病程复杂的心肌梗死后心尖壁破裂的存活率和康复率

IF 0.5 Q4 CARDIAC & CARDIOVASCULAR SYSTEMS
Case Reports in Cardiology Pub Date : 2024-10-08 eCollection Date: 2024-01-01 DOI:10.1155/2024/8888201
Hussam Al Hennawi, Angad Bedi, Jesse Cheng, Philip Lim, Nawar Al-Rawas, Mauricio Garrido, Aswin Mathew, Jennifer A Mazzoni
{"title":"病程复杂的心肌梗死后心尖壁破裂的存活率和康复率","authors":"Hussam Al Hennawi, Angad Bedi, Jesse Cheng, Philip Lim, Nawar Al-Rawas, Mauricio Garrido, Aswin Mathew, Jennifer A Mazzoni","doi":"10.1155/2024/8888201","DOIUrl":null,"url":null,"abstract":"<p><p>Ventricular wall rupture is associated with poor outcomes subsequent to an acute myocardial infarction. We describe a case of postmyocardial infarction apical wall rupture following percutaneous coronary intervention. Our case emphasizes the importance of swift evaluation, diagnosis, and management to enhance survival in individuals confronting this critical condition.</p>","PeriodicalId":51760,"journal":{"name":"Case Reports in Cardiology","volume":"2024 ","pages":"8888201"},"PeriodicalIF":0.5000,"publicationDate":"2024-10-08","publicationTypes":"Journal Article","fieldsOfStudy":null,"isOpenAccess":false,"openAccessPdf":"https://www.ncbi.nlm.nih.gov/pmc/articles/PMC11479771/pdf/","citationCount":"0","resultStr":"{\"title\":\"Survival and Recovery From Postmyocardial Infarction Apical Wall Rupture With a Complex Course.\",\"authors\":\"Hussam Al Hennawi, Angad Bedi, Jesse Cheng, Philip Lim, Nawar Al-Rawas, Mauricio Garrido, Aswin Mathew, Jennifer A Mazzoni\",\"doi\":\"10.1155/2024/8888201\",\"DOIUrl\":null,\"url\":null,\"abstract\":\"<p><p>Ventricular wall rupture is associated with poor outcomes subsequent to an acute myocardial infarction. We describe a case of postmyocardial infarction apical wall rupture following percutaneous coronary intervention. Our case emphasizes the importance of swift evaluation, diagnosis, and management to enhance survival in individuals confronting this critical condition.</p>\",\"PeriodicalId\":51760,\"journal\":{\"name\":\"Case Reports in Cardiology\",\"volume\":\"2024 \",\"pages\":\"8888201\"},\"PeriodicalIF\":0.5000,\"publicationDate\":\"2024-10-08\",\"publicationTypes\":\"Journal Article\",\"fieldsOfStudy\":null,\"isOpenAccess\":false,\"openAccessPdf\":\"https://www.ncbi.nlm.nih.gov/pmc/articles/PMC11479771/pdf/\",\"citationCount\":\"0\",\"resultStr\":null,\"platform\":\"Semanticscholar\",\"paperid\":null,\"PeriodicalName\":\"Case Reports in Cardiology\",\"FirstCategoryId\":\"1085\",\"ListUrlMain\":\"https://doi.org/10.1155/2024/8888201\",\"RegionNum\":0,\"RegionCategory\":null,\"ArticlePicture\":[],\"TitleCN\":null,\"AbstractTextCN\":null,\"PMCID\":null,\"EPubDate\":\"2024/1/1 0:00:00\",\"PubModel\":\"eCollection\",\"JCR\":\"Q4\",\"JCRName\":\"CARDIAC & CARDIOVASCULAR SYSTEMS\",\"Score\":null,\"Total\":0}","platform":"Semanticscholar","paperid":null,"PeriodicalName":"Case Reports in Cardiology","FirstCategoryId":"1085","ListUrlMain":"https://doi.org/10.1155/2024/8888201","RegionNum":0,"RegionCategory":null,"ArticlePicture":[],"TitleCN":null,"AbstractTextCN":null,"PMCID":null,"EPubDate":"2024/1/1 0:00:00","PubModel":"eCollection","JCR":"Q4","JCRName":"CARDIAC & CARDIOVASCULAR SYSTEMS","Score":null,"Total":0}
引用次数: 0

