用于治疗波尔哈韦综合征的腔内真空疗法:病例系列。

IF 0.6 Q4 GASTROENTEROLOGY & HEPATOLOGY
Case Reports in Gastroenterology Pub Date : 2024-08-28 eCollection Date: 2024-01-01 DOI:10.1159/000540694
Daniella Soussi, Batool Helmi Ahmad Alharahsheh, Piers Robert Boshier, Jonathan Hoare, Natalie Direkze, Robert Thomas, Christopher John Peters, Sophie Stevens
{"title":"用于治疗波尔哈韦综合征的腔内真空疗法:病例系列。","authors":"Daniella Soussi, Batool Helmi Ahmad Alharahsheh, Piers Robert Boshier, Jonathan Hoare, Natalie Direkze, Robert Thomas, Christopher John Peters, Sophie Stevens","doi":"10.1159/000540694","DOIUrl":null,"url":null,"abstract":"<p><strong>Introduction: </strong>Boerhaave syndrome is a rare condition associated with high morbidity and mortality. Prompt intervention greatly improves outcomes, with surgery traditionally being the mainstay of management. Recent advances in therapeutic endoscopy have led to increasing interest in endoluminal vacuum therapy (EVT), a minimally invasive technique, allowing wound debridement and drainage, encouraging granulation tissue formation. EVT has been associated with positive clinical outcomes, including lower mortality rates compared to surgery and stenting for the management of anastomotic leaks, and to a lesser extent, oesophageal perforations. EVT has been adopted into practice across Europe; however, only few cases have been reported from the UK.</p><p><strong>Case presentations: </strong>We report three cases of Boerhaave syndrome, successfully managed with EVT, using the Eso-SPONGE <sup>®</sup> (B.Braun Medical Ltd, Sheffield, UK). EVT involves the placement of a polyurethane sponge into the wound cavity. The cavity is initially assessed, then an overtube is introduced through which the sponge is inserted, and then the overtube is removed. Sponge position is confirmed and adjusted if necessary. The sponge is connected via a trans-nasal drain to continuous negative pressure suction and is changed every 3-5 days. Having been deemed surgically unfit, all 3 patients were referred for EVT. All patients made excellent recovery and were discharged home.</p><p><strong>Conclusion: </strong>EVT is an effective management strategy for surgically unfit Boerhaave syndrome patients. Eso-SPONGE use aided drainage of the septic focus and closure of the defect, leading to complete recovery. Our findings support the existing evidence that EVT is a promising solution for Boerhaave syndrome.</p>","PeriodicalId":9614,"journal":{"name":"Case Reports in Gastroenterology","volume":"18 1","pages":"402-411"},"PeriodicalIF":0.6000,"publicationDate":"2024-08-28","publicationTypes":"Journal Article","fieldsOfStudy":null,"isOpenAccess":false,"openAccessPdf":"https://www.ncbi.nlm.nih.gov/pmc/articles/PMC11521460/pdf/","citationCount":"0","resultStr":"{\"title\":\"Endoluminal Vacuum Therapy for the Management of Boerhaave Syndrome: A Case Series.\",\"authors\":\"Daniella Soussi, Batool Helmi Ahmad Alharahsheh, Piers Robert Boshier, Jonathan Hoare, Natalie Direkze, Robert Thomas, Christopher John Peters, Sophie Stevens\",\"doi\":\"10.1159/000540694\",\"DOIUrl\":null,\"url\":null,\"abstract\":\"<p><strong>Introduction: </strong>Boerhaave syndrome is a rare condition associated with high morbidity and mortality. Prompt intervention greatly improves outcomes, with surgery traditionally being the mainstay of management. Recent advances in therapeutic endoscopy have led to increasing interest in endoluminal vacuum therapy (EVT), a minimally invasive technique, allowing wound debridement and drainage, encouraging granulation tissue formation. EVT has been associated with positive clinical outcomes, including lower mortality rates compared to surgery and stenting for the management of anastomotic leaks, and to a lesser extent, oesophageal perforations. EVT has been adopted into practice across Europe; however, only few cases have been reported from the UK.</p><p><strong>Case presentations: </strong>We report three cases of Boerhaave syndrome, successfully managed with EVT, using the Eso-SPONGE <sup>®</sup> (B.Braun Medical Ltd, Sheffield, UK). EVT involves the placement of a polyurethane sponge into the wound cavity. The cavity is initially assessed, then an overtube is introduced through which the sponge is inserted, and then the overtube is removed. Sponge position is confirmed and adjusted if necessary. The sponge is connected via a trans-nasal drain to continuous negative pressure suction and is changed every 3-5 days. Having been deemed surgically unfit, all 3 patients were referred for EVT. All patients made excellent recovery and were discharged home.</p><p><strong>Conclusion: </strong>EVT is an effective management strategy for surgically unfit Boerhaave syndrome patients. Eso-SPONGE use aided drainage of the septic focus and closure of the defect, leading to complete recovery. Our findings support the existing evidence that EVT is a promising solution for Boerhaave syndrome.</p>\",\"PeriodicalId\":9614,\"journal\":{\"name\":\"Case Reports in Gastroenterology\",\"volume\":\"18 1\",\"pages\":\"402-411\"},\"PeriodicalIF\":0.6000,\"publicationDate\":\"2024-08-28\",\"publicationTypes\":\"Journal Article\",\"fieldsOfStudy\":null,\"isOpenAccess\":false,\"openAccessPdf\":\"https://www.ncbi.nlm.nih.gov/pmc/articles/PMC11521460/pdf/\",\"citationCount\":\"0\",\"resultStr\":null,\"platform\":\"Semanticscholar\",\"paperid\":null,\"PeriodicalName\":\"Case Reports in Gastroenterology\",\"FirstCategoryId\":\"1085\",\"ListUrlMain\":\"https://doi.org/10.1159/000540694\",\"RegionNum\":0,\"RegionCategory\":null,\"ArticlePicture\":[],\"TitleCN\":null,\"AbstractTextCN\":null,\"PMCID\":null,\"EPubDate\":\"2024/1/1 0:00:00\",\"PubModel\":\"eCollection\",\"JCR\":\"Q4\",\"JCRName\":\"GASTROENTEROLOGY & HEPATOLOGY\",\"Score\":null,\"Total\":0}","platform":"Semanticscholar","paperid":null,"PeriodicalName":"Case Reports in Gastroenterology","FirstCategoryId":"1085","ListUrlMain":"https://doi.org/10.1159/000540694","RegionNum":0,"RegionCategory":null,"ArticlePicture":[],"TitleCN":null,"AbstractTextCN":null,"PMCID":null,"EPubDate":"2024/1/1 0:00:00","PubModel":"eCollection","JCR":"Q4","JCRName":"GASTROENTEROLOGY & HEPATOLOGY","Score":null,"Total":0}
引用次数: 0

