减轻结核病治疗的不良后果:分析病例报告中的违规风险评估策略。

IF 1.7 4区 医学 Q4 INFECTIOUS DISEASES
Carolina Rossoni de Melo, Cláudia Elizabeth Volpe-Chaves, Kássia Raquel da Silva, João Gabriel Cibolli Roso, Alexandre Albuquerque Bertucci, Eunice Atsuko Totumi Cunha, James Venturini, Ursulla Vilella Andrade, Michelle Mocellin Peruzzo, Wanessa da Silva Peres Bezerra, Sandra Maria do Valle Leone de Oliveira, Anamaria Mello Miranda Paniago
{"title":"减轻结核病治疗的不良后果:分析病例报告中的违规风险评估策略。","authors":"Carolina Rossoni de Melo, Cláudia Elizabeth Volpe-Chaves, Kássia Raquel da Silva, João Gabriel Cibolli Roso, Alexandre Albuquerque Bertucci, Eunice Atsuko Totumi Cunha, James Venturini, Ursulla Vilella Andrade, Michelle Mocellin Peruzzo, Wanessa da Silva Peres Bezerra, Sandra Maria do Valle Leone de Oliveira, Anamaria Mello Miranda Paniago","doi":"10.1590/S1678-9946202466059","DOIUrl":null,"url":null,"abstract":"<p><p>Tuberculosis (TB) is a global public health concern and a leading cause of death. Its persistence occurs mainly because barriers in the care cascade are not being fully addressed. Healthcare professionals and scientists have been addressing treatment challenges such as abandonment and irregular drug intake via strategies such as directly observing treatment and singular therapeutic projects to improve adherence. However, while protocols and guidelines advocate these strategies, their implementation requires a broader approach from healthcare teams. This article examines the importance of such strategies in clinical TB management and analyzes an unfavorable outcome in an immunocompetent patient treated for pulmonary tuberculosis (PTB) from 2017 to 2022. After recurrence and treatment, the patient continued to have persistent acid-fast bacilli in the sputum, positive cultures for Mycobacterium tuberculosis, and progressive lung lesions, despite receiving the recommended treatment. Although categorized as having an intermediate risk of treatment abandonment, the patient faced challenges, such as the COVID-19 pandemic, pregnancy, and being diagnosed with COVID-19. After therapeutic failure and the loss of beneficial prospects, palliative care was initiated. This case illustrates the complexities of managing TB in patients with recurrent disease despite apparent adherence to treatment. After reassessing the risk of abandonment score, the patient was categorized as high-risk. This underscores the importance of singular therapeutic projects, such as psychological support for high-risk or intermediate patients, to prevent negative outcomes. This case reinforces the critical need for comprehensive patient-centered approaches to successfully treat and manage TB.</p>","PeriodicalId":54466,"journal":{"name":"Revista Do Instituto De Medicina Tropical De Sao Paulo","volume":"66 ","pages":"e59"},"PeriodicalIF":1.7000,"publicationDate":"2024-10-11","publicationTypes":"Journal Article","fieldsOfStudy":null,"isOpenAccess":false,"openAccessPdf":"https://www.ncbi.nlm.nih.gov/pmc/articles/PMC11469430/pdf/","citationCount":"0","resultStr":"{\"title\":\"Mitigating adverse outcomes in tuberculosis treatment: analyzing a non-compliance risk assessment strategy in a case report.\",\"authors\":\"Carolina Rossoni de Melo, Cláudia Elizabeth Volpe-Chaves, Kássia Raquel da Silva, João Gabriel Cibolli Roso, Alexandre Albuquerque Bertucci, Eunice Atsuko Totumi Cunha, James Venturini, Ursulla Vilella Andrade, Michelle Mocellin Peruzzo, Wanessa da Silva Peres Bezerra, Sandra Maria do Valle Leone de Oliveira, Anamaria Mello Miranda Paniago\",\"doi\":\"10.1590/S1678-9946202466059\",\"DOIUrl\":null,\"url\":null,\"abstract\":\"<p><p>Tuberculosis (TB) is a global public health concern and a leading cause of death. Its persistence occurs mainly because barriers in the care cascade are not being fully addressed. Healthcare professionals and scientists have been addressing treatment challenges such as abandonment and irregular drug intake via strategies such as directly observing treatment and singular therapeutic projects to improve adherence. However, while protocols and guidelines advocate these strategies, their implementation requires a broader approach from healthcare teams. This article examines the importance of such strategies in clinical TB management and analyzes an unfavorable outcome in an immunocompetent patient treated for pulmonary tuberculosis (PTB) from 2017 to 2022. After recurrence and treatment, the patient continued to have persistent acid-fast bacilli in the sputum, positive cultures for Mycobacterium tuberculosis, and progressive lung lesions, despite receiving the recommended treatment. Although categorized as having an intermediate risk of treatment abandonment, the patient faced challenges, such as the COVID-19 pandemic, pregnancy, and being diagnosed with COVID-19. After therapeutic failure and the loss of beneficial prospects, palliative care was initiated. This case illustrates the complexities of managing TB in patients with recurrent disease despite apparent adherence to treatment. After reassessing the risk of abandonment score, the patient was categorized as high-risk. This underscores the importance of singular therapeutic projects, such as psychological support for high-risk or intermediate patients, to prevent negative outcomes. This case reinforces the critical need for comprehensive patient-centered approaches to successfully treat and manage TB.</p>\",\"PeriodicalId\":54466,\"journal\":{\"name\":\"Revista Do Instituto De Medicina Tropical De Sao Paulo\",\"volume\":\"66 \",\"pages\":\"e59\"},\"PeriodicalIF\":1.7000,\"publicationDate\":\"2024-10-11\",\"publicationTypes\":\"Journal Article\",\"fieldsOfStudy\":null,\"isOpenAccess\":false,\"openAccessPdf\":\"https://www.ncbi.nlm.nih.gov/pmc/articles/PMC11469430/pdf/\",\"citationCount\":\"0\",\"resultStr\":null,\"platform\":\"Semanticscholar\",\"paperid\":null,\"PeriodicalName\":\"Revista Do Instituto De Medicina Tropical De Sao Paulo\",\"FirstCategoryId\":\"3\",\"ListUrlMain\":\"https://doi.org/10.1590/S1678-9946202466059\",\"RegionNum\":4,\"RegionCategory\":\"医学\",\"ArticlePicture\":[],\"TitleCN\":null,\"AbstractTextCN\":null,\"PMCID\":null,\"EPubDate\":\"2024/1/1 0:00:00\",\"PubModel\":\"eCollection\",\"JCR\":\"Q4\",\"JCRName\":\"INFECTIOUS DISEASES\",\"Score\":null,\"Total\":0}","platform":"Semanticscholar","paperid":null,"PeriodicalName":"Revista Do Instituto De Medicina Tropical De Sao Paulo","FirstCategoryId":"3","ListUrlMain":"https://doi.org/10.1590/S1678-9946202466059","RegionNum":4,"RegionCategory":"医学","ArticlePicture":[],"TitleCN":null,"AbstractTextCN":null,"PMCID":null,"EPubDate":"2024/1/1 0:00:00","PubModel":"eCollection","JCR":"Q4","JCRName":"INFECTIOUS DISEASES","Score":null,"Total":0}
引用次数: 0

