喉鳞状细胞癌患者颈淋巴结转移的预测因素

IF 0.9 Q3 MEDICINE, GENERAL & INTERNAL
Medical Bulletin of Sisli Etfal Hospital Pub Date : 2024-09-30 eCollection Date: 2024-01-01 DOI:10.14744/SEMB.2024.80445
Abdullah Soydan Mahmutoglu, Didem Rifki, Ozdes Mahmutoglu, Fatma Zeynep Arslan, Ozan Ozdemir, Goncagul Arslan Kosargelir, Yesim Karagoz
{"title":"喉鳞状细胞癌患者颈淋巴结转移的预测因素","authors":"Abdullah Soydan Mahmutoglu, Didem Rifki, Ozdes Mahmutoglu, Fatma Zeynep Arslan, Ozan Ozdemir, Goncagul Arslan Kosargelir, Yesim Karagoz","doi":"10.14744/SEMB.2024.80445","DOIUrl":null,"url":null,"abstract":"<p><strong>Objectives: </strong>In this retrospective study, we evaluated the effectiveness of the tumor volume, grade invasion depth in the prediction of cervical lymph node metastasis.Identification of diagnostic parameters reliably predicting cervical lymph node involvement can be useful in improving the management of laryngeal cancer.</p><p><strong>Methods: </strong>One hundred and seven patients with squamous cell carcinoma of larynx and who underwent surgery were assessed retrospectively. Age, sex, Tumor-Node-Metastasis (TNM) stage, grade, invasion depth and computerised tomography (CT) volume of the tumors were analysed. The association between these parameters and cervical lymph node metastasis was determined.</p><p><strong>Results: </strong>Thirty two patients (29.91%) had positive cervical lymph nodes. Lymph node metastasis is detected in 13 (46.43%) poorly differentiated tumors, and in 19 (24.05%) moderate-well differentiated tumors. Mean volume was 2.15±0.14 cc in lymph node negative patients and 2.97±1.05 cc in lymph node positive patients. Mean invasion depth was 10.1±0.87 mm in lymph node negative patients and in 11.3±1.05 mm lymph node positive patients. The tumor grade and volume predicted successfully lymph node metastasis in patients with squamous cell carcinoma of the larynx, however invasion depth was not associated with nodal metastasis (p=0.047, p=0.0022, p=0.916, respectively).</p><p><strong>Conclusion: </strong>The tumor grade and volume could predict cervical lymph node metastasis in patients with squamous cell carcinoma of the larynx, whereas the depth of invasion did not. Calculation of the tumor volume radiologically can help predict lymph node metastasis by minimizing the variability in measurements such as the depth of invasion.</p>","PeriodicalId":42218,"journal":{"name":"Medical Bulletin of Sisli Etfal Hospital","volume":"58 3","pages":"305-311"},"PeriodicalIF":0.9000,"publicationDate":"2024-09-30","publicationTypes":"Journal Article","fieldsOfStudy":null,"isOpenAccess":false,"openAccessPdf":"https://www.ncbi.nlm.nih.gov/pmc/articles/PMC11472188/pdf/","citationCount":"0","resultStr":"{\"title\":\"Predictors of Cervical Lymph Node Metastasis in Patients with Squamous Cell Carcinoma of the Larynx.