":9635,\"journal\":{\"name\":\"Case Reports in Ophthalmology\",\"volume\":\"15 1\",\"pages\":\"710-716\"},\"PeriodicalIF\":0.6000,\"publicationDate\":\"2024-10-02\",\"publicationTypes\":\"Journal Article\",\"fieldsOfStudy\":null,\"isOpenAccess\":false,\"openAccessPdf\":\"https://www.ncbi.nlm.nih.gov/pmc/articles/PMC11521407/pdf/\",\"citationCount\":\"0\",\"resultStr\":null,\"platform\":\"Semanticscholar\",\"paperid\":null,\"PeriodicalName\":\"Case Reports in Ophthalmology\",\"FirstCategoryId\":\"1085\",\"ListUrlMain\":\"https://doi.org/10.1159/000530973\",\"RegionNum\":0,\"RegionCategory\":null,\"ArticlePicture\":[],\"TitleCN\":null,\"AbstractTextCN\":null,\"PMCID\":null,\"EPubDate\":\"2024/1/1 0:00:00\",\"PubModel\":\"eCollection\",\"JCR\":\"Q4\",\"JCRName\":\"OPHTHALMOLOGY\",\"Score\":null,\"Total\":0}","platform":"Semanticscholar","paperid":null,"PeriodicalName":"Case Reports in Ophthalmology","FirstCategoryId":"1085","ListUrlMain":"https://doi.org/10.1159/000530973","RegionNum":0,"RegionCategory":null,"ArticlePicture":[],"TitleCN":null,"AbstractTextCN":null,"PMCID":null,"EPubDate":"2024/1/1 0:00:00","PubModel":"eCollection","JCR":"Q4","JCRName":"OPHTHALMOLOGY","Score":null,"Total":0}
引用次数: 0

摘要

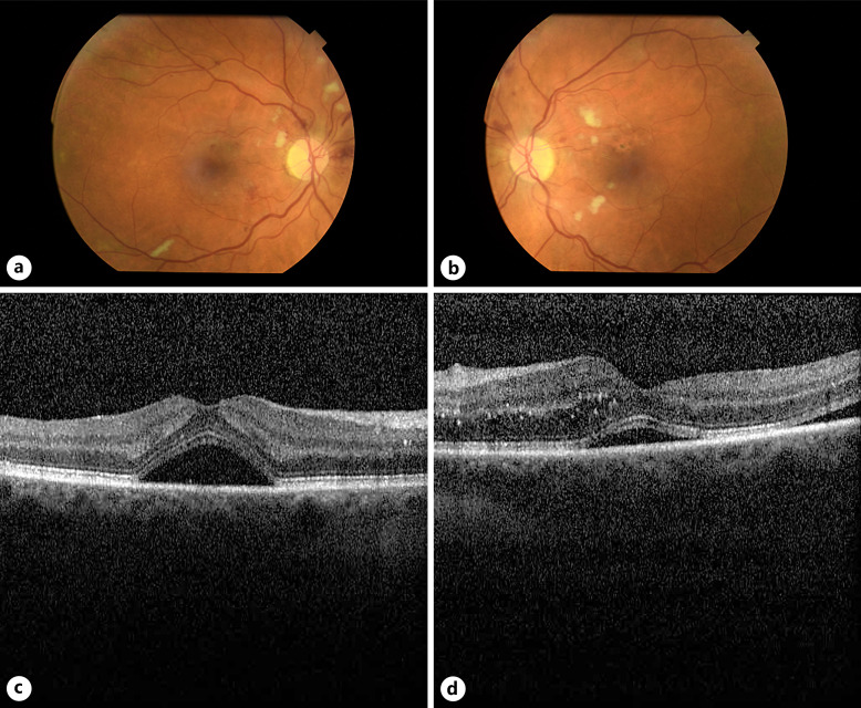
这是一份观察性病例报告,详细介绍了一例新确诊的系统性硬化症患者以双侧渗出性视网膜脱离为表现的硬皮病肾危象。一名 58 岁的女性患者原本身体健康,主要以视力不适为主要症状,经散瞳眼底检查和黄斑 OCT 扫描发现其患有恶性高血压(230/120 mm Hg)和双侧渗出性视网膜脱离。进一步的病史显示她有硬结、轻度吞咽困难和呼吸困难。根据最初的医学检查结果,她被诊断为弥漫性系统性硬化症和斯约格伦综合征,并发硬皮病肾危象。她被送入重症监护室,接受静脉降压治疗,以控制难治性高血压。治疗三个月后,她的视力症状和眼部检查结果均已缓解。由于存在渗出性视网膜脱离和其他高血压视网膜病变的迹象,需要对恶性高血压的潜在病因(包括系统性硬化症)进行彻底的系统筛查。通过紧急降压疗法治疗潜在疾病,解决了渗出性视网膜脱离问题,并恢复了硬皮病肾危象患者的视力。
本文章由计算机程序翻译,如有差异,请以英文原文为准。

