皮肤转移性肿瘤中 TRPS1 的表达:72 个病例的免疫组化研究。

IF 1.7 Q3 DERMATOLOGY
Kassiani Boulogeorgou, Christos Topalidis, Triantafyllia Koletsa, Georgia Karayannopoulou, Jean Kanitakis
{"title":"皮肤转移性肿瘤中 TRPS1 的表达:72 个病例的免疫组化研究。","authors":"Kassiani Boulogeorgou, Christos Topalidis, Triantafyllia Koletsa, Georgia Karayannopoulou, Jean Kanitakis","doi":"10.3390/dermatopathology11040031","DOIUrl":null,"url":null,"abstract":"<p><p><i>TRPS1</i> (Tricho-rhino-phalangeal syndrome 1) is a GATA transcriptional activator gene encoding for a protein used as a sensitive immunohistochemical marker of breast carcinomas. In dermatopathology, TRPS1 is used as a marker of mammary and extramammary Paget's disease and is also expressed by a variety of primary cutaneous tumors, mostly of adnexal origin. So far, very limited data exist on the expression of TRPS1 in metastatic skin tumors. We studied the immunohistochemical expression of TRPS1 in 72 cutaneous metastatic tumors from the breast (n: 19) and other origins (n: 53) in order to assess its diagnostic usefulness. The intensity of TRPS1 immunostaining was expressed as a histoscore: the product of the percentage of positive cells (scored semi-quantitatively 0-4) and the staining intensity (scored 0-3). In normal skin, nuclear TRPS1 expression was predominantly observed in cells of adnexal structures (pilosebaceous follicles and sweat glands). Eighteen (18/19, 94.7%) metastatic breast carcinomas showed diffuse and strong TRPS1 positivity (histoscore 12). Lower reactivity was found in some other metastases, including from the lung (11/22), the female genital tract (3/4), and the kidney (2/4), whereas most (20/22) metastases from the digestive system and peritoneum, along with a case of metastatic prostate carcinoma, were negative. These results suggest that a high histoscore for TRPS1 is in favor of the mammary origin of metastatic cutaneous carcinoma. Although TRPS1 is not absolutely specific or sensitive to a particular primary, we consider that it can be added to a panel of other markers when investigating the origin of a cutaneous metastasis, namely when this is the first manifestation of the neoplastic disease.</p>","PeriodicalId":42885,"journal":{"name":"Dermatopathology","volume":"11 4","pages":"293-302"},"PeriodicalIF":1.7000,"publicationDate":"2024-10-23","publicationTypes":"Journal Article","fieldsOfStudy":null,"isOpenAccess":false,"openAccessPdf":"https://www.ncbi.nlm.nih.gov/pmc/articles/PMC11503264/pdf/","citationCount":"0","resultStr":"{\"title\":\"Expression of TRPS1 in Metastatic Tumors of the Skin: An Immunohistochemical Study of 72 Cases.\",\"authors\":\"Kassiani Boulogeorgou, Christos Topalidis, Triantafyllia Koletsa, Georgia Karayannopoulou, Jean Kanitakis\",\"doi\":\"10.3390/dermatopathology11040031\",\"DOIUrl\":null,\"url\":null,\"abstract\":\"<p><p><i>TRPS1</i> (Tricho-rhino-phalangeal syndrome 1) is a GATA transcriptional activator gene encoding for a protein used as a sensitive immunohistochemical marker of breast carcinomas. In dermatopathology, TRPS1 is used as a marker of mammary and extramammary Paget's disease and is also expressed by a variety of primary cutaneous tumors, mostly of adnexal origin. So far, very limited data exist on the expression of TRPS1 in metastatic skin tumors. We studied the immunohistochemical expression of TRPS1 in 72 cutaneous metastatic tumors from the breast (n: 19) and other origins (n: 53) in order to assess its diagnostic usefulness. The intensity of TRPS1 immunostaining was expressed as a histoscore: the product of the percentage of positive cells (scored semi-quantitatively 0-4) and the staining intensity (scored 0-3). In normal skin, nuclear TRPS1 expression was predominantly observed in cells of adnexal structures (pilosebaceous follicles and sweat glands). Eighteen (18/19, 94.7%) metastatic breast carcinomas showed diffuse and strong TRPS1 positivity (histoscore 12). Lower reactivity was found in some other metastases, including from the lung (11/22), the female genital tract (3/4), and the kidney (2/4), whereas most (20/22) metastases from the digestive system and peritoneum, along with a case of metastatic prostate carcinoma, were negative. These results suggest that a high histoscore for TRPS1 is in favor of the mammary origin of metastatic cutaneous carcinoma. Although TRPS1 is not absolutely specific or sensitive to a particular primary, we consider that it can be added to a panel of other markers when investigating the origin of a cutaneous metastasis, namely when this is the first manifestation of the neoplastic disease.</p>\",\"PeriodicalId\":42885,\"journal\":{\"name\":\"Dermatopathology\",\"volume\":\"11 4\",\"pages\":\"293-302\"},\"PeriodicalIF\":1.7000,\"publicationDate\":\"2024-10-23\",\"publicationTypes\":\"Journal Article\",\"fieldsOfStudy\":null,\"isOpenAccess\":false,\"openAccessPdf\":\"https://www.ncbi.nlm.nih.gov/pmc/articles/PMC11503264/pdf/\",\"citationCount\":\"0\",\"resultStr\":null,\"platform\":\"Semanticscholar\",\"paperid\":null,\"PeriodicalName\":\"Dermatopathology\",\"FirstCategoryId\":\"1085\",\"ListUrlMain\":\"https://doi.org/10.3390/dermatopathology11040031\",\"RegionNum\":0,\"RegionCategory\":null,\"ArticlePicture\":[],\"TitleCN\":null,\"AbstractTextCN\":null,\"PMCID\":null,\"EPubDate\":\"\",\"PubModel\":\"\",\"JCR\":\"Q3\",\"JCRName\":\"DERMATOLOGY\",\"Score\":null,\"Total\":0}","platform":"Semanticscholar","paperid":null,"PeriodicalName":"Dermatopathology","FirstCategoryId":"1085","ListUrlMain":"https://doi.org/10.3390/dermatopathology11040031","RegionNum":0,"RegionCategory":null,"ArticlePicture":[],"TitleCN":null,"AbstractTextCN":null,"PMCID":null,"EPubDate":"","PubModel":"","JCR":"Q3","JCRName":"DERMATOLOGY","Score":null,"Total":0}
引用次数: 0