摘要

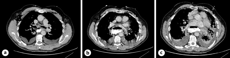
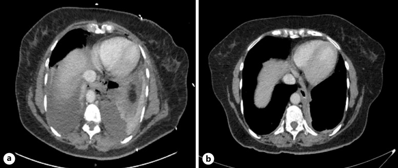
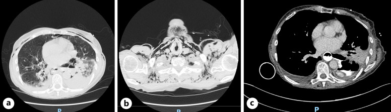
简介布尔哈韦综合征是一种罕见的疾病,发病率和死亡率都很高。及时干预可大大改善预后,手术是传统的主要治疗方法。最近,治疗性内窥镜技术的进步使人们对腔内真空疗法(EVT)越来越感兴趣,这是一种微创技术,可以对伤口进行清创和引流,促进肉芽组织的形成。EVT 具有积极的临床效果,包括与手术和支架治疗吻合口漏相比死亡率较低,其次是食道穿孔。EVT在欧洲已被广泛采用,但在英国却鲜有报道:我们报告了三例 Boerhaave 综合征病例,这些病例均使用 Eso-SPONGE ®(B.Braun Medical Ltd,英国谢菲尔德)EVT 成功治愈。EVT包括将聚氨酯海绵放入伤口腔内。首先对创腔进行评估,然后通过导管插入海绵,最后拔出导管。确认海绵位置,必要时进行调整。海绵通过经鼻引流管连接到持续负压吸引器,每 3-5 天更换一次。由于被认为不适合手术,所有 3 名患者都被转诊接受了 EVT。所有患者均恢复良好,并已出院回家:结论:对于不适合手术的波尔哈韦综合征患者,EVT 是一种有效的治疗策略。使用 Eso-SPONGE 有助于引流化脓灶和闭合缺损,使患者完全康复。我们的研究结果支持现有的证据,即 EVT 是治疗 Boerhaave 综合征的一种很有前景的方法。
本文章由计算机程序翻译,如有差异,请以英文原文为准。