Working under Pressure: Scleroderma Presenting with Bilateral Exudative Retinal Detachment in the Context of Scleroderma Renal Crisis: A Case Report.

Working under Pressure: Scleroderma Presenting with Bilateral Exudative Retinal Detachment in the Context of Scleroderma Renal Crisis: A Case Report.

Working under Pressure: Scleroderma Presenting with Bilateral Exudative Retinal Detachment in the Context of Scleroderma Renal Crisis: A Case Report.

Working under Pressure: Scleroderma Presenting with Bilateral Exudative Retinal Detachment in the Context of Scleroderma Renal Crisis: A Case Report.

This is an observational case report to detail a novel case of scleroderma renal crisis presenting as bilateral exudative retinal detachments in a patient with newly diagnosed systemic sclerosis. An otherwise healthy 58-year-old female presented primarily with vision complaints and was found to have malignant hypertension (230/120 mm Hg) and bilateral exudative retinal detachment on dilated fundus examination and macular OCT scan. Further history revealed sclerodactyly, mild dysphagia, and dyspnea. She was diagnosed with diffuse systemic sclerosis and Sjogren's syndrome complicated by an episode of scleroderma renal crisis based on initial medical workup. She was admitted to intensive care for management of refractory hypertension with IV antihypertensive therapy. Three months after treatment, her visual symptoms and ocular findings resolved. The presence of exudative retinal detachment among other signs of hypertensive retinopathy warrants thorough systemic screening for underlying causes of malignant hypertension, including systemic sclerosis. Treatment of the underlying disease with urgent antihypertensive therapy resolved the exudative retinal detachments and restored vision in the case of a scleroderma renal crisis.

求助全文
通过发布文献求助,成功后即可免费获取论文全文。 去求助
来源期刊
CiteScore
0.90
自引率
0.00%
发文量
129
审稿时长
12 weeks
期刊介绍: This peer-reviewed online-only journal publishes original case reports covering the entire spectrum of ophthalmology, including prevention, diagnosis, treatment, toxicities of therapy, supportive care, quality-of-life, and survivorship issues. The submission of negative results is strongly encouraged. The journal will also accept case reports dealing with the use of novel technologies, both in the arena of diagnosis and treatment. Supplementary material is welcomed. The intent of the journal is to provide clinicians and researchers with a tool to disseminate their personal experiences to a wider public as well as to review interesting cases encountered by colleagues all over the world. Universally used terms can be searched across the entire growing collection of case reports, further facilitating the retrieval of specific information. Following the open access principle, the entire contents can be retrieved at no charge, guaranteeing easy access to this valuable source of anecdotal information at all times.
×
引用
GB/T 7714-2015
复制
MLA
复制
APA
复制
导出至
BibTeX EndNote RefMan NoteFirst NoteExpress
×
提示
您的信息不完整,为了账户安全,请先补充。
现在去补充
×
提示
您因"违规操作"
具体请查看互助需知
我知道了
×
提示
确定
请完成安全验证×
copy
已复制链接
快去分享给好友吧!
我知道了
右上角分享
点击右上角分享
0
联系我们:info@booksci.cn Book学术提供免费学术资源搜索服务,方便国内外学者检索中英文文献。致力于提供最便捷和优质的服务体验。 Copyright © 2023 布克学术 All rights reserved.
京ICP备2023020795号-1
ghs 京公网安备 11010802042870号
Book学术文献互助
Book学术文献互助群
群 号:604180095
Book学术官方微信