韩国一名外伤患者胸部 X 光片上的皮肤褶皱伪影被误诊为气胸:病例报告。

IF 0.2
Journal of Trauma and Injury Pub Date : 2024-03-01 Epub Date: 2024-02-23 DOI:10.20408/jti.2023.0050
Yoojin Park, Eun Young Kim, Byungchul Yu, Kunwoo Kim
{"title":"韩国一名外伤患者胸部 X 光片上的皮肤褶皱伪影被误诊为气胸:病例报告。","authors":"Yoojin Park, Eun Young Kim, Byungchul Yu, Kunwoo Kim","doi":"10.20408/jti.2023.0050","DOIUrl":null,"url":null,"abstract":"<p><p>Misinterpreting radiographic findings can lead to unnecessary interventions and potential patient harm. The urgency required when responding to the compromised health of trauma patients can increase the likelihood of misinterpreting chest x-rays in critical situations. We present the case report of a trauma patient whose skin fold artifacts were mistaken for pneumothorax on a follow-up chest x-ray, resulting in unnecessary chest tube insertion. We hope to help others differentiate between skin folds and pneumothorax on the chest x-rays of trauma patients by considering factors such as location, shape, sharpness, and vascular markings.</p>","PeriodicalId":52698,"journal":{"name":"Journal of Trauma and Injury","volume":"37 1","pages":"86-88"},"PeriodicalIF":0.2000,"publicationDate":"2024-03-01","publicationTypes":"Journal Article","fieldsOfStudy":null,"isOpenAccess":false,"openAccessPdf":"https://www.ncbi.nlm.nih.gov/pmc/articles/PMC11309166/pdf/","citationCount":"0","resultStr":"{\"title\":\"Misinterpretation of a skin fold artifact as pneumothorax on the chest x-ray of a trauma patient in Korea: a case report.\",\"authors\":\"Yoojin Park, Eun Young Kim, Byungchul Yu, Kunwoo Kim\",\"doi\":\"10.20408/jti.2023.0050\",\"DOIUrl\":null,\"url\":null,\"abstract\":\"<p><p>Misinterpreting radiographic findings can lead to unnecessary interventions and potential patient harm. The urgency required when responding to the compromised health of trauma patients can increase the likelihood of misinterpreting chest x-rays in critical situations. We present the case report of a trauma patient whose skin fold artifacts were mistaken for pneumothorax on a follow-up chest x-ray, resulting in unnecessary chest tube insertion. We hope to help others differentiate between skin folds and pneumothorax on the chest x-rays of trauma patients by considering factors such as location, shape, sharpness, and vascular markings.</p>\",\"PeriodicalId\":52698,\"journal\":{\"name\":\"Journal of Trauma and Injury\",\"volume\":\"37 1\",\"pages\":\"86-88\"},\"PeriodicalIF\":0.2000,\"publicationDate\":\"2024-03-01\",\"publicationTypes\":\"Journal Article\",\"fieldsOfStudy\":null,\"isOpenAccess\":false,\"openAccessPdf\":\"https://www.ncbi.nlm.nih.gov/pmc/articles/PMC11309166/pdf/\",\"citationCount\":\"0\",\"resultStr\":null,\"platform\":\"Semanticscholar\",\"paperid\":null,\"PeriodicalName\":\"Journal of Trauma and Injury\",\"FirstCategoryId\":\"1085\",\"ListUrlMain\":\"https://doi.org/10.20408/jti.2023.0050\",\"RegionNum\":0,\"RegionCategory\":null,\"ArticlePicture\":[],\"TitleCN\":null,\"AbstractTextCN\":null,\"PMCID\":null,\"EPubDate\":\"2024/2/23 0:00:00\",\"PubModel\":\"Epub\",\"JCR\":\"\",\"JCRName\":\"\",\"Score\":null,\"Total\":0}","platform":"Semanticscholar","paperid":null,"PeriodicalName":"Journal of Trauma and Injury","FirstCategoryId":"1085","ListUrlMain":"https://doi.org/10.20408/jti.2023.0050","RegionNum":0,"RegionCategory":null,"ArticlePicture":[],"TitleCN":null,"AbstractTextCN":null,"PMCID":null,"EPubDate":"2024/2/23 0:00:00","PubModel":"Epub","JCR":"","JCRName":"","Score":null,"Total":0}
引用次数: 0

摘要

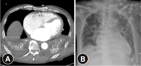
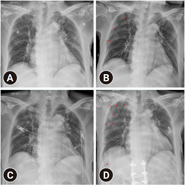
误解放射检查结果可能导致不必要的干预和潜在的患者伤害。在危急情况下,应对健康受损的创伤患者所需的紧迫性可能会增加误读胸部 X 光片的可能性。我们介绍了一名创伤患者的病例报告,该患者在复查胸部 X 光片时将皮肤褶皱伪影误认为是气胸,结果导致不必要的胸管插入。我们希望通过考虑位置、形状、锐利度和血管标记等因素,帮助其他人区分外伤患者胸部 X 光片上的皮肤皱褶和气胸。
本文章由计算机程序翻译,如有差异,请以英文原文为准。

Misinterpretation of a skin fold artifact as pneumothorax on the chest x-ray of a trauma patient in Korea: a case report.

Misinterpretation of a skin fold artifact as pneumothorax on the chest x-ray of a trauma patient in Korea: a case report.

Misinterpretation of a skin fold artifact as pneumothorax on the chest x-ray of a trauma patient in Korea: a case report.

Misinterpreting radiographic findings can lead to unnecessary interventions and potential patient harm. The urgency required when responding to the compromised health of trauma patients can increase the likelihood of misinterpreting chest x-rays in critical situations. We present the case report of a trauma patient whose skin fold artifacts were mistaken for pneumothorax on a follow-up chest x-ray, resulting in unnecessary chest tube insertion. We hope to help others differentiate between skin folds and pneumothorax on the chest x-rays of trauma patients by considering factors such as location, shape, sharpness, and vascular markings.

求助全文
通过发布文献求助,成功后即可免费获取论文全文。 去求助
来源期刊
自引率
0.00%
发文量
58
审稿时长
11 weeks
×
引用
GB/T 7714-2015
复制
MLA
复制
APA
复制
导出至
BibTeX EndNote RefMan NoteFirst NoteExpress
×
提示
您的信息不完整,为了账户安全,请先补充。
现在去补充
×
提示
您因"违规操作"
具体请查看互助需知
我知道了
×
提示
确定
请完成安全验证×
copy
已复制链接
快去分享给好友吧!
我知道了
右上角分享
点击右上角分享
0
联系我们:info@booksci.cn Book学术提供免费学术资源搜索服务,方便国内外学者检索中英文文献。致力于提供最便捷和优质的服务体验。 Copyright © 2023 布克学术 All rights reserved.
京ICP备2023020795号-1
ghs 京公网安备 11010802042870号
Book学术文献互助
Book学术文献互助群
群 号:604180095
Book学术官方微信