强直性脊柱炎与超声心动图检测到的收缩前波之间的独立关系

IF 1 Q4 CARDIAC & CARDIOVASCULAR SYSTEMS
Journal of Cardiovascular Echography Pub Date : 2024-07-01 Epub Date: 2024-09-21 DOI:10.4103/jcecho.jcecho_26_24
Elif Ergül, Ali Gökhan Özyildiz, Gökhan Barutçu, Osman Cüre, Hüseyin Durak, Afag Özyildiz, Mustafa Çetin
{"title":"强直性脊柱炎与超声心动图检测到的收缩前波之间的独立关系","authors":"Elif Ergül, Ali Gökhan Özyildiz, Gökhan Barutçu, Osman Cüre, Hüseyin Durak, Afag Özyildiz, Mustafa Çetin","doi":"10.4103/jcecho.jcecho_26_24","DOIUrl":null,"url":null,"abstract":"<p><strong>Objective: </strong>Ankylosing spondylitis (AS) is a persistent inflammatory disease affecting the axial skeleton which may lead to cardiovascular involvement. We examined the relationship between the presystolic wave (PW), which is frequently encountered in the evaluation of the left ventricular (LV) outflow tract, and AS.</p><p><strong>Methods: </strong>The study included 117 consecutive patients with 73 of them being male. Demographic and clinical characteristics of the participants were recorded and echocardiographic examination was performed.</p><p><strong>Results: </strong>Patients were categorized into two groups: patients diagnosed with AS (<i>n</i> = 64) and patients without AS (<i>n</i> = 53). LV ejection fraction (<i>P</i> = 0.014), LV mass index (<i>P</i> < 0.001), mitral E wave velocity (<i>P</i> = 0.002), and PW (<i>P</i> = 0.014) were independently linked with AS.</p><p><strong>Conclusion: </strong>A substantial correlation was found between PW and AS.</p>","PeriodicalId":15191,"journal":{"name":"Journal of Cardiovascular Echography","volume":"34 3","pages":"132-136"},"PeriodicalIF":1.0000,"publicationDate":"2024-07-01","publicationTypes":"Journal Article","fieldsOfStudy":null,"isOpenAccess":false,"openAccessPdf":"https://www.ncbi.nlm.nih.gov/pmc/articles/PMC11495312/pdf/","citationCount":"0","resultStr":"{\"title\":\"Independent Relationship between Ankylosing Spondylitis and Presystolic Wave Detected on Echocardiography.\",\"authors\":\"Elif Ergül, Ali Gökhan Özyildiz, Gökhan Barutçu, Osman Cüre, Hüseyin Durak, Afag Özyildiz, Mustafa Çetin\",\"doi\":\"10.4103/jcecho.jcecho_26_24\",\"DOIUrl\":null,\"url\":null,\"abstract\":\"<p><strong>Objective: </strong>Ankylosing spondylitis (AS) is a persistent inflammatory disease affecting the axial skeleton which may lead to cardiovascular involvement. We examined the relationship between the presystolic wave (PW), which is frequently encountered in the evaluation of the left ventricular (LV) outflow tract, and AS.</p><p><strong>Methods: </strong>The study included 117 consecutive patients with 73 of them being male. Demographic and clinical characteristics of the participants were recorded and echocardiographic examination was performed.</p><p><strong>Results: </strong>Patients were categorized into two groups: patients diagnosed with AS (<i>n</i> = 64) and patients without AS (<i>n</i> = 53). LV ejection fraction (<i>P</i> = 0.014), LV mass index (<i>P</i> < 0.001), mitral E wave velocity (<i>P</i> = 0.002), and PW (<i>P</i> = 0.014) were independently linked with AS.</p><p><strong>Conclusion: </strong>A substantial correlation was found between PW and AS.</p>\",\"PeriodicalId\":15191,\"journal\":{\"name\":\"Journal of Cardiovascular Echography\",\"volume\":\"34 3\",\"pages\":\"132-136\"},\"PeriodicalIF\":1.0000,\"publicationDate\":\"2024-07-01\",\"publicationTypes\":\"Journal Article\",\"fieldsOfStudy\":null,\"isOpenAccess\":false,\"openAccessPdf\":\"https://www.ncbi.nlm.nih.gov/pmc/articles/PMC11495312/pdf/\",\"citationCount\":\"0\",\"resultStr\":null,\"platform\":\"Semanticscholar\",\"paperid\":null,\"PeriodicalName\":\"Journal of Cardiovascular Echography\",\"FirstCategoryId\":\"1085\",\"ListUrlMain\":\"https://doi.org/10.4103/jcecho.jcecho_26_24\",\"RegionNum\":0,\"RegionCategory\":null,\"ArticlePicture\":[],\"TitleCN\":null,\"AbstractTextCN\":null,\"PMCID\":null,\"EPubDate\":\"2024/9/21 0:00:00\",\"PubModel\":\"Epub\",\"JCR\":\"Q4\",\"JCRName\":\"CARDIAC & CARDIOVASCULAR SYSTEMS\",\"Score\":null,\"Total\":0}","platform":"Semanticscholar","paperid":null,"PeriodicalName":"Journal of Cardiovascular Echography","FirstCategoryId":"1085","ListUrlMain":"https://doi.org/10.4103/jcecho.jcecho_26_24","RegionNum":0,"RegionCategory":null,"ArticlePicture":[],"TitleCN":null,"AbstractTextCN":null,"PMCID":null,"EPubDate":"2024/9/21 0:00:00","PubModel":"Epub","JCR":"Q4","JCRName":"CARDIAC & CARDIOVASCULAR SYSTEMS","Score":null,"Total":0}
引用次数: 0

