近期接触国药集团COVID-19疫苗(BBIBP-CorV)后新诊断出多发性硬化症:一系列临床病例和最新文献综述。

IF 0.5 Q4 CLINICAL NEUROLOGY
Sepideh Paybast, Melika Jameie, Mojtaba Shahbazi, Mohammad Amin Habibi, Seyed Ehsan Mohammadianinejad, Mohammad Hossein Harirchian
{"title":"近期接触国药集团COVID-19疫苗(BBIBP-CorV)后新诊断出多发性硬化症:一系列临床病例和最新文献综述。","authors":"Sepideh Paybast, Melika Jameie, Mojtaba Shahbazi, Mohammad Amin Habibi, Seyed Ehsan Mohammadianinejad, Mohammad Hossein Harirchian","doi":"10.18502/cjn.v23i1.16430","DOIUrl":null,"url":null,"abstract":"<p><p><b>Background:</b> Multiple sclerosis (MS) is the most common cause of non-traumatic disability in young individuals. There are limited reports of developing demyelinating events following the coronavirus disease 2019 (COVID-19) vaccination. <b>Methods:</b> We reported all individuals (n = 8) with new MS diagnoses with recent exposure (≤ 6 weeks) to the Sinopharm (BBIBP-CorV) vaccine between September 2021 and June 2022. We also reviewed the related literature published as of September 2023. <b>Results:</b> Of 338 newly diagnosed patients with MS who attended our tertiary referral MS center during the study period, 8 (2.36%) had their first demyelinating attack with a median interval of 2 [2.0, 4.0] weeks following the Sinopharm vaccine (sex ratio 1:1, median age: 20.5 [18.0, 27.0] years). No personal or family history of autoimmune/neurological disorders was documented, except for one patient's history of a previous potential demyelinating event and another's family history of immune thrombocytopenic purpura (ITP). All patients had demyelinating brain MRI lesions, and 4 had cervical spinal cord involvement. The brain areas most commonly affected were the periventricular and subcortical regions. Positive oligoclonal bands (OCBs) in all patients supported the MS diagnosis. All patients were diagnosed with relapsing-remitting MS and received intravenous methylprednisolone (IVMP) alone or in combination with plasma exchange (3/8). Rituximab was the most frequently used disease-modifying treatment (3/8). <b>Conclusion:</b> This study provides preliminary evidence of a potential association between the Sinopharm vaccine and the initial manifestations of MS. However, further larger-scale studies with control groups and long-term follow-ups are needed to confirm this association and determine the underlying mechanisms.</p>","PeriodicalId":40077,"journal":{"name":"Current Journal of Neurology","volume":"23 1","pages":"21-38"},"PeriodicalIF":0.5000,"publicationDate":"2024-01-05","publicationTypes":"Journal Article","fieldsOfStudy":null,"isOpenAccess":false,"openAccessPdf":"https://www.ncbi.nlm.nih.gov/pmc/articles/PMC11489623/pdf/","citationCount":"0","resultStr":"{\"title\":\"New diagnosis of multiple sclerosis in the setting of recent Sinopharm COVID-19 vaccine (BBIBP-CorV) exposure: A series of clinical cases and updated review of the literature.\",\"authors\":\"Sepideh Paybast, Melika Jameie, Mojtaba Shahbazi, Mohammad Amin Habibi, Seyed Ehsan Mohammadianinejad, Mohammad Hossein Harirchian\",\"doi\":\"10.18502/cjn.v23i1.16430\",\"DOIUrl\":null,\"url\":null,\"abstract\":\"<p><p><b>Background:</b> Multiple sclerosis (MS) is the most common cause of non-traumatic disability in young individuals. There are limited reports of developing demyelinating events following the coronavirus disease 2019 (COVID-19) vaccination. <b>Methods:</b> We reported all individuals (n = 8) with new MS diagnoses with recent exposure (≤ 6 weeks) to the Sinopharm (BBIBP-CorV) vaccine between September 2021 and June 2022. We also reviewed the related literature published as of September 2023. <b>Results:</b> Of 338 newly diagnosed patients with MS who attended our tertiary referral MS center during the study period, 8 (2.36%) had their first demyelinating attack with a median interval of 2 [2.0, 4.0] weeks following the Sinopharm vaccine (sex ratio 1:1, median age: 20.5 [18.0, 27.0] years). No personal or family history of autoimmune/neurological disorders was documented, except for one patient's history of a previous potential demyelinating event and another's family history of immune thrombocytopenic purpura (ITP). All patients had demyelinating brain MRI lesions, and 4 had cervical spinal cord involvement. The brain areas most commonly affected were the periventricular and subcortical regions. Positive oligoclonal bands (OCBs) in all patients supported the MS diagnosis. All patients were diagnosed with relapsing-remitting MS and received intravenous methylprednisolone (IVMP) alone or in combination with plasma exchange (3/8). Rituximab was the most frequently used disease-modifying treatment (3/8). <b>Conclusion:</b> This study provides preliminary evidence of a potential association between the Sinopharm vaccine and the initial manifestations of MS. However, further larger-scale studies with control groups and long-term follow-ups are needed to confirm this association and determine the underlying mechanisms.</p>\",\"PeriodicalId\":40077,\"journal\":{\"name\":\"Current Journal of Neurology\",\"volume\":\"23 1\",\"pages\":\"21-38\"},\"PeriodicalIF\":0.5000,\"publicationDate\":\"2024-01-05\",\"publicationTypes\":\"Journal Article\",\"fieldsOfStudy\":null,\"isOpenAccess\":false,\"openAccessPdf\":\"https://www.ncbi.nlm.nih.gov/pmc/articles/PMC11489623/pdf/\",\"citationCount\":\"0\",\"resultStr\":null,\"platform\":\"Semanticscholar\",\"paperid\":null,\"PeriodicalName\":\"Current Journal of Neurology\",\"FirstCategoryId\":\"1085\",\"ListUrlMain\":\"https://doi.org/10.18502/cjn.v23i1.16430\",\"RegionNum\":0,\"RegionCategory\":null,\"ArticlePicture\":[],\"TitleCN\":null,\"AbstractTextCN\":null,\"PMCID\":null,\"EPubDate\":\"\",\"PubModel\":\"\",\"JCR\":\"Q4\",\"JCRName\":\"CLINICAL NEUROLOGY\",\"Score\":null,\"Total\":0}","platform":"Semanticscholar","paperid":null,"PeriodicalName":"Current Journal of Neurology","FirstCategoryId":"1085","ListUrlMain":"https://doi.org/10.18502/cjn.v23i1.16430","RegionNum":0,"RegionCategory":null,"ArticlePicture":[],"TitleCN":null,"AbstractTextCN":null,"PMCID":null,"EPubDate":"","PubModel":"","JCR":"Q4","JCRName":"CLINICAL NEUROLOGY","Score":null,"Total":0}
引用次数: 0