摘要

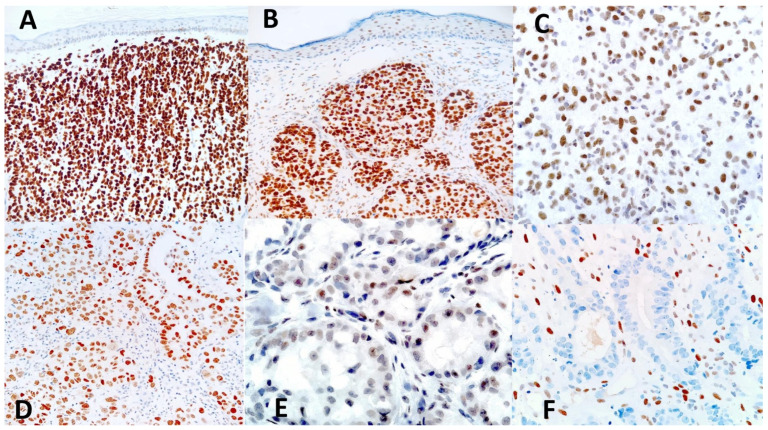
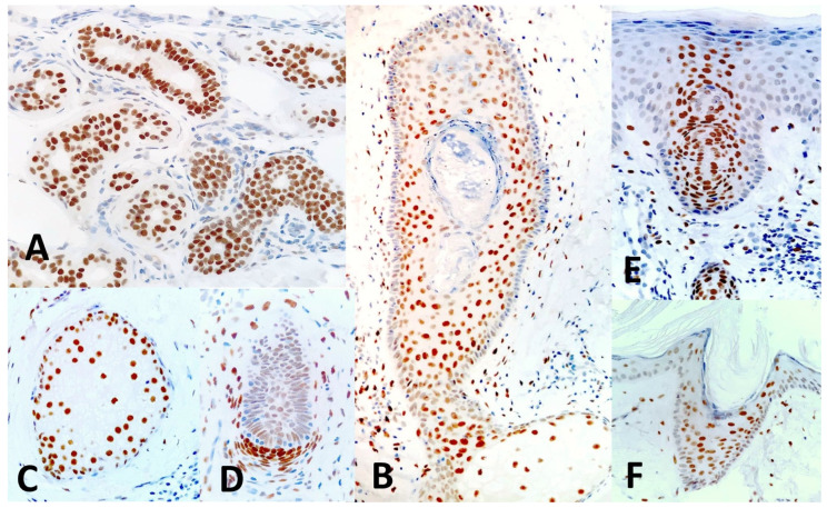
TRPS1(Tricho-rrhino-phalangeal syndrome 1)是一种 GATA 转录激活基因,其编码的蛋白质被用作乳腺癌的敏感免疫组化标记物。在皮肤病理学中,TRPS1 被用作乳腺和乳腺外帕吉特氏病的标志物,也在多种原发性皮肤肿瘤中表达,这些肿瘤大多来自附件。迄今为止,有关 TRPS1 在转移性皮肤肿瘤中表达的数据非常有限。我们对来自乳腺(19 例)和其他来源(53 例)的 72 例皮肤转移性肿瘤中 TRPS1 的免疫组化表达进行了研究,以评估其诊断作用。TRPS1 免疫染色的强度用组织评分表示:即阳性细胞百分比(半定量评分 0-4)与染色强度(评分 0-3)的乘积。在正常皮肤中,TRPS1的核表达主要出现在附件结构(皮脂腺泡和汗腺)的细胞中。18个(18/19,94.7%)转移性乳腺癌呈弥漫性强TRPS1阳性(组织评分12)。其他一些转移瘤的反应性较低,包括来自肺部(11/22)、女性生殖道(3/4)和肾脏(2/4)的转移瘤,而来自消化系统和腹膜的转移瘤(20/22)以及一例转移性前列腺癌则呈阴性。这些结果表明,TRPS1 的组织镜检结果越高,转移性皮肤癌的乳腺来源就越有利。虽然 TRPS1 对某一特定原发癌并不具有绝对的特异性或敏感性,但我们认为,在研究皮肤转移癌的来源时,即当皮肤转移癌是肿瘤性疾病的首发症状时,可以将 TRPS1 加入到其他标记物中。
本文章由计算机程序翻译,如有差异,请以英文原文为准。

