伪装成巨大垂体腺瘤的ellar许旺瘤:诊断难题。

IF 0.5 Q4 SURGERY
Case Reports in Surgery Pub Date : 2024-10-16 eCollection Date: 2024-01-01 DOI:10.1155/2024/6230715
Ali Alkhaibary, Norah Mohammad Alotaibi, Ghaida Abdullah Albattah, Rahaf Alotaibi, Fahd AlSufiani, Ahmed Aloraidi
{"title":"伪装成巨大垂体腺瘤的ellar许旺瘤:诊断难题。","authors":"Ali Alkhaibary, Norah Mohammad Alotaibi, Ghaida Abdullah Albattah, Rahaf Alotaibi, Fahd AlSufiani, Ahmed Aloraidi","doi":"10.1155/2024/6230715","DOIUrl":null,"url":null,"abstract":"<p><p><b>Background:</b> Schwannomas are well-encapsulated, solitary tumors that grow slowly from the nerve sheath. Sellar schwannomas tend to be mistaken for other sellar/parasellar lesions due to similar clinical and radiological findings. The present article describes the clinical presentation, radiological findings, histopathological features, and outcome of a patient with sellar schwannoma. <b>Case Description:</b> A 23-year-old female, known to have hypothyroidism secondary to Hashimoto's thyroiditis, presented with multiple episodes of galactorrhea, weight gain, and irregular menstrual cycle for 8 months. It was associated with decreased visual acuity and episodic headaches. Neurological examination revealed no focal deficits. Brain magnetic resonance imaging (MRI) showed a well-defined lobulated lesion in the sellar region, compressing the right optic nerve and optic chiasm. The patient underwent craniotomy and tumor resection. The histopathological sections were diagnostic of schwannoma. Postoperatively, the patient noted a subjective improvement in her visual acuity. She was discharged in stable condition with regular follow-ups at neurosurgery, endocrine, and ophthalmology clinics. <b>Conclusion:</b> Schwannoma of the sellar region is rare and can be misdiagnosed as pituitary adenomas. Preoperative hormonal profile and meticulous neuroradiological assessment narrow down the differential diagnosis for patients with sellar lesions. The diagnosis of sellar schwannomas is established with histopathology and immunohistochemistry results.</p>","PeriodicalId":9600,"journal":{"name":"Case Reports in Surgery","volume":"2024 ","pages":"6230715"},"PeriodicalIF":0.5000,"publicationDate":"2024-10-16","publicationTypes":"Journal Article","fieldsOfStudy":null,"isOpenAccess":false,"openAccessPdf":"https://www.ncbi.nlm.nih.gov/pmc/articles/PMC11498973/pdf/","citationCount":"0","resultStr":"{\"title\":\"Sellar Schwannoma Masquerading as Giant Pituitary Adenoma: A Diagnostic Challenge.\",\"authors\":\"Ali Alkhaibary, Norah Mohammad Alotaibi, Ghaida Abdullah Albattah, Rahaf Alotaibi, Fahd AlSufiani, Ahmed Aloraidi\",\"doi\":\"10.1155/2024/6230715\",\"DOIUrl\":null,\"url\":null,\"abstract\":\"<p><p><b>Background:</b> Schwannomas are well-encapsulated, solitary tumors that grow slowly from the nerve sheath. Sellar schwannomas tend to be mistaken for other sellar/parasellar lesions due to similar clinical and radiological findings. The present article describes the clinical presentation, radiological findings, histopathological features, and outcome of a patient with sellar schwannoma. <b>Case Description:</b> A 23-year-old female, known to have hypothyroidism secondary to Hashimoto's thyroiditis, presented with multiple episodes of galactorrhea, weight gain, and irregular menstrual cycle for 8 months. It was associated with decreased visual acuity and episodic headaches. Neurological examination revealed no focal deficits. Brain magnetic resonance imaging (MRI) showed a well-defined lobulated lesion in the sellar region, compressing the right optic nerve and optic chiasm. The patient underwent craniotomy and tumor resection. The histopathological sections were diagnostic of schwannoma. Postoperatively, the patient noted a subjective improvement in her visual acuity. She was discharged in stable condition with regular follow-ups at neurosurgery, endocrine, and ophthalmology clinics. <b>Conclusion:</b> Schwannoma of the sellar region is rare and can be misdiagnosed as pituitary adenomas. Preoperative hormonal profile and meticulous neuroradiological assessment narrow down the differential diagnosis for patients with sellar lesions. The diagnosis of sellar schwannomas is established with histopathology and immunohistochemistry results.</p>\",\"PeriodicalId\":9600,\"journal\":{\"name\":\"Case Reports in Surgery\",\"volume\":\"2024 \",\"pages\":\"6230715\"},\"PeriodicalIF\":0.5000,\"publicationDate\":\"2024-10-16\",\"publicationTypes\":\"Journal Article\",\"fieldsOfStudy\":null,\"isOpenAccess\":false,\"openAccessPdf\":\"https://www.ncbi.nlm.nih.gov/pmc/articles/PMC11498973/pdf/\",\"citationCount\":\"0\",\"resultStr\":null,\"platform\":\"Semanticscholar\",\"paperid\":null,\"PeriodicalName\":\"Case Reports in Surgery\",\"FirstCategoryId\":\"1085\",\"ListUrlMain\":\"https://doi.org/10.1155/2024/6230715\",\"RegionNum\":0,\"RegionCategory\":null,\"ArticlePicture\":[],\"TitleCN\":null,\"AbstractTextCN\":null,\"PMCID\":null,\"EPubDate\":\"2024/1/1 0:00:00\",\"PubModel\":\"eCollection\",\"JCR\":\"Q4\",\"JCRName\":\"SURGERY\",\"Score\":null,\"Total\":0}","platform":"Semanticscholar","paperid":null,"PeriodicalName":"Case Reports in Surgery","FirstCategoryId":"1085","ListUrlMain":"https://doi.org/10.1155/2024/6230715","RegionNum":0,"RegionCategory":null,"ArticlePicture":[],"TitleCN":null,"AbstractTextCN":null,"PMCID":null,"EPubDate":"2024/1/1 0:00:00","PubModel":"eCollection","JCR":"Q4","JCRName":"SURGERY","Score":null,"Total":0}
引用次数: 0

