卵巢透明细胞癌人源化异种移植小鼠模型。

IF 3.7 2区 医学 Q1 OBSTETRICS & GYNECOLOGY
Journal of Gynecologic Oncology Pub Date : 2025-05-01 Epub Date: 2024-10-21 DOI:10.3802/jgo.2025.36.e40
Zhen Yuan, Huimei Zhou, Dongyan Cao, Jiaxin Yang, Qian Liu
{"title":"卵巢透明细胞癌人源化异种移植小鼠模型。","authors":"Zhen Yuan, Huimei Zhou, Dongyan Cao, Jiaxin Yang, Qian Liu","doi":"10.3802/jgo.2025.36.e40","DOIUrl":null,"url":null,"abstract":"<p><strong>Objective: </strong>The study aimed to establish humanized patient-derived xenograft (PDX) mouse models of ovarian clear cell carcinoma (OCCC) and evaluate their therapeutic responses.</p><p><strong>Methods: </strong>PDX models and their humanized counterparts (CD34+ humanized PDX models) derived from the same tumor source were developed, and the therapeutic responses were compared between the models.</p><p><strong>Results: </strong>Treatment with a phosphatidylinositol 3-kinase (PI3K) inhibitor significantly reduced tumor size in traditional OCCC PDX models (p=0.021). Although differences in tumor growth between traditional PDX models and humanized PDX models were observed, they were not statistically significant (p=0.438). However, treatment effects of PI3K inhibitor differed significantly between conventional and humanized mice (p=0.006). In the Humanized PDX cohort, both programmed cell death protein-1 antibody monotherapy and PI3K inhibitor treatment slowed tumor growth relative to controls, with a synergistic effect noted during the latter part of the study, though these effects were not statistically significant.</p><p><strong>Conclusion: </strong>This pioneering study successfully develop a humanized PDX model for OCCC, highlighting differential responses to treatments compared to conventional PDX models.</p>","PeriodicalId":15868,"journal":{"name":"Journal of Gynecologic Oncology","volume":" ","pages":"e40"},"PeriodicalIF":3.7000,"publicationDate":"2025-05-01","publicationTypes":"Journal Article","fieldsOfStudy":null,"isOpenAccess":false,"openAccessPdf":"https://www.ncbi.nlm.nih.gov/pmc/articles/PMC12099037/pdf/","citationCount":"0","resultStr":"{\"title\":\"Humanized patient-derived xenograft mouse model bearing ovarian clear cell carcinoma.\",\"authors\":\"Zhen Yuan, Huimei Zhou, Dongyan Cao, Jiaxin Yang, Qian Liu\",\"doi\":\"10.3802/jgo.2025.36.e40\",\"DOIUrl\":null,\"url\":null,\"abstract\":\"<p><strong>Objective: </strong>The study aimed to establish humanized patient-derived xenograft (PDX) mouse models of ovarian clear cell carcinoma (OCCC) and evaluate their therapeutic responses.</p><p><strong>Methods: </strong>PDX models and their humanized counterparts (CD34+ humanized PDX models) derived from the same tumor source were developed, and the therapeutic responses were compared between the models.</p><p><strong>Results: </strong>Treatment with a phosphatidylinositol 3-kinase (PI3K) inhibitor significantly reduced tumor size in traditional OCCC PDX models (p=0.021). Although differences in tumor growth between traditional PDX models and humanized PDX models were observed, they were not statistically significant (p=0.438). However, treatment effects of PI3K inhibitor differed significantly between conventional and humanized mice (p=0.006). In the Humanized PDX cohort, both programmed cell death protein-1 antibody monotherapy and PI3K inhibitor treatment slowed tumor growth relative to controls, with a synergistic effect noted during the latter part of the study, though these effects were not statistically significant.</p><p><strong>Conclusion: </strong>This pioneering study successfully develop a humanized PDX model for OCCC, highlighting differential responses to treatments compared to conventional PDX models.</p>\",\"PeriodicalId\":15868,\"journal\":{\"name\":\"Journal of Gynecologic Oncology\",\"volume\":\" \",\"pages\":\"e40\"},\"PeriodicalIF\":3.7000,\"publicationDate\":\"2025-05-01\",\"publicationTypes\":\"Journal Article\",\"fieldsOfStudy\":null,\"isOpenAccess\":false,\"openAccessPdf\":\"https://www.ncbi.nlm.nih.gov/pmc/articles/PMC12099037/pdf/\",\"citationCount\":\"0\",\"resultStr\":null,\"platform\":\"Semanticscholar\",\"paperid\":null,\"PeriodicalName\":\"Journal of Gynecologic Oncology\",\"FirstCategoryId\":\"3\",\"ListUrlMain\":\"https://doi.org/10.3802/jgo.2025.36.e40\",\"RegionNum\":2,\"RegionCategory\":\"医学\",\"ArticlePicture\":[],\"TitleCN\":null,\"AbstractTextCN\":null,\"PMCID\":null,\"EPubDate\":\"2024/10/21 0:00:00\",\"PubModel\":\"Epub\",\"JCR\":\"Q1\",\"JCRName\":\"OBSTETRICS & GYNECOLOGY\",\"Score\":null,\"Total\":0}","platform":"Semanticscholar","paperid":null,"PeriodicalName":"Journal of Gynecologic Oncology","FirstCategoryId":"3","ListUrlMain":"https://doi.org/10.3802/jgo.2025.36.e40","RegionNum":2,"RegionCategory":"医学","ArticlePicture":[],"TitleCN":null,"AbstractTextCN":null,"PMCID":null,"EPubDate":"2024/10/21 0:00:00","PubModel":"Epub","JCR":"Q1","JCRName":"OBSTETRICS & GYNECOLOGY","Score":null,"Total":0}
引用次数: 0