摘要

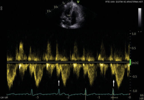
目的:强直性脊柱炎(AS)是一种影响轴性骨骼的持续性炎症疾病,可能导致心血管受累。我们研究了在评估左心室流出道时经常出现的收缩前波(PW)与强直性脊柱炎之间的关系:该研究包括117名连续患者,其中73人为男性。记录参与者的人口统计学和临床特征,并进行超声心动图检查:结果:患者分为两组:确诊为强直性脊柱炎的患者(64 人)和无强直性脊柱炎的患者(53 人)。左心室射血分数(P = 0.014)、左心室质量指数(P < 0.001)、二尖瓣E波速度(P = 0.002)和脉搏波速度(P = 0.014)与强直性脊柱炎独立相关:结论:脉搏波速度与强直性脊柱炎之间存在显著相关性。
本文章由计算机程序翻译,如有差异,请以英文原文为准。

Independent Relationship between Ankylosing Spondylitis and Presystolic Wave Detected on Echocardiography.

Independent Relationship between Ankylosing Spondylitis and Presystolic Wave Detected on Echocardiography.

Objective: Ankylosing spondylitis (AS) is a persistent inflammatory disease affecting the axial skeleton which may lead to cardiovascular involvement. We examined the relationship between the presystolic wave (PW), which is frequently encountered in the evaluation of the left ventricular (LV) outflow tract, and AS.

Methods: The study included 117 consecutive patients with 73 of them being male. Demographic and clinical characteristics of the participants were recorded and echocardiographic examination was performed.

Results: Patients were categorized into two groups: patients diagnosed with AS (n = 64) and patients without AS (n = 53). LV ejection fraction (P = 0.014), LV mass index (P < 0.001), mitral E wave velocity (P = 0.002), and PW (P = 0.014) were independently linked with AS.

Conclusion: A substantial correlation was found between PW and AS.

求助全文
通过发布文献求助,成功后即可免费获取论文全文。 去求助
来源期刊
Journal of Cardiovascular Echography
Journal of Cardiovascular Echography CARDIAC & CARDIOVASCULAR SYSTEMS-
CiteScore
1.40
自引率
12.50%
发文量
27
×
引用
GB/T 7714-2015
复制
MLA
复制
APA
复制
导出至
BibTeX EndNote RefMan NoteFirst NoteExpress
×
提示
您的信息不完整,为了账户安全,请先补充。
现在去补充
×
提示
您因"违规操作"
具体请查看互助需知
我知道了
×
提示
确定
请完成安全验证×
copy
已复制链接
快去分享给好友吧!
我知道了
右上角分享
点击右上角分享
0
联系我们:info@booksci.cn Book学术提供免费学术资源搜索服务,方便国内外学者检索中英文文献。致力于提供最便捷和优质的服务体验。 Copyright © 2023 布克学术 All rights reserved.
京ICP备2023020795号-1
ghs 京公网安备 11010802042870号
Book学术文献互助
Book学术文献互助群
群 号:604180095
Book学术官方微信