摘要

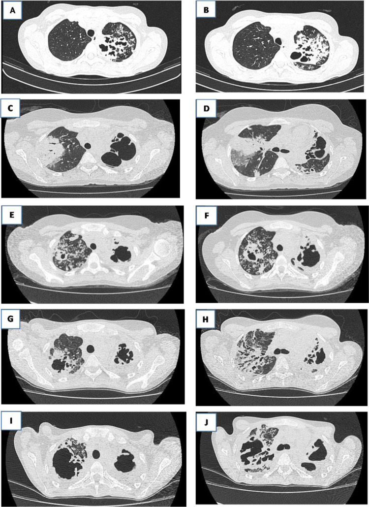
结核病(TB)是一个全球性的公共卫生问题,也是导致死亡的一个主要原因。结核病之所以久治不愈,主要是因为治疗过程中的障碍没有得到充分解决。医疗保健专业人员和科学家一直在通过直接观察治疗和单一治疗项目等策略来解决放弃治疗和不规则服药等治疗难题,以提高依从性。然而,虽然协议和指南倡导这些策略,但其实施需要医疗团队采取更广泛的方法。本文探讨了这些策略在结核病临床管理中的重要性,并分析了一名免疫功能正常的肺结核(PTB)患者在2017年至2022年期间接受治疗的不利结果。复发和治疗后,该患者尽管接受了推荐的治疗,但痰中仍有持续的酸性ast杆菌,结核分枝杆菌培养阳性,肺部病变进展。尽管该患者被归类为中度放弃治疗风险,但他仍面临着各种挑战,如 COVID-19 大流行、怀孕以及被诊断出患有 COVID-19。在治疗失败并失去获益前景后,患者开始接受姑息治疗。这个病例说明,尽管患者明显坚持治疗,但病情仍反复发作,这就说明了结核病管理的复杂性。在重新评估放弃治疗的风险评分后,该患者被归类为高风险患者。这凸显了单一治疗项目的重要性,例如为高风险或中度患者提供心理支持,以防止不良后果的发生。这个病例进一步说明,要成功治疗和管理结核病,亟需采取以患者为中心的综合方法。
本文章由计算机程序翻译,如有差异,请以英文原文为准。

