Ccdc152 不是男性生育所必需的,但有助于维持精子的形态。

IF 2.2 4区 生物学 Q2 AGRICULTURE, DAIRY & ANIMAL SCIENCE
Journal of Reproduction and Development Pub Date : 2024-12-13 Epub Date: 2024-10-26 DOI:10.1262/jrd.2024-058
Ryua Harima, Takahiro Sasaki, Takayuki Kaneko, Fuka Aso, Hayato Takashima, Takashi Toyama, Kenshiro Hara, Kentaro Tanemura, Yoshiro Saito
{"title":"Ccdc152 不是男性生育所必需的,但有助于维持精子的形态。","authors":"Ryua Harima, Takahiro Sasaki, Takayuki Kaneko, Fuka Aso, Hayato Takashima, Takashi Toyama, Kenshiro Hara, Kentaro Tanemura, Yoshiro Saito","doi":"10.1262/jrd.2024-058","DOIUrl":null,"url":null,"abstract":"<p><p>Selenoprotein P (SeP) is synthesized in the liver and plays a vital role in maintaining selenium homeostasis via transport throughout the body. Previous studies have shown that SeP-deficient mice have severely reduced expression of selenoproteins essential for testicular function, leading to male infertility. We previously reported that the high expression of Ccdc152 in hepatocytes acts as a lncRNA, suppressing SeP expression in the liver. Ccdc152 reduces SeP translation by binding to SeP mRNA and decreasing its interaction with SECIS-binding protein 2. Although Ccdc152 is highly expressed in testes, its function remains unclear. Therefore, this study aimed to elucidate the role of Ccdc152 in the testes. Using the CRISPR/Cas9 system, we generated mice lacking all exons of Ccdc152 and found that SeP expression levels in the liver and plasma, as well as overall selenium homeostasis, remained unchanged. No significant differences were observed in the expression of glutathione peroxidase 1/4 or level of selenium in the testes. Subsequent investigation of the impact on male reproductive function revealed no abnormalities in sperm motility or Mendelian ratios of the offspring. However, a slight decrease in testicular weight and an increased rate of sperm malformations in the epididymis were observed. RNA-seq and pathway analyses identified the reduced expression of multiple genes related to kinesin and reproductive pathways. Based on these findings, Ccdc152 may not be essential for male reproductive function, but it may enhance reproductive capabilities by maintaining the expression of genes necessary for reproduction.</p>","PeriodicalId":16942,"journal":{"name":"Journal of Reproduction and Development","volume":" ","pages":"396-404"},"PeriodicalIF":2.2000,"publicationDate":"2024-12-13","publicationTypes":"Journal Article","fieldsOfStudy":null,"isOpenAccess":false,"openAccessPdf":"https://www.ncbi.nlm.nih.gov/pmc/articles/PMC11658925/pdf/","citationCount":"0","resultStr":"{\"title\":\"<i>Ccdc152</i> is not necessary for male fertility, but contributes to maintaining sperm morphology.\",\"authors\":\"Ryua Harima, Takahiro Sasaki, Takayuki Kaneko, Fuka Aso, Hayato Takashima, Takashi Toyama, Kenshiro Hara, Kentaro Tanemura, Yoshiro Saito\",\"doi\":\"10.1262/jrd.2024-058\",\"DOIUrl\":null,\"url\":null,\"abstract\":\"<p><p>Selenoprotein P (SeP) is synthesized in the liver and plays a vital role in maintaining selenium homeostasis via transport throughout the body. Previous studies have shown that SeP-deficient mice have severely reduced expression of selenoproteins essential for testicular function, leading to male infertility. We previously reported that the high expression of Ccdc152 in hepatocytes acts as a lncRNA, suppressing SeP expression in the liver. Ccdc152 reduces SeP translation by binding to SeP mRNA and decreasing its interaction with SECIS-binding protein 2. Although Ccdc152 is highly expressed in testes, its function remains unclear. Therefore, this study aimed to elucidate the role of Ccdc152 in the testes. Using the CRISPR/Cas9 system, we generated mice lacking all exons of Ccdc152 and found that SeP expression levels in the liver and plasma, as well as overall selenium homeostasis, remained unchanged. No significant differences were observed in the expression of glutathione peroxidase 1/4 or level of selenium in the testes. Subsequent investigation of the impact on male reproductive function revealed no abnormalities in sperm motility or Mendelian ratios of the offspring. However, a slight decrease in testicular weight and an increased rate of sperm malformations in the epididymis were observed. RNA-seq and pathway analyses identified the reduced expression of multiple genes related to kinesin and reproductive pathways. Based on these findings, Ccdc152 may not be essential for male reproductive function, but it may enhance reproductive capabilities by maintaining the expression of genes necessary for reproduction.</p>\",\"PeriodicalId\":16942,\"journal\":{\"name\":\"Journal of Reproduction and Development\",\"volume\":\" \",\"pages\":\"396-404\"},\"PeriodicalIF\":2.2000,\"publicationDate\":\"2024-12-13\",\"publicationTypes\":\"Journal Article\",\"fieldsOfStudy\":null,\"isOpenAccess\":false,\"openAccessPdf\":\"https://www.ncbi.nlm.nih.gov/pmc/articles/PMC11658925/pdf/\",\"citationCount\":\"0\",\"resultStr\":null,\"platform\":\"Semanticscholar\",\"paperid\":null,\"PeriodicalName\":\"Journal of Reproduction and Development\",\"FirstCategoryId\":\"99\",\"ListUrlMain\":\"https://doi.org/10.1262/jrd.2024-058\",\"RegionNum\":4,\"RegionCategory\":\"生物学\",\"ArticlePicture\":[],\"TitleCN\":null,\"AbstractTextCN\":null,\"PMCID\":null,\"EPubDate\":\"2024/10/26 0:00:00\",\"PubModel\":\"Epub\",\"JCR\":\"Q2\",\"JCRName\":\"AGRICULTURE, DAIRY & ANIMAL SCIENCE\",\"Score\":null,\"Total\":0}","platform":"Semanticscholar","paperid":null,"PeriodicalName":"Journal of Reproduction and Development","FirstCategoryId":"99","ListUrlMain":"https://doi.org/10.1262/jrd.2024-058","RegionNum":4,"RegionCategory":"生物学","ArticlePicture":[],"TitleCN":null,"AbstractTextCN":null,"PMCID":null,"EPubDate":"2024/10/26 0:00:00","PubModel":"Epub","JCR":"Q2","JCRName":"AGRICULTURE, DAIRY & ANIMAL SCIENCE","Score":null,"Total":0}
引用次数: 0

