鲂鱼幼虫提取物通过抑制酸性鞘磷脂酶,防止脂多糖诱导的铁蛋白沉积和炎症。

IF 1.5 4区 医学 Q3 NUTRITION & DIETETICS
Nutrition Research and Practice Pub Date : 2024-10-01 Epub Date: 2024-06-11 DOI:10.4162/nrp.2024.18.5.602
Woo-Jae Park, Eunyoung Oh, Yookyung Kim
{"title":"鲂鱼幼虫提取物通过抑制酸性鞘磷脂酶,防止脂多糖诱导的铁蛋白沉积和炎症。","authors":"Woo-Jae Park, Eunyoung Oh, Yookyung Kim","doi":"10.4162/nrp.2024.18.5.602","DOIUrl":null,"url":null,"abstract":"<p><strong>Background/objectives: </strong>Inflammation and ferroptosis are implicated in various diseases and lipopolysaccharides (LPS) have been linked with these disorders. Recently, many edible insects, such as <i>Gryllus bimaculatus, Protaetia brevitarsis</i> larvae (PB) and <i>Tenebrio molitor</i> larvae, have been recommended as alternative foods because they contain lots of nutritional sources. In this study, we explored the potential of PB extract in preventing LPS-induced inflammation and ferroptosis in Hep3B cells.</p><p><strong>Materials/methods: </strong>PB powder was extracted using 70% ethanol and applied to Hep3B cells. Co-treatment with LPS was conducted to induce ferroptosis and inflammation. The anti-inflammatory and anti-ferroptosis mechanisms of the PB extract were confirmed using Western blot, enzyme-linked immunosorbent assay, and real-time polymerase chain reaction analysis.</p><p><strong>Results: </strong>PB extract effectively prevented LPS-induced cell death and restored LPS-induced inflammatory cytokine production, NF-κB signaling, endoplasmic reticulum (ER) stress and ferroptosis. Interestingly, PB extract reduced LPS-induced ceramide increase and acid sphingomyelinase (ASMase) expression. The use of the ASMase inhibitor, desipramine, also demonstrated a reduction in these pathways, highlighting the pivotal role of ASMase in inflammation and ferroptosis. Treatment with each inhibitor revealed that ferroptosis causes ER stress and that NF-κB and MAP kinase pathways are involved in inflammation.</p><p><strong>Conclusion: </strong>PB emerges as a potential functional food with inhibitory effects on LPS-induced inflammation and ferroptosis, making it a promising candidate for nutritional interventions.</p>","PeriodicalId":19232,"journal":{"name":"Nutrition Research and Practice","volume":"18 5","pages":"602-616"},"PeriodicalIF":1.5000,"publicationDate":"2024-10-01","publicationTypes":"Journal Article","fieldsOfStudy":null,"isOpenAccess":false,"openAccessPdf":"https://www.ncbi.nlm.nih.gov/pmc/articles/PMC11464277/pdf/","citationCount":"0","resultStr":"{\"title\":\"<i>Protaetia brevitarsis</i> larvae extract protects against lipopolysaccharides-induced ferroptosis and inflammation by inhibiting acid sphingomyelinase.\",\"authors\":\"Woo-Jae Park, Eunyoung Oh, Yookyung Kim\",\"doi\":\"10.4162/nrp.2024.18.5.602\",\"DOIUrl\":null,\"url\":null,\"abstract\":\"<p><strong>Background/objectives: </strong>Inflammation and ferroptosis are implicated in various diseases and lipopolysaccharides (LPS) have been linked with these disorders. Recently, many edible insects, such as <i>Gryllus bimaculatus, Protaetia brevitarsis</i> larvae (PB) and <i>Tenebrio molitor</i> larvae, have been recommended as alternative foods because they contain lots of nutritional sources. In this study, we explored the potential of PB extract in preventing LPS-induced inflammation and ferroptosis in Hep3B cells.</p><p><strong>Materials/methods: </strong>PB powder was extracted using 70% ethanol and applied to Hep3B cells. Co-treatment with LPS was conducted to induce ferroptosis and inflammation. The anti-inflammatory and anti-ferroptosis mechanisms of the PB extract were confirmed using Western blot, enzyme-linked immunosorbent assay, and real-time polymerase chain reaction analysis.</p><p><strong>Results: </strong>PB extract effectively prevented LPS-induced cell death and restored LPS-induced inflammatory cytokine production, NF-κB signaling, endoplasmic reticulum (ER) stress and ferroptosis. Interestingly, PB extract reduced LPS-induced ceramide increase and acid sphingomyelinase (ASMase) expression. The use of the ASMase inhibitor, desipramine, also demonstrated a reduction in these pathways, highlighting the pivotal role of ASMase in inflammation and ferroptosis. Treatment with each inhibitor revealed that ferroptosis causes ER stress and that NF-κB and MAP kinase pathways are involved in inflammation.</p><p><strong>Conclusion: </strong>PB emerges as a potential functional food with inhibitory effects on LPS-induced inflammation and ferroptosis, making it a promising candidate for nutritional interventions.</p>\",\"PeriodicalId\":19232,\"journal\":{\"name\":\"Nutrition Research and Practice\",\"volume\":\"18 5\",\"pages\":\"602-616\"},\"PeriodicalIF\":1.5000,\"publicationDate\":\"2024-10-01\",\"publicationTypes\":\"Journal Article\",\"fieldsOfStudy\":null,\"isOpenAccess\":false,\"openAccessPdf\":\"https://www.ncbi.nlm.nih.gov/pmc/articles/PMC11464277/pdf/\",\"citationCount\":\"0\",\"resultStr\":null,\"platform\":\"Semanticscholar\",\"paperid\":null,\"PeriodicalName\":\"Nutrition Research and Practice\",\"FirstCategoryId\":\"3\",\"ListUrlMain\":\"https://doi.org/10.4162/nrp.2024.18.5.602\",\"RegionNum\":4,\"RegionCategory\":\"医学\",\"ArticlePicture\":[],\"TitleCN\":null,\"AbstractTextCN\":null,\"PMCID\":null,\"EPubDate\":\"2024/6/11 0:00:00\",\"PubModel\":\"Epub\",\"JCR\":\"Q3\",\"JCRName\":\"NUTRITION & DIETETICS\",\"Score\":null,\"Total\":0}","platform":"Semanticscholar","paperid":null,"PeriodicalName":"Nutrition Research and Practice","FirstCategoryId":"3","ListUrlMain":"https://doi.org/10.4162/nrp.2024.18.5.602","RegionNum":4,"RegionCategory":"医学","ArticlePicture":[],"TitleCN":null,"AbstractTextCN":null,"PMCID":null,"EPubDate":"2024/6/11 0:00:00","PubModel":"Epub","JCR":"Q3","JCRName":"NUTRITION & DIETETICS","Score":null,"Total":0}
引用次数: 0

