首次描述猫的食道黑色素瘤并通过内窥镜氩等离子凝固激光进行姑息治疗。

IF 0.7 Q3 VETERINARY SCIENCES
Journal of Feline Medicine and Surgery Open Reports Pub Date : 2024-10-07 eCollection Date: 2024-07-01 DOI:10.1177/20551169241277076
Riccardo Ferriani, Teresa Bruna Pagano, Enrico Bottero
{"title":"首次描述猫的食道黑色素瘤并通过内窥镜氩等离子凝固激光进行姑息治疗。","authors":"Riccardo Ferriani, Teresa Bruna Pagano, Enrico Bottero","doi":"10.1177/20551169241277076","DOIUrl":null,"url":null,"abstract":"<p><strong>Case summary: </strong>An 11-year-old castrated male domestic shorthair cat presented with chronic regurgitation and weight loss. Despite a 2-month history of weight loss, regurgitation intensified over 4 weeks, occurring with every food intake, even on a semi-liquid diet. Physical examination revealed thinness and dehydration, and a focal oval mass was noted in the middle mediastinum on thoracic radiography. Oesophagoscopy identified a 6 cm neoformation almost completely obstructing the oesophageal lumen. Biopsies were taken and histopathology, positivity to melanoma triple cocktail and PNL-2 by immunohistochemistry led to the diagnosis of melanocytic neoplasm. Palliative debulking with argon plasma coagulation (APC) was performed, significantly improving the cat's quality of life for 2 months. The cat survived for 107 days after diagnosis.</p><p><strong>Relevance and novel information: </strong>This case report describes the first report of melanocytic neoplasia originating from the oesophageal mucosa in a cat. In cats, melanomas outside the eyes are exceedingly rare and oesophageal neoplasms are exceptionally rare in veterinary medicine, particularly melanomas. The diagnosis relied on positive immunohistochemistry markers aligning with previous research. Treatment with APC emerged as a novel, potentially palliative approach, successfully alleviating regurgitation for 3 months. This underscores APC's potential in feline oesophageal neoplasia palliative care, which deserves further investigation in a broader feline cohort to confirm its efficacy. Overall, this report provides valuable insights into the diagnosis and treatment of oesophageal melanoma in cats.</p>","PeriodicalId":36588,"journal":{"name":"Journal of Feline Medicine and Surgery Open Reports","volume":"10 2","pages":"20551169241277076"},"PeriodicalIF":0.7000,"publicationDate":"2024-10-07","publicationTypes":"Journal Article","fieldsOfStudy":null,"isOpenAccess":false,"openAccessPdf":"https://www.ncbi.nlm.nih.gov/pmc/articles/PMC11459503/pdf/","citationCount":"0","resultStr":"{\"title\":\"First description of oesophageal melanoma in a cat and palliative treatment by endoscopic argon plasma coagulation laser.\",\"authors\":\"Riccardo Ferriani, Teresa Bruna Pagano, Enrico Bottero\",\"doi\":\"10.1177/20551169241277076\",\"DOIUrl\":null,\"url\":null,\"abstract\":\"<p><strong>Case summary: </strong>An 11-year-old castrated male domestic shorthair cat presented with chronic regurgitation and weight loss. Despite a 2-month history of weight loss, regurgitation intensified over 4 weeks, occurring with every food intake, even on a semi-liquid diet. Physical examination revealed thinness and dehydration, and a focal oval mass was noted in the middle mediastinum on thoracic radiography. Oesophagoscopy identified a 6 cm neoformation almost completely obstructing the oesophageal lumen. Biopsies were taken and histopathology, positivity to melanoma triple cocktail and PNL-2 by immunohistochemistry led to the diagnosis of melanocytic neoplasm. Palliative debulking with argon plasma coagulation (APC) was performed, significantly improving the cat's quality of life for 2 months. The cat survived for 107 days after diagnosis.</p><p><strong>Relevance and novel information: </strong>This case report describes the first report of melanocytic neoplasia originating from the oesophageal mucosa in a cat. In cats, melanomas outside the eyes are exceedingly rare and oesophageal neoplasms are exceptionally rare in veterinary medicine, particularly melanomas. The diagnosis relied on positive immunohistochemistry markers aligning with previous research. Treatment with APC emerged as a novel, potentially palliative approach, successfully alleviating regurgitation for 3 months. This underscores APC's potential in feline oesophageal neoplasia palliative care, which deserves further investigation in a broader feline cohort to confirm its efficacy. Overall, this report provides valuable insights into the diagnosis and treatment of oesophageal melanoma in cats.</p>\",\"PeriodicalId\":36588,\"journal\":{\"name\":\"Journal of Feline Medicine and Surgery Open Reports\",\"volume\":\"10 2\",\"pages\":\"20551169241277076\"},\"PeriodicalIF\":0.7000,\"publicationDate\":\"2024-10-07\",\"publicationTypes\":\"Journal Article\",\"fieldsOfStudy\":null,\"isOpenAccess\":false,\"openAccessPdf\":\"https://www.ncbi.nlm.nih.gov/pmc/articles/PMC11459503/pdf/\",\"citationCount\":\"0\",\"resultStr\":null,\"platform\":\"Semanticscholar\",\"paperid\":null,\"PeriodicalName\":\"Journal of Feline Medicine and Surgery Open Reports\",\"FirstCategoryId\":\"1085\",\"ListUrlMain\":\"https://doi.org/10.1177/20551169241277076\",\"RegionNum\":0,\"RegionCategory\":null,\"ArticlePicture\":[],\"TitleCN\":null,\"AbstractTextCN\":null,\"PMCID\":null,\"EPubDate\":\"2024/7/1 0:00:00\",\"PubModel\":\"eCollection\",\"JCR\":\"Q3\",\"JCRName\":\"VETERINARY SCIENCES\",\"Score\":null,\"Total\":0}","platform":"Semanticscholar","paperid":null,"PeriodicalName":"Journal of Feline Medicine and Surgery Open Reports","FirstCategoryId":"1085","ListUrlMain":"https://doi.org/10.1177/20551169241277076","RegionNum":0,"RegionCategory":null,"ArticlePicture":[],"TitleCN":null,"AbstractTextCN":null,"PMCID":null,"EPubDate":"2024/7/1 0:00:00","PubModel":"eCollection","JCR":"Q3","JCRName":"VETERINARY SCIENCES","Score":null,"Total":0}
引用次数: 0