摘要

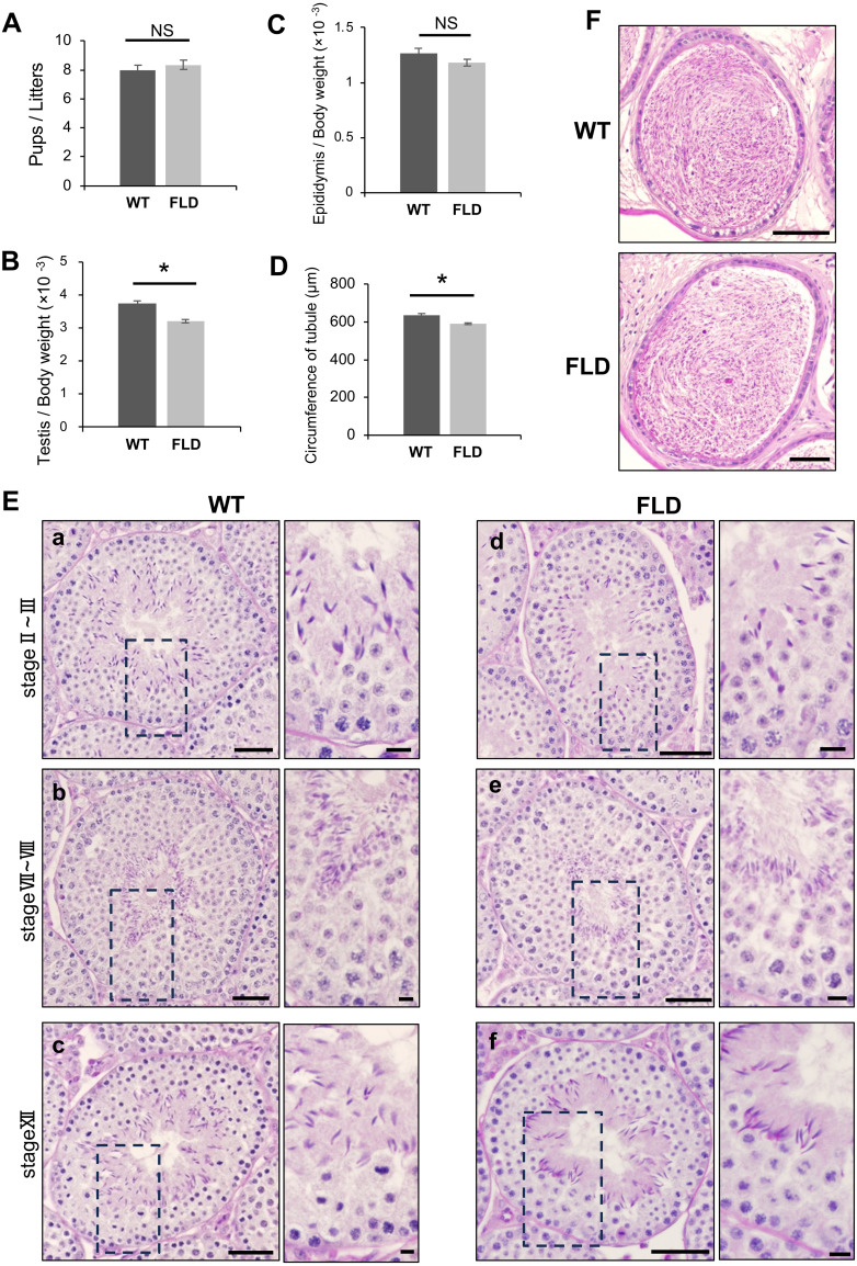
硒蛋白 P(SeP)在肝脏中合成,通过在全身的转运在维持硒平衡方面发挥着重要作用。先前的研究表明,SeP 缺乏的小鼠睾丸功能所必需的硒蛋白表达严重减少,导致男性不育。我们以前曾报道,肝细胞中高表达的 Ccdc152 可作为一种 lncRNA,抑制 SeP 在肝脏中的表达。虽然 Ccdc152 在睾丸中高表达,但其功能仍不清楚。因此,本研究旨在阐明Ccdc152在睾丸中的作用。我们利用 CRISPR/Cas9 系统生成了缺乏 Ccdc152 所有外显子的小鼠,结果发现肝脏和血浆中 SeP 的表达水平以及整体硒平衡保持不变。在谷胱甘肽过氧化物酶1/4的表达或睾丸中的硒水平方面没有观察到明显差异。随后对男性生殖功能影响的调查显示,后代的精子活力或孟德尔比率没有异常。不过,观察到睾丸重量略有下降,附睾中精子畸形率增加。RNA-seq和通路分析发现,与驱动蛋白和生殖通路相关的多个基因表达减少。基于这些发现,Ccdc152 可能不是雄性生殖功能所必需的,但它可能通过维持生殖所必需基因的表达来提高生殖能力。
本文章由计算机程序翻译,如有差异,请以英文原文为准。

