放射学右心应变指数与 COVID-19 患者肺实质受累严重程度和预后的关系。

IF 0.7 Q3 CARDIAC & CARDIOVASCULAR SYSTEMS
Parsa Rouzrokh, Malihe Rezaee, Zahra Mohammadipour, Sasan Tavana, Isa Khaheshi, Ali Sheikhy, Taraneh Faghihi Langroudi
{"title":"放射学右心应变指数与 COVID-19 患者肺实质受累严重程度和预后的关系。","authors":"Parsa Rouzrokh, Malihe Rezaee, Zahra Mohammadipour, Sasan Tavana, Isa Khaheshi, Ali Sheikhy, Taraneh Faghihi Langroudi","doi":"10.34172/jcvtr.33094","DOIUrl":null,"url":null,"abstract":"<p><strong>Introduction: </strong>It has been demonstrated that an increase in the diameter of the right ventricle or pulmonary artery in COVID-19 patients could be associated with the severity of lung involvement and may lead to unfavorable outcomes, particularly in the presence of pulmonary vascular diseases. This study investigated the relationship between these right heart strain features, the extent of lung involvement, and their prognostic values in patients without vascular comorbidities.</p><p><strong>Methods: </strong>This study selected 154 consecutive patients with positive chest computed tomography (CT) findings and no evidence of concurrent pulmonary disease. Clinical characteristics and adverse outcomes in in-hospital settings were collected retrospectively. Diameters of cardiac ventricles and arteries, along with lung opacification scores, were obtained using CT pulmonary angiography (CTPA) findings, and the association of these variables was evaluated.</p><p><strong>Results: </strong>An increase in pulmonary artery (PA) to ascending aorta (AO) diameter ratio and lung parenchymal damage were significantly and positively correlated (<i>P</i>=0.017), but increased right ventricle (RV) to left ventricle (LV) diameter ratio showed no association with the extent of chest opacification (<i>P</i>=0.098). Evaluating the prognostic ability of both ratios using logistic regression and receiver operating characteristic (ROC) analysis proved no significant class separation in regards to predicting adverse outcomes (PA/AO: OR:1.081, <i>P</i> Value:0.638, RV/LV: OR:1.098, <i>P</i> Value:0.344).</p><p><strong>Conclusion: </strong>In COVID-19 patients without vascular comorbidities, a higher PA/AO diameter ratio was significantly associated with increased lung involvement severity on CT imaging but not with adverse in-hospital outcomes. Conversely, an increased RV/LV ratio on CTPA did not correlate significantly with adverse outcomes or the severity of parenchymal lung damage.</p>","PeriodicalId":15207,"journal":{"name":"Journal of Cardiovascular and Thoracic Research","volume":"16 3","pages":"171-178"},"PeriodicalIF":0.7000,"publicationDate":"2024-01-01","publicationTypes":"Journal Article","fieldsOfStudy":null,"isOpenAccess":false,"openAccessPdf":"https://www.ncbi.nlm.nih.gov/pmc/articles/PMC11489638/pdf/","citationCount":"0","resultStr":"{\"title\":\"The association of radiologic right heart strain indices with the severity of pulmonary parenchymal involvement and prognosis in patients with COVID-19.\",\"authors\":\"Parsa Rouzrokh, Malihe Rezaee, Zahra Mohammadipour, Sasan Tavana, Isa Khaheshi, Ali Sheikhy, Taraneh Faghihi Langroudi\",\"doi\":\"10.34172/jcvtr.33094\",\"DOIUrl\":null,\"url\":null,\"abstract\":\"<p><strong>Introduction: </strong>It has been demonstrated that an increase in the diameter of the right ventricle or pulmonary artery in COVID-19 patients could be associated with the severity of lung involvement and may lead to unfavorable outcomes, particularly in the presence of pulmonary vascular diseases. This study investigated the relationship between these right heart strain features, the extent of lung involvement, and their prognostic values in patients without vascular comorbidities.</p><p><strong>Methods: </strong>This study selected 154 consecutive patients with positive chest computed tomography (CT) findings and no evidence of concurrent pulmonary disease. Clinical characteristics and adverse outcomes in in-hospital settings were collected retrospectively. Diameters of cardiac ventricles and arteries, along with lung opacification scores, were obtained using CT pulmonary angiography (CTPA) findings, and the association of these variables was evaluated.</p><p><strong>Results: </strong>An increase in pulmonary artery (PA) to ascending aorta (AO) diameter ratio and lung parenchymal damage were significantly and positively correlated (<i>P</i>=0.017), but increased right ventricle (RV) to left ventricle (LV) diameter ratio showed no association with the extent of chest opacification (<i>P</i>=0.098). Evaluating the prognostic ability of both ratios using logistic regression and receiver operating characteristic (ROC) analysis proved no significant class separation in regards to predicting adverse outcomes (PA/AO: OR:1.081, <i>P</i> Value:0.638, RV/LV: OR:1.098, <i>P</i> Value:0.344).</p><p><strong>Conclusion: </strong>In COVID-19 patients without vascular comorbidities, a higher PA/AO diameter ratio was significantly associated with increased lung involvement severity on CT imaging but not with adverse in-hospital outcomes. Conversely, an increased RV/LV ratio on CTPA did not correlate significantly with adverse outcomes or the severity of parenchymal lung damage.</p>\",\"PeriodicalId\":15207,\"journal\":{\"name\":\"Journal of Cardiovascular and Thoracic Research\",\"volume\":\"16 3\",\"pages\":\"171-178\"},\"PeriodicalIF\":0.7000,\"publicationDate\":\"2024-01-01\",\"publicationTypes\":\"Journal Article\",\"fieldsOfStudy\":null,\"isOpenAccess\":false,\"openAccessPdf\":\"https://www.ncbi.nlm.nih.gov/pmc/articles/PMC11489638/pdf/\",\"citationCount\":\"0\",\"resultStr\":null,\"platform\":\"Semanticscholar\",\"paperid\":null,\"PeriodicalName\":\"Journal of Cardiovascular and Thoracic Research\",\"FirstCategoryId\":\"1085\",\"ListUrlMain\":\"https://doi.org/10.34172/jcvtr.33094\",\"RegionNum\":0,\"RegionCategory\":null,\"ArticlePicture\":[],\"TitleCN\":null,\"AbstractTextCN\":null,\"PMCID\":null,\"EPubDate\":\"2024/9/20 0:00:00\",\"PubModel\":\"Epub\",\"JCR\":\"Q3\",\"JCRName\":\"CARDIAC & CARDIOVASCULAR SYSTEMS\",\"Score\":null,\"Total\":0}","platform":"Semanticscholar","paperid":null,"PeriodicalName":"Journal of Cardiovascular and Thoracic Research","FirstCategoryId":"1085","ListUrlMain":"https://doi.org/10.34172/jcvtr.33094","RegionNum":0,"RegionCategory":null,"ArticlePicture":[],"TitleCN":null,"AbstractTextCN":null,"PMCID":null,"EPubDate":"2024/9/20 0:00:00","PubModel":"Epub","JCR":"Q3","JCRName":"CARDIAC & CARDIOVASCULAR SYSTEMS","Score":null,"Total":0}
引用次数: 0

