显示胃癌上皮下淋巴内癌受累的白球样发现

IF 0.5 Q4 GASTROENTEROLOGY & HEPATOLOGY
Case Reports in Gastrointestinal Medicine Pub Date : 2024-10-19 eCollection Date: 2024-01-01 DOI:10.1155/2024/8504987
Hiroki Maruyama, Taku Yamagata, Yoshihide Kanno, Takeshi Shimizu, Takuho Itasaka, Fumiyoshi Fujishima, Takashi Sawai, Kei Ito
{"title":"显示胃癌上皮下淋巴内癌受累的白球样发现","authors":"Hiroki Maruyama, Taku Yamagata, Yoshihide Kanno, Takeshi Shimizu, Takuho Itasaka, Fumiyoshi Fujishima, Takashi Sawai, Kei Ito","doi":"10.1155/2024/8504987","DOIUrl":null,"url":null,"abstract":"<p><p>A 75-year-old female was diagnosed with a type 0-I, moderately differentiated, early gastric carcinoma on the posterior wall of the middle gastric body during esophagogastroduodenoscopy (EGD). Several small whitish structures, referred to as white globe appearances (WGAs), were noted on the oral side outside the demarcation line of the cancerous protrusion. Although this area was flat without cancerous mucosal changes on the surface, subepithelial cancer extension was suspected. The histopathology of the resected specimen revealed that the carcinoma with submucosal invasion had significant lymphatic invasion with submucosal lateral extent along lymphatic vessels. In some areas, the carcinoma within the lymphatic vessels regressed from the submucosal layer towards the mucosal lamina propria, penetrating the muscularis mucosas. The intralymphatic carcinoma reaching just beneath the epithelium was considered to manifest WGA features during endoscopy.</p>","PeriodicalId":45645,"journal":{"name":"Case Reports in Gastrointestinal Medicine","volume":"2024 ","pages":"8504987"},"PeriodicalIF":0.5000,"publicationDate":"2024-10-19","publicationTypes":"Journal Article","fieldsOfStudy":null,"isOpenAccess":false,"openAccessPdf":"https://www.ncbi.nlm.nih.gov/pmc/articles/PMC11512643/pdf/","citationCount":"0","resultStr":"{\"title\":\"White Globe Appearance-Like Findings Indicating Intralymphatic Cancer Involvement Beneath the Epithelium in Gastric Cancer.\",\"authors\":\"Hiroki Maruyama, Taku Yamagata, Yoshihide Kanno, Takeshi Shimizu, Takuho Itasaka, Fumiyoshi Fujishima, Takashi Sawai, Kei Ito\",\"doi\":\"10.1155/2024/8504987\",\"DOIUrl\":null,\"url\":null,\"abstract\":\"<p><p>A 75-year-old female was diagnosed with a type 0-I, moderately differentiated, early gastric carcinoma on the posterior wall of the middle gastric body during esophagogastroduodenoscopy (EGD). Several small whitish structures, referred to as white globe appearances (WGAs), were noted on the oral side outside the demarcation line of the cancerous protrusion. Although this area was flat without cancerous mucosal changes on the surface, subepithelial cancer extension was suspected. The histopathology of the resected specimen revealed that the carcinoma with submucosal invasion had significant lymphatic invasion with submucosal lateral extent along lymphatic vessels. In some areas, the carcinoma within the lymphatic vessels regressed from the submucosal layer towards the mucosal lamina propria, penetrating the muscularis mucosas. The intralymphatic carcinoma reaching just beneath the epithelium was considered to manifest WGA features during endoscopy.</p>\",\"PeriodicalId\":45645,\"journal\":{\"name\":\"Case Reports in Gastrointestinal Medicine\",\"volume\":\"2024 \",\"pages\":\"8504987\"},\"PeriodicalIF\":0.5000,\"publicationDate\":\"2024-10-19\",\"publicationTypes\":\"Journal Article\",\"fieldsOfStudy\":null,\"isOpenAccess\":false,\"openAccessPdf\":\"https://www.ncbi.nlm.nih.gov/pmc/articles/PMC11512643/pdf/\",\"citationCount\":\"0\",\"resultStr\":null,\"platform\":\"Semanticscholar\",\"paperid\":null,\"PeriodicalName\":\"Case Reports in Gastrointestinal Medicine\",\"FirstCategoryId\":\"1085\",\"ListUrlMain\":\"https://doi.org/10.1155/2024/8504987\",\"RegionNum\":0,\"RegionCategory\":null,\"ArticlePicture\":[],\"TitleCN\":null,\"AbstractTextCN\":null,\"PMCID\":null,\"EPubDate\":\"2024/1/1 0:00:00\",\"PubModel\":\"eCollection\",\"JCR\":\"Q4\",\"JCRName\":\"GASTROENTEROLOGY & HEPATOLOGY\",\"Score\":null,\"Total\":0}","platform":"Semanticscholar","paperid":null,"PeriodicalName":"Case Reports in Gastrointestinal Medicine","FirstCategoryId":"1085","ListUrlMain":"https://doi.org/10.1155/2024/8504987","RegionNum":0,"RegionCategory":null,"ArticlePicture":[],"TitleCN":null,"AbstractTextCN":null,"PMCID":null,"EPubDate":"2024/1/1 0:00:00","PubModel":"eCollection","JCR":"Q4","JCRName":"GASTROENTEROLOGY & HEPATOLOGY","Score":null,"Total":0}
引用次数: 0

