引发高血压急症的巨大子宫内膜异位症:病例报告。

IF 0.8 Q4 OBSTETRICS & GYNECOLOGY
Case Reports in Obstetrics and Gynecology Pub Date : 2024-10-23 eCollection Date: 2024-01-01 DOI:10.1155/2024/7869172
Varnita Vishwanath, Gregory Marchand, Ali Azadi
{"title":"引发高血压急症的巨大子宫内膜异位症:病例报告。","authors":"Varnita Vishwanath, Gregory Marchand, Ali Azadi","doi":"10.1155/2024/7869172","DOIUrl":null,"url":null,"abstract":"<p><p>Endometriosis is a common gynecological condition in women of reproductive age and has variable symptomology such as pelvic pain, menorrhagia, dysmenorrhea, dyspareunia, and infertility. Endometriomas are a form of endometriosis and are characterized by cystic masses most commonly found on the ovaries. This case discusses the management of a rare occurrence of a 25-cm endometrioma in a patient without a prior diagnosis of endometriosis, who presented to the emergency room in an acute hypertensive emergency. It is believed that the large cyst caused a mass effect against renal vasculature precipitating renovascular hypertension that required immediate intervention. This case was approached with minimally invasive surgical removal of the cyst and lysis of adhesions without postoperative complications.</p>","PeriodicalId":9610,"journal":{"name":"Case Reports in Obstetrics and Gynecology","volume":"2024 ","pages":"7869172"},"PeriodicalIF":0.8000,"publicationDate":"2024-10-23","publicationTypes":"Journal Article","fieldsOfStudy":null,"isOpenAccess":false,"openAccessPdf":"https://www.ncbi.nlm.nih.gov/pmc/articles/PMC11524699/pdf/","citationCount":"0","resultStr":"{\"title\":\"Large Endometrioma That Triggered a Hypertensive Emergency: A Case Report.\",\"authors\":\"Varnita Vishwanath, Gregory Marchand, Ali Azadi\",\"doi\":\"10.1155/2024/7869172\",\"DOIUrl\":null,\"url\":null,\"abstract\":\"<p><p>Endometriosis is a common gynecological condition in women of reproductive age and has variable symptomology such as pelvic pain, menorrhagia, dysmenorrhea, dyspareunia, and infertility. Endometriomas are a form of endometriosis and are characterized by cystic masses most commonly found on the ovaries. This case discusses the management of a rare occurrence of a 25-cm endometrioma in a patient without a prior diagnosis of endometriosis, who presented to the emergency room in an acute hypertensive emergency. It is believed that the large cyst caused a mass effect against renal vasculature precipitating renovascular hypertension that required immediate intervention. This case was approached with minimally invasive surgical removal of the cyst and lysis of adhesions without postoperative complications.</p>\",\"PeriodicalId\":9610,\"journal\":{\"name\":\"Case Reports in Obstetrics and Gynecology\",\"volume\":\"2024 \",\"pages\":\"7869172\"},\"PeriodicalIF\":0.8000,\"publicationDate\":\"2024-10-23\",\"publicationTypes\":\"Journal Article\",\"fieldsOfStudy\":null,\"isOpenAccess\":false,\"openAccessPdf\":\"https://www.ncbi.nlm.nih.gov/pmc/articles/PMC11524699/pdf/\",\"citationCount\":\"0\",\"resultStr\":null,\"platform\":\"Semanticscholar\",\"paperid\":null,\"PeriodicalName\":\"Case Reports in Obstetrics and Gynecology\",\"FirstCategoryId\":\"1085\",\"ListUrlMain\":\"https://doi.org/10.1155/2024/7869172\",\"RegionNum\":0,\"RegionCategory\":null,\"ArticlePicture\":[],\"TitleCN\":null,\"AbstractTextCN\":null,\"PMCID\":null,\"EPubDate\":\"2024/1/1 0:00:00\",\"PubModel\":\"eCollection\",\"JCR\":\"Q4\",\"JCRName\":\"OBSTETRICS & GYNECOLOGY\",\"Score\":null,\"Total\":0}","platform":"Semanticscholar","paperid":null,"PeriodicalName":"Case Reports in Obstetrics and Gynecology","FirstCategoryId":"1085","ListUrlMain":"https://doi.org/10.1155/2024/7869172","RegionNum":0,"RegionCategory":null,"ArticlePicture":[],"TitleCN":null,"AbstractTextCN":null,"PMCID":null,"EPubDate":"2024/1/1 0:00:00","PubModel":"eCollection","JCR":"Q4","JCRName":"OBSTETRICS & GYNECOLOGY","Score":null,"Total":0}
引用次数: 0

