豪萨语弹射词和内爆词中的垂直喉部动作和瓣间定时稳定性。

IF 1.1 3区 文学 Q3 ACOUSTICS
Phonetica Pub Date : 2024-10-22 Print Date: 2024-12-17 DOI:10.1515/phon-2023-0052
Miran Oh, Dani Byrd, Louis Goldstein, Shrikanth S Narayanan
{"title":"豪萨语弹射词和内爆词中的垂直喉部动作和瓣间定时稳定性。","authors":"Miran Oh, Dani Byrd, Louis Goldstein, Shrikanth S Narayanan","doi":"10.1515/phon-2023-0052","DOIUrl":null,"url":null,"abstract":"<p><p>The current project undertakes a kinematic examination of vertical larynx actions and intergestural timing stability within multi-gesture complex segments such as ejectives and implosives that may possess specific temporal goals critical to their articulatory realization. Using real-time MRI (rtMRI) speech production data from Hausa non-pulmonic and pulmonic consonants, this study illuminates speech timing between oral constriction and vertical larynx actions within segments and the role this intergestural timing plays in realizing phonological contrasts and processes in varying prosodic contexts. Results suggest that vertical larynx actions have greater magnitude in the production of ejectives compared to their pulmonic counterparts, but implosives and pulmonic consonants are differentiated not by vertical larynx magnitude but by the intergestural timing patterns between their oral and vertical larynx gestures. Moreover, intergestural timing stability/variability between oral and non-oral (vertical larynx) actions differ among ejectives, implosives, and pulmonic consonants, with ejectives having the most stable temporal lags, followed by implosives and pulmonic consonants, respectively. Lastly, the findings show how contrastive linguistic 'molecules' - here, segment-sized phonological complexes with multiple gestures - interact with phrasal context in speech in such a way that it variably shapes temporal organization between participating gestures as well as respecting stability in relative timing between such gestures comprising a segment.</p>","PeriodicalId":55608,"journal":{"name":"Phonetica","volume":" ","pages":"559-597"},"PeriodicalIF":1.1000,"publicationDate":"2024-10-22","publicationTypes":"Journal Article","fieldsOfStudy":null,"isOpenAccess":false,"openAccessPdf":"https://www.ncbi.nlm.nih.gov/pmc/articles/PMC12328890/pdf/","citationCount":"0","resultStr":"{\"title\":\"Vertical larynx actions and intergestural timing stability in Hausa ejectives and implosives.\",\"authors\":\"Miran Oh, Dani Byrd, Louis Goldstein, Shrikanth S Narayanan\",\"doi\":\"10.1515/phon-2023-0052\",\"DOIUrl\":null,\"url\":null,\"abstract\":\"<p><p>The current project undertakes a kinematic examination of vertical larynx actions and intergestural timing stability within multi-gesture complex segments such as ejectives and implosives that may possess specific temporal goals critical to their articulatory realization. Using real-time MRI (rtMRI) speech production data from Hausa non-pulmonic and pulmonic consonants, this study illuminates speech timing between oral constriction and vertical larynx actions within segments and the role this intergestural timing plays in realizing phonological contrasts and processes in varying prosodic contexts. Results suggest that vertical larynx actions have greater magnitude in the production of ejectives compared to their pulmonic counterparts, but implosives and pulmonic consonants are differentiated not by vertical larynx magnitude but by the intergestural timing patterns between their oral and vertical larynx gestures. Moreover, intergestural timing stability/variability between oral and non-oral (vertical larynx) actions differ among ejectives, implosives, and pulmonic consonants, with ejectives having the most stable temporal lags, followed by implosives and pulmonic consonants, respectively. Lastly, the findings show how contrastive linguistic 'molecules' - here, segment-sized phonological complexes with multiple gestures - interact with phrasal context in speech in such a way that it variably shapes temporal organization between participating gestures as well as respecting stability in relative timing between such gestures comprising a segment.</p>\",\"PeriodicalId\":55608,\"journal\":{\"name\":\"Phonetica\",\"volume\":\" \",\"pages\":\"559-597\"},\"PeriodicalIF\":1.1000,\"publicationDate\":\"2024-10-22\",\"publicationTypes\":\"Journal Article\",\"fieldsOfStudy\":null,\"isOpenAccess\":false,\"openAccessPdf\":\"https://www.ncbi.nlm.nih.gov/pmc/articles/PMC12328890/pdf/\",\"citationCount\":\"0\",\"resultStr\":null,\"platform\":\"Semanticscholar\",\"paperid\":null,\"PeriodicalName\":\"Phonetica\",\"FirstCategoryId\":\"98\",\"ListUrlMain\":\"https://doi.org/10.1515/phon-2023-0052\",\"RegionNum\":3,\"RegionCategory\":\"文学\",\"ArticlePicture\":[],\"TitleCN\":null,\"AbstractTextCN\":null,\"PMCID\":null,\"EPubDate\":\"2024/12/17 0:00:00\",\"PubModel\":\"Print\",\"JCR\":\"Q3\",\"JCRName\":\"ACOUSTICS\",\"Score\":null,\"Total\":0}","platform":"Semanticscholar","paperid":null,"PeriodicalName":"Phonetica","FirstCategoryId":"98","ListUrlMain":"https://doi.org/10.1515/phon-2023-0052","RegionNum":3,"RegionCategory":"文学","ArticlePicture":[],"TitleCN":null,"AbstractTextCN":null,"PMCID":null,"EPubDate":"2024/12/17 0:00:00","PubModel":"Print","JCR":"Q3","JCRName":"ACOUSTICS","Score":null,"Total":0}
引用次数: 0