摘要

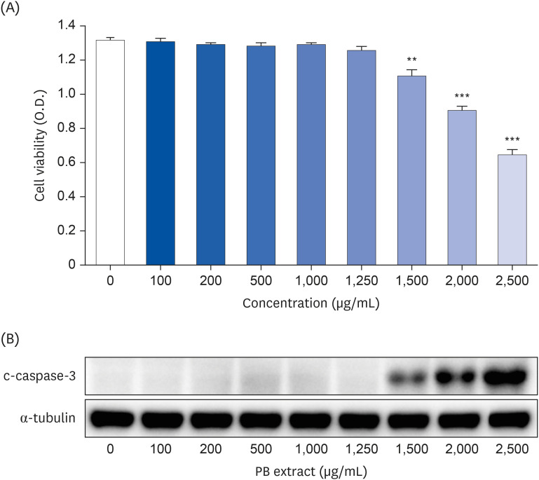
背景/目的:炎症和铁变态反应与多种疾病有关,而脂多糖(LPS)与这些疾病有关联。最近,许多可食用昆虫,如蝼蛄(Gryllus bimaculatus)、鲂(Protaetia brevitarsis)幼虫(PB)和栉水母(Tenebrio molitor)幼虫,因其含有大量营养来源而被推荐为替代食品。在这项研究中,我们探讨了 PB 提取物在防止 LPS 诱导的 Hep3B 细胞炎症和铁细胞减少症方面的潜力:用 70% 的乙醇提取 PB 粉末,并将其应用于 Hep3B 细胞。材料/方法:用 70% 的乙醇提取 PB 粉末并将其涂抹于 Hep3B 细胞上,同时用 LPS 诱导铁细胞凋亡和炎症。用 Western 印迹、酶联免疫吸附试验和实时聚合酶链反应分析证实了 PB 提取物的抗炎和抗铁细胞沉降机制:结果:枸杞提取物能有效防止 LPS 诱导的细胞死亡,并能恢复 LPS 诱导的炎性细胞因子的产生、NF-κB 信号传导、内质网(ER)应激和铁变态反应。有趣的是,PB 提取物减少了 LPS 诱导的神经酰胺增加和酸性鞘磷脂酶(ASMase)的表达。ASMase 抑制剂地西帕明的使用也证明了这些通路的减少,突出了 ASMase 在炎症和铁蛋白沉积中的关键作用。用每种抑制剂处理后发现,铁蛋白沉积会导致ER应激,NF-κB和MAP激酶通路参与了炎症:结论:PB 是一种潜在的功能性食品,对 LPS 诱导的炎症和铁蛋白沉积有抑制作用,因此有望成为营养干预的候选物质。
本文章由计算机程序翻译,如有差异,请以英文原文为准。

<i>Protaetia brevitarsis</i> larvae extract protects against lipopolysaccharides-induced ferroptosis and inflammation by inhibiting acid sphingomyelinase.