<i>Ccdc152</i> is not necessary for male fertility, but contributes to maintaining sperm morphology.

<i>Ccdc152</i> is not necessary for male fertility, but contributes to maintaining sperm morphology.

<i>Ccdc152</i> is not necessary for male fertility, but contributes to maintaining sperm morphology.

Ccdc152 is not necessary for male fertility, but contributes to maintaining sperm morphology.

Selenoprotein P (SeP) is synthesized in the liver and plays a vital role in maintaining selenium homeostasis via transport throughout the body. Previous studies have shown that SeP-deficient mice have severely reduced expression of selenoproteins essential for testicular function, leading to male infertility. We previously reported that the high expression of Ccdc152 in hepatocytes acts as a lncRNA, suppressing SeP expression in the liver. Ccdc152 reduces SeP translation by binding to SeP mRNA and decreasing its interaction with SECIS-binding protein 2. Although Ccdc152 is highly expressed in testes, its function remains unclear. Therefore, this study aimed to elucidate the role of Ccdc152 in the testes. Using the CRISPR/Cas9 system, we generated mice lacking all exons of Ccdc152 and found that SeP expression levels in the liver and plasma, as well as overall selenium homeostasis, remained unchanged. No significant differences were observed in the expression of glutathione peroxidase 1/4 or level of selenium in the testes. Subsequent investigation of the impact on male reproductive function revealed no abnormalities in sperm motility or Mendelian ratios of the offspring. However, a slight decrease in testicular weight and an increased rate of sperm malformations in the epididymis were observed. RNA-seq and pathway analyses identified the reduced expression of multiple genes related to kinesin and reproductive pathways. Based on these findings, Ccdc152 may not be essential for male reproductive function, but it may enhance reproductive capabilities by maintaining the expression of genes necessary for reproduction.

求助全文
通过发布文献求助,成功后即可免费获取论文全文。 去求助
来源期刊
Journal of Reproduction and Development
Journal of Reproduction and Development 生物-奶制品与动物科学
CiteScore
3.70
自引率
11.10%
发文量
52
审稿时长
2 months
期刊介绍: Journal of Reproduction and Development (JRD) is the official journal of the Society for Reproduction and Development, published bimonthly, and welcomes original articles. JRD provides free full-text access of all the published articles on the web. The functions of the journal are managed by Editorial Board Members, such as the Editor-in-Chief, Co-Editor-inChief, Managing Editors and Editors. All manuscripts are peer-reviewed critically by two or more reviewers. Acceptance is based on scientific content and presentation of the materials. The Editors select reviewers and correspond with authors. Final decisions about acceptance or rejection of manuscripts are made by the Editor-in-Chief and Co-Editor-in-Chief.
×
引用
GB/T 7714-2015
复制
MLA
复制
APA
复制
导出至
BibTeX EndNote RefMan NoteFirst NoteExpress
×
提示
您的信息不完整,为了账户安全,请先补充。
现在去补充
×
提示
您因"违规操作"
具体请查看互助需知
我知道了
×
提示
确定
请完成安全验证×
copy
已复制链接
快去分享给好友吧!
我知道了
右上角分享
点击右上角分享
0
联系我们:info@booksci.cn Book学术提供免费学术资源搜索服务,方便国内外学者检索中英文文献。致力于提供最便捷和优质的服务体验。 Copyright © 2023 布克学术 All rights reserved.
京ICP备2023020795号-1
ghs 京公网安备 11010802042870号
Book学术文献互助
Book学术文献互助群
群 号:604180095
Book学术官方微信