一例伴有浆液性输卵管上皮内癌的腹膜癌。

IF 0.8 Q4 OBSTETRICS & GYNECOLOGY
Case Reports in Obstetrics and Gynecology Pub Date : 2024-10-22 eCollection Date: 2024-01-01 DOI:10.1155/2024/1907965
Akiko Kanemura, Tohru Morisada, Mai Momomura, Fumio Asano, Hiromi Shibuya, Hironori Matsumoto, Kiyotaka Nagahama, Junji Shibahara, Yoichi Kobayashi
{"title":"一例伴有浆液性输卵管上皮内癌的腹膜癌。","authors":"Akiko Kanemura, Tohru Morisada, Mai Momomura, Fumio Asano, Hiromi Shibuya, Hironori Matsumoto, Kiyotaka Nagahama, Junji Shibahara, Yoichi Kobayashi","doi":"10.1155/2024/1907965","DOIUrl":null,"url":null,"abstract":"<p><p>In this case, a 66-year-old female patient presented with the chief complaint of abdominal distention. Computed tomography and magnetic resonance imaging revealed no enlarged ovaries or obvious primary lesions; however, massive ascites and peritoneal disseminated nodules were observed. Ascites cytology revealed adenocarcinoma and immunohistochemical findings suggested serous carcinoma. The patient then underwent tumor reduction surgery after preoperative chemotherapy for suspected Stage IIIC primary peritoneal carcinoma. Postoperative histopathology revealed carcinoma consisting mainly of high-grade serous carcinoma (HGSC) and sarcoma. In addition, serous intraepithelial carcinoma (STIC) of the fallopian tube was observed in the fimbriae of the left fallopian tube. Recently, it has been noted in the literature that most cases of peritoneal carcinoma are metastases or dissemination of carcinoma originating from the fimbriae of the fallopian tube. This is a rare case of peritoneal carcinosarcoma with STIC, and its report leads to a better understanding of the disease's features and possible therapeutic approaches.</p>","PeriodicalId":9610,"journal":{"name":"Case Reports in Obstetrics and Gynecology","volume":"2024 ","pages":"1907965"},"PeriodicalIF":0.8000,"publicationDate":"2024-10-22","publicationTypes":"Journal Article","fieldsOfStudy":null,"isOpenAccess":false,"openAccessPdf":"https://www.ncbi.nlm.nih.gov/pmc/articles/PMC11521582/pdf/","citationCount":"0","resultStr":"{\"title\":\"A Case of Carcinosarcoma of the Peritoneum With Serous Tubal Intraepithelial Carcinoma.\",\"authors\":\"Akiko Kanemura, Tohru Morisada, Mai Momomura, Fumio Asano, Hiromi Shibuya, Hironori Matsumoto, Kiyotaka Nagahama, Junji Shibahara, Yoichi Kobayashi\",\"doi\":\"10.1155/2024/1907965\",\"DOIUrl\":null,\"url\":null,\"abstract\":\"<p><p>In this case, a 66-year-old female patient presented with the chief complaint of abdominal distention. Computed tomography and magnetic resonance imaging revealed no enlarged ovaries or obvious primary lesions; however, massive ascites and peritoneal disseminated nodules were observed. Ascites cytology revealed adenocarcinoma and immunohistochemical findings suggested serous carcinoma. The patient then underwent tumor reduction surgery after preoperative chemotherapy for suspected Stage IIIC primary peritoneal carcinoma. Postoperative histopathology revealed carcinoma consisting mainly of high-grade serous carcinoma (HGSC) and sarcoma. In addition, serous intraepithelial carcinoma (STIC) of the fallopian tube was observed in the fimbriae of the left fallopian tube. Recently, it has been noted in the literature that most cases of peritoneal carcinoma are metastases or dissemination of carcinoma originating from the fimbriae of the fallopian tube. This is a rare case of peritoneal carcinosarcoma with STIC, and its report leads to a better understanding of the disease's features and possible therapeutic approaches.</p>\",\"PeriodicalId\":9610,\"journal\":{\"name\":\"Case Reports in Obstetrics and Gynecology\",\"volume\":\"2024 \",\"pages\":\"1907965\"},\"PeriodicalIF\":0.8000,\"publicationDate\":\"2024-10-22\",\"publicationTypes\":\"Journal Article\",\"fieldsOfStudy\":null,\"isOpenAccess\":false,\"openAccessPdf\":\"https://www.ncbi.nlm.nih.gov/pmc/articles/PMC11521582/pdf/\",\"citationCount\":\"0\",\"resultStr\":null,\"platform\":\"Semanticscholar\",\"paperid\":null,\"PeriodicalName\":\"Case Reports in Obstetrics and Gynecology\",\"FirstCategoryId\":\"1085\",\"ListUrlMain\":\"https://doi.org/10.1155/2024/1907965\",\"RegionNum\":0,\"RegionCategory\":null,\"ArticlePicture\":[],\"TitleCN\":null,\"AbstractTextCN\":null,\"PMCID\":null,\"EPubDate\":\"2024/1/1 0:00:00\",\"PubModel\":\"eCollection\",\"JCR\":\"Q4\",\"JCRName\":\"OBSTETRICS & GYNECOLOGY\",\"Score\":null,\"Total\":0}","platform":"Semanticscholar","paperid":null,"PeriodicalName":"Case Reports in Obstetrics and Gynecology","FirstCategoryId":"1085","ListUrlMain":"https://doi.org/10.1155/2024/1907965","RegionNum":0,"RegionCategory":null,"ArticlePicture":[],"TitleCN":null,"AbstractTextCN":null,"PMCID":null,"EPubDate":"2024/1/1 0:00:00","PubModel":"eCollection","JCR":"Q4","JCRName":"OBSTETRICS & GYNECOLOGY","Score":null,"Total":0}
引用次数: 0

