从套细胞淋巴瘤转移而来的结节性T细胞淋巴瘤,伴有Epstein-Barr病毒感染。

IF 2 4区 医学 Q3 CELL BIOLOGY
Pathobiology Pub Date : 2025-01-01 Epub Date: 2024-10-15 DOI:10.1159/000541974
Paul D Barone, Wayne Tam, Julia T Geyer, John P Leonard, Adrienne Phillips, Madhu M Ouseph
{"title":"从套细胞淋巴瘤转移而来的结节性T细胞淋巴瘤,伴有Epstein-Barr病毒感染。","authors":"Paul D Barone, Wayne Tam, Julia T Geyer, John P Leonard, Adrienne Phillips, Madhu M Ouseph","doi":"10.1159/000541974","DOIUrl":null,"url":null,"abstract":"<p><strong>Introduction: </strong>We report a case of mantle cell lymphoma (MCL) with an apparent lineage switch to an EBV-positive T-cell lymphoma. Although lineage switch is a well-documented phenomenon in some hematolymphoid diseases, such as acute leukemias or histiocytic/dendritic cell neoplasms, lineage switch from mature B-cell to T-cell lymphoma is exceedingly rare.</p><p><strong>Case presentation: </strong>A 55-year-old man with an established history of MCL presented to our institution. Peripheral blood flow cytometry was consistent with MCL. Biopsy of a lumbar vertebral fracture site demonstrated MCL, EBV-associated, with large cells reminiscent of high-grade transformation (BCL1-positive). Two months later, a lymph node biopsy demonstrated an EBV-positive T-cell lymphoma without phenotypic evidence of B-cell lymphoma (BCL1-negative). Cytogenetic testing revealed CCND1::IGH fusion in all three specimens. IGH/IGK clonality testing revealed conserved monoclonal peaks in all three samples; TCR clonality testing revealed monoclonal peaks in the T-cell lymphoma, only. NGS-based molecular genetic studies revealed shared mutations between the three samples, consistent with a clonal relationship suggesting evolution from MCL to T-cell lymphoma.</p><p><strong>Conclusions: </strong>This case demonstrates that lineage switch from mature B-cell to mature T-cell phenotype is possible in certain settings. Whether lineage switch in this case was potentiated by EBV infection is unclear. The loss of BCL1 expression in the T-cell lymphoma, despite conservation of the CCND1::IGH fusion, may be attributable to the downregulation of the IGH promoter as part of the shift from B-cell to T-cell phenotype.</p><p><strong>Introduction: </strong>We report a case of mantle cell lymphoma (MCL) with an apparent lineage switch to an EBV-positive T-cell lymphoma. Although lineage switch is a well-documented phenomenon in some hematolymphoid diseases, such as acute leukemias or histiocytic/dendritic cell neoplasms, lineage switch from mature B-cell to T-cell lymphoma is exceedingly rare.</p><p><strong>Case presentation: </strong>A 55-year-old man with an established history of MCL presented to our institution. Peripheral blood flow cytometry was consistent with MCL. Biopsy of a lumbar vertebral fracture site demonstrated MCL, EBV-associated, with large cells reminiscent of high-grade transformation (BCL1-positive). Two months later, a lymph node biopsy demonstrated an EBV-positive T-cell lymphoma without phenotypic evidence of B-cell lymphoma (BCL1-negative). Cytogenetic testing revealed CCND1::IGH fusion in all three specimens. IGH/IGK clonality testing revealed conserved monoclonal peaks in all three samples; TCR clonality testing revealed monoclonal peaks in the T-cell lymphoma, only. NGS-based molecular genetic studies revealed shared mutations between the three samples, consistent with a clonal relationship suggesting evolution from MCL to T-cell lymphoma.</p><p><strong>Conclusions: </strong>This case demonstrates that lineage switch from mature B-cell to mature T-cell phenotype is possible in certain settings. Whether lineage switch in this case was potentiated by EBV infection is unclear. The loss of BCL1 expression in the T-cell lymphoma, despite conservation of the CCND1::IGH fusion, may be attributable to the downregulation of the IGH promoter as part of the shift from B-cell to T-cell phenotype.</p>","PeriodicalId":19805,"journal":{"name":"Pathobiology","volume":" ","pages":"109-120"},"PeriodicalIF":2.0000,"publicationDate":"2025-01-01","publicationTypes":"Journal Article","fieldsOfStudy":null,"isOpenAccess":false,"openAccessPdf":"https://www.ncbi.nlm.nih.gov/pmc/articles/PMC11965864/pdf/","citationCount":"0","resultStr":"{\"title\":\"Nodal T-Cell Lymphoma Transdifferentiated from Mantle Cell Lymphoma with Epstein-Barr Virus Infection.