成人柯茨氏病简述

Mary Stephen, Shreyas Temkar, Jayasri Periyandavan, Kalyan Basa
{"title":"成人柯茨氏病简述","authors":"Mary Stephen, Shreyas Temkar, Jayasri Periyandavan, Kalyan Basa","doi":"10.22336/rjo.2024.40","DOIUrl":null,"url":null,"abstract":"<p><p>Adult-onset Coats disease is an uncommon and vision-threatening disease characterized by the development of abnormal blood vessels in the retina. Coats' disease commonly affects children in the first decade of life, but very rarely manifests in adults after the third decade of life, or who characteristically present with unilateral vision loss. Despite being a sight-threatening disease, the etiology remains inconclusive and various genetic and vascular abnormalities are implicated. Diagnosis relies on ophthalmologic examination, fundus photography, fluorescein angiography, and optical coherence tomography. Treatment modalities include laser photocoagulation, intravitreal injections of anti-vascular endothelial growth factor agents, and, in advanced cases, surgical interventions are needed and the treatment is aimed at avoiding complications like retinal detachment and neovascular glaucoma, which were comparatively rare in adult-onset Coats' disease. Despite therapeutic advancements, the prognosis varies, with some patients experiencing significant visual impairment. This review outlines the clinical features, diagnosis, management, and prognosis of adult-onset Coats' disease, underscoring the importance of early detection and intervention in optimizing visual outcomes.</p>","PeriodicalId":94355,"journal":{"name":"Romanian journal of ophthalmology","volume":"68 3","pages":"212-218"},"PeriodicalIF":0.0000,"publicationDate":"2024-07-01","publicationTypes":"Journal Article","fieldsOfStudy":null,"isOpenAccess":false,"openAccessPdf":"https://www.ncbi.nlm.nih.gov/pmc/articles/PMC11503233/pdf/","citationCount":"0","resultStr":"{\"title\":\"A Brief Review on Adult-Onset Coats' Disease.\",\"authors\":\"Mary Stephen, Shreyas Temkar, Jayasri Periyandavan, Kalyan Basa\",\"doi\":\"10.22336/rjo.2024.40\",\"DOIUrl\":null,\"url\":null,\"abstract\":\"<p><p>Adult-onset Coats disease is an uncommon and vision-threatening disease characterized by the development of abnormal blood vessels in the retina. Coats' disease commonly affects children in the first decade of life, but very rarely manifests in adults after the third decade of life, or who characteristically present with unilateral vision loss. Despite being a sight-threatening disease, the etiology remains inconclusive and various genetic and vascular abnormalities are implicated. Diagnosis relies on ophthalmologic examination, fundus photography, fluorescein angiography, and optical coherence tomography. Treatment modalities include laser photocoagulation, intravitreal injections of anti-vascular endothelial growth factor agents, and, in advanced cases, surgical interventions are needed and the treatment is aimed at avoiding complications like retinal detachment and neovascular glaucoma, which were comparatively rare in adult-onset Coats' disease. Despite therapeutic advancements, the prognosis varies, with some patients experiencing significant visual impairment. This review outlines the clinical features, diagnosis, management, and prognosis of adult-onset Coats' disease, underscoring the importance of early detection and intervention in optimizing visual outcomes.</p>\",\"PeriodicalId\":94355,\"journal\":{\"name\":\"Romanian journal of ophthalmology\",\"volume\":\"68 3\",\"pages\":\"212-218\"},\"PeriodicalIF\":0.0000,\"publicationDate\":\"2024-07-01\",\"publicationTypes\":\"Journal Article\",\"fieldsOfStudy\":null,\"isOpenAccess\":false,\"openAccessPdf\":\"https://www.ncbi.nlm.nih.gov/pmc/articles/PMC11503233/pdf/\",\"citationCount\":\"0\",\"resultStr\":null,\"platform\":\"Semanticscholar\",\"paperid\":null,\"PeriodicalName\":\"Romanian journal of ophthalmology\",\"FirstCategoryId\":\"1085\",\"ListUrlMain\":\"https://doi.org/10.22336/rjo.2024.40\",\"RegionNum\":0,\"RegionCategory\":null,\"ArticlePicture\":[],\"TitleCN\":null,\"AbstractTextCN\":null,\"PMCID\":null,\"EPubDate\":\"\",\"PubModel\":\"\",\"JCR\":\"\",\"JCRName\":\"\",\"Score\":null,\"Total\":0}","platform":"Semanticscholar","paperid":null,"PeriodicalName":"Romanian journal of ophthalmology","FirstCategoryId":"1085","ListUrlMain":"https://doi.org/10.22336/rjo.2024.40","RegionNum":0,"RegionCategory":null,"ArticlePicture":[],"TitleCN":null,"AbstractTextCN":null,"PMCID":null,"EPubDate":"","PubModel":"","JCR":"","JCRName":"","Score":null,"Total":0}
引用次数: 0

