在肺部病变评估中使用 Look-Locker T1 弛豫测量法和高分辨率 T2:一项单中心前瞻性研究。

Q3 Medicine
Radiologia Brasileira Pub Date : 2024-09-30 eCollection Date: 2024-01-01 DOI:10.1590/0100-3984.2024.0033
Danilo Tadao Wada, Li Siyuan Wada, Camila Vilas Boas Machado, Mateus Repolês Lourenço, Tales Rubens de Nadai, Federico Enrique Garcia Cipriano, Alexandre Todorovic Fabro, Marcel Koenigkam-Santos
{"title":"在肺部病变评估中使用 Look-Locker T1 弛豫测量法和高分辨率 T2:一项单中心前瞻性研究。","authors":"Danilo Tadao Wada, Li Siyuan Wada, Camila Vilas Boas Machado, Mateus Repolês Lourenço, Tales Rubens de Nadai, Federico Enrique Garcia Cipriano, Alexandre Todorovic Fabro, Marcel Koenigkam-Santos","doi":"10.1590/0100-3984.2024.0033","DOIUrl":null,"url":null,"abstract":"<p><strong>Objective: </strong>To explore the feasibility of two magnetic resonance imaging (MRI) sequences-high-resolution T2-weighted (HR T2) and Look-Locker T1 (LL T1) relaxometry-for the investigation focal lung lesions (FLLs). As a secondary objective, we analyzed the diagnostic accuracy of these sequences.</p><p><strong>Materials and methods: </strong>This was a prospective observational study involving 39 subjects with FLLs scanned in a 1.5-T MRI system with LL T1 relaxometry and HR T2 sequences focused on the FLL region, in addition to a conventional protocol. All images were evaluated by two radiologists, working independently, who were blinded to other findings.</p><p><strong>Results: </strong>Most of the examinations (31 of the LL T1 relaxometry sequences and 36 of the HR T2 sequences) were of adequate diagnostic quality. Nondiagnostic examinations were considered so mainly because of limited coverage of the sequences. Of the FLLs studied, 19 were malignant, 17 were benign, and three were excluded from the accuracy analysis because there was no definitive diagnosis. Although LL T1 relaxometry could not distinguish between benign and malignant lesions, the signal intensity at its first inversion time (160 ms) differed between the two groups. The HR T2 sequence was considered the best sequence for assessing specific morphological characteristics, especially pseudocavities and pleural tags. We found that MRI showed better accuracy than did computed tomography (86% vs. 74%).</p><p><strong>Conclusion: </strong>Both MRI sequences are feasible for the evaluation of FLLs. Images at 160 ms of the LL T1 relaxometry sequence helped distinguish between benign and malignant lesions, and the HR T2 sequence was considered the best sequence for evaluating specific morphological characteristics.</p>","PeriodicalId":20842,"journal":{"name":"Radiologia Brasileira","volume":"57 ","pages":"e20240033"},"PeriodicalIF":0.0000,"publicationDate":"2024-09-30","publicationTypes":"Journal Article","fieldsOfStudy":null,"isOpenAccess":false,"openAccessPdf":"https://www.ncbi.nlm.nih.gov/pmc/articles/PMC11469640/pdf/","citationCount":"0","resultStr":"{\"title\":\"Look-Locker T1 relaxometry and high-resolution T2 in the evaluation of lung lesions: a single-center prospective study.