光学相干断层扫描异常是髓质/鞍上肿块的先兆。

IF 0.6 Q4 OPHTHALMOLOGY
Case Reports in Ophthalmology Pub Date : 2024-10-25 eCollection Date: 2024-01-01 DOI:10.1159/000541680
Arshia Vosoughi, Jonathan A Micieli
{"title":"光学相干断层扫描异常是髓质/鞍上肿块的先兆。","authors":"Arshia Vosoughi, Jonathan A Micieli","doi":"10.1159/000541680","DOIUrl":null,"url":null,"abstract":"<p><strong>Introduction: </strong>Pituitary adenomas are benign tumours that can lead to visual loss through compression of the optic chiasm. Patients with pituitary adenomas often present with visual field defects (commonly bitemporal hemianopia), but some may be asymptomatic. In such cases, abnormalities may only be detected through visual field testing or optical coherence tomography (OCT) of the ganglion cell-inner plexiform layer (GCIPL), which may provide a more sensitive method for detecting such abnormalities.</p><p><strong>Case presentation: </strong>A 72-year-old man was incidentally found to have binasal OCT-GCIPL thinning during a routine eye examination. Visual acuity was 20/20 in both eyes. Pupils were equal and reactive without a relative afferent pupillary defect. His Humphrey 24-2 SITA-Fast visual field test results were normal. A magnetic resonance imaging (MRI) revealed a nonenhancing (cystic) sellar/suprasellar mass measuring 1.7 cm craniocaudal by 2.1 cm anteroposteriorly, without associated optic chiasm compression. The lesion was suspected to be either a cystic pituitary adenoma or a Rathke's cleft cyst. Follow-up examination 1 year later showed all findings remained stable, including an unchanged visual acuity, visual fields, OCT-GCIPL, and MRI.</p><p><strong>Conclusion: </strong>The binasal thinning observed on OCT-GCIPL in this case, despite the absence of chiasmal compression on MRI, is suggestive of previous compression of the optic chiasm. This case highlights the potential for spontaneous regression of pituitary adenomas and underscores the importance of OCT-GCIPL as a vital tool for detecting optic chiasmal damage.</p>","PeriodicalId":9635,"journal":{"name":"Case Reports in Ophthalmology","volume":"15 1","pages":"757-761"},"PeriodicalIF":0.6000,"publicationDate":"2024-10-25","publicationTypes":"Journal Article","fieldsOfStudy":null,"isOpenAccess":false,"openAccessPdf":"https://www.ncbi.nlm.nih.gov/pmc/articles/PMC11509489/pdf/","citationCount":"0","resultStr":"{\"title\":\"Optical Coherence Tomography Abnormalities as the Presenting Sign of an Involuted Sellar/Suprasellar Mass.\",\"authors\":\"Arshia Vosoughi, Jonathan A Micieli\",\"doi\":\"10.1159/000541680\",\"DOIUrl\":null,\"url\":null,\"abstract\":\"<p><strong>Introduction: </strong>Pituitary adenomas are benign tumours that can lead to visual loss through compression of the optic chiasm. Patients with pituitary adenomas often present with visual field defects (commonly bitemporal hemianopia), but some may be asymptomatic. In such cases, abnormalities may only be detected through visual field testing or optical coherence tomography (OCT) of the ganglion cell-inner plexiform layer (GCIPL), which may provide a more sensitive method for detecting such abnormalities.</p><p><strong>Case presentation: </strong>A 72-year-old man was incidentally found to have binasal OCT-GCIPL thinning during a routine eye examination. Visual acuity was 20/20 in both eyes. Pupils were equal and reactive without a relative afferent pupillary defect. His Humphrey 24-2 SITA-Fast visual field test results were normal. A magnetic resonance imaging (MRI) revealed a nonenhancing (cystic) sellar/suprasellar mass measuring 1.7 cm craniocaudal by 2.1 cm anteroposteriorly, without associated optic chiasm compression. The lesion was suspected to be either a cystic pituitary adenoma or a Rathke's cleft cyst. Follow-up examination 1 year later showed all findings remained stable, including an unchanged visual acuity, visual fields, OCT-GCIPL, and MRI.</p><p><strong>Conclusion: </strong>The binasal thinning observed on OCT-GCIPL in this case, despite the absence of chiasmal compression on MRI, is suggestive of previous compression of the optic chiasm. This case highlights the potential for spontaneous regression of pituitary adenomas and underscores the importance of OCT-GCIPL as a vital tool for detecting optic chiasmal damage.</p>\",\"PeriodicalId\":9635,\"journal\":{\"name\":\"Case Reports in Ophthalmology\",\"volume\":\"15 1\",\"pages\":\"757-761\"},\"PeriodicalIF\":0.6000,\"publicationDate\":\"2024-10-25\",\"publicationTypes\":\"Journal Article\",\"fieldsOfStudy\":null,\"isOpenAccess\":false,\"openAccessPdf\":\"https://www.ncbi.nlm.nih.gov/pmc/articles/PMC11509489/pdf/\",\"citationCount\":\"0\",\"resultStr\":null,\"platform\":\"Semanticscholar\",\"paperid\":null,\"PeriodicalName\":\"Case Reports in Ophthalmology\",\"FirstCategoryId\":\"1085\",\"ListUrlMain\":\"https://doi.org/10.1159/000541680\",\"RegionNum\":0,\"RegionCategory\":null,\"ArticlePicture\":[],\"TitleCN\":null,\"AbstractTextCN\":null,\"PMCID\":null,\"EPubDate\":\"2024/1/1 0:00:00\",\"PubModel\":\"eCollection\",\"JCR\":\"Q4\",\"JCRName\":\"OPHTHALMOLOGY\",\"Score\":null,\"Total\":0}","platform":"Semanticscholar","paperid":null,"PeriodicalName":"Case Reports in Ophthalmology","FirstCategoryId":"1085","ListUrlMain":"https://doi.org/10.1159/000541680","RegionNum":0,"RegionCategory":null,"ArticlePicture":[],"TitleCN":null,"AbstractTextCN":null,"PMCID":null,"EPubDate":"2024/1/1 0:00:00","PubModel":"eCollection","JCR":"Q4","JCRName":"OPHTHALMOLOGY","Score":null,"Total":0}
引用次数: 0

