成像技术对胆石性胰腺炎评估的影响。

Current health sciences journal Pub Date : 2024-04-01 Epub Date: 2024-06-30 DOI:10.12865/CHSJ.50.02.04
Suzana Măceș, Ștefan Pătrașcu, Cristiana Iulia Dumitrescu, Marian Răzvan Bălan, Luana Corina Lascu, Adriana Roxana Lazarovici, Tudor Constantin Bratiloveanu, Sarmis Marian Săndulescu, Silviu Iulian Bordu, Mădălin Cristian Moraru, Marin Valeriu Șurlin, Daniela Dumitrescu
{"title":"成像技术对胆石性胰腺炎评估的影响。","authors":"Suzana Măceș, Ștefan Pătrașcu, Cristiana Iulia Dumitrescu, Marian Răzvan Bălan, Luana Corina Lascu, Adriana Roxana Lazarovici, Tudor Constantin Bratiloveanu, Sarmis Marian Săndulescu, Silviu Iulian Bordu, Mădălin Cristian Moraru, Marin Valeriu Șurlin, Daniela Dumitrescu","doi":"10.12865/CHSJ.50.02.04","DOIUrl":null,"url":null,"abstract":"<p><p>From the category of biliary disease, gallstones registered an increase during the last years, approximately 6% of men and 9% of women being affected by the pathology in the United States only. In western countries between 10-20% of the adult population is suffering from cholelithiasis. Although increasing age is a major risk factor for their formation, late studies correlate gallstones appearance with an age decrease for the onset of symptoms. We therefore face a younger population manifesting pain and sometimes functional disability. In accordance with statistical analysis, the economic impact of gallstones in highly industrialized countries such as United States produces costs of up to 6.5 billion dollars annually. In this context, the appropriate timing for intervention becomes a factor of major interest. The present review uses 28 articles and specialized literature. Article selection was based on keywords and followed the effectiveness of imaging investigation such as ultrasound, CT and MRI for patients diagnosed with cholelithiasis. Since a direct comparison between the imaging investigation techniques is not concluding we have tried to establish the sensitivity and specificity offered by each imaging assessment. The comparative analysis revealed a p Kruskal-Wallis <0.001 for sensitivity and p Kruskal-Wallis=0.474 for specificity.</p>","PeriodicalId":93963,"journal":{"name":"Current health sciences journal","volume":"50 2","pages":"198-206"},"PeriodicalIF":0.0000,"publicationDate":"2024-04-01","publicationTypes":"Journal Article","fieldsOfStudy":null,"isOpenAccess":false,"openAccessPdf":"https://www.ncbi.nlm.nih.gov/pmc/articles/PMC11447498/pdf/","citationCount":"0","resultStr":"{\"title\":\"Impact of Imaging Techniques in the Assessment of Gallstone Pancreatitis.\",\"authors\":\"Suzana Măceș, Ștefan Pătrașcu, Cristiana Iulia Dumitrescu, Marian Răzvan Bălan, Luana Corina Lascu, Adriana Roxana Lazarovici, Tudor Constantin Bratiloveanu, Sarmis Marian Săndulescu, Silviu Iulian Bordu, Mădălin Cristian Moraru, Marin Valeriu Șurlin, Daniela Dumitrescu\",\"doi\":\"10.12865/CHSJ.50.02.04\",\"DOIUrl\":null,\"url\":null,\"abstract\":\"<p><p>From the category of biliary disease, gallstones registered an increase during the last years, approximately 6% of men and 9% of women being affected by the pathology in the United States only. In western countries between 10-20% of the adult population is suffering from cholelithiasis. Although increasing age is a major risk factor for their formation, late studies correlate gallstones appearance with an age decrease for the onset of symptoms. We therefore face a younger population manifesting pain and sometimes functional disability. In accordance with statistical analysis, the economic impact of gallstones in highly industrialized countries such as United States produces costs of up to 6.5 billion dollars annually. In this context, the appropriate timing for intervention becomes a factor of major interest. The present review uses 28 articles and specialized literature. Article selection was based on keywords and followed the effectiveness of imaging investigation such as ultrasound, CT and MRI for patients diagnosed with cholelithiasis. Since a direct comparison between the imaging investigation techniques is not concluding we have tried to establish the sensitivity and specificity offered by each imaging assessment. The comparative analysis revealed a p Kruskal-Wallis <0.001 for sensitivity and p Kruskal-Wallis=0.474 for specificity.</p>\",\"PeriodicalId\":93963,\"journal\":{\"name\":\"Current health sciences journal\",\"volume\":\"50 2\",\"pages\":\"198-206\"},\"PeriodicalIF\":0.0000,\"publicationDate\":\"2024-04-01\",\"publicationTypes\":\"Journal Article\",\"fieldsOfStudy\":null,\"isOpenAccess\":false,\"openAccessPdf\":\"https://www.ncbi.nlm.nih.gov/pmc/articles/PMC11447498/pdf/\",\"citationCount\":\"0\",\"resultStr\":null,\"platform\":\"Semanticscholar\",\"paperid\":null,\"PeriodicalName\":\"Current health sciences journal\",\"FirstCategoryId\":\"1085\",\"ListUrlMain\":\"https://doi.org/10.12865/CHSJ.50.02.04\",\"RegionNum\":0,\"RegionCategory\":null,\"ArticlePicture\":[],\"TitleCN\":null,\"AbstractTextCN\":null,\"PMCID\":null,\"EPubDate\":\"2024/6/30 0:00:00\",\"PubModel\":\"Epub\",\"JCR\":\"\",\"JCRName\":\"\",\"Score\":null,\"Total\":0}","platform":"Semanticscholar","paperid":null,"PeriodicalName":"Current health sciences journal","FirstCategoryId":"1085","ListUrlMain":"https://doi.org/10.12865/CHSJ.50.02.04","RegionNum":0,"RegionCategory":null,"ArticlePicture":[],"TitleCN":null,"AbstractTextCN":null,"PMCID":null,"EPubDate":"2024/6/30 0:00:00","PubModel":"Epub","JCR":"","JCRName":"","Score":null,"Total":0}
引用次数: 0