\",\"authors\":\"Abdullah Soydan Mahmutoglu, Didem Rifki, Ozdes Mahmutoglu, Fatma Zeynep Arslan, Ozan Ozdemir, Goncagul Arslan Kosargelir, Yesim Karagoz\",\"doi\":\"10.14744/SEMB.2024.80445\",\"DOIUrl\":null,\"url\":null,\"abstract\":\"<p><strong>Objectives: </strong>In this retrospective study, we evaluated the effectiveness of the tumor volume, grade invasion depth in the prediction of cervical lymph node metastasis.Identification of diagnostic parameters reliably predicting cervical lymph node involvement can be useful in improving the management of laryngeal cancer.</p><p><strong>Methods: </strong>One hundred and seven patients with squamous cell carcinoma of larynx and who underwent surgery were assessed retrospectively. Age, sex, Tumor-Node-Metastasis (TNM) stage, grade, invasion depth and computerised tomography (CT) volume of the tumors were analysed. The association between these parameters and cervical lymph node metastasis was determined.</p><p><strong>Results: </strong>Thirty two patients (29.91%) had positive cervical lymph nodes. Lymph node metastasis is detected in 13 (46.43%) poorly differentiated tumors, and in 19 (24.05%) moderate-well differentiated tumors. Mean volume was 2.15±0.14 cc in lymph node negative patients and 2.97±1.05 cc in lymph node positive patients. Mean invasion depth was 10.1±0.87 mm in lymph node negative patients and in 11.3±1.05 mm lymph node positive patients. The tumor grade and volume predicted successfully lymph node metastasis in patients with squamous cell carcinoma of the larynx, however invasion depth was not associated with nodal metastasis (p=0.047, p=0.0022, p=0.916, respectively).</p><p><strong>Conclusion: </strong>The tumor grade and volume could predict cervical lymph node metastasis in patients with squamous cell carcinoma of the larynx, whereas the depth of invasion did not. Calculation of the tumor volume radiologically can help predict lymph node metastasis by minimizing the variability in measurements such as the depth of invasion.</p>\",\"PeriodicalId\":42218,\"journal\":{\"name\":\"Medical Bulletin of Sisli Etfal Hospital\",\"volume\":\"58 3\",\"pages\":\"305-311\"},\"PeriodicalIF\":0.9000,\"publicationDate\":\"2024-09-30\",\"publicationTypes\":\"Journal Article\",\"fieldsOfStudy\":null,\"isOpenAccess\":false,\"openAccessPdf\":\"https://www.ncbi.nlm.nih.gov/pmc/articles/PMC11472188/pdf/\",\"citationCount\":\"0\",\"resultStr\":null,\"platform\":\"Semanticscholar\",\"paperid\":null,\"PeriodicalName\":\"Medical Bulletin of Sisli Etfal Hospital\",\"FirstCategoryId\":\"1085\",\"ListUrlMain\":\"https://doi.org/10.14744/SEMB.2024.80445\",\"RegionNum\":0,\"RegionCategory\":null,\"ArticlePicture\":[],\"TitleCN\":null,\"AbstractTextCN\":null,\"PMCID\":null,\"EPubDate\":\"2024/1/1 0:00:00\",\"PubModel\":\"eCollection\",\"JCR\":\"Q3\",\"JCRName\":\"MEDICINE, GENERAL & INTERNAL\",\"Score\":null,\"Total\":0}","platform":"Semanticscholar","paperid":null,"PeriodicalName":"Medical Bulletin of Sisli Etfal Hospital","FirstCategoryId":"1085","ListUrlMain":"https://doi.org/10.14744/SEMB.2024.80445","RegionNum":0,"RegionCategory":null,"ArticlePicture":[],"TitleCN":null,"AbstractTextCN":null,"PMCID":null,"EPubDate":"2024/1/1 0:00:00","PubModel":"eCollection","JCR":"Q3","JCRName":"MEDICINE, GENERAL & INTERNAL","Score":null,"Total":0}
引用次数: 0

