下唇胆固醇肉芽肿:罕见病例报告

Sorena Fardisi, Sara Amanpour
{"title":"下唇胆固醇肉芽肿:罕见病例报告","authors":"Sorena Fardisi, Sara Amanpour","doi":"10.30476/dentjods.2024.100683.2242","DOIUrl":null,"url":null,"abstract":"<p><p>Cholesterol granuloma is the result of foreign body type response to the deposition of cholesterol crystals in the tissues. It is usually associated with chronic middle ear diseases and the middle ear and mastoid antrum are the most common location for this lesion. Histopathological findings are accumulation of cholesterol clefts, ghost cells, chronic inflammatory cells, and giant cells in a fibrous granulation tissue. Cases of cholesterol granuloma have been recently reported in the jaws but still they are few in the literature of dentistry. This article presents a unique case of cholesterol granuloma occurring in the lower lip secondary to a history of trauma.</p>","PeriodicalId":73702,"journal":{"name":"Journal of dentistry (Shiraz, Iran)","volume":"25 3","pages":"275-277"},"PeriodicalIF":0.0000,"publicationDate":"2024-09-01","publicationTypes":"Journal Article","fieldsOfStudy":null,"isOpenAccess":false,"openAccessPdf":"https://www.ncbi.nlm.nih.gov/pmc/articles/PMC11452604/pdf/","citationCount":"0","resultStr":"{\"title\":\"Cholesterol Granuloma of the Lower Lip: Report of a Rare Case.\",\"authors\":\"Sorena Fardisi, Sara Amanpour\",\"doi\":\"10.30476/dentjods.2024.100683.2242\",\"DOIUrl\":null,\"url\":null,\"abstract\":\"<p><p>Cholesterol granuloma is the result of foreign body type response to the deposition of cholesterol crystals in the tissues. It is usually associated with chronic middle ear diseases and the middle ear and mastoid antrum are the most common location for this lesion. Histopathological findings are accumulation of cholesterol clefts, ghost cells, chronic inflammatory cells, and giant cells in a fibrous granulation tissue. Cases of cholesterol granuloma have been recently reported in the jaws but still they are few in the literature of dentistry. This article presents a unique case of cholesterol granuloma occurring in the lower lip secondary to a history of trauma.</p>\",\"PeriodicalId\":73702,\"journal\":{\"name\":\"Journal of dentistry (Shiraz, Iran)\",\"volume\":\"25 3\",\"pages\":\"275-277\"},\"PeriodicalIF\":0.0000,\"publicationDate\":\"2024-09-01\",\"publicationTypes\":\"Journal Article\",\"fieldsOfStudy\":null,\"isOpenAccess\":false,\"openAccessPdf\":\"https://www.ncbi.nlm.nih.gov/pmc/articles/PMC11452604/pdf/\",\"citationCount\":\"0\",\"resultStr\":null,\"platform\":\"Semanticscholar\",\"paperid\":null,\"PeriodicalName\":\"Journal of dentistry (Shiraz, Iran)\",\"FirstCategoryId\":\"1085\",\"ListUrlMain\":\"https://doi.org/10.30476/dentjods.2024.100683.2242\",\"RegionNum\":0,\"RegionCategory\":null,\"ArticlePicture\":[],\"TitleCN\":null,\"AbstractTextCN\":null,\"PMCID\":null,\"EPubDate\":\"\",\"PubModel\":\"\",\"JCR\":\"\",\"JCRName\":\"\",\"Score\":null,\"Total\":0}","platform":"Semanticscholar","paperid":null,"PeriodicalName":"Journal of dentistry (Shiraz, Iran)","FirstCategoryId":"1085","ListUrlMain":"https://doi.org/10.30476/dentjods.2024.100683.2242","RegionNum":0,"RegionCategory":null,"ArticlePicture":[],"TitleCN":null,"AbstractTextCN":null,"PMCID":null,"EPubDate":"","PubModel":"","JCR":"","JCRName":"","Score":null,"Total":0}
引用次数: 0

摘要

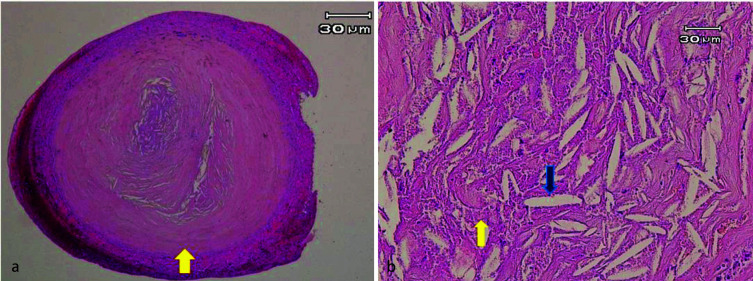
胆固醇肉芽肿是组织中胆固醇结晶沉积引起的异物反应。它通常与慢性中耳疾病有关,中耳和乳突窦是这种病变最常见的部位。组织病理学检查结果是胆固醇裂隙、鬼细胞、慢性炎症细胞和巨细胞在纤维肉芽组织中堆积。最近也有关于颌骨胆固醇肉芽肿的病例报道,但在牙科文献中仍然很少见。本文介绍了一例因外伤史继发于下唇的胆固醇肉芽肿病例。
本文章由计算机程序翻译,如有差异,请以英文原文为准。

Cholesterol Granuloma of the Lower Lip: Report of a Rare Case.

Cholesterol Granuloma of the Lower Lip: Report of a Rare Case.

Cholesterol granuloma is the result of foreign body type response to the deposition of cholesterol crystals in the tissues. It is usually associated with chronic middle ear diseases and the middle ear and mastoid antrum are the most common location for this lesion. Histopathological findings are accumulation of cholesterol clefts, ghost cells, chronic inflammatory cells, and giant cells in a fibrous granulation tissue. Cases of cholesterol granuloma have been recently reported in the jaws but still they are few in the literature of dentistry. This article presents a unique case of cholesterol granuloma occurring in the lower lip secondary to a history of trauma.

求助全文
通过发布文献求助,成功后即可免费获取论文全文。 去求助
来源期刊
CiteScore
0.50
自引率
0.00%
发文量
0
×
引用
GB/T 7714-2015
复制
MLA
复制
APA
复制
导出至
BibTeX EndNote RefMan NoteFirst NoteExpress
×
提示
您的信息不完整,为了账户安全,请先补充。
现在去补充
×
提示
您因"违规操作"
具体请查看互助需知
我知道了
×
提示
确定
请完成安全验证×
copy
已复制链接
快去分享给好友吧!
我知道了
右上角分享
点击右上角分享
0
联系我们:info@booksci.cn Book学术提供免费学术资源搜索服务,方便国内外学者检索中英文文献。致力于提供最便捷和优质的服务体验。 Copyright © 2023 布克学术 All rights reserved.
京ICP备2023020795号-1
ghs 京公网安备 11010802042870号
Book学术文献互助
Book学术文献互助群
群 号:604180095
Book学术官方微信