摘要

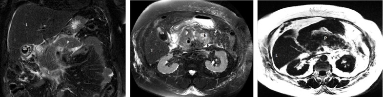
在胆道疾病中,胆结石的发病率在最近几年有所上升,仅在美国,就有约 6% 的男性和 9% 的女性患有胆结石。在西方国家,10%-20% 的成年人患有胆石症。虽然年龄的增长是胆结石形成的一个主要风险因素,但晚近的研究表明,胆结石的出现与症状出现的年龄下降有关。因此,我们面对的是一个表现为疼痛,有时还伴有功能障碍的年轻群体。根据统计分析,胆结石对美国等高度工业化国家的经济影响每年高达 65 亿美元。在这种情况下,适当的干预时机就成为一个重要的关注因素。本综述使用了 28 篇文章和专业文献。文章的选择以关键词为基础,关注超声波、CT 和核磁共振成像等影像学检查对胆石症患者诊断的有效性。由于无法对影像学检查技术进行直接比较,我们尝试确定每种影像学评估的敏感性和特异性。比较分析表明,P Kruskal-Wallis
本文章由计算机程序翻译,如有差异,请以英文原文为准。

Impact of Imaging Techniques in the Assessment of Gallstone Pancreatitis.

Impact of Imaging Techniques in the Assessment of Gallstone Pancreatitis.

Impact of Imaging Techniques in the Assessment of Gallstone Pancreatitis.

Impact of Imaging Techniques in the Assessment of Gallstone Pancreatitis.

From the category of biliary disease, gallstones registered an increase during the last years, approximately 6% of men and 9% of women being affected by the pathology in the United States only. In western countries between 10-20% of the adult population is suffering from cholelithiasis. Although increasing age is a major risk factor for their formation, late studies correlate gallstones appearance with an age decrease for the onset of symptoms. We therefore face a younger population manifesting pain and sometimes functional disability. In accordance with statistical analysis, the economic impact of gallstones in highly industrialized countries such as United States produces costs of up to 6.5 billion dollars annually. In this context, the appropriate timing for intervention becomes a factor of major interest. The present review uses 28 articles and specialized literature. Article selection was based on keywords and followed the effectiveness of imaging investigation such as ultrasound, CT and MRI for patients diagnosed with cholelithiasis. Since a direct comparison between the imaging investigation techniques is not concluding we have tried to establish the sensitivity and specificity offered by each imaging assessment. The comparative analysis revealed a p Kruskal-Wallis <0.001 for sensitivity and p Kruskal-Wallis=0.474 for specificity.

求助全文
通过发布文献求助,成功后即可免费获取论文全文。 去求助
来源期刊
自引率
0.00%
发文量
0
×
引用
GB/T 7714-2015
复制
MLA
复制
APA
复制
导出至
BibTeX EndNote RefMan NoteFirst NoteExpress
×
提示
您的信息不完整,为了账户安全,请先补充。
现在去补充
×
提示
您因"违规操作"
具体请查看互助需知
我知道了
×
提示
确定
请完成安全验证×
copy
已复制链接
快去分享给好友吧!
我知道了
右上角分享
点击右上角分享
0
联系我们:info@booksci.cn Book学术提供免费学术资源搜索服务,方便国内外学者检索中英文文献。致力于提供最便捷和优质的服务体验。 Copyright © 2023 布克学术 All rights reserved.
京ICP备2023020795号-1
ghs 京公网安备 11010802042870号
Book学术文献互助
Book学术文献互助群
群 号:604180095
Book学术官方微信