摘要

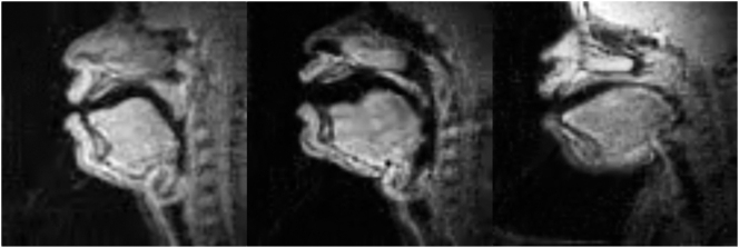
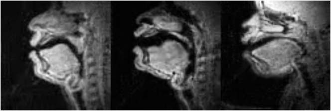
目前的项目对垂直喉部动作和多姿态复杂音段(如弹出音和内含音)中的咽喉间定时稳定性进行了运动学检查,这些音段可能具有对其发音实现至关重要的特定时间目标。本研究利用豪萨语非喉音和喉音辅音的实时核磁共振成像(rtMRI)语音生成数据,阐明了片段内口腔收缩和垂直喉部动作之间的语音时序,以及这种酝酿间时序在不同前音语境中实现语音对比和过程中所起的作用。结果表明,垂直喉部动作在弹出音的发音中比喉音的发音中幅度更大,但内弹音和喉音辅音的区别不在于垂直喉部动作的幅度,而在于其口腔收缩和垂直喉部动作之间的妊辰模式。此外,口腔动作和非口腔动作(喉垂直动作)之间的酝酿时间稳定性/可变性在喷出辅音、内隐辅音和喉音辅音之间也有所不同,其中喷出辅音的时间滞后最稳定,其次分别是内隐辅音和喉音辅音。最后,研究结果表明了对比性语言 "分子"--这里指的是具有多种手势的语段大小的语音复合体--如何与语音中的短语语境相互作用,从而在参与的手势之间形成不同的时间组织,并尊重构成一个语段的这些手势之间相对时间的稳定性。
本文章由计算机程序翻译,如有差异,请以英文原文为准。

Vertical larynx actions and intergestural timing stability in Hausa ejectives and implosives.

Vertical larynx actions and intergestural timing stability in Hausa ejectives and implosives.

Vertical larynx actions and intergestural timing stability in Hausa ejectives and implosives.

Vertical larynx actions and intergestural timing stability in Hausa ejectives and implosives.

Vertical larynx actions and intergestural timing stability in Hausa ejectives and implosives.

Vertical larynx actions and intergestural timing stability in Hausa ejectives and implosives.

Vertical larynx actions and intergestural timing stability in Hausa ejectives and implosives.

The current project undertakes a kinematic examination of vertical larynx actions and intergestural timing stability within multi-gesture complex segments such as ejectives and implosives that may possess specific temporal goals critical to their articulatory realization. Using real-time MRI (rtMRI) speech production data from Hausa non-pulmonic and pulmonic consonants, this study illuminates speech timing between oral constriction and vertical larynx actions within segments and the role this intergestural timing plays in realizing phonological contrasts and processes in varying prosodic contexts. Results suggest that vertical larynx actions have greater magnitude in the production of ejectives compared to their pulmonic counterparts, but implosives and pulmonic consonants are differentiated not by vertical larynx magnitude but by the intergestural timing patterns between their oral and vertical larynx gestures. Moreover, intergestural timing stability/variability between oral and non-oral (vertical larynx) actions differ among ejectives, implosives, and pulmonic consonants, with ejectives having the most stable temporal lags, followed by implosives and pulmonic consonants, respectively. Lastly, the findings show how contrastive linguistic 'molecules' - here, segment-sized phonological complexes with multiple gestures - interact with phrasal context in speech in such a way that it variably shapes temporal organization between participating gestures as well as respecting stability in relative timing between such gestures comprising a segment.

求助全文
通过发布文献求助,成功后即可免费获取论文全文。 去求助
来源期刊
Phonetica
Phonetica 物理-声学
CiteScore
1.90
自引率
0.00%
发文量
15
审稿时长
>12 weeks
期刊介绍: Contemporary research into spoken language employs a wide range of approaches, from instrumental measures to perceptual and neurocognitive measures, to computational models, for investigating the properties and principles of speech in communicative settings across the world’s languages. ''Phonetica'' is an international interdisciplinary forum for phonetic science that covers all aspects of the subject matter, from phonetic and phonological descriptions of segments and prosodies to speech physiology, articulation, acoustics, perception, acquisition, and phonetic variation and change. ''Phonetica'' thus provides a platform for a comprehensive understanding of speaker-hearer interaction across languages and dialects, and of learning contexts throughout the lifespan. Papers published in this journal report expert original work that deals both with theoretical issues and with new empirical data, as well as with innovative methods and applications that will help to advance the field.
×
引用
GB/T 7714-2015
复制
MLA
复制
APA
复制
导出至
BibTeX EndNote RefMan NoteFirst NoteExpress
×
提示
您的信息不完整,为了账户安全,请先补充。
现在去补充
×
提示
您因"违规操作"
具体请查看互助需知
我知道了
×
提示
确定
请完成安全验证×
copy
已复制链接
快去分享给好友吧!
我知道了
右上角分享
点击右上角分享
0
联系我们:info@booksci.cn Book学术提供免费学术资源搜索服务,方便国内外学者检索中英文文献。致力于提供最便捷和优质的服务体验。 Copyright © 2023 布克学术 All rights reserved.
京ICP备2023020795号-1
ghs 京公网安备 11010802042870号
Book学术文献互助
Book学术文献互助群
群 号:604180095
Book学术官方微信