摘要

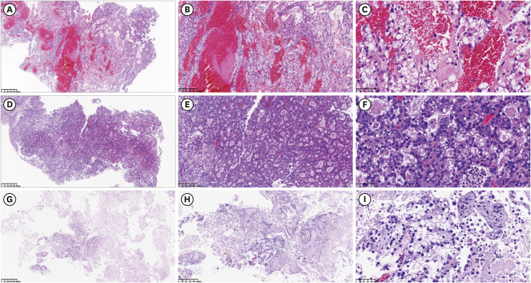
目的:该研究旨在建立人源化患者异种移植(PDX)小鼠模型并评估其治疗反应:该研究旨在建立人源化卵巢透明细胞癌(OCCC)患者异种移植(PDX)小鼠模型,并评估其治疗反应:方法:建立PDX模型及其来自同一肿瘤源的人源化对应模型(CD34+人源化PDX模型),并比较模型之间的治疗反应:结果:用磷脂酰肌醇 3- 激酶(PI3K)抑制剂治疗可显著缩小传统 OCCC PDX 模型的肿瘤大小(p=0.021)。虽然在传统 PDX 模型和人源化 PDX 模型之间观察到了肿瘤生长的差异,但并无统计学意义(p=0.438)。然而,PI3K 抑制剂的治疗效果在传统小鼠和人源化小鼠之间存在显著差异(p=0.006)。在人源化PDX队列中,与对照组相比,程序性细胞死亡蛋白-1抗体单药治疗和PI3K抑制剂治疗都减缓了肿瘤的生长,在研究的后期还出现了协同效应,但这些效应在统计学上并不显著:这项开创性的研究成功地为 OCCC 建立了人源化 PDX 模型,与传统的 PDX 模型相比,该模型突出了对治疗的不同反应。
本文章由计算机程序翻译,如有差异,请以英文原文为准。

Humanized patient-derived xenograft mouse model bearing ovarian clear cell carcinoma.

Humanized patient-derived xenograft mouse model bearing ovarian clear cell carcinoma.

Humanized patient-derived xenograft mouse model bearing ovarian clear cell carcinoma.

Humanized patient-derived xenograft mouse model bearing ovarian clear cell carcinoma.

Objective: The study aimed to establish humanized patient-derived xenograft (PDX) mouse models of ovarian clear cell carcinoma (OCCC) and evaluate their therapeutic responses.

Methods: PDX models and their humanized counterparts (CD34+ humanized PDX models) derived from the same tumor source were developed, and the therapeutic responses were compared between the models.

Results: Treatment with a phosphatidylinositol 3-kinase (PI3K) inhibitor significantly reduced tumor size in traditional OCCC PDX models (p=0.021). Although differences in tumor growth between traditional PDX models and humanized PDX models were observed, they were not statistically significant (p=0.438). However, treatment effects of PI3K inhibitor differed significantly between conventional and humanized mice (p=0.006). In the Humanized PDX cohort, both programmed cell death protein-1 antibody monotherapy and PI3K inhibitor treatment slowed tumor growth relative to controls, with a synergistic effect noted during the latter part of the study, though these effects were not statistically significant.

Conclusion: This pioneering study successfully develop a humanized PDX model for OCCC, highlighting differential responses to treatments compared to conventional PDX models.

求助全文
通过发布文献求助,成功后即可免费获取论文全文。 去求助
来源期刊
Journal of Gynecologic Oncology
Journal of Gynecologic Oncology ONCOLOGY-OBSTETRICS & GYNECOLOGY
CiteScore
6.00
自引率
2.60%
发文量
84
审稿时长
>12 weeks
期刊介绍: The Journal of Gynecologic Oncology (JGO) is an official publication of the Asian Society of Gynecologic Oncology. Abbreviated title is ''J Gynecol Oncol''. It was launched in 1990. The JGO''s aim is to publish the highest quality manuscripts dedicated to the advancement of care of the patients with gynecologic cancer. It is an international peer-reviewed periodical journal that is published bimonthly (January, March, May, July, September, and November). Supplement numbers are at times published. The journal publishes editorials, original and review articles, correspondence, book review, etc.
×
引用
GB/T 7714-2015
复制
MLA
复制
APA
复制
导出至
BibTeX EndNote RefMan NoteFirst NoteExpress
×
提示
您的信息不完整,为了账户安全,请先补充。
现在去补充
×
提示
您因"违规操作"
具体请查看互助需知
我知道了
×
提示
确定
请完成安全验证×
copy
已复制链接
快去分享给好友吧!
我知道了
右上角分享
点击右上角分享
0
联系我们:info@booksci.cn Book学术提供免费学术资源搜索服务,方便国内外学者检索中英文文献。致力于提供最便捷和优质的服务体验。 Copyright © 2023 布克学术 All rights reserved.
京ICP备2023020795号-1
ghs 京公网安备 11010802042870号
Book学术文献互助
Book学术文献互助群
群 号:604180095
Book学术官方微信