摘要

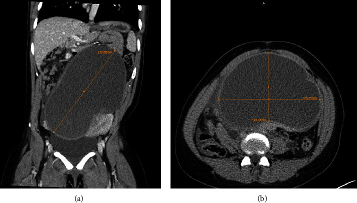
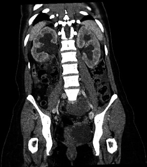
子宫内膜异位症是育龄妇女常见的妇科疾病,其症状多种多样,如盆腔疼痛、月经过多、痛经、排便困难和不孕。子宫内膜异位症是子宫内膜异位症的一种,其特征是囊性肿块,最常见于卵巢。本病例讨论的是一个罕见的 25 厘米子宫内膜异位症患者的治疗方法,该患者之前未确诊为子宫内膜异位症,因急性高血压急诊入院。据认为,巨大的囊肿对肾脏血管造成了肿块效应,引发了新血管性高血压,需要立即进行干预。该病例采用微创手术切除囊肿并溶解粘连,术后未出现并发症。
本文章由计算机程序翻译,如有差异,请以英文原文为准。

Large Endometrioma That Triggered a Hypertensive Emergency: A Case Report.

Large Endometrioma That Triggered a Hypertensive Emergency: A Case Report.

Large Endometrioma That Triggered a Hypertensive Emergency: A Case Report.

Endometriosis is a common gynecological condition in women of reproductive age and has variable symptomology such as pelvic pain, menorrhagia, dysmenorrhea, dyspareunia, and infertility. Endometriomas are a form of endometriosis and are characterized by cystic masses most commonly found on the ovaries. This case discusses the management of a rare occurrence of a 25-cm endometrioma in a patient without a prior diagnosis of endometriosis, who presented to the emergency room in an acute hypertensive emergency. It is believed that the large cyst caused a mass effect against renal vasculature precipitating renovascular hypertension that required immediate intervention. This case was approached with minimally invasive surgical removal of the cyst and lysis of adhesions without postoperative complications.

求助全文
通过发布文献求助,成功后即可免费获取论文全文。 去求助
来源期刊
Case Reports in Obstetrics and Gynecology
Case Reports in Obstetrics and Gynecology Medicine-Obstetrics and Gynecology
CiteScore
1.30
自引率
0.00%
发文量
64
审稿时长
12 weeks
×
引用
GB/T 7714-2015
复制
MLA
复制
APA
复制
导出至
BibTeX EndNote RefMan NoteFirst NoteExpress
×
提示
您的信息不完整,为了账户安全,请先补充。
现在去补充
×
提示
您因"违规操作"
具体请查看互助需知
我知道了
×
提示
确定
请完成安全验证×
copy
已复制链接
快去分享给好友吧!
我知道了
右上角分享
点击右上角分享
0
联系我们:info@booksci.cn Book学术提供免费学术资源搜索服务,方便国内外学者检索中英文文献。致力于提供最便捷和优质的服务体验。 Copyright © 2023 布克学术 All rights reserved.
京ICP备2023020795号-1
ghs 京公网安备 11010802042870号
Book学术文献互助
Book学术文献互助群
群 号:604180095
Book学术官方微信