摘要

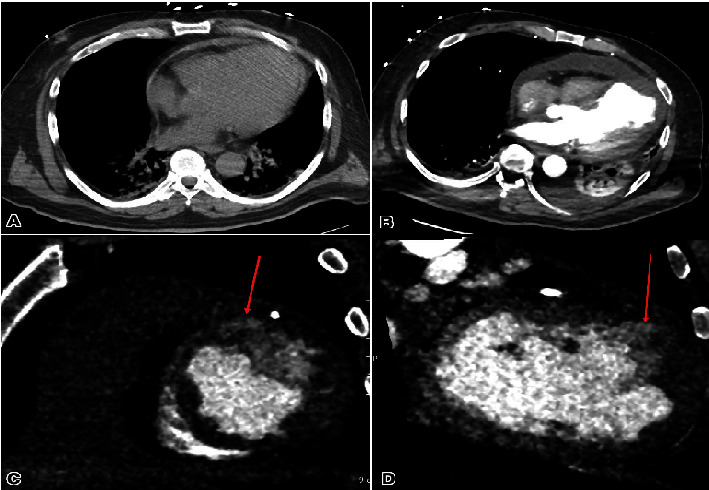
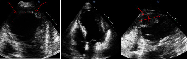
心室壁破裂与急性心肌梗死后的不良预后有关。我们描述了一例经皮冠状动脉介入治疗后心肌梗死心尖壁破裂的病例。我们的病例强调了迅速评估、诊断和处理的重要性,以提高面临这种危急情况的患者的存活率。
本文章由计算机程序翻译,如有差异,请以英文原文为准。

Survival and Recovery From Postmyocardial Infarction Apical Wall Rupture With a Complex Course.

Survival and Recovery From Postmyocardial Infarction Apical Wall Rupture With a Complex Course.

Survival and Recovery From Postmyocardial Infarction Apical Wall Rupture With a Complex Course.

Survival and Recovery From Postmyocardial Infarction Apical Wall Rupture With a Complex Course.

Ventricular wall rupture is associated with poor outcomes subsequent to an acute myocardial infarction. We describe a case of postmyocardial infarction apical wall rupture following percutaneous coronary intervention. Our case emphasizes the importance of swift evaluation, diagnosis, and management to enhance survival in individuals confronting this critical condition.

求助全文
通过发布文献求助,成功后即可免费获取论文全文。 去求助
来源期刊
Case Reports in Cardiology
Case Reports in Cardiology CARDIAC & CARDIOVASCULAR SYSTEMS-
自引率
0.00%
发文量
63
审稿时长
13 weeks
期刊介绍: Case Reports in Cardiology is a peer-reviewed, Open Access journal that publishes case reports and case series related to hypertension, arrhythmia, congestive heart failure, valvular heart disease, vascular disease, congenital heart disease and cardiomyopathy.
×
引用
GB/T 7714-2015
复制
MLA
复制
APA
复制
导出至
BibTeX EndNote RefMan NoteFirst NoteExpress
×
提示
您的信息不完整,为了账户安全,请先补充。
现在去补充
×
提示
您因"违规操作"
具体请查看互助需知
我知道了
×
提示
确定
请完成安全验证×
copy
已复制链接
快去分享给好友吧!
我知道了
右上角分享
点击右上角分享
0
联系我们:info@booksci.cn Book学术提供免费学术资源搜索服务,方便国内外学者检索中英文文献。致力于提供最便捷和优质的服务体验。 Copyright © 2023 布克学术 All rights reserved.
京ICP备2023020795号-1
ghs 京公网安备 11010802042870号
Book学术文献互助
Book学术文献互助群
群 号:604180095
Book学术官方微信