摘要

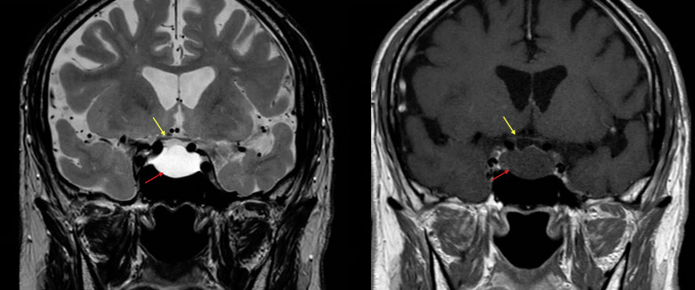
简介垂体腺瘤是一种良性肿瘤,可通过压迫视交叉导致视力丧失。垂体腺瘤患者通常表现为视野缺损(常见的是位颞侧偏盲),但有些患者可能没有症状。在这种情况下,只有通过视野测试或神经节细胞丛状内层(GCIPL)光学相干断层扫描(OCT)才能发现异常,而光学相干断层扫描是检测此类异常的更灵敏的方法:一名 72 岁的男子在一次常规眼科检查中偶然发现双侧 OCT GCIPL 变薄。双眼视力均为 20/20。瞳孔等大且有反应,没有相对的瞳孔传入缺陷。他的 Humphrey 24-2 SITA-Fast 视野测试结果正常。磁共振成像(MRI)显示,蝶鞍/鞍上肿块无强化(囊性),颅尾长 1.7 厘米,前胸长 2.1 厘米,无相关视交叉压迫。该病变被怀疑是囊性垂体腺瘤或拉斯克氏裂囊肿。一年后的随访检查显示,所有结果均保持稳定,包括视力、视野、OCT-GCIPL和核磁共振成像均无变化:结论:尽管磁共振成像没有发现视交叉受压,但在该病例中,OCT-GCIPL 观察到的双侧视交叉变薄提示视交叉曾受到过压迫。本病例凸显了垂体腺瘤自发消退的可能性,并强调了OCT-GCIPL作为检测视交叉损伤的重要工具的重要性。
本文章由计算机程序翻译,如有差异,请以英文原文为准。

Optical Coherence Tomography Abnormalities as the Presenting Sign of an Involuted Sellar/Suprasellar Mass.