摘要

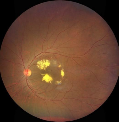
成人柯茨病是一种不常见的危及视力的疾病,其特征是视网膜上出现异常血管。科茨病常见于出生后头十年的儿童,但极少见于出生后第三个十年以后的成年人,或以单侧视力丧失为特征的成年人。尽管这是一种威胁视力的疾病,但其病因仍未确定,各种遗传和血管异常都与此病有关。诊断主要依靠眼科检查、眼底照相、荧光素血管造影术和光学相干断层扫描。治疗方法包括激光光凝、玻璃体内注射抗血管内皮生长因子制剂,晚期病例需要手术干预,治疗的目的是避免视网膜脱离和新生血管性青光眼等并发症,而这些并发症在成人型高兹病中相对罕见。尽管在治疗方面取得了进展,但预后却不尽相同,有些患者会出现严重的视力障碍。这篇综述概述了成人柯茨病的临床特征、诊断、管理和预后,强调了早期发现和干预对优化视力预后的重要性。
本文章由计算机程序翻译,如有差异,请以英文原文为准。

A Brief Review on Adult-Onset Coats' Disease.

A Brief Review on Adult-Onset Coats' Disease.

A Brief Review on Adult-Onset Coats' Disease.

A Brief Review on Adult-Onset Coats' Disease.

Adult-onset Coats disease is an uncommon and vision-threatening disease characterized by the development of abnormal blood vessels in the retina. Coats' disease commonly affects children in the first decade of life, but very rarely manifests in adults after the third decade of life, or who characteristically present with unilateral vision loss. Despite being a sight-threatening disease, the etiology remains inconclusive and various genetic and vascular abnormalities are implicated. Diagnosis relies on ophthalmologic examination, fundus photography, fluorescein angiography, and optical coherence tomography. Treatment modalities include laser photocoagulation, intravitreal injections of anti-vascular endothelial growth factor agents, and, in advanced cases, surgical interventions are needed and the treatment is aimed at avoiding complications like retinal detachment and neovascular glaucoma, which were comparatively rare in adult-onset Coats' disease. Despite therapeutic advancements, the prognosis varies, with some patients experiencing significant visual impairment. This review outlines the clinical features, diagnosis, management, and prognosis of adult-onset Coats' disease, underscoring the importance of early detection and intervention in optimizing visual outcomes.

求助全文
通过发布文献求助,成功后即可免费获取论文全文。 去求助
来源期刊
自引率
0.00%
发文量
0
×
引用
GB/T 7714-2015
复制
MLA
复制
APA
复制
导出至
BibTeX EndNote RefMan NoteFirst NoteExpress
×
提示
您的信息不完整,为了账户安全,请先补充。
现在去补充
×
提示
您因"违规操作"
具体请查看互助需知
我知道了
×
提示
确定
请完成安全验证×
copy
已复制链接
快去分享给好友吧!
我知道了
右上角分享
点击右上角分享
0
联系我们:info@booksci.cn Book学术提供免费学术资源搜索服务,方便国内外学者检索中英文文献。致力于提供最便捷和优质的服务体验。 Copyright © 2023 布克学术 All rights reserved.
京ICP备2023020795号-1
ghs 京公网安备 11010802042870号
Book学术文献互助
Book学术文献互助群
群 号:604180095
Book学术官方微信