Mitigating adverse outcomes in tuberculosis treatment: analyzing a non-compliance risk assessment strategy in a case report.

Mitigating adverse outcomes in tuberculosis treatment: analyzing a non-compliance risk assessment strategy in a case report.

Mitigating adverse outcomes in tuberculosis treatment: analyzing a non-compliance risk assessment strategy in a case report.

Tuberculosis (TB) is a global public health concern and a leading cause of death. Its persistence occurs mainly because barriers in the care cascade are not being fully addressed. Healthcare professionals and scientists have been addressing treatment challenges such as abandonment and irregular drug intake via strategies such as directly observing treatment and singular therapeutic projects to improve adherence. However, while protocols and guidelines advocate these strategies, their implementation requires a broader approach from healthcare teams. This article examines the importance of such strategies in clinical TB management and analyzes an unfavorable outcome in an immunocompetent patient treated for pulmonary tuberculosis (PTB) from 2017 to 2022. After recurrence and treatment, the patient continued to have persistent acid-fast bacilli in the sputum, positive cultures for Mycobacterium tuberculosis, and progressive lung lesions, despite receiving the recommended treatment. Although categorized as having an intermediate risk of treatment abandonment, the patient faced challenges, such as the COVID-19 pandemic, pregnancy, and being diagnosed with COVID-19. After therapeutic failure and the loss of beneficial prospects, palliative care was initiated. This case illustrates the complexities of managing TB in patients with recurrent disease despite apparent adherence to treatment. After reassessing the risk of abandonment score, the patient was categorized as high-risk. This underscores the importance of singular therapeutic projects, such as psychological support for high-risk or intermediate patients, to prevent negative outcomes. This case reinforces the critical need for comprehensive patient-centered approaches to successfully treat and manage TB.

求助全文
通过发布文献求助,成功后即可免费获取论文全文。 去求助
来源期刊
CiteScore
3.60
自引率
5.30%
发文量
100
审稿时长
6-12 weeks
期刊介绍: The Revista do Instituto de Medicina Tropical de São Paulo (Journal of the São Paulo Institute of Tropical Medicine) is a journal devoted to research on different aspects of tropical infectious diseases. The journal welcomes original work on all infectious diseases, provided that data and results are directly linked to human health. The journal publishes, besides original articles, review articles, case reports, brief communications, and letters to the editor. The journal publishes manuscripts only in English. From 2016 on, the Revista do Instituto de Medicina Tropical de São Paulo (Journal of the São Paulo Institute of Tropical Medicine) is published online only, maintaining the free access. For more information visit: - http://www.scielo.br/rimtsp - http://www.imt.usp.br/revista-imt/
×
引用
GB/T 7714-2015
复制
MLA
复制
APA
复制
导出至
BibTeX EndNote RefMan NoteFirst NoteExpress
×
提示
您的信息不完整,为了账户安全,请先补充。
现在去补充
×
提示
您因"违规操作"
具体请查看互助需知
我知道了
×
提示
确定
请完成安全验证×
copy
已复制链接
快去分享给好友吧!
我知道了
右上角分享
点击右上角分享
0
联系我们:info@booksci.cn Book学术提供免费学术资源搜索服务,方便国内外学者检索中英文文献。致力于提供最便捷和优质的服务体验。 Copyright © 2023 布克学术 All rights reserved.
京ICP备2023020795号-1
ghs 京公网安备 11010802042870号
Book学术文献互助
Book学术文献互助群
群 号:604180095
Book学术官方微信