非小细胞肺癌患者放射性肺炎的计算机断层扫描模式和临床结果。

IF 1 Q4 RADIOLOGY, NUCLEAR MEDICINE & MEDICAL IMAGING
Ji Hoon Choi, Hee Kang, Ji Su Lim, Ki-Nam Lee
{"title":"非小细胞肺癌患者放射性肺炎的计算机断层扫描模式和临床结果。","authors":"Ji Hoon Choi, Hee Kang, Ji Su Lim, Ki-Nam Lee","doi":"10.1177/20584601241288502","DOIUrl":null,"url":null,"abstract":"<p><strong>Background: </strong>Radiation pneumonitis (RP) is not an uncommon complication in lung cancer patients undergoing radiation therapy (RT) and symptomatic RP can affect their quality of life.</p><p><strong>Purpose: </strong>To investigate the CT findings of RP in non-small cell lung cancer (NSCLC) patients and their relationship with clinical outcomes.</p><p><strong>Materials and methods: </strong>We reviewed data from 240 NSCLC patients who underwent RT between 2014 and 2022. CT findings of RP were evaluated for parenchymal abnormalities and distribution, which were then classified into three patterns: localized pneumonia (LP), cryptogenic organizing pneumonia (COP), and acute interstitial pneumonia (AIP). Clinical outcomes of RP were evaluated based on Common Terminology Criteria for Adverse Events (CTCAE) grade.</p><p><strong>Results: </strong>Of the 153 patients, 135 developed RP. The most common pattern was LP (<i>n</i> = 78), followed by COP (<i>n</i> = 30) and AIP (<i>n</i> = 25). Among the three CT patterns, CTCAE grade and days between the start of RT and the onset of RP (RT-RP days) were statistically significantly different (<i>p</i> < 0.05). The patients with AIP patterns exhibited higher CTCAE grade, and fewer RT-RP days compared to those with non-AIP patterns (<i>p</i> < 0.05). In these patients, lung-to-lung metastasis and underlying interstitial lung abnormality were observed more frequently (<i>p</i> < 0.05). Underlying pulmonary fibrosis, the AIP pattern, and higher CT extent scores were more frequently observed in higher CTCAE grade group (<i>p</i> < 0.001). In multiple regression analysis, age, bilateral distribution, RT-RP days, and CT extent score ≥3 were independent predicting factors for higher CTCAE grade.</p><p><strong>Conclusions: </strong>RP in NSCLC patients can be classified into LP, COP, and AIP patterns and they exhibit different severities in clinical outcomes.</p>","PeriodicalId":72063,"journal":{"name":"Acta radiologica open","volume":"13 10","pages":"20584601241288502"},"PeriodicalIF":1.0000,"publicationDate":"2024-10-01","publicationTypes":"Journal Article","fieldsOfStudy":null,"isOpenAccess":false,"openAccessPdf":"https://www.ncbi.nlm.nih.gov/pmc/articles/PMC11459547/pdf/","citationCount":"0","resultStr":"{\"title\":\"Computed tomography patterns and clinical outcomes of radiation pneumonitis in non-small-cell lung cancer patients.\",\"authors\":\"Ji Hoon Choi, Hee Kang, Ji Su Lim, Ki-Nam Lee\",\"doi\":\"10.1177/20584601241288502\",\"DOIUrl\":null,\"url\":null,\"abstract\":\"<p><strong>Background: </strong>Radiation pneumonitis (RP) is not an uncommon complication in lung cancer patients undergoing radiation therapy (RT) and symptomatic RP can affect their quality of life.</p><p><strong>Purpose: </strong>To investigate the CT findings of RP in non-small cell lung cancer (NSCLC) patients and their relationship with clinical outcomes.</p><p><strong>Materials and methods: </strong>We reviewed data from 240 NSCLC patients who underwent RT between 2014 and 2022. CT findings of RP were evaluated for parenchymal abnormalities and distribution, which were then classified into three patterns: localized pneumonia (LP), cryptogenic organizing pneumonia (COP), and acute interstitial pneumonia (AIP). Clinical outcomes of RP were evaluated based on Common Terminology Criteria for Adverse Events (CTCAE) grade.</p><p><strong>Results: </strong>Of the 153 patients, 135 developed RP. The most common pattern was LP (<i>n</i> = 78), followed by COP (<i>n</i> = 30) and AIP (<i>n</i> = 25). Among the three CT patterns, CTCAE grade and days between the start of RT and the onset of RP (RT-RP days) were statistically significantly different (<i>p</i> < 0.05). The patients with AIP patterns exhibited higher CTCAE grade, and fewer RT-RP days compared to those with non-AIP patterns (<i>p</i> < 0.05). In these patients, lung-to-lung metastasis and underlying interstitial lung abnormality were observed more frequently (<i>p</i> < 0.05). Underlying pulmonary fibrosis, the AIP pattern, and higher CT extent scores were more frequently observed in higher CTCAE grade group (<i>p</i> < 0.001). In multiple regression analysis, age, bilateral distribution, RT-RP days, and CT extent score ≥3 were independent predicting factors for higher CTCAE grade.</p><p><strong>Conclusions: </strong>RP in NSCLC patients can be classified into LP, COP, and AIP patterns and they exhibit different severities in clinical outcomes.</p>\",\"PeriodicalId\":72063,\"journal\":{\"name\":\"Acta radiologica open\",\"volume\":\"13 10\",\"pages\":\"20584601241288502\"},\"PeriodicalIF\":1.0000,\"publicationDate\":\"2024-10-01\",\"publicationTypes\":\"Journal Article\",\"fieldsOfStudy\":null,\"isOpenAccess\":false,\"openAccessPdf\":\"https://www.ncbi.nlm.nih.gov/pmc/articles/PMC11459547/pdf/\",\"citationCount\":\"0\",\"resultStr\":null,\"platform\":\"Semanticscholar\",\"paperid\":null,\"PeriodicalName\":\"Acta radiologica open\",\"FirstCategoryId\":\"1085\",\"ListUrlMain\":\"https://doi.org/10.1177/20584601241288502\",\"RegionNum\":0,\"RegionCategory\":null,\"ArticlePicture\":[],\"TitleCN\":null,\"AbstractTextCN\":null,\"PMCID\":null,\"EPubDate\":\"\",\"PubModel\":\"\",\"JCR\":\"Q4\",\"JCRName\":\"RADIOLOGY, NUCLEAR MEDICINE & MEDICAL IMAGING\",\"Score\":null,\"Total\":0}","platform":"Semanticscholar","paperid":null,"PeriodicalName":"Acta radiologica open","FirstCategoryId":"1085","ListUrlMain":"https://doi.org/10.1177/20584601241288502","RegionNum":0,"RegionCategory":null,"ArticlePicture":[],"TitleCN":null,"AbstractTextCN":null,"PMCID":null,"EPubDate":"","PubModel":"","JCR":"Q4","JCRName":"RADIOLOGY, NUCLEAR MEDICINE & MEDICAL IMAGING","Score":null,"Total":0}
引用次数: 0