\",\"authors\":\"Paul D Barone, Wayne Tam, Julia T Geyer, John P Leonard, Adrienne Phillips, Madhu M Ouseph\",\"doi\":\"10.1159/000541974\",\"DOIUrl\":null,\"url\":null,\"abstract\":\"<p><strong>Introduction: </strong>We report a case of mantle cell lymphoma (MCL) with an apparent lineage switch to an EBV-positive T-cell lymphoma. Although lineage switch is a well-documented phenomenon in some hematolymphoid diseases, such as acute leukemias or histiocytic/dendritic cell neoplasms, lineage switch from mature B-cell to T-cell lymphoma is exceedingly rare.</p><p><strong>Case presentation: </strong>A 55-year-old man with an established history of MCL presented to our institution. Peripheral blood flow cytometry was consistent with MCL. Biopsy of a lumbar vertebral fracture site demonstrated MCL, EBV-associated, with large cells reminiscent of high-grade transformation (BCL1-positive). Two months later, a lymph node biopsy demonstrated an EBV-positive T-cell lymphoma without phenotypic evidence of B-cell lymphoma (BCL1-negative). Cytogenetic testing revealed CCND1::IGH fusion in all three specimens. IGH/IGK clonality testing revealed conserved monoclonal peaks in all three samples; TCR clonality testing revealed monoclonal peaks in the T-cell lymphoma, only. NGS-based molecular genetic studies revealed shared mutations between the three samples, consistent with a clonal relationship suggesting evolution from MCL to T-cell lymphoma.</p><p><strong>Conclusions: </strong>This case demonstrates that lineage switch from mature B-cell to mature T-cell phenotype is possible in certain settings. Whether lineage switch in this case was potentiated by EBV infection is unclear. The loss of BCL1 expression in the T-cell lymphoma, despite conservation of the CCND1::IGH fusion, may be attributable to the downregulation of the IGH promoter as part of the shift from B-cell to T-cell phenotype.</p><p><strong>Introduction: </strong>We report a case of mantle cell lymphoma (MCL) with an apparent lineage switch to an EBV-positive T-cell lymphoma. Although lineage switch is a well-documented phenomenon in some hematolymphoid diseases, such as acute leukemias or histiocytic/dendritic cell neoplasms, lineage switch from mature B-cell to T-cell lymphoma is exceedingly rare.</p><p><strong>Case presentation: </strong>A 55-year-old man with an established history of MCL presented to our institution. Peripheral blood flow cytometry was consistent with MCL. Biopsy of a lumbar vertebral fracture site demonstrated MCL, EBV-associated, with large cells reminiscent of high-grade transformation (BCL1-positive). Two months later, a lymph node biopsy demonstrated an EBV-positive T-cell lymphoma without phenotypic evidence of B-cell lymphoma (BCL1-negative). Cytogenetic testing revealed CCND1::IGH fusion in all three specimens. IGH/IGK clonality testing revealed conserved monoclonal peaks in all three samples; TCR clonality testing revealed monoclonal peaks in the T-cell lymphoma, only. NGS-based molecular genetic studies revealed shared mutations between the three samples, consistent with a clonal relationship suggesting evolution from MCL to T-cell lymphoma.</p><p><strong>Conclusions: </strong>This case demonstrates that lineage switch from mature B-cell to mature T-cell phenotype is possible in certain settings. Whether lineage switch in this case was potentiated by EBV infection is unclear. The loss of BCL1 expression in the T-cell lymphoma, despite conservation of the CCND1::IGH fusion, may be attributable to the downregulation of the IGH promoter as part of the shift from B-cell to T-cell phenotype.</p>\",\"PeriodicalId\":19805,\"journal\":{\"name\":\"Pathobiology\",\"volume\":\" \",\"pages\":\"109-120\"},\"PeriodicalIF\":2.0000,\"publicationDate\":\"2025-01-01\",\"publicationTypes\":\"Journal Article\",\"fieldsOfStudy\":null,\"isOpenAccess\":false,\"openAccessPdf\":\"https://www.ncbi.nlm.nih.gov/pmc/articles/PMC11965864/pdf/\",\"citationCount\":\"0\",\"resultStr\":null,\"platform\":\"Semanticscholar\",\"paperid\":null,\"PeriodicalName\":\"Pathobiology\",\"FirstCategoryId\":\"3\",\"ListUrlMain\":\"https://doi.org/10.1159/000541974\",\"RegionNum\":4,\"RegionCategory\":\"医学\",\"ArticlePicture\":[],\"TitleCN\":null,\"AbstractTextCN\":null,\"PMCID\":null,\"EPubDate\":\"2024/10/15 0:00:00\",\"PubModel\":\"Epub\",\"JCR\":\"Q3\",\"JCRName\":\"CELL BIOLOGY\",\"Score\":null,\"Total\":0}","platform":"Semanticscholar","paperid":null,"PeriodicalName":"Pathobiology","FirstCategoryId":"3","ListUrlMain":"https://doi.org/10.1159/000541974","RegionNum":4,"RegionCategory":"医学","ArticlePicture":[],"TitleCN":null,"AbstractTextCN":null,"PMCID":null,"EPubDate":"2024/10/15 0:00:00","PubModel":"Epub","JCR":"Q3","JCRName":"CELL BIOLOGY","Score":null,"Total":0}
引用次数: 0