摘要

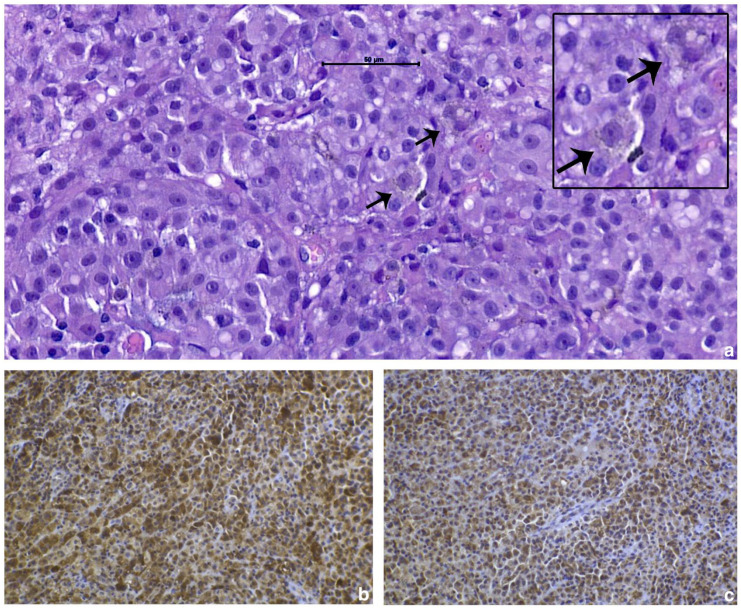
病例摘要:一只 11 岁的阉割雄性短毛猫因长期反胃和体重减轻而就诊。尽管体重减轻已有 2 个月的历史,但反胃症状在 4 周内加剧,每次进食都会发生反胃,即使进食半流质食物也是如此。体格检查显示患者消瘦、脱水,胸部放射线检查发现中纵隔有一局灶性椭圆形肿块。食管镜检查发现,一个 6 厘米长的新生畸形几乎完全阻塞了食管腔。经过活检和组织病理学检查,黑色素瘤三联鸡尾酒和 PNL-2 免疫组化呈阳性,诊断为黑色素细胞瘤。采用氩等离子凝固术(APC)进行了姑息性剥离,显著改善了猫咪两个月的生活质量。该猫在确诊后存活了 107 天:本病例报告首次报道了猫食道粘膜黑色素细胞瘤。在猫科动物中,眼睛以外的黑色素瘤极为罕见,而食道肿瘤在兽医学中也极为罕见,尤其是黑色素瘤。诊断依据的是与以往研究一致的阳性免疫组化标记。使用 APC 治疗是一种新颖的、潜在的缓解方法,可成功缓解反流 3 个月。这凸显了 APC 在猫食道肿瘤姑息治疗中的潜力,值得在更广泛的猫群中进行进一步研究,以确认其疗效。总之,本报告为猫食道黑色素瘤的诊断和治疗提供了宝贵的见解。
本文章由计算机程序翻译,如有差异,请以英文原文为准。