摘要

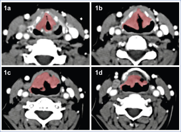
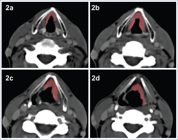
研究目的在这项回顾性研究中,我们评估了肿瘤体积、分级侵犯深度在预测颈淋巴结转移中的有效性:方法: 对接受手术的177例喉鳞癌患者进行回顾性评估。分析了患者的年龄、性别、肿瘤-结节-转移(TNM)分期、分级、浸润深度和计算机断层扫描(CT)肿瘤体积。结果:32名患者(29.91%)的宫颈淋巴结呈阳性。13例(46.43%)分化较差的肿瘤和19例(24.05%)分化中等的肿瘤发现了淋巴结转移。淋巴结阴性患者的平均体积为(2.15±0.14)毫升,淋巴结阳性患者的平均体积为(2.97±1.05)毫升。淋巴结阴性患者的平均浸润深度为(10.1±0.87)毫米,淋巴结阳性患者的平均浸润深度为(11.3±1.05)毫米。肿瘤分级和体积可成功预测喉鳞状细胞癌患者的淋巴结转移,但浸润深度与淋巴结转移无关(分别为P=0.047、P=0.0022、P=0.916):结论:肿瘤分级和体积可预测喉鳞状细胞癌患者的颈淋巴结转移,而浸润深度则无法预测。通过放射学方法计算肿瘤体积有助于预测淋巴结转移,从而最大限度地减少浸润深度等测量数据的可变性。
本文章由计算机程序翻译,如有差异,请以英文原文为准。

Predictors of Cervical Lymph Node Metastasis in Patients with Squamous Cell Carcinoma of the Larynx.

Predictors of Cervical Lymph Node Metastasis in Patients with Squamous Cell Carcinoma of the Larynx.

Predictors of Cervical Lymph Node Metastasis in Patients with Squamous Cell Carcinoma of the Larynx.

Objectives: In this retrospective study, we evaluated the effectiveness of the tumor volume, grade invasion depth in the prediction of cervical lymph node metastasis.Identification of diagnostic parameters reliably predicting cervical lymph node involvement can be useful in improving the management of laryngeal cancer.

Methods: One hundred and seven patients with squamous cell carcinoma of larynx and who underwent surgery were assessed retrospectively. Age, sex, Tumor-Node-Metastasis (TNM) stage, grade, invasion depth and computerised tomography (CT) volume of the tumors were analysed. The association between these parameters and cervical lymph node metastasis was determined.

Results: Thirty two patients (29.91%) had positive cervical lymph nodes. Lymph node metastasis is detected in 13 (46.43%) poorly differentiated tumors, and in 19 (24.05%) moderate-well differentiated tumors. Mean volume was 2.15±0.14 cc in lymph node negative patients and 2.97±1.05 cc in lymph node positive patients. Mean invasion depth was 10.1±0.87 mm in lymph node negative patients and in 11.3±1.05 mm lymph node positive patients. The tumor grade and volume predicted successfully lymph node metastasis in patients with squamous cell carcinoma of the larynx, however invasion depth was not associated with nodal metastasis (p=0.047, p=0.0022, p=0.916, respectively).

Conclusion: The tumor grade and volume could predict cervical lymph node metastasis in patients with squamous cell carcinoma of the larynx, whereas the depth of invasion did not. Calculation of the tumor volume radiologically can help predict lymph node metastasis by minimizing the variability in measurements such as the depth of invasion.

求助全文
通过发布文献求助,成功后即可免费获取论文全文。 去求助
来源期刊
Medical Bulletin of Sisli Etfal Hospital
Medical Bulletin of Sisli Etfal Hospital MEDICINE, GENERAL & INTERNAL-
自引率
16.70%
发文量
41
×
引用
GB/T 7714-2015
复制
MLA
复制
APA
复制
导出至
BibTeX EndNote RefMan NoteFirst NoteExpress
×
提示
您的信息不完整,为了账户安全,请先补充。
现在去补充
×
提示
您因"违规操作"
具体请查看互助需知
我知道了
×
提示
确定
请完成安全验证×
copy
已复制链接
快去分享给好友吧!
我知道了
右上角分享
点击右上角分享
0
联系我们:info@booksci.cn Book学术提供免费学术资源搜索服务,方便国内外学者检索中英文文献。致力于提供最便捷和优质的服务体验。 Copyright © 2023 布克学术 All rights reserved.
京ICP备2023020795号-1
ghs 京公网安备 11010802042870号
Book学术文献互助
Book学术文献互助群
群 号:604180095
Book学术官方微信