与博维射频消融术和冷冻消融术不同,纳米脉冲刺激疗法能引发皮肤细胞有序死亡。

IF 1.1 Q4 BIOCHEMISTRY & MOLECULAR BIOLOGY
Bioelectricity Pub Date : 2024-05-23 eCollection Date: 2024-09-01 DOI:10.1089/bioe.2024.0008
Richard Nuccitelli, Michelle Martinez, David Kaufman, Darius Mehregan, Lauren Johnston, William A Knape
{"title":"与博维射频消融术和冷冻消融术不同,纳米脉冲刺激疗法能引发皮肤细胞有序死亡。","authors":"Richard Nuccitelli, Michelle Martinez, David Kaufman, Darius Mehregan, Lauren Johnston, William A Knape","doi":"10.1089/bioe.2024.0008","DOIUrl":null,"url":null,"abstract":"<p><strong>Background: </strong>This study describes a unique new bioelectric approach for clearing skin lesions and illustrates the clinical and histological differences between this new method and the standards of cryoablation and Bovie<sup>®</sup> radiofrequency ablation (RFA).</p><p><strong>Objectives: </strong>To determine the advantage of stimulating regulated cell death with nanosecond pulsed electric fields over the necrosis response elicited by thermal ablation modalities.</p><p><strong>Methods: </strong>Human abdominal skin was treated with cryoablation, Bovie<sup>®</sup> RFA, and nano-pulse stimulation (NPS) therapy four times before an abdominoplasty procedure was performed to collect skin for histology. The clinical appearance and corresponding histology of each treatment were documented over time and compared.</p><p><strong>Results: </strong>NPS therapy triggered regulated cell death as indicated by the appearance of activated Caspase-3 at 2 h post treatment and the absence of nuclear staining 1 day post treatment. Epidermal regeneration follows without impacting the noncellular dermis in contrast to cryoablation and Bovie<sup>®</sup> RFA which trigger necrosis and often cause scarring, inflammation, or permanent pigmentary changes. The main differences between NPS therapy and other ablation modalities are the level of fibrosis, amount of scarring, elastic fiber concentration, and inflammation. An analysis of the skin thickness 30 days after the treatment indicates that NPS-treated skin is the most similar to untreated skin but cryoablated and RF-ablated skin were 2- and 3.5-fold thicker, respectively, suggesting that they initiate necrosis rather than regulated cell death.</p><p><strong>Conclusions: </strong>We conclude that NPS therapy is a unique nonthermal modality that may be applied for clearing benign skin lesions by initiating the skin's own programmed cell death pathway instead of necrosis as used by cryoablation and Bovie<sup>®</sup> RFA.</p>","PeriodicalId":29923,"journal":{"name":"Bioelectricity","volume":"6 3","pages":"167-173"},"PeriodicalIF":1.1000,"publicationDate":"2024-05-23","publicationTypes":"Journal Article","fieldsOfStudy":null,"isOpenAccess":false,"openAccessPdf":"https://www.ncbi.nlm.nih.gov/pmc/articles/PMC11447482/pdf/","citationCount":"0","resultStr":"{\"title\":\"Nano-Pulse Stimulation Therapy Initiates Regulated Cell Death in Skin, Unlike Bovie Radiofrequency Ablation and Cryoablation.\",\"authors\":\"Richard Nuccitelli, Michelle Martinez, David Kaufman, Darius Mehregan, Lauren Johnston, William A Knape\",\"doi\":\"10.1089/bioe.2024.0008\",\"DOIUrl\":null,\"url\":null,\"abstract\":\"<p><strong>Background: </strong>This study describes a unique new bioelectric approach for clearing skin lesions and illustrates the clinical and histological differences between this new method and the standards of cryoablation and Bovie<sup>®</sup> radiofrequency ablation (RFA).</p><p><strong>Objectives: </strong>To determine the advantage of stimulating regulated cell death with nanosecond pulsed electric fields over the necrosis response elicited by thermal ablation modalities.</p><p><strong>Methods: </strong>Human abdominal skin was treated with cryoablation, Bovie<sup>®</sup> RFA, and nano-pulse stimulation (NPS) therapy four times before an abdominoplasty procedure was performed to collect skin for histology. The clinical appearance and corresponding histology of each treatment were documented over time and compared.</p><p><strong>Results: </strong>NPS therapy triggered regulated cell death as indicated by the appearance of activated Caspase-3 at 2 h post treatment and the absence of nuclear staining 1 day post treatment. Epidermal regeneration follows without impacting the noncellular dermis in contrast to cryoablation and Bovie<sup>®</sup> RFA which trigger necrosis and often cause scarring, inflammation, or permanent pigmentary changes. The main differences between NPS therapy and other ablation modalities are the level of fibrosis, amount of scarring, elastic fiber concentration, and inflammation. An analysis of the skin thickness 30 days after the treatment indicates that NPS-treated skin is the most similar to untreated skin but cryoablated and RF-ablated skin were 2- and 3.5-fold thicker, respectively, suggesting that they initiate necrosis rather than regulated cell death.</p><p><strong>Conclusions: </strong>We conclude that NPS therapy is a unique nonthermal modality that may be applied for clearing benign skin lesions by initiating the skin's own programmed cell death pathway instead of necrosis as used by cryoablation and Bovie<sup>®</sup> RFA.</p>\",\"PeriodicalId\":29923,\"journal\":{\"name\":\"Bioelectricity\",\"volume\":\"6 3\",\"pages\":\"167-173\"},\"PeriodicalIF\":1.1000,\"publicationDate\":\"2024-05-23\",\"publicationTypes\":\"Journal Article\",\"fieldsOfStudy\":null,\"isOpenAccess\":false,\"openAccessPdf\":\"https://www.ncbi.nlm.nih.gov/pmc/articles/PMC11447482/pdf/\",\"citationCount\":\"0\",\"resultStr\":null,\"platform\":\"Semanticscholar\",\"paperid\":null,\"PeriodicalName\":\"Bioelectricity\",\"FirstCategoryId\":\"1085\",\"ListUrlMain\":\"https://doi.org/10.1089/bioe.2024.0008\",\"RegionNum\":0,\"RegionCategory\":null,\"ArticlePicture\":[],\"TitleCN\":null,\"AbstractTextCN\":null,\"PMCID\":null,\"EPubDate\":\"2024/9/1 0:00:00\",\"PubModel\":\"eCollection\",\"JCR\":\"Q4\",\"JCRName\":\"BIOCHEMISTRY & MOLECULAR BIOLOGY\",\"Score\":null,\"Total\":0}","platform":"Semanticscholar","paperid":null,"PeriodicalName":"Bioelectricity","FirstCategoryId":"1085","ListUrlMain":"https://doi.org/10.1089/bioe.2024.0008","RegionNum":0,"RegionCategory":null,"ArticlePicture":[],"TitleCN":null,"AbstractTextCN":null,"PMCID":null,"EPubDate":"2024/9/1 0:00:00","PubModel":"eCollection","JCR":"Q4","JCRName":"BIOCHEMISTRY & MOLECULAR BIOLOGY","Score":null,"Total":0}
引用次数: 0