摘要

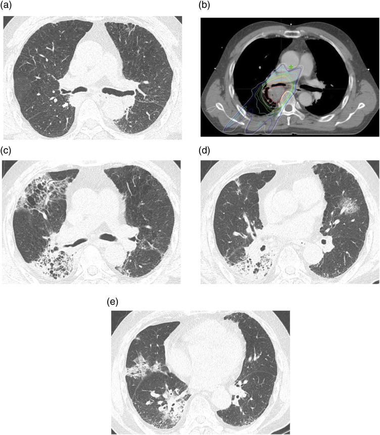
背景:目的:研究非小细胞肺癌(NSCLC)患者放射性肺炎的 CT 检查结果及其与临床结果的关系:我们回顾了2014年至2022年间接受RT治疗的240名NSCLC患者的数据。对RP的CT结果进行了实质异常和分布评估,然后将其分为三种模式:局部肺炎(LP)、隐源性有组织肺炎(COP)和急性间质性肺炎(AIP)。根据不良事件通用术语标准(CTCAE)的分级对RP的临床结果进行了评估:结果:在 153 名患者中,135 人出现了 RP。最常见的模式是 LP(78 例),其次是 COP(30 例)和 AIP(25 例)。在三种 CT 模式中,CTCAE 分级和 RT 开始至 RP 发病之间的天数(RT-RP 天数)有显著统计学差异(P < 0.05)。与非 AIP 模式的患者相比,AIP 模式患者的 CTCAE 分级更高,RT-RP 天数更少(P < 0.05)。在这些患者中,肺转移和潜在的肺间质异常更常见(P < 0.05)。在CTCAE等级较高的组别中,更常观察到潜在的肺纤维化、AIP模式和较高的CT范围评分(P < 0.001)。在多元回归分析中,年龄、双侧分布、RT-RP天数和CT范围评分≥3是较高CTCAE分级的独立预测因素:结论:NSCLC患者的RP可分为LP、COP和AIP模式,它们在临床结果中表现出不同的严重程度。
本文章由计算机程序翻译,如有差异,请以英文原文为准。

