囊血管化:脉络膜上三苯氧胺的作用和组织病理学。

Avadhesh Oli, Simran Dhami, Lakshmi Nair, Deepti Mutreja, Bhavaraj Veerabhadhra Rao
{"title":"囊血管化:脉络膜上三苯氧胺的作用和组织病理学。","authors":"Avadhesh Oli, Simran Dhami, Lakshmi Nair, Deepti Mutreja, Bhavaraj Veerabhadhra Rao","doi":"10.22336/rjo.2024.58","DOIUrl":null,"url":null,"abstract":"<p><strong>Introduction: </strong>Neovascularization of the lens is a rare entity linked to lens-induced inflammation due to many causes like trauma. We describe a case managed using suprachoroidal triamcinolone, an anti-VEGF injection, in conjunction with cataract surgery and IOL implantation.</p><p><strong>Patient and clinical findings: </strong>A male patient, 27, presented with a severe reduction in vision in his right eye (RE) accompanied by redness for one month. He also had a distant history of blunt trauma to the RE approximately eight years before. His vision in the RE was reduced to hand motion and 20/20 in the left eye. Examining the anterior segment in RE revealed lenticular neovascularization, irregular anterior capsular thickening, iris sphincter tear at the 12 o'clock position, and fine KPs, with iris pigment clumps on the anterior capsule.</p><p><strong>Diagnosis treatment and results: </strong>To reduce vascularization and inflammation, the patient was treated with intravitreal Anti-VEGF and suprachoroidal triamcinolone by an innovative technique, along with cataract surgery, following which visual acuity improved to 20/20.</p><p><strong>Conclusions and significance: </strong>In this exceptional case report, suprachoroidal TA has been used for the first time to treat ocular inflammation and vascularization in traumatic cataract with capsular neovascularization and lens-induced uveitis.</p>","PeriodicalId":94355,"journal":{"name":"Romanian journal of ophthalmology","volume":"68 3","pages":"321-324"},"PeriodicalIF":0.0000,"publicationDate":"2024-07-01","publicationTypes":"Journal Article","fieldsOfStudy":null,"isOpenAccess":false,"openAccessPdf":"https://www.ncbi.nlm.nih.gov/pmc/articles/PMC11503217/pdf/","citationCount":"0","resultStr":"{\"title\":\"Capsular vascularization: role of suprachoroidal triamcinolone and histopathology.\",\"authors\":\"Avadhesh Oli, Simran Dhami, Lakshmi Nair, Deepti Mutreja, Bhavaraj Veerabhadhra Rao\",\"doi\":\"10.22336/rjo.2024.58\",\"DOIUrl\":null,\"url\":null,\"abstract\":\"<p><strong>Introduction: </strong>Neovascularization of the lens is a rare entity linked to lens-induced inflammation due to many causes like trauma. We describe a case managed using suprachoroidal triamcinolone, an anti-VEGF injection, in conjunction with cataract surgery and IOL implantation.</p><p><strong>Patient and clinical findings: </strong>A male patient, 27, presented with a severe reduction in vision in his right eye (RE) accompanied by redness for one month. He also had a distant history of blunt trauma to the RE approximately eight years before. His vision in the RE was reduced to hand motion and 20/20 in the left eye. Examining the anterior segment in RE revealed lenticular neovascularization, irregular anterior capsular thickening, iris sphincter tear at the 12 o'clock position, and fine KPs, with iris pigment clumps on the anterior capsule.</p><p><strong>Diagnosis treatment and results: </strong>To reduce vascularization and inflammation, the patient was treated with intravitreal Anti-VEGF and suprachoroidal triamcinolone by an innovative technique, along with cataract surgery, following which visual acuity improved to 20/20.</p><p><strong>Conclusions and significance: </strong>In this exceptional case report, suprachoroidal TA has been used for the first time to treat ocular inflammation and vascularization in traumatic cataract with capsular neovascularization and lens-induced uveitis.</p>\",\"PeriodicalId\":94355,\"journal\":{\"name\":\"Romanian journal of ophthalmology\",\"volume\":\"68 3\",\"pages\":\"321-324\"},\"PeriodicalIF\":0.0000,\"publicationDate\":\"2024-07-01\",\"publicationTypes\":\"Journal Article\",\"fieldsOfStudy\":null,\"isOpenAccess\":false,\"openAccessPdf\":\"https://www.ncbi.nlm.nih.gov/pmc/articles/PMC11503217/pdf/\",\"citationCount\":\"0\",\"resultStr\":null,\"platform\":\"Semanticscholar\",\"paperid\":null,\"PeriodicalName\":\"Romanian journal of ophthalmology\",\"FirstCategoryId\":\"1085\",\"ListUrlMain\":\"https://doi.org/10.22336/rjo.2024.58\",\"RegionNum\":0,\"RegionCategory\":null,\"ArticlePicture\":[],\"TitleCN\":null,\"AbstractTextCN\":null,\"PMCID\":null,\"EPubDate\":\"\",\"PubModel\":\"\",\"JCR\":\"\",\"JCRName\":\"\",\"Score\":null,\"Total\":0}","platform":"Semanticscholar","paperid":null,"PeriodicalName":"Romanian journal of ophthalmology","FirstCategoryId":"1085","ListUrlMain":"https://doi.org/10.22336/rjo.2024.58","RegionNum":0,"RegionCategory":null,"ArticlePicture":[],"TitleCN":null,"AbstractTextCN":null,"PMCID":null,"EPubDate":"","PubModel":"","JCR":"","JCRName":"","Score":null,"Total":0}
引用次数: 0