摘要

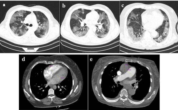
导言:有研究表明,COVID-19患者右心室或肺动脉直径的增大可能与肺部受累的严重程度有关,并可能导致不利的预后,尤其是在存在肺血管疾病的情况下。本研究调查了无血管合并症患者的这些右心应变特征、肺部受累程度及其预后价值之间的关系:该研究选择了 154 名胸部计算机断层扫描(CT)结果呈阳性且无并发肺部疾病证据的连续患者。研究回顾性地收集了患者的临床特征和院内不良预后。利用 CT 肺血管造影(CTPA)结果获得心室和动脉直径以及肺不张评分,并评估这些变量之间的关联:结果:肺动脉(PA)与升主动脉(AO)直径比值的增加与肺实质损伤呈显著正相关(P=0.017),但右心室(RV)与左心室(LV)直径比值的增加与胸部不透明程度没有关联(P=0.098)。使用逻辑回归和接收器操作特征(ROC)分析评估这两个比率的预后能力,结果表明在预测不良预后方面没有明显的分级(PA/AO:OR:1.081,P 值:0.638;RV/LV:OR:1.098,P 值:0.344):在没有血管合并症的COVID-19患者中,PA/AO直径比值越大,CT成像显示的肺部受累严重程度越高,但与不良院内预后无关。相反,CTPA 上 RV/LV 比值的增加与不良预后或肺实质损伤的严重程度并无显著相关性。
本文章由计算机程序翻译,如有差异,请以英文原文为准。