Optical Coherence Tomography Abnormalities as the Presenting Sign of an Involuted Sellar/Suprasellar Mass.

Optical Coherence Tomography Abnormalities as the Presenting Sign of an Involuted Sellar/Suprasellar Mass.

Optical Coherence Tomography Abnormalities as the Presenting Sign of an Involuted Sellar/Suprasellar Mass.

Introduction: Pituitary adenomas are benign tumours that can lead to visual loss through compression of the optic chiasm. Patients with pituitary adenomas often present with visual field defects (commonly bitemporal hemianopia), but some may be asymptomatic. In such cases, abnormalities may only be detected through visual field testing or optical coherence tomography (OCT) of the ganglion cell-inner plexiform layer (GCIPL), which may provide a more sensitive method for detecting such abnormalities.

Case presentation: A 72-year-old man was incidentally found to have binasal OCT-GCIPL thinning during a routine eye examination. Visual acuity was 20/20 in both eyes. Pupils were equal and reactive without a relative afferent pupillary defect. His Humphrey 24-2 SITA-Fast visual field test results were normal. A magnetic resonance imaging (MRI) revealed a nonenhancing (cystic) sellar/suprasellar mass measuring 1.7 cm craniocaudal by 2.1 cm anteroposteriorly, without associated optic chiasm compression. The lesion was suspected to be either a cystic pituitary adenoma or a Rathke's cleft cyst. Follow-up examination 1 year later showed all findings remained stable, including an unchanged visual acuity, visual fields, OCT-GCIPL, and MRI.

Conclusion: The binasal thinning observed on OCT-GCIPL in this case, despite the absence of chiasmal compression on MRI, is suggestive of previous compression of the optic chiasm. This case highlights the potential for spontaneous regression of pituitary adenomas and underscores the importance of OCT-GCIPL as a vital tool for detecting optic chiasmal damage.

求助全文
通过发布文献求助,成功后即可免费获取论文全文。 去求助
来源期刊
CiteScore
0.90
自引率
0.00%
发文量
129
审稿时长
12 weeks
期刊介绍: This peer-reviewed online-only journal publishes original case reports covering the entire spectrum of ophthalmology, including prevention, diagnosis, treatment, toxicities of therapy, supportive care, quality-of-life, and survivorship issues. The submission of negative results is strongly encouraged. The journal will also accept case reports dealing with the use of novel technologies, both in the arena of diagnosis and treatment. Supplementary material is welcomed. The intent of the journal is to provide clinicians and researchers with a tool to disseminate their personal experiences to a wider public as well as to review interesting cases encountered by colleagues all over the world. Universally used terms can be searched across the entire growing collection of case reports, further facilitating the retrieval of specific information. Following the open access principle, the entire contents can be retrieved at no charge, guaranteeing easy access to this valuable source of anecdotal information at all times.
×
引用
GB/T 7714-2015
复制
MLA
复制
APA
复制
导出至
BibTeX EndNote RefMan NoteFirst NoteExpress
×
提示
您的信息不完整,为了账户安全,请先补充。
现在去补充
×
提示
您因"违规操作"
具体请查看互助需知
我知道了
×
提示
确定
请完成安全验证×
copy
已复制链接
快去分享给好友吧!
我知道了
右上角分享
点击右上角分享
0
联系我们:info@booksci.cn Book学术提供免费学术资源搜索服务,方便国内外学者检索中英文文献。致力于提供最便捷和优质的服务体验。 Copyright © 2023 布克学术 All rights reserved.
京ICP备2023020795号-1
ghs 京公网安备 11010802042870号
Book学术文献互助
Book学术文献互助群
群 号:604180095
Book学术官方微信