\",\"authors\":\"Danilo Tadao Wada, Li Siyuan Wada, Camila Vilas Boas Machado, Mateus Repolês Lourenço, Tales Rubens de Nadai, Federico Enrique Garcia Cipriano, Alexandre Todorovic Fabro, Marcel Koenigkam-Santos\",\"doi\":\"10.1590/0100-3984.2024.0033\",\"DOIUrl\":null,\"url\":null,\"abstract\":\"<p><strong>Objective: </strong>To explore the feasibility of two magnetic resonance imaging (MRI) sequences-high-resolution T2-weighted (HR T2) and Look-Locker T1 (LL T1) relaxometry-for the investigation focal lung lesions (FLLs). As a secondary objective, we analyzed the diagnostic accuracy of these sequences.</p><p><strong>Materials and methods: </strong>This was a prospective observational study involving 39 subjects with FLLs scanned in a 1.5-T MRI system with LL T1 relaxometry and HR T2 sequences focused on the FLL region, in addition to a conventional protocol. All images were evaluated by two radiologists, working independently, who were blinded to other findings.</p><p><strong>Results: </strong>Most of the examinations (31 of the LL T1 relaxometry sequences and 36 of the HR T2 sequences) were of adequate diagnostic quality. Nondiagnostic examinations were considered so mainly because of limited coverage of the sequences. Of the FLLs studied, 19 were malignant, 17 were benign, and three were excluded from the accuracy analysis because there was no definitive diagnosis. Although LL T1 relaxometry could not distinguish between benign and malignant lesions, the signal intensity at its first inversion time (160 ms) differed between the two groups. The HR T2 sequence was considered the best sequence for assessing specific morphological characteristics, especially pseudocavities and pleural tags. We found that MRI showed better accuracy than did computed tomography (86% vs. 74%).</p><p><strong>Conclusion: </strong>Both MRI sequences are feasible for the evaluation of FLLs. Images at 160 ms of the LL T1 relaxometry sequence helped distinguish between benign and malignant lesions, and the HR T2 sequence was considered the best sequence for evaluating specific morphological characteristics.</p>\",\"PeriodicalId\":20842,\"journal\":{\"name\":\"Radiologia Brasileira\",\"volume\":\"57 \",\"pages\":\"e20240033\"},\"PeriodicalIF\":0.0000,\"publicationDate\":\"2024-09-30\",\"publicationTypes\":\"Journal Article\",\"fieldsOfStudy\":null,\"isOpenAccess\":false,\"openAccessPdf\":\"https://www.ncbi.nlm.nih.gov/pmc/articles/PMC11469640/pdf/\",\"citationCount\":\"0\",\"resultStr\":null,\"platform\":\"Semanticscholar\",\"paperid\":null,\"PeriodicalName\":\"Radiologia Brasileira\",\"FirstCategoryId\":\"1085\",\"ListUrlMain\":\"https://doi.org/10.1590/0100-3984.2024.0033\",\"RegionNum\":0,\"RegionCategory\":null,\"ArticlePicture\":[],\"TitleCN\":null,\"AbstractTextCN\":null,\"PMCID\":null,\"EPubDate\":\"2024/1/1 0:00:00\",\"PubModel\":\"eCollection\",\"JCR\":\"Q3\",\"JCRName\":\"Medicine\",\"Score\":null,\"Total\":0}","platform":"Semanticscholar","paperid":null,"PeriodicalName":"Radiologia Brasileira","FirstCategoryId":"1085","ListUrlMain":"https://doi.org/10.1590/0100-3984.2024.0033","RegionNum":0,"RegionCategory":null,"ArticlePicture":[],"TitleCN":null,"AbstractTextCN":null,"PMCID":null,"EPubDate":"2024/1/1 0:00:00","PubModel":"eCollection","JCR":"Q3","JCRName":"Medicine","Score":null,"Total":0}
引用次数: 0

