在经皮质脑肿瘤手术中利用术中视觉诱发电位和束流成像保护视力。

Ioannis Mavridis, George Tokas, Efstratios-Stylianos Pyrgelis, Theodossios Birbilis
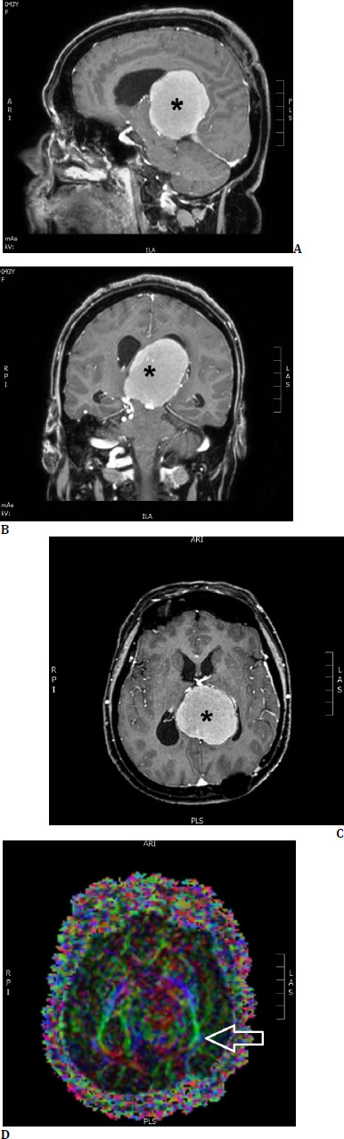
{"title":"在经皮质脑肿瘤手术中利用术中视觉诱发电位和束流成像保护视力。","authors":"Ioannis Mavridis, George Tokas, Efstratios-Stylianos Pyrgelis, Theodossios Birbilis","doi":"10.22336/rjo.2024.56","DOIUrl":null,"url":null,"abstract":"<p><strong>Objective: </strong>Intraoperative neuromonitoring (IONM) is nowadays a gold standard during brain tumor resections, but visual function mapping is less frequently performed in clinical practice. This article aims to report two transcortical brain tumor surgery cases affecting optic radiation, where the application of intraoperative visual evoked potentials (VEP) combined with tractography was beneficial to protect the patients' vision.</p><p><strong>Methods: </strong>Two patients with brain tumors compressing the left posterior visual pathways underwent surgery under general anesthesia using IONM and VEP with neurologic improvement and preservation of vision.</p><p><strong>Results: </strong>VEP is beneficial in the surgery of intra-axial lesions affecting the posterior visual pathways (optic radiation, visual cortex) and parasellar lesions involving the anterior visual pathways (chiasm). They can also be effectively combined with other mapping methods such as tractography.</p><p><strong>Conclusions: </strong>According to our experience, IONM with VEPs and neuronavigation with tractography protect visual function in transcortical approaches to resecting tumors near the optic radiation and should be considered a standard monitoring method for such operations.</p>","PeriodicalId":94355,"journal":{"name":"Romanian journal of ophthalmology","volume":"68 3","pages":"312-317"},"PeriodicalIF":0.0000,"publicationDate":"2024-07-01","publicationTypes":"Journal Article","fieldsOfStudy":null,"isOpenAccess":false,"openAccessPdf":"https://www.ncbi.nlm.nih.gov/pmc/articles/PMC11503228/pdf/","citationCount":"0","resultStr":"{\"title\":\"Protecting vision with intraoperative visual evoked potentials and tractography in transcortical brain tumor surgery.\",\"authors\":\"Ioannis Mavridis, George Tokas, Efstratios-Stylianos Pyrgelis, Theodossios Birbilis\",\"doi\":\"10.22336/rjo.2024.56\",\"DOIUrl\":null,\"url\":null,\"abstract\":\"<p><strong>Objective: </strong>Intraoperative neuromonitoring (IONM) is nowadays a gold standard during brain tumor resections, but visual function mapping is less frequently performed in clinical practice. This article aims to report two transcortical brain tumor surgery cases affecting optic radiation, where the application of intraoperative visual evoked potentials (VEP) combined with tractography was beneficial to protect the patients' vision.</p><p><strong>Methods: </strong>Two patients with brain tumors compressing the left posterior visual pathways underwent surgery under general anesthesia using IONM and VEP with neurologic improvement and preservation of vision.</p><p><strong>Results: </strong>VEP is beneficial in the surgery of intra-axial lesions affecting the posterior visual pathways (optic radiation, visual cortex) and parasellar lesions involving the anterior visual pathways (chiasm). They can also be effectively combined with other mapping methods such as tractography.</p><p><strong>Conclusions: </strong>According to our experience, IONM with VEPs and neuronavigation with tractography protect visual function in transcortical approaches to resecting tumors near the optic radiation and should be considered a standard monitoring method for such operations.</p>\",\"PeriodicalId\":94355,\"journal\":{\"name\":\"Romanian journal of ophthalmology\",\"volume\":\"68 3\",\"pages\":\"312-317\"},\"PeriodicalIF\":0.0000,\"publicationDate\":\"2024-07-01\",\"publicationTypes\":\"Journal Article\",\"fieldsOfStudy\":null,\"isOpenAccess\":false,\"openAccessPdf\":\"https://www.ncbi.nlm.nih.gov/pmc/articles/PMC11503228/pdf/\",\"citationCount\":\"0\",\"resultStr\":null,\"platform\":\"Semanticscholar\",\"paperid\":null,\"PeriodicalName\":\"Romanian journal of ophthalmology\",\"FirstCategoryId\":\"1085\",\"ListUrlMain\":\"https://doi.org/10.22336/rjo.2024.56\",\"RegionNum\":0,\"RegionCategory\":null,\"ArticlePicture\":[],\"TitleCN\":null,\"AbstractTextCN\":null,\"PMCID\":null,\"EPubDate\":\"\",\"PubModel\":\"\",\"JCR\":\"\",\"JCRName\":\"\",\"Score\":null,\"Total\":0}","platform":"Semanticscholar","paperid":null,"PeriodicalName":"Romanian journal of ophthalmology","FirstCategoryId":"1085","ListUrlMain":"https://doi.org/10.22336/rjo.2024.56","RegionNum":0,"RegionCategory":null,"ArticlePicture":[],"TitleCN":null,"AbstractTextCN":null,"PMCID":null,"EPubDate":"","PubModel":"","JCR":"","JCRName":"","Score":null,"Total":0}
引用次数: 0

