电子准直对减少数字 X 射线摄影中不必要的患者剂量的影响。

Q3 Medicine
Amir Mohammad Esmaeilian, Saeedeh Aliakbari, Payman Hejazi, Majid Jadidi
{"title":"电子准直对减少数字 X 射线摄影中不必要的患者剂量的影响。","authors":"Amir Mohammad Esmaeilian, Saeedeh Aliakbari, Payman Hejazi, Majid Jadidi","doi":"10.31661/jbpe.v0i0.2401-1707","DOIUrl":null,"url":null,"abstract":"<p><strong>Background: </strong>In radiology, optimizing radiation protection is crucial, and field collimation plays a critical role in minimizing patient dose. As technology has evolved, electronic collimation has become the preferred method due to its effectiveness in digital imaging systems, replacing traditional film-screen systems.</p><p><strong>Objective: </strong>The current study aimed to investigate the prevalence of cropping in digital radiography and its potential impact on patient radiation dose because of improper collimation practices.</p><p><strong>Material and methods: </strong>This retrospective analysis was conducted on digital X-ray machine images. Quality control tests were performed to ensure equipment accuracy, and image cropping was then measured by analyzing archived images. Finally, the cropped image fraction and associated unnecessary radiation doses were calculated.</p><p><strong>Results: </strong>Quality control tests confirmed that all imaging equipment was functioned within acceptable alignment and angle tolerances. The analysis of 911 images revealed a high prevalence of cropping (82%), with significant variation across different projections. Lateral knee images exhibited the highest cropping rate (96.2%), while abdominal images had the lowest (36.1%).</p><p><strong>Conclusion: </strong>Electronic image cropping can lead radiologic technologists to inaccurately define the primary radiation field, affecting image quality and potentially increasing patient radiation exposure. Based on the obtained results, proper collimation can reduce the average Dose Area Product (DAP) by 29.01%. This approach not only enhances patient safety but also minimizes unnecessary radiation exposure and potentially reduces healthcare costs.</p>","PeriodicalId":38035,"journal":{"name":"Journal of Biomedical Physics and Engineering","volume":"14 5","pages":"457-468"},"PeriodicalIF":0.0000,"publicationDate":"2024-10-01","publicationTypes":"Journal Article","fieldsOfStudy":null,"isOpenAccess":false,"openAccessPdf":"https://www.ncbi.nlm.nih.gov/pmc/articles/PMC11462273/pdf/","citationCount":"0","resultStr":"{\"title\":\"Impact of Electronic Collimation on Reducing Unnecessary Patient Dose in Digital Radiography.\",\"authors\":\"Amir Mohammad Esmaeilian, Saeedeh Aliakbari, Payman Hejazi, Majid Jadidi\",\"doi\":\"10.31661/jbpe.v0i0.2401-1707\",\"DOIUrl\":null,\"url\":null,\"abstract\":\"<p><strong>Background: </strong>In radiology, optimizing radiation protection is crucial, and field collimation plays a critical role in minimizing patient dose. As technology has evolved, electronic collimation has become the preferred method due to its effectiveness in digital imaging systems, replacing traditional film-screen systems.</p><p><strong>Objective: </strong>The current study aimed to investigate the prevalence of cropping in digital radiography and its potential impact on patient radiation dose because of improper collimation practices.</p><p><strong>Material and methods: </strong>This retrospective analysis was conducted on digital X-ray machine images. Quality control tests were performed to ensure equipment accuracy, and image cropping was then measured by analyzing archived images. Finally, the cropped image fraction and associated unnecessary radiation doses were calculated.</p><p><strong>Results: </strong>Quality control tests confirmed that all imaging equipment was functioned within acceptable alignment and angle tolerances. The analysis of 911 images revealed a high prevalence of cropping (82%), with significant variation across different projections. Lateral knee images exhibited the highest cropping rate (96.2%), while abdominal images had the lowest (36.1%).</p><p><strong>Conclusion: </strong>Electronic image cropping can lead radiologic technologists to inaccurately define the primary radiation field, affecting image quality and potentially increasing patient radiation exposure. Based on the obtained results, proper collimation can reduce the average Dose Area Product (DAP) by 29.01%. This approach not only enhances patient safety but also minimizes unnecessary radiation exposure and potentially reduces healthcare costs.</p>\",\"PeriodicalId\":38035,\"journal\":{\"name\":\"Journal of Biomedical Physics and Engineering\",\"volume\":\"14 5\",\"pages\":\"457-468\"},\"PeriodicalIF\":0.0000,\"publicationDate\":\"2024-10-01\",\"publicationTypes\":\"Journal Article\",\"fieldsOfStudy\":null,\"isOpenAccess\":false,\"openAccessPdf\":\"https://www.ncbi.nlm.nih.gov/pmc/articles/PMC11462273/pdf/\",\"citationCount\":\"0\",\"resultStr\":null,\"platform\":\"Semanticscholar\",\"paperid\":null,\"PeriodicalName\":\"Journal of Biomedical Physics and Engineering\",\"FirstCategoryId\":\"1085\",\"ListUrlMain\":\"https://doi.org/10.31661/jbpe.v0i0.2401-1707\",\"RegionNum\":0,\"RegionCategory\":null,\"ArticlePicture\":[],\"TitleCN\":null,\"AbstractTextCN\":null,\"PMCID\":null,\"EPubDate\":\"\",\"PubModel\":\"\",\"JCR\":\"Q3\",\"JCRName\":\"Medicine\",\"Score\":null,\"Total\":0}","platform":"Semanticscholar","paperid":null,"PeriodicalName":"Journal of Biomedical Physics and Engineering","FirstCategoryId":"1085","ListUrlMain":"https://doi.org/10.31661/jbpe.v0i0.2401-1707","RegionNum":0,"RegionCategory":null,"ArticlePicture":[],"TitleCN":null,"AbstractTextCN":null,"PMCID":null,"EPubDate":"","PubModel":"","JCR":"Q3","JCRName":"Medicine","Score":null,"Total":0}
引用次数: 0