Expression of TRPS1 in Metastatic Tumors of the Skin: An Immunohistochemical Study of 72 Cases.

Expression of TRPS1 in Metastatic Tumors of the Skin: An Immunohistochemical Study of 72 Cases.

Expression of TRPS1 in Metastatic Tumors of the Skin: An Immunohistochemical Study of 72 Cases.

TRPS1 (Tricho-rhino-phalangeal syndrome 1) is a GATA transcriptional activator gene encoding for a protein used as a sensitive immunohistochemical marker of breast carcinomas. In dermatopathology, TRPS1 is used as a marker of mammary and extramammary Paget's disease and is also expressed by a variety of primary cutaneous tumors, mostly of adnexal origin. So far, very limited data exist on the expression of TRPS1 in metastatic skin tumors. We studied the immunohistochemical expression of TRPS1 in 72 cutaneous metastatic tumors from the breast (n: 19) and other origins (n: 53) in order to assess its diagnostic usefulness. The intensity of TRPS1 immunostaining was expressed as a histoscore: the product of the percentage of positive cells (scored semi-quantitatively 0-4) and the staining intensity (scored 0-3). In normal skin, nuclear TRPS1 expression was predominantly observed in cells of adnexal structures (pilosebaceous follicles and sweat glands). Eighteen (18/19, 94.7%) metastatic breast carcinomas showed diffuse and strong TRPS1 positivity (histoscore 12). Lower reactivity was found in some other metastases, including from the lung (11/22), the female genital tract (3/4), and the kidney (2/4), whereas most (20/22) metastases from the digestive system and peritoneum, along with a case of metastatic prostate carcinoma, were negative. These results suggest that a high histoscore for TRPS1 is in favor of the mammary origin of metastatic cutaneous carcinoma. Although TRPS1 is not absolutely specific or sensitive to a particular primary, we consider that it can be added to a panel of other markers when investigating the origin of a cutaneous metastasis, namely when this is the first manifestation of the neoplastic disease.

求助全文
通过发布文献求助,成功后即可免费获取论文全文。 去求助
来源期刊
Dermatopathology
Dermatopathology DERMATOLOGY-
自引率
5.30%
发文量
39
审稿时长
11 weeks
×
引用
GB/T 7714-2015
复制
MLA
复制
APA
复制
导出至
BibTeX EndNote RefMan NoteFirst NoteExpress
×
提示
您的信息不完整,为了账户安全,请先补充。
现在去补充
×
提示
您因"违规操作"
具体请查看互助需知
我知道了
×
提示
确定
请完成安全验证×
copy
已复制链接
快去分享给好友吧!
我知道了
右上角分享
点击右上角分享
0
联系我们:info@booksci.cn Book学术提供免费学术资源搜索服务,方便国内外学者检索中英文文献。致力于提供最便捷和优质的服务体验。 Copyright © 2023 布克学术 All rights reserved.
京ICP备2023020795号-1
ghs 京公网安备 11010802042870号
Book学术文献互助
Book学术文献互助群
群 号:604180095
Book学术官方微信