摘要

目的:术中神经监测(IONM)是当今脑肿瘤切除术的金标准,但视觉功能测绘在临床实践中较少开展。本文旨在报告两例影响视神经辐射的经皮质脑肿瘤手术病例,在这两例手术中,术中视觉诱发电位(VEP)的应用结合牵引成像技术有利于保护患者的视力:方法:两名脑肿瘤压迫左后方视觉通路的患者在全身麻醉下接受了手术,术中使用了 IONM 和 VEP,神经功能得到改善,视力得到保护:结果:VEP对影响后方视觉通路(视放射、视皮层)的轴内病变和涉及前方视觉通路(视交叉)的星旁病变的手术很有帮助。它们还可以与其他绘图方法(如牵引成像)有效结合:根据我们的经验,在经皮质方法切除视放射附近的肿瘤时,带有 VEPs 的 IONM 和带有 tractography 的神经导航可以保护视力功能,应被视为此类手术的标准监测方法。
本文章由计算机程序翻译,如有差异,请以英文原文为准。

Protecting vision with intraoperative visual evoked potentials and tractography in transcortical brain tumor surgery.

Protecting vision with intraoperative visual evoked potentials and tractography in transcortical brain tumor surgery.

Protecting vision with intraoperative visual evoked potentials and tractography in transcortical brain tumor surgery.

Protecting vision with intraoperative visual evoked potentials and tractography in transcortical brain tumor surgery.

Objective: Intraoperative neuromonitoring (IONM) is nowadays a gold standard during brain tumor resections, but visual function mapping is less frequently performed in clinical practice. This article aims to report two transcortical brain tumor surgery cases affecting optic radiation, where the application of intraoperative visual evoked potentials (VEP) combined with tractography was beneficial to protect the patients' vision.

Methods: Two patients with brain tumors compressing the left posterior visual pathways underwent surgery under general anesthesia using IONM and VEP with neurologic improvement and preservation of vision.

Results: VEP is beneficial in the surgery of intra-axial lesions affecting the posterior visual pathways (optic radiation, visual cortex) and parasellar lesions involving the anterior visual pathways (chiasm). They can also be effectively combined with other mapping methods such as tractography.

Conclusions: According to our experience, IONM with VEPs and neuronavigation with tractography protect visual function in transcortical approaches to resecting tumors near the optic radiation and should be considered a standard monitoring method for such operations.

求助全文
通过发布文献求助,成功后即可免费获取论文全文。 去求助
来源期刊
自引率
0.00%
发文量
0
×
引用
GB/T 7714-2015
复制
MLA
复制
APA
复制
导出至
BibTeX EndNote RefMan NoteFirst NoteExpress
×
提示
您的信息不完整,为了账户安全,请先补充。
现在去补充
×
提示
您因"违规操作"
具体请查看互助需知
我知道了
×
提示
确定
请完成安全验证×
copy
已复制链接
快去分享给好友吧!
我知道了
右上角分享
点击右上角分享
0
联系我们:info@booksci.cn Book学术提供免费学术资源搜索服务,方便国内外学者检索中英文文献。致力于提供最便捷和优质的服务体验。 Copyright © 2023 布克学术 All rights reserved.
京ICP备2023020795号-1
ghs 京公网安备 11010802042870号
Book学术文献互助
Book学术文献互助群
群 号:604180095
Book学术官方微信