<i>Protaetia brevitarsis</i> larvae extract protects against lipopolysaccharides-induced ferroptosis and inflammation by inhibiting acid sphingomyelinase.

<i>Protaetia brevitarsis</i> larvae extract protects against lipopolysaccharides-induced ferroptosis and inflammation by inhibiting acid sphingomyelinase.

Protaetia brevitarsis larvae extract protects against lipopolysaccharides-induced ferroptosis and inflammation by inhibiting acid sphingomyelinase.

Background/objectives: Inflammation and ferroptosis are implicated in various diseases and lipopolysaccharides (LPS) have been linked with these disorders. Recently, many edible insects, such as Gryllus bimaculatus, Protaetia brevitarsis larvae (PB) and Tenebrio molitor larvae, have been recommended as alternative foods because they contain lots of nutritional sources. In this study, we explored the potential of PB extract in preventing LPS-induced inflammation and ferroptosis in Hep3B cells.

Materials/methods: PB powder was extracted using 70% ethanol and applied to Hep3B cells. Co-treatment with LPS was conducted to induce ferroptosis and inflammation. The anti-inflammatory and anti-ferroptosis mechanisms of the PB extract were confirmed using Western blot, enzyme-linked immunosorbent assay, and real-time polymerase chain reaction analysis.

Results: PB extract effectively prevented LPS-induced cell death and restored LPS-induced inflammatory cytokine production, NF-κB signaling, endoplasmic reticulum (ER) stress and ferroptosis. Interestingly, PB extract reduced LPS-induced ceramide increase and acid sphingomyelinase (ASMase) expression. The use of the ASMase inhibitor, desipramine, also demonstrated a reduction in these pathways, highlighting the pivotal role of ASMase in inflammation and ferroptosis. Treatment with each inhibitor revealed that ferroptosis causes ER stress and that NF-κB and MAP kinase pathways are involved in inflammation.

Conclusion: PB emerges as a potential functional food with inhibitory effects on LPS-induced inflammation and ferroptosis, making it a promising candidate for nutritional interventions.

求助全文
通过发布文献求助,成功后即可免费获取论文全文。 去求助
来源期刊
Nutrition Research and Practice
Nutrition Research and Practice NUTRITION & DIETETICS-
CiteScore
3.50
自引率
4.20%
发文量
62
审稿时长
6-12 weeks
期刊介绍: Nutrition Research and Practice (NRP) is an official journal, jointly published by the Korean Nutrition Society and the Korean Society of Community Nutrition since 2007. The journal had been published quarterly at the initial stage and has been published bimonthly since 2010. NRP aims to stimulate research and practice across diverse areas of human nutrition. The Journal publishes peer-reviewed original manuscripts on nutrition biochemistry and metabolism, community nutrition, nutrition and disease management, nutritional epidemiology, nutrition education, foodservice management in the following categories: Original Research Articles, Notes, Communications, and Reviews. Reviews will be received by the invitation of the editors only. Statements made and opinions expressed in the manuscripts published in this Journal represent the views of authors and do not necessarily reflect the opinion of the Societies.
×
引用
GB/T 7714-2015
复制
MLA
复制
APA
复制
导出至
BibTeX EndNote RefMan NoteFirst NoteExpress
×
提示
您的信息不完整,为了账户安全,请先补充。
现在去补充
×
提示
您因"违规操作"
具体请查看互助需知
我知道了
×
提示
确定
请完成安全验证×
copy
已复制链接
快去分享给好友吧!
我知道了
右上角分享
点击右上角分享
0
联系我们:info@booksci.cn Book学术提供免费学术资源搜索服务,方便国内外学者检索中英文文献。致力于提供最便捷和优质的服务体验。 Copyright © 2023 布克学术 All rights reserved.
京ICP备2023020795号-1
ghs 京公网安备 11010802042870号
Book学术文献互助
Book学术文献互助群
群 号:604180095
Book学术官方微信