摘要

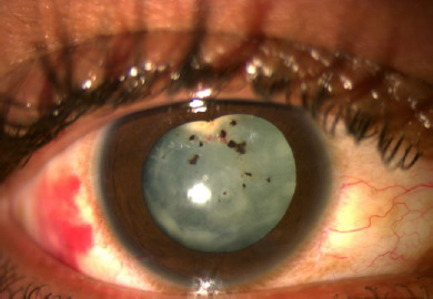
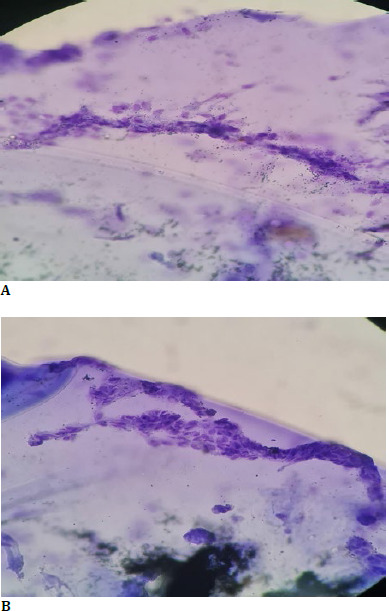
简介晶状体新生血管是一种罕见病症,与外伤等多种原因导致的晶状体炎症有关。我们描述了一例使用脉络膜上曲安奈德(一种抗血管内皮生长因子注射剂),结合白内障手术和人工晶体植入术进行治疗的病例:一名 27 岁的男性患者因右眼(RE)视力严重下降并伴有发红症状一个月而就诊。大约八年前,他的右眼曾受过钝性外伤。他的右眼视力下降到手能动,左眼视力为 20/20。检查RE前段时发现透镜状新生血管、不规则的前囊增厚、12点钟位置的虹膜括约肌撕裂和细小的KPs,前囊上有虹膜色素块:为了减少血管和炎症,患者接受了玻璃体内抗血管内皮生长因子(Anti-VEGF)和脉络膜上曲安奈德(triamcinolone)治疗,同时接受了白内障手术,术后视力提高到 20/20:在这一特殊病例报告中,首次使用脉络膜上曲安奈德治疗外伤性白内障伴囊内新生血管和透镜引起的葡萄膜炎的眼部炎症和血管化。
本文章由计算机程序翻译,如有差异,请以英文原文为准。

Capsular vascularization: role of suprachoroidal triamcinolone and histopathology.

Capsular vascularization: role of suprachoroidal triamcinolone and histopathology.

Capsular vascularization: role of suprachoroidal triamcinolone and histopathology.

Capsular vascularization: role of suprachoroidal triamcinolone and histopathology.

Introduction: Neovascularization of the lens is a rare entity linked to lens-induced inflammation due to many causes like trauma. We describe a case managed using suprachoroidal triamcinolone, an anti-VEGF injection, in conjunction with cataract surgery and IOL implantation.

Patient and clinical findings: A male patient, 27, presented with a severe reduction in vision in his right eye (RE) accompanied by redness for one month. He also had a distant history of blunt trauma to the RE approximately eight years before. His vision in the RE was reduced to hand motion and 20/20 in the left eye. Examining the anterior segment in RE revealed lenticular neovascularization, irregular anterior capsular thickening, iris sphincter tear at the 12 o'clock position, and fine KPs, with iris pigment clumps on the anterior capsule.

Diagnosis treatment and results: To reduce vascularization and inflammation, the patient was treated with intravitreal Anti-VEGF and suprachoroidal triamcinolone by an innovative technique, along with cataract surgery, following which visual acuity improved to 20/20.

Conclusions and significance: In this exceptional case report, suprachoroidal TA has been used for the first time to treat ocular inflammation and vascularization in traumatic cataract with capsular neovascularization and lens-induced uveitis.

求助全文
通过发布文献求助,成功后即可免费获取论文全文。 去求助
来源期刊
自引率
0.00%
发文量
0
×
引用
GB/T 7714-2015
复制
MLA
复制
APA
复制
导出至
BibTeX EndNote RefMan NoteFirst NoteExpress
×
提示
您的信息不完整,为了账户安全,请先补充。
现在去补充
×
提示
您因"违规操作"
具体请查看互助需知
我知道了
×
提示
确定
请完成安全验证×
copy
已复制链接
快去分享给好友吧!
我知道了
右上角分享
点击右上角分享
0
联系我们:info@booksci.cn Book学术提供免费学术资源搜索服务,方便国内外学者检索中英文文献。致力于提供最便捷和优质的服务体验。 Copyright © 2023 布克学术 All rights reserved.
京ICP备2023020795号-1
ghs 京公网安备 11010802042870号
Book学术文献互助
Book学术文献互助群
群 号:604180095
Book学术官方微信