摘要

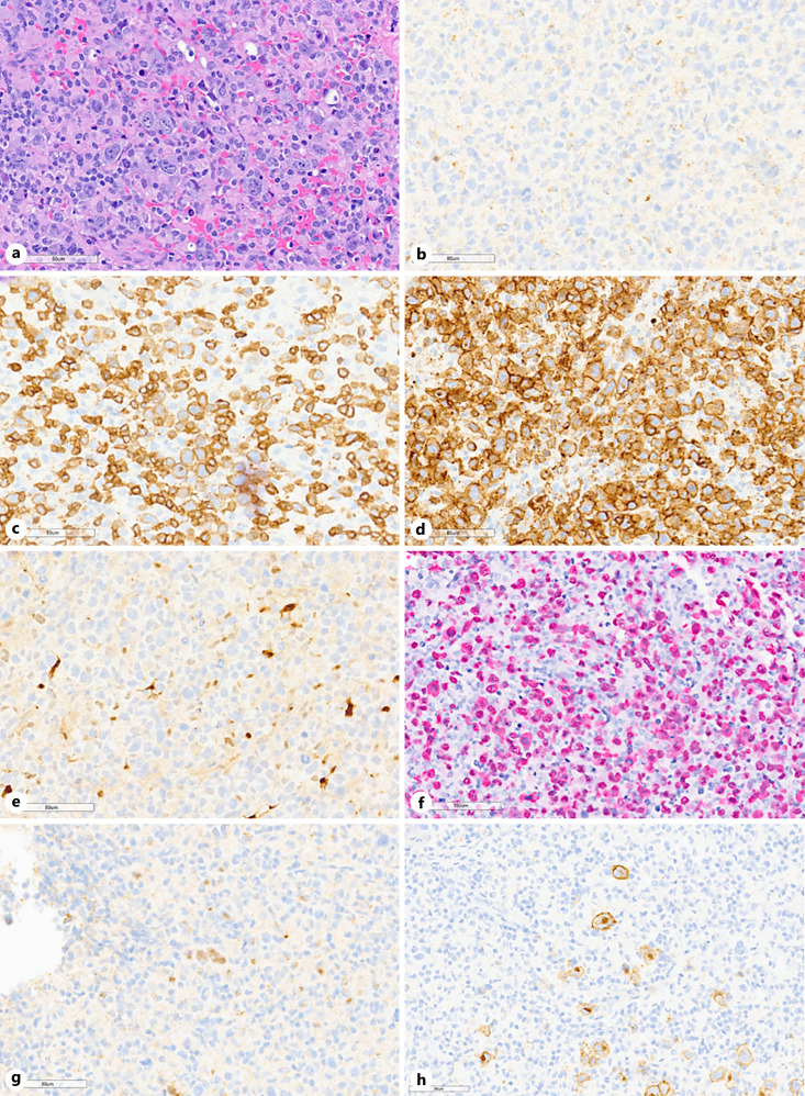
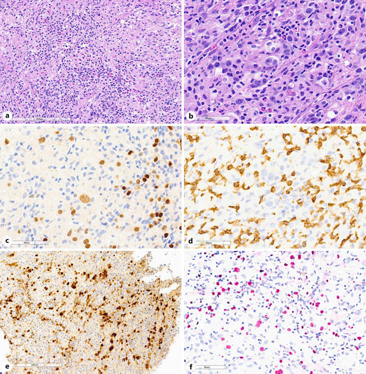
导言:我们报告了一例套细胞淋巴瘤(MCL)病例,该病例有明显的世系转换,转为EB病毒阳性T细胞淋巴瘤。虽然在某些血液淋巴疾病(如急性白血病或组织细胞/树突状细胞肿瘤)中,系谱转换是一种有据可查的现象,但从成熟 B 细胞淋巴瘤到 T 细胞淋巴瘤的系谱转换却极为罕见:病例介绍:一名 55 岁的男子到我院就诊,既往有 MCL 病史。外周血流式细胞术与 MCL 一致。腰椎骨折部位的活检显示为套细胞淋巴瘤,与 EBV 相关,大细胞令人联想到高级别转化(BCL1 阳性)。两个月后,淋巴结活检显示 T 细胞淋巴瘤 EBV 阳性,但没有 B 细胞淋巴瘤的表型证据(BCL1 阴性)。细胞遗传学检测显示,三份标本中均存在CCND1::IGH融合。IGH/IGK克隆性检测在所有三个样本中都发现了一致的单克隆峰;TCR克隆性检测仅在T细胞淋巴瘤中发现了单克隆峰。基于 NGS 的分子遗传学研究发现,三个样本之间存在共同突变,这与从套细胞淋巴瘤进化到 T 细胞淋巴瘤的克隆关系一致:本病例表明,在某些情况下,成熟 B 细胞表型向成熟 T 细胞表型的系谱转换是可能的。本病例中的细胞系转换是否因 EBV 感染而加剧尚不清楚。尽管CCND1::IGH融合保持不变,但T细胞淋巴瘤中BCL-1表达缺失,这可能是由于IGH启动子下调是B细胞表型向T细胞表型转变的一部分。
本文章由计算机程序翻译,如有差异,请以英文原文为准。

Nodal T-Cell Lymphoma Transdifferentiated from Mantle Cell Lymphoma with Epstein-Barr Virus Infection.

Nodal T-Cell Lymphoma Transdifferentiated from Mantle Cell Lymphoma with Epstein-Barr Virus Infection.

Nodal T-Cell Lymphoma Transdifferentiated from Mantle Cell Lymphoma with Epstein-Barr Virus Infection.

Nodal T-Cell Lymphoma Transdifferentiated from Mantle Cell Lymphoma with Epstein-Barr Virus Infection.

Introduction: We report a case of mantle cell lymphoma (MCL) with an apparent lineage switch to an EBV-positive T-cell lymphoma. Although lineage switch is a well-documented phenomenon in some hematolymphoid diseases, such as acute leukemias or histiocytic/dendritic cell neoplasms, lineage switch from mature B-cell to T-cell lymphoma is exceedingly rare.