摘要

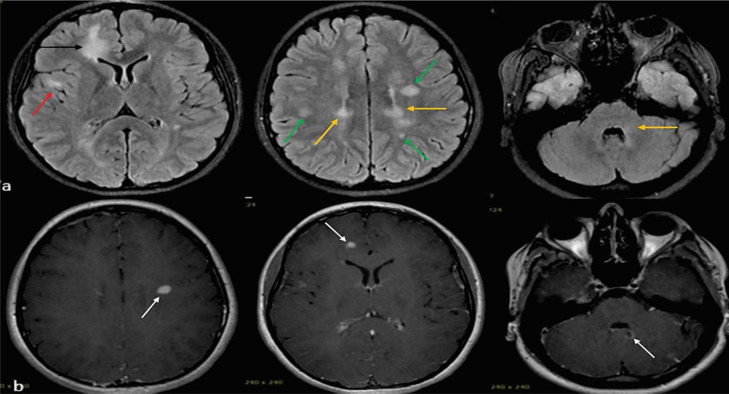
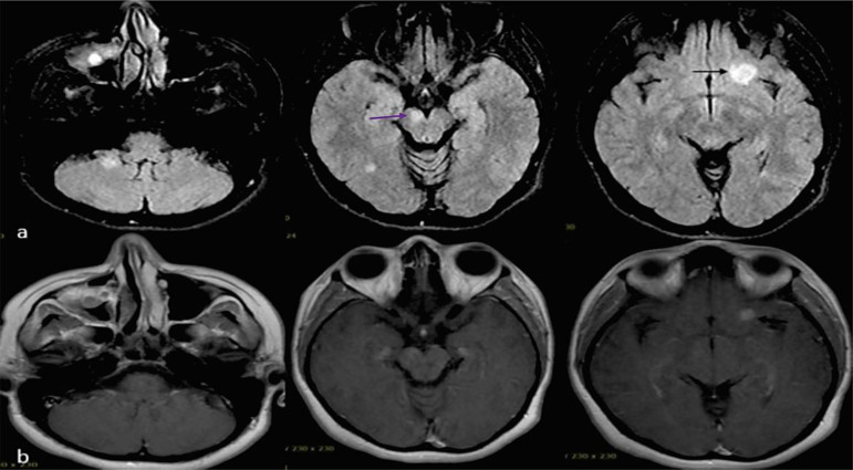
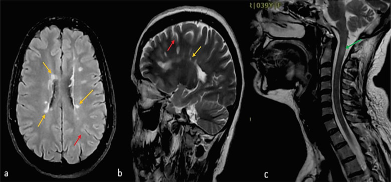
背景:多发性硬化症(MS)是导致年轻人非创伤性残疾的最常见原因。关于接种 2019 年冠状病毒病(COVID-19)疫苗后发生脱髓鞘事件的报道很有限。接种方法我们报告了所有在2021年9月至2022年6月期间新诊断为多发性硬化症且近期(≤6周)接触过国药集团(BBIBP-CorV)疫苗的患者(n = 8)。我们还查阅了截至 2023 年 9 月发表的相关文献。结果在研究期间,338 名新确诊的多发性硬化症患者到我们的多发性硬化症三级转诊中心就诊,其中 8 人(2.36%)在接种国药控股疫苗后首次脱髓鞘发作,中位间隔为 2 [2.0, 4.0] 周(性别比为 1:1,中位年龄:20.5 [18.0, 27.0] 岁)。除一名患者有潜在脱髓鞘病史和另一名患者有免疫性血小板减少性紫癜(ITP)家族史外,其他患者均无自身免疫/神经系统疾病的个人或家族病史。所有患者均有脱髓鞘性脑部磁共振成像病变,其中4人的颈脊髓受累。最常受影响的脑区是脑室周围和皮层下区域。所有患者的寡克隆带(OCB)均呈阳性,支持多发性硬化症的诊断。所有患者均被诊断为复发性多发性硬化症,并接受了单独或结合血浆置换的静脉甲基强的松龙(IVMP)治疗(3/8)。利妥昔单抗是最常用的疾病修饰治疗方法(3/8)。结论本研究提供了初步证据,证明国药控股疫苗与多发性硬化症初期表现之间存在潜在联系。然而,要证实这种关联并确定其潜在机制,还需要进行更大规模的对照组研究和长期随访。
本文章由计算机程序翻译,如有差异,请以英文原文为准。