摘要

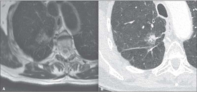
目的探索两种磁共振成像(MRI)序列--高分辨率 T2 加权(HR T2)和 Look-Locker T1(LL T1)弛豫测量法--用于检查肺部病灶(FLLs)的可行性。作为次要目标,我们分析了这些序列的诊断准确性:这是一项前瞻性观察研究,涉及 39 名患有 FLL 的受试者,他们在 1.5 T 核磁共振成像系统中接受了扫描,除了常规方案外,还使用了 LL T1 弛豫测量法和 HR T2 序列,重点是 FLL 区域。所有图像均由两名放射科医生独立评估,他们对其他检查结果视而不见:大多数检查(31 个 LL T1 弛豫测定序列和 36 个 HR T2 序列)都达到了适当的诊断质量。认为检查不具诊断性的主要原因是序列的覆盖范围有限。在所研究的 FLL 中,19 个是恶性的,17 个是良性的,3 个因为没有明确诊断而被排除在准确性分析之外。虽然 LL T1 驰豫测量不能区分良性和恶性病变,但两组病变在第一次反转时间(160 毫秒)的信号强度不同。HR T2序列被认为是评估特定形态特征的最佳序列,尤其是假腔和胸膜标签。我们发现 MRI 比计算机断层扫描显示出更好的准确性(86% 对 74%):结论:两种 MRI 序列均可用于 FLL 的评估。结论:两种磁共振成像序列均可用于评估FLL,LL T1弛豫序列160毫秒的图像有助于区分良性和恶性病变,而HR T2序列被认为是评估特定形态特征的最佳序列。
本文章由计算机程序翻译,如有差异,请以英文原文为准。

Look-Locker T1 relaxometry and high-resolution T2 in the evaluation of lung lesions: a single-center prospective study.

Look-Locker T1 relaxometry and high-resolution T2 in the evaluation of lung lesions: a single-center prospective study.

Look-Locker T1 relaxometry and high-resolution T2 in the evaluation of lung lesions: a single-center prospective study.

Look-Locker T1 relaxometry and high-resolution T2 in the evaluation of lung lesions: a single-center prospective study.

Objective: To explore the feasibility of two magnetic resonance imaging (MRI) sequences-high-resolution T2-weighted (HR T2) and Look-Locker T1 (LL T1) relaxometry-for the investigation focal lung lesions (FLLs). As a secondary objective, we analyzed the diagnostic accuracy of these sequences.

Materials and methods: This was a prospective observational study involving 39 subjects with FLLs scanned in a 1.5-T MRI system with LL T1 relaxometry and HR T2 sequences focused on the FLL region, in addition to a conventional protocol. All images were evaluated by two radiologists, working independently, who were blinded to other findings.

Results: Most of the examinations (31 of the LL T1 relaxometry sequences and 36 of the HR T2 sequences) were of adequate diagnostic quality. Nondiagnostic examinations were considered so mainly because of limited coverage of the sequences. Of the FLLs studied, 19 were malignant, 17 were benign, and three were excluded from the accuracy analysis because there was no definitive diagnosis. Although LL T1 relaxometry could not distinguish between benign and malignant lesions, the signal intensity at its first inversion time (160 ms) differed between the two groups. The HR T2 sequence was considered the best sequence for assessing specific morphological characteristics, especially pseudocavities and pleural tags. We found that MRI showed better accuracy than did computed tomography (86% vs. 74%).

Conclusion: Both MRI sequences are feasible for the evaluation of FLLs. Images at 160 ms of the LL T1 relaxometry sequence helped distinguish between benign and malignant lesions, and the HR T2 sequence was considered the best sequence for evaluating specific morphological characteristics.

求助全文
通过发布文献求助,成功后即可免费获取论文全文。 去求助
来源期刊
Radiologia Brasileira
Radiologia Brasileira Medicine-Radiology, Nuclear Medicine and Imaging
CiteScore
2.60
自引率
0.00%
发文量
75
审稿时长
28 weeks
×
引用
GB/T 7714-2015
复制
MLA
复制
APA
复制
导出至
BibTeX EndNote RefMan NoteFirst NoteExpress
×
提示
您的信息不完整,为了账户安全,请先补充。
现在去补充
×
提示
您因"违规操作"
具体请查看互助需知
我知道了
×
提示
确定
请完成安全验证×
copy
已复制链接
快去分享给好友吧!
我知道了
右上角分享
点击右上角分享
0
联系我们:info@booksci.cn Book学术提供免费学术资源搜索服务,方便国内外学者检索中英文文献。致力于提供最便捷和优质的服务体验。 Copyright © 2023 布克学术 All rights reserved.
京ICP备2023020795号-1
ghs 京公网安备 11010802042870号
Book学术文献互助
Book学术文献互助群
群 号:604180095
Book学术官方微信