摘要

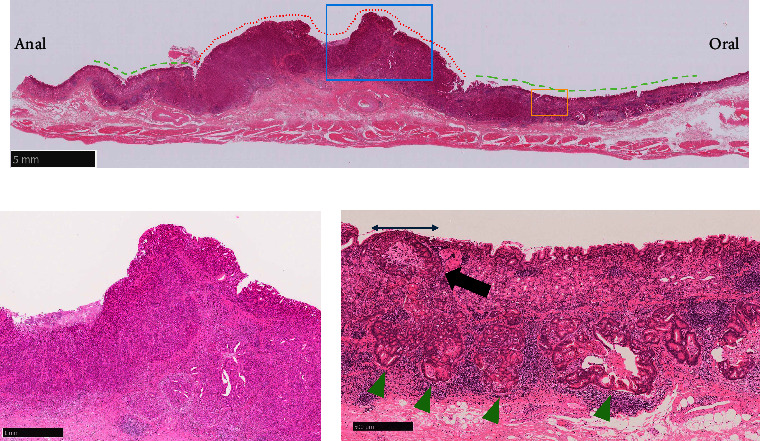
一名 75 岁的女性在接受食管胃十二指肠镜检查(EGD)时被确诊为中胃体后壁上的 0-I 型中度分化早期胃癌。在癌突起分界线外的口腔侧发现了几个小的白色结构,称为白球外观(WGA)。虽然该区域平坦,表面没有癌变粘膜,但怀疑是上皮下癌延伸。切除标本的组织病理学检查显示,粘膜下浸润癌有明显的淋巴管浸润,沿淋巴管向粘膜下侧扩展。在某些区域,淋巴管内的癌细胞从粘膜下层向粘膜固有层退缩,穿透粘膜肌层。在内窥镜检查中,淋巴管内癌刚好到达上皮下方,被认为具有 WGA 特征。
本文章由计算机程序翻译,如有差异,请以英文原文为准。

White Globe Appearance-Like Findings Indicating Intralymphatic Cancer Involvement Beneath the Epithelium in Gastric Cancer.

White Globe Appearance-Like Findings Indicating Intralymphatic Cancer Involvement Beneath the Epithelium in Gastric Cancer.

White Globe Appearance-Like Findings Indicating Intralymphatic Cancer Involvement Beneath the Epithelium in Gastric Cancer.

White Globe Appearance-Like Findings Indicating Intralymphatic Cancer Involvement Beneath the Epithelium in Gastric Cancer.

A 75-year-old female was diagnosed with a type 0-I, moderately differentiated, early gastric carcinoma on the posterior wall of the middle gastric body during esophagogastroduodenoscopy (EGD). Several small whitish structures, referred to as white globe appearances (WGAs), were noted on the oral side outside the demarcation line of the cancerous protrusion. Although this area was flat without cancerous mucosal changes on the surface, subepithelial cancer extension was suspected. The histopathology of the resected specimen revealed that the carcinoma with submucosal invasion had significant lymphatic invasion with submucosal lateral extent along lymphatic vessels. In some areas, the carcinoma within the lymphatic vessels regressed from the submucosal layer towards the mucosal lamina propria, penetrating the muscularis mucosas. The intralymphatic carcinoma reaching just beneath the epithelium was considered to manifest WGA features during endoscopy.

求助全文
通过发布文献求助,成功后即可免费获取论文全文。 去求助
来源期刊
Case Reports in Gastrointestinal Medicine
Case Reports in Gastrointestinal Medicine GASTROENTEROLOGY & HEPATOLOGY-
自引率
0.00%
发文量
33
审稿时长
14 weeks
×
引用
GB/T 7714-2015
复制
MLA
复制
APA
复制
导出至
BibTeX EndNote RefMan NoteFirst NoteExpress
×
提示
您的信息不完整,为了账户安全,请先补充。
现在去补充
×
提示
您因"违规操作"
具体请查看互助需知
我知道了
×
提示
确定
请完成安全验证×
copy
已复制链接
快去分享给好友吧!
我知道了
右上角分享
点击右上角分享
0
联系我们:info@booksci.cn Book学术提供免费学术资源搜索服务,方便国内外学者检索中英文文献。致力于提供最便捷和优质的服务体验。 Copyright © 2023 布克学术 All rights reserved.
京ICP备2023020795号-1
ghs 京公网安备 11010802042870号
Book学术文献互助
Book学术文献互助群
群 号:604180095
Book学术官方微信