New diagnosis of multiple sclerosis in the setting of recent Sinopharm COVID-19 vaccine (BBIBP-CorV) exposure: A series of clinical cases and updated review of the literature.

New diagnosis of multiple sclerosis in the setting of recent Sinopharm COVID-19 vaccine (BBIBP-CorV) exposure: A series of clinical cases and updated review of the literature.

New diagnosis of multiple sclerosis in the setting of recent Sinopharm COVID-19 vaccine (BBIBP-CorV) exposure: A series of clinical cases and updated review of the literature.

New diagnosis of multiple sclerosis in the setting of recent Sinopharm COVID-19 vaccine (BBIBP-CorV) exposure: A series of clinical cases and updated review of the literature.

Background: Multiple sclerosis (MS) is the most common cause of non-traumatic disability in young individuals. There are limited reports of developing demyelinating events following the coronavirus disease 2019 (COVID-19) vaccination. Methods: We reported all individuals (n = 8) with new MS diagnoses with recent exposure (≤ 6 weeks) to the Sinopharm (BBIBP-CorV) vaccine between September 2021 and June 2022. We also reviewed the related literature published as of September 2023. Results: Of 338 newly diagnosed patients with MS who attended our tertiary referral MS center during the study period, 8 (2.36%) had their first demyelinating attack with a median interval of 2 [2.0, 4.0] weeks following the Sinopharm vaccine (sex ratio 1:1, median age: 20.5 [18.0, 27.0] years). No personal or family history of autoimmune/neurological disorders was documented, except for one patient's history of a previous potential demyelinating event and another's family history of immune thrombocytopenic purpura (ITP). All patients had demyelinating brain MRI lesions, and 4 had cervical spinal cord involvement. The brain areas most commonly affected were the periventricular and subcortical regions. Positive oligoclonal bands (OCBs) in all patients supported the MS diagnosis. All patients were diagnosed with relapsing-remitting MS and received intravenous methylprednisolone (IVMP) alone or in combination with plasma exchange (3/8). Rituximab was the most frequently used disease-modifying treatment (3/8). Conclusion: This study provides preliminary evidence of a potential association between the Sinopharm vaccine and the initial manifestations of MS. However, further larger-scale studies with control groups and long-term follow-ups are needed to confirm this association and determine the underlying mechanisms.

求助全文
通过发布文献求助,成功后即可免费获取论文全文。 去求助
来源期刊
Current Journal of Neurology
Current Journal of Neurology CLINICAL NEUROLOGY-
CiteScore
0.80
自引率
14.30%
发文量
30
审稿时长
12 weeks
×
引用
GB/T 7714-2015
复制
MLA
复制
APA
复制
导出至
BibTeX EndNote RefMan NoteFirst NoteExpress
×
提示
您的信息不完整,为了账户安全,请先补充。
现在去补充
×
提示
您因"违规操作"
具体请查看互助需知
我知道了
×
提示
确定
请完成安全验证×
copy
已复制链接
快去分享给好友吧!
我知道了
右上角分享
点击右上角分享
0
联系我们:info@booksci.cn Book学术提供免费学术资源搜索服务,方便国内外学者检索中英文文献。致力于提供最便捷和优质的服务体验。 Copyright © 2023 布克学术 All rights reserved.
京ICP备2023020795号-1
ghs 京公网安备 11010802042870号
Book学术文献互助
Book学术文献互助群
群 号:604180095
Book学术官方微信