摘要

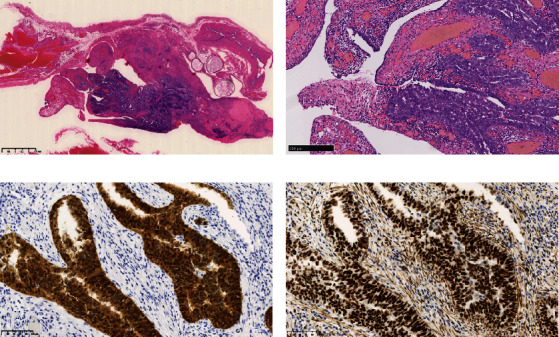
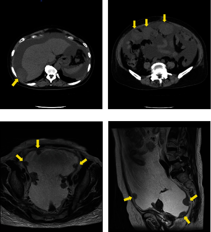
在本病例中,一名 66 岁的女性患者以腹胀为主诉。计算机断层扫描和磁共振成像显示卵巢没有增大,也没有明显的原发病灶;但观察到大量腹水和腹膜播散性结节。腹水细胞学显示为腺癌,免疫组化结果显示为浆液性癌。术前化疗后,患者接受了疑似 IIIC 期原发性腹膜癌的肿瘤缩小手术。术后组织病理学显示,癌细胞主要由高级别浆液性癌(HGSC)和肉瘤组成。此外,在左侧输卵管的缘膜上还发现了输卵管浆液性上皮内癌(STIC)。最近有文献指出,大多数腹膜癌病例都是源自输卵管纤毛缘的癌转移或扩散。这是一例罕见的伴有STIC的腹膜癌,报告该病例有助于更好地了解该疾病的特征和可能的治疗方法。
本文章由计算机程序翻译,如有差异,请以英文原文为准。

A Case of Carcinosarcoma of the Peritoneum With Serous Tubal Intraepithelial Carcinoma.

A Case of Carcinosarcoma of the Peritoneum With Serous Tubal Intraepithelial Carcinoma.

A Case of Carcinosarcoma of the Peritoneum With Serous Tubal Intraepithelial Carcinoma.

A Case of Carcinosarcoma of the Peritoneum With Serous Tubal Intraepithelial Carcinoma.

In this case, a 66-year-old female patient presented with the chief complaint of abdominal distention. Computed tomography and magnetic resonance imaging revealed no enlarged ovaries or obvious primary lesions; however, massive ascites and peritoneal disseminated nodules were observed. Ascites cytology revealed adenocarcinoma and immunohistochemical findings suggested serous carcinoma. The patient then underwent tumor reduction surgery after preoperative chemotherapy for suspected Stage IIIC primary peritoneal carcinoma. Postoperative histopathology revealed carcinoma consisting mainly of high-grade serous carcinoma (HGSC) and sarcoma. In addition, serous intraepithelial carcinoma (STIC) of the fallopian tube was observed in the fimbriae of the left fallopian tube. Recently, it has been noted in the literature that most cases of peritoneal carcinoma are metastases or dissemination of carcinoma originating from the fimbriae of the fallopian tube. This is a rare case of peritoneal carcinosarcoma with STIC, and its report leads to a better understanding of the disease's features and possible therapeutic approaches.

求助全文
通过发布文献求助,成功后即可免费获取论文全文。 去求助
来源期刊
Case Reports in Obstetrics and Gynecology
Case Reports in Obstetrics and Gynecology Medicine-Obstetrics and Gynecology
CiteScore
1.30
自引率
0.00%
发文量
64
审稿时长
12 weeks
×
引用
GB/T 7714-2015
复制
MLA
复制
APA
复制
导出至
BibTeX EndNote RefMan NoteFirst NoteExpress
×
提示
您的信息不完整,为了账户安全,请先补充。
现在去补充
×
提示
您因"违规操作"
具体请查看互助需知
我知道了
×
提示
确定
请完成安全验证×
copy
已复制链接
快去分享给好友吧!
我知道了
右上角分享
点击右上角分享
0
联系我们:info@booksci.cn Book学术提供免费学术资源搜索服务,方便国内外学者检索中英文文献。致力于提供最便捷和优质的服务体验。 Copyright © 2023 布克学术 All rights reserved.
京ICP备2023020795号-1
ghs 京公网安备 11010802042870号
Book学术文献互助
Book学术文献互助群
群 号:604180095
Book学术官方微信