Endoluminal Vacuum Therapy for the Management of Boerhaave Syndrome: A Case Series.

Endoluminal Vacuum Therapy for the Management of Boerhaave Syndrome: A Case Series.

Endoluminal Vacuum Therapy for the Management of Boerhaave Syndrome: A Case Series.

Endoluminal Vacuum Therapy for the Management of Boerhaave Syndrome: A Case Series.

Introduction: Boerhaave syndrome is a rare condition associated with high morbidity and mortality. Prompt intervention greatly improves outcomes, with surgery traditionally being the mainstay of management. Recent advances in therapeutic endoscopy have led to increasing interest in endoluminal vacuum therapy (EVT), a minimally invasive technique, allowing wound debridement and drainage, encouraging granulation tissue formation. EVT has been associated with positive clinical outcomes, including lower mortality rates compared to surgery and stenting for the management of anastomotic leaks, and to a lesser extent, oesophageal perforations. EVT has been adopted into practice across Europe; however, only few cases have been reported from the UK.

Case presentations: We report three cases of Boerhaave syndrome, successfully managed with EVT, using the Eso-SPONGE ® (B.Braun Medical Ltd, Sheffield, UK). EVT involves the placement of a polyurethane sponge into the wound cavity. The cavity is initially assessed, then an overtube is introduced through which the sponge is inserted, and then the overtube is removed. Sponge position is confirmed and adjusted if necessary. The sponge is connected via a trans-nasal drain to continuous negative pressure suction and is changed every 3-5 days. Having been deemed surgically unfit, all 3 patients were referred for EVT. All patients made excellent recovery and were discharged home.

Conclusion: EVT is an effective management strategy for surgically unfit Boerhaave syndrome patients. Eso-SPONGE use aided drainage of the septic focus and closure of the defect, leading to complete recovery. Our findings support the existing evidence that EVT is a promising solution for Boerhaave syndrome.

求助全文
通过发布文献求助,成功后即可免费获取论文全文。 去求助
来源期刊
Case Reports in Gastroenterology
Case Reports in Gastroenterology Medicine-Gastroenterology
CiteScore
1.10
自引率
0.00%
发文量
99
审稿时长
7 weeks
期刊介绍:
×
引用
GB/T 7714-2015
复制
MLA
复制
APA
复制
导出至
BibTeX EndNote RefMan NoteFirst NoteExpress
×
提示
您的信息不完整,为了账户安全,请先补充。
现在去补充
×
提示
您因"违规操作"
具体请查看互助需知
我知道了
×
提示
确定
请完成安全验证×
copy
已复制链接
快去分享给好友吧!
我知道了
右上角分享
点击右上角分享
0
联系我们:info@booksci.cn Book学术提供免费学术资源搜索服务,方便国内外学者检索中英文文献。致力于提供最便捷和优质的服务体验。 Copyright © 2023 布克学术 All rights reserved.
京ICP备2023020795号-1
ghs 京公网安备 11010802042870号
Book学术文献互助
Book学术文献互助群
群 号:604180095
Book学术官方微信