摘要

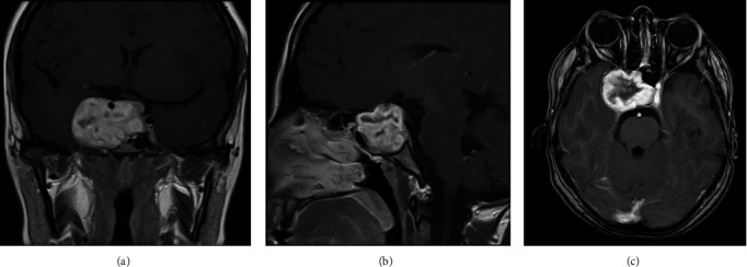
背景:许旺瘤是一种包裹性良好的单发肿瘤,从神经鞘缓慢生长。由于临床和放射学检查结果相似,ellar 分裂瘤容易被误诊为其他ellar/parasellar病变。本文描述了一名沽状分裂瘤患者的临床表现、放射学检查结果、组织病理学特征和预后。病例描述:一名 23 岁女性,已知继发于桥本氏甲状腺炎的甲状腺功能减退症,表现为 8 个月来多次发作的半乳糖痢、体重增加和月经周期不规律。伴有视力下降和发作性头痛。神经系统检查未发现局灶性障碍。脑磁共振成像(MRI)显示,蝶鞍区有界限清晰的分叶状病变,压迫右侧视神经和视丘。患者接受了开颅手术和肿瘤切除术。组织病理切片诊断为分裂瘤。术后,患者主观感觉视力有所改善。出院后,她的病情稳定,并定期到神经外科、内分泌科和眼科门诊复查。结论蝶鞍区的许旺瘤非常罕见,可能会被误诊为垂体腺瘤。术前激素测定和细致的神经放射学评估可缩小蝶鞍病变患者的鉴别诊断范围。组织病理学和免疫组化结果可确定蝶鞍分裂瘤的诊断。
本文章由计算机程序翻译,如有差异,请以英文原文为准。

Sellar Schwannoma Masquerading as Giant Pituitary Adenoma: A Diagnostic Challenge.

Sellar Schwannoma Masquerading as Giant Pituitary Adenoma: A Diagnostic Challenge.

Sellar Schwannoma Masquerading as Giant Pituitary Adenoma: A Diagnostic Challenge.

Sellar Schwannoma Masquerading as Giant Pituitary Adenoma: A Diagnostic Challenge.

Background: Schwannomas are well-encapsulated, solitary tumors that grow slowly from the nerve sheath. Sellar schwannomas tend to be mistaken for other sellar/parasellar lesions due to similar clinical and radiological findings. The present article describes the clinical presentation, radiological findings, histopathological features, and outcome of a patient with sellar schwannoma. Case Description: A 23-year-old female, known to have hypothyroidism secondary to Hashimoto's thyroiditis, presented with multiple episodes of galactorrhea, weight gain, and irregular menstrual cycle for 8 months. It was associated with decreased visual acuity and episodic headaches. Neurological examination revealed no focal deficits. Brain magnetic resonance imaging (MRI) showed a well-defined lobulated lesion in the sellar region, compressing the right optic nerve and optic chiasm. The patient underwent craniotomy and tumor resection. The histopathological sections were diagnostic of schwannoma. Postoperatively, the patient noted a subjective improvement in her visual acuity. She was discharged in stable condition with regular follow-ups at neurosurgery, endocrine, and ophthalmology clinics. Conclusion: Schwannoma of the sellar region is rare and can be misdiagnosed as pituitary adenomas. Preoperative hormonal profile and meticulous neuroradiological assessment narrow down the differential diagnosis for patients with sellar lesions. The diagnosis of sellar schwannomas is established with histopathology and immunohistochemistry results.

求助全文
通过发布文献求助,成功后即可免费获取论文全文。 去求助
来源期刊
自引率
0.00%
发文量
60
审稿时长
13 weeks
×
引用
GB/T 7714-2015
复制
MLA
复制
APA
复制
导出至
BibTeX EndNote RefMan NoteFirst NoteExpress
×
提示
您的信息不完整,为了账户安全,请先补充。
现在去补充
×
提示
您因"违规操作"
具体请查看互助需知
我知道了
×
提示
确定
请完成安全验证×
copy
已复制链接
快去分享给好友吧!
我知道了
右上角分享
点击右上角分享
0
联系我们:info@booksci.cn Book学术提供免费学术资源搜索服务,方便国内外学者检索中英文文献。致力于提供最便捷和优质的服务体验。 Copyright © 2023 布克学术 All rights reserved.
京ICP备2023020795号-1
ghs 京公网安备 11010802042870号
Book学术文献互助
Book学术文献互助群
群 号:604180095
Book学术官方微信