The association of radiologic right heart strain indices with the severity of pulmonary parenchymal involvement and prognosis in patients with COVID-19.

The association of radiologic right heart strain indices with the severity of pulmonary parenchymal involvement and prognosis in patients with COVID-19.

The association of radiologic right heart strain indices with the severity of pulmonary parenchymal involvement and prognosis in patients with COVID-19.

The association of radiologic right heart strain indices with the severity of pulmonary parenchymal involvement and prognosis in patients with COVID-19.

Introduction: It has been demonstrated that an increase in the diameter of the right ventricle or pulmonary artery in COVID-19 patients could be associated with the severity of lung involvement and may lead to unfavorable outcomes, particularly in the presence of pulmonary vascular diseases. This study investigated the relationship between these right heart strain features, the extent of lung involvement, and their prognostic values in patients without vascular comorbidities.

Methods: This study selected 154 consecutive patients with positive chest computed tomography (CT) findings and no evidence of concurrent pulmonary disease. Clinical characteristics and adverse outcomes in in-hospital settings were collected retrospectively. Diameters of cardiac ventricles and arteries, along with lung opacification scores, were obtained using CT pulmonary angiography (CTPA) findings, and the association of these variables was evaluated.

Results: An increase in pulmonary artery (PA) to ascending aorta (AO) diameter ratio and lung parenchymal damage were significantly and positively correlated (P=0.017), but increased right ventricle (RV) to left ventricle (LV) diameter ratio showed no association with the extent of chest opacification (P=0.098). Evaluating the prognostic ability of both ratios using logistic regression and receiver operating characteristic (ROC) analysis proved no significant class separation in regards to predicting adverse outcomes (PA/AO: OR:1.081, P Value:0.638, RV/LV: OR:1.098, P Value:0.344).

Conclusion: In COVID-19 patients without vascular comorbidities, a higher PA/AO diameter ratio was significantly associated with increased lung involvement severity on CT imaging but not with adverse in-hospital outcomes. Conversely, an increased RV/LV ratio on CTPA did not correlate significantly with adverse outcomes or the severity of parenchymal lung damage.

求助全文
通过发布文献求助,成功后即可免费获取论文全文。 去求助
来源期刊
Journal of Cardiovascular and Thoracic Research
Journal of Cardiovascular and Thoracic Research CARDIAC & CARDIOVASCULAR SYSTEMS-
CiteScore
2.00
自引率
0.00%
发文量
22
审稿时长
7 weeks
×
引用
GB/T 7714-2015
复制
MLA
复制
APA
复制
导出至
BibTeX EndNote RefMan NoteFirst NoteExpress
×
提示
您的信息不完整,为了账户安全,请先补充。
现在去补充
×
提示
您因"违规操作"
具体请查看互助需知
我知道了
×
提示
确定
请完成安全验证×
copy
已复制链接
快去分享给好友吧!
我知道了
右上角分享
点击右上角分享
0
联系我们:info@booksci.cn Book学术提供免费学术资源搜索服务,方便国内外学者检索中英文文献。致力于提供最便捷和优质的服务体验。 Copyright © 2023 布克学术 All rights reserved.
京ICP备2023020795号-1
ghs 京公网安备 11010802042870号
Book学术文献互助
Book学术文献互助群
群 号:604180095
Book学术官方微信