摘要

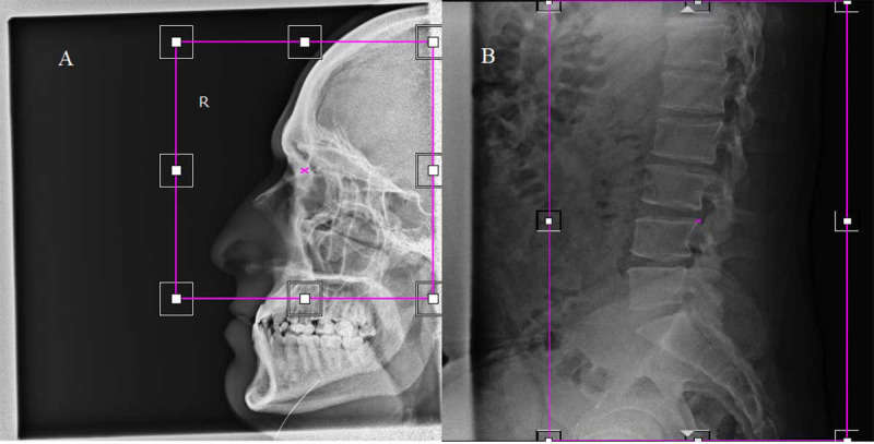
背景:在放射学中,优化辐射防护至关重要,而野外准直在最大程度减少患者剂量方面发挥着关键作用。随着技术的发展,电子准直因其在数字成像系统中的有效性而成为首选方法,取代了传统的胶片屏幕系统:本研究旨在调查数字放射摄影中裁剪的普遍程度,以及由于不正确的准直操作对患者辐射剂量的潜在影响:本研究对数字 X 光机图像进行了回顾性分析。进行质量控制测试以确保设备的准确性,然后通过分析存档图像来测量图像裁剪情况。最后,计算出裁剪图像的比例和相关的不必要辐射剂量:质量控制测试证实,所有成像设备都在可接受的对齐和角度公差范围内运行。对 911 张图像的分析表明,剪切的发生率很高(82%),不同投影之间存在显著差异。膝关节外侧图像的剪切率最高(96.2%),而腹部图像的剪切率最低(36.1%):结论:电子图像裁剪会导致放射技师不准确地定义主辐射场,影响图像质量,并可能增加患者的辐射量。根据所得结果,正确的准直可将平均剂量面积积(DAP)降低 29.01%。这种方法不仅能提高患者的安全性,还能最大限度地减少不必要的辐射照射,并有可能降低医疗成本。
本文章由计算机程序翻译,如有差异,请以英文原文为准。