First description of oesophageal melanoma in a cat and palliative treatment by endoscopic argon plasma coagulation laser.

First description of oesophageal melanoma in a cat and palliative treatment by endoscopic argon plasma coagulation laser.

First description of oesophageal melanoma in a cat and palliative treatment by endoscopic argon plasma coagulation laser.

First description of oesophageal melanoma in a cat and palliative treatment by endoscopic argon plasma coagulation laser.

Case summary: An 11-year-old castrated male domestic shorthair cat presented with chronic regurgitation and weight loss. Despite a 2-month history of weight loss, regurgitation intensified over 4 weeks, occurring with every food intake, even on a semi-liquid diet. Physical examination revealed thinness and dehydration, and a focal oval mass was noted in the middle mediastinum on thoracic radiography. Oesophagoscopy identified a 6 cm neoformation almost completely obstructing the oesophageal lumen. Biopsies were taken and histopathology, positivity to melanoma triple cocktail and PNL-2 by immunohistochemistry led to the diagnosis of melanocytic neoplasm. Palliative debulking with argon plasma coagulation (APC) was performed, significantly improving the cat's quality of life for 2 months. The cat survived for 107 days after diagnosis.

Relevance and novel information: This case report describes the first report of melanocytic neoplasia originating from the oesophageal mucosa in a cat. In cats, melanomas outside the eyes are exceedingly rare and oesophageal neoplasms are exceptionally rare in veterinary medicine, particularly melanomas. The diagnosis relied on positive immunohistochemistry markers aligning with previous research. Treatment with APC emerged as a novel, potentially palliative approach, successfully alleviating regurgitation for 3 months. This underscores APC's potential in feline oesophageal neoplasia palliative care, which deserves further investigation in a broader feline cohort to confirm its efficacy. Overall, this report provides valuable insights into the diagnosis and treatment of oesophageal melanoma in cats.

求助全文
通过发布文献求助,成功后即可免费获取论文全文。 去求助
来源期刊
CiteScore
1.30
自引率
14.30%
发文量
57
审稿时长
15 weeks
×
引用
GB/T 7714-2015
复制
MLA
复制
APA
复制
导出至
BibTeX EndNote RefMan NoteFirst NoteExpress
×
提示
您的信息不完整,为了账户安全,请先补充。
现在去补充
×
提示
您因"违规操作"
具体请查看互助需知
我知道了
×
提示
确定
请完成安全验证×
copy
已复制链接
快去分享给好友吧!
我知道了
右上角分享
点击右上角分享
0
联系我们:info@booksci.cn Book学术提供免费学术资源搜索服务,方便国内外学者检索中英文文献。致力于提供最便捷和优质的服务体验。 Copyright © 2023 布克学术 All rights reserved.
京ICP备2023020795号-1
ghs 京公网安备 11010802042870号
Book学术文献互助
Book学术文献互助群
群 号:604180095
Book学术官方微信