Computed tomography patterns and clinical outcomes of radiation pneumonitis in non-small-cell lung cancer patients.

Computed tomography patterns and clinical outcomes of radiation pneumonitis in non-small-cell lung cancer patients.

Computed tomography patterns and clinical outcomes of radiation pneumonitis in non-small-cell lung cancer patients.

Computed tomography patterns and clinical outcomes of radiation pneumonitis in non-small-cell lung cancer patients.

Background: Radiation pneumonitis (RP) is not an uncommon complication in lung cancer patients undergoing radiation therapy (RT) and symptomatic RP can affect their quality of life.

Purpose: To investigate the CT findings of RP in non-small cell lung cancer (NSCLC) patients and their relationship with clinical outcomes.

Materials and methods: We reviewed data from 240 NSCLC patients who underwent RT between 2014 and 2022. CT findings of RP were evaluated for parenchymal abnormalities and distribution, which were then classified into three patterns: localized pneumonia (LP), cryptogenic organizing pneumonia (COP), and acute interstitial pneumonia (AIP). Clinical outcomes of RP were evaluated based on Common Terminology Criteria for Adverse Events (CTCAE) grade.

Results: Of the 153 patients, 135 developed RP. The most common pattern was LP (n = 78), followed by COP (n = 30) and AIP (n = 25). Among the three CT patterns, CTCAE grade and days between the start of RT and the onset of RP (RT-RP days) were statistically significantly different (p < 0.05). The patients with AIP patterns exhibited higher CTCAE grade, and fewer RT-RP days compared to those with non-AIP patterns (p < 0.05). In these patients, lung-to-lung metastasis and underlying interstitial lung abnormality were observed more frequently (p < 0.05). Underlying pulmonary fibrosis, the AIP pattern, and higher CT extent scores were more frequently observed in higher CTCAE grade group (p < 0.001). In multiple regression analysis, age, bilateral distribution, RT-RP days, and CT extent score ≥3 were independent predicting factors for higher CTCAE grade.

Conclusions: RP in NSCLC patients can be classified into LP, COP, and AIP patterns and they exhibit different severities in clinical outcomes.

求助全文
通过发布文献求助,成功后即可免费获取论文全文。 去求助
来源期刊
自引率
0.00%
发文量
0
审稿时长
12 weeks
×
引用
GB/T 7714-2015
复制
MLA
复制
APA
复制
导出至
BibTeX EndNote RefMan NoteFirst NoteExpress
×
提示
您的信息不完整,为了账户安全,请先补充。
现在去补充
×
提示
您因"违规操作"
具体请查看互助需知
我知道了
×
提示
确定
请完成安全验证×
copy
已复制链接
快去分享给好友吧!
我知道了
右上角分享
点击右上角分享
0
联系我们:info@booksci.cn Book学术提供免费学术资源搜索服务,方便国内外学者检索中英文文献。致力于提供最便捷和优质的服务体验。 Copyright © 2023 布克学术 All rights reserved.
京ICP备2023020795号-1
ghs 京公网安备 11010802042870号
Book学术文献互助
Book学术文献互助群
群 号:604180095
Book学术官方微信