Impact of Electronic Collimation on Reducing Unnecessary Patient Dose in Digital Radiography.

Impact of Electronic Collimation on Reducing Unnecessary Patient Dose in Digital Radiography.

Impact of Electronic Collimation on Reducing Unnecessary Patient Dose in Digital Radiography.

Impact of Electronic Collimation on Reducing Unnecessary Patient Dose in Digital Radiography.

Background: In radiology, optimizing radiation protection is crucial, and field collimation plays a critical role in minimizing patient dose. As technology has evolved, electronic collimation has become the preferred method due to its effectiveness in digital imaging systems, replacing traditional film-screen systems.

Objective: The current study aimed to investigate the prevalence of cropping in digital radiography and its potential impact on patient radiation dose because of improper collimation practices.

Material and methods: This retrospective analysis was conducted on digital X-ray machine images. Quality control tests were performed to ensure equipment accuracy, and image cropping was then measured by analyzing archived images. Finally, the cropped image fraction and associated unnecessary radiation doses were calculated.

Results: Quality control tests confirmed that all imaging equipment was functioned within acceptable alignment and angle tolerances. The analysis of 911 images revealed a high prevalence of cropping (82%), with significant variation across different projections. Lateral knee images exhibited the highest cropping rate (96.2%), while abdominal images had the lowest (36.1%).

Conclusion: Electronic image cropping can lead radiologic technologists to inaccurately define the primary radiation field, affecting image quality and potentially increasing patient radiation exposure. Based on the obtained results, proper collimation can reduce the average Dose Area Product (DAP) by 29.01%. This approach not only enhances patient safety but also minimizes unnecessary radiation exposure and potentially reduces healthcare costs.

求助全文
通过发布文献求助,成功后即可免费获取论文全文。 去求助
来源期刊
Journal of Biomedical Physics and Engineering
Journal of Biomedical Physics and Engineering Medicine-Radiology, Nuclear Medicine and Imaging
CiteScore
2.90
自引率
0.00%
发文量
64
审稿时长
10 weeks
期刊介绍: The Journal of Biomedical Physics and Engineering (JBPE) is a bimonthly peer-reviewed English-language journal that publishes high-quality basic sciences and clinical research (experimental or theoretical) broadly concerned with the relationship of physics to medicine and engineering.
×
引用
GB/T 7714-2015
复制
MLA
复制
APA
复制
导出至
BibTeX EndNote RefMan NoteFirst NoteExpress
×
提示
您的信息不完整,为了账户安全,请先补充。
现在去补充
×
提示
您因"违规操作"
具体请查看互助需知
我知道了
×
提示
确定
请完成安全验证×
copy
已复制链接
快去分享给好友吧!
我知道了
右上角分享
点击右上角分享
0
联系我们:info@booksci.cn Book学术提供免费学术资源搜索服务,方便国内外学者检索中英文文献。致力于提供最便捷和优质的服务体验。 Copyright © 2023 布克学术 All rights reserved.
京ICP备2023020795号-1
ghs 京公网安备 11010802042870号
Book学术文献互助
Book学术文献互助群
群 号:604180095
Book学术官方微信