Case presentation: A 55-year-old man with an established history of MCL presented to our institution. Peripheral blood flow cytometry was consistent with MCL. Biopsy of a lumbar vertebral fracture site demonstrated MCL, EBV-associated, with large cells reminiscent of high-grade transformation (BCL1-positive). Two months later, a lymph node biopsy demonstrated an EBV-positive T-cell lymphoma without phenotypic evidence of B-cell lymphoma (BCL1-negative). Cytogenetic testing revealed CCND1::IGH fusion in all three specimens. IGH/IGK clonality testing revealed conserved monoclonal peaks in all three samples; TCR clonality testing revealed monoclonal peaks in the T-cell lymphoma, only. NGS-based molecular genetic studies revealed shared mutations between the three samples, consistent with a clonal relationship suggesting evolution from MCL to T-cell lymphoma.

Conclusions: This case demonstrates that lineage switch from mature B-cell to mature T-cell phenotype is possible in certain settings. Whether lineage switch in this case was potentiated by EBV infection is unclear. The loss of BCL1 expression in the T-cell lymphoma, despite conservation of the CCND1::IGH fusion, may be attributable to the downregulation of the IGH promoter as part of the shift from B-cell to T-cell phenotype.

Introduction: We report a case of mantle cell lymphoma (MCL) with an apparent lineage switch to an EBV-positive T-cell lymphoma. Although lineage switch is a well-documented phenomenon in some hematolymphoid diseases, such as acute leukemias or histiocytic/dendritic cell neoplasms, lineage switch from mature B-cell to T-cell lymphoma is exceedingly rare.

Case presentation: A 55-year-old man with an established history of MCL presented to our institution. Peripheral blood flow cytometry was consistent with MCL. Biopsy of a lumbar vertebral fracture site demonstrated MCL, EBV-associated, with large cells reminiscent of high-grade transformation (BCL1-positive). Two months later, a lymph node biopsy demonstrated an EBV-positive T-cell lymphoma without phenotypic evidence of B-cell lymphoma (BCL1-negative). Cytogenetic testing revealed CCND1::IGH fusion in all three specimens. IGH/IGK clonality testing revealed conserved monoclonal peaks in all three samples; TCR clonality testing revealed monoclonal peaks in the T-cell lymphoma, only. NGS-based molecular genetic studies revealed shared mutations between the three samples, consistent with a clonal relationship suggesting evolution from MCL to T-cell lymphoma.

Conclusions: This case demonstrates that lineage switch from mature B-cell to mature T-cell phenotype is possible in certain settings. Whether lineage switch in this case was potentiated by EBV infection is unclear. The loss of BCL1 expression in the T-cell lymphoma, despite conservation of the CCND1::IGH fusion, may be attributable to the downregulation of the IGH promoter as part of the shift from B-cell to T-cell phenotype.

求助全文
通过发布文献求助,成功后即可免费获取论文全文。 去求助
来源期刊
Pathobiology
Pathobiology 医学-病理学
CiteScore
8.50
自引率
0.00%
发文量
47
审稿时长
>12 weeks
期刊介绍: ''Pathobiology'' offers a valuable platform for the publication of high-quality original research into the mechanisms underlying human disease. Aiming to serve as a bridge between basic biomedical research and clinical medicine, the journal welcomes articles from scientific areas such as pathology, oncology, anatomy, virology, internal medicine, surgery, cell and molecular biology, and immunology. Published bimonthly, ''Pathobiology'' features original research papers and reviews on translational research. The journal offers the possibility to publish proceedings of meetings dedicated to one particular topic.
×
引用
GB/T 7714-2015
复制
MLA
复制
APA
复制
导出至
BibTeX EndNote RefMan NoteFirst NoteExpress
×
提示
您的信息不完整,为了账户安全,请先补充。
现在去补充
×
提示
您因"违规操作"
具体请查看互助需知
我知道了
×
提示
确定
请完成安全验证×
copy
已复制链接
快去分享给好友吧!
我知道了
右上角分享
点击右上角分享
0
联系我们:info@booksci.cn Book学术提供免费学术资源搜索服务,方便国内外学者检索中英文文献。致力于提供最便捷和优质的服务体验。 Copyright © 2023 布克学术 All rights reserved.
京ICP备2023020795号-1
ghs 京公网安备 11010802042870号
Book学术文献互助
Book学术文献互助群
群 号:604180095
Book学术官方微信