摘要

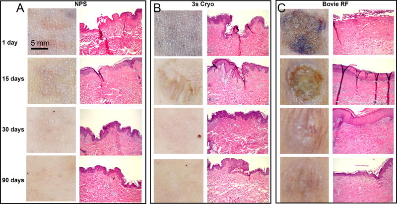
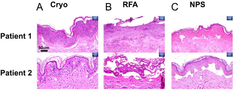
背景:本研究描述了一种清除皮肤病变的独特生物电新方法,并说明了这种新方法与冷冻消融和博维®射频消融(RFA)标准之间的临床和组织学差异:方法:对人体腹部皮肤进行四次冷冻消融、Bovie® 射频消融和纳米脉冲刺激(NPS)治疗,然后进行腹部整形手术,收集皮肤进行组织学检查。每次治疗的临床表现和相应的组织学结果都被记录下来并进行比较:结果:NPS疗法引发了调节性细胞死亡,表现为治疗后2小时出现活化的Caspase-3,治疗后1天无核染色。表皮再生不会影响非细胞真皮层,而冷冻消融和 Bovie® RFA 则会引发细胞坏死,通常会造成疤痕、炎症或永久性色素变化。NPS 疗法与其他消融方式的主要区别在于纤维化程度、瘢痕数量、弹性纤维浓度和炎症。对治疗后 30 天皮肤厚度的分析表明,NPS 治疗后的皮肤与未治疗的皮肤最为相似,但冷冻消融和射频消融的皮肤厚度分别是未治疗皮肤的 2 倍和 3.5 倍,这表明它们启动的是坏死,而不是调节性细胞死亡:我们得出的结论是,NPS疗法是一种独特的非热疗方式,可用于清除良性皮肤病变,它启动了皮肤自身的程序性细胞死亡途径,而不是冷冻消融和博维®射频消融所使用的坏死途径。
本文章由计算机程序翻译,如有差异,请以英文原文为准。

Nano-Pulse Stimulation Therapy Initiates Regulated Cell Death in Skin, Unlike Bovie Radiofrequency Ablation and Cryoablation.

Nano-Pulse Stimulation Therapy Initiates Regulated Cell Death in Skin, Unlike Bovie Radiofrequency Ablation and Cryoablation.

Nano-Pulse Stimulation Therapy Initiates Regulated Cell Death in Skin, Unlike Bovie Radiofrequency Ablation and Cryoablation.

Nano-Pulse Stimulation Therapy Initiates Regulated Cell Death in Skin, Unlike Bovie Radiofrequency Ablation and Cryoablation.

Background: This study describes a unique new bioelectric approach for clearing skin lesions and illustrates the clinical and histological differences between this new method and the standards of cryoablation and Bovie® radiofrequency ablation (RFA).

Objectives: To determine the advantage of stimulating regulated cell death with nanosecond pulsed electric fields over the necrosis response elicited by thermal ablation modalities.

Methods: Human abdominal skin was treated with cryoablation, Bovie® RFA, and nano-pulse stimulation (NPS) therapy four times before an abdominoplasty procedure was performed to collect skin for histology. The clinical appearance and corresponding histology of each treatment were documented over time and compared.

Results: NPS therapy triggered regulated cell death as indicated by the appearance of activated Caspase-3 at 2 h post treatment and the absence of nuclear staining 1 day post treatment. Epidermal regeneration follows without impacting the noncellular dermis in contrast to cryoablation and Bovie® RFA which trigger necrosis and often cause scarring, inflammation, or permanent pigmentary changes. The main differences between NPS therapy and other ablation modalities are the level of fibrosis, amount of scarring, elastic fiber concentration, and inflammation. An analysis of the skin thickness 30 days after the treatment indicates that NPS-treated skin is the most similar to untreated skin but cryoablated and RF-ablated skin were 2- and 3.5-fold thicker, respectively, suggesting that they initiate necrosis rather than regulated cell death.

Conclusions: We conclude that NPS therapy is a unique nonthermal modality that may be applied for clearing benign skin lesions by initiating the skin's own programmed cell death pathway instead of necrosis as used by cryoablation and Bovie® RFA.

求助全文
通过发布文献求助,成功后即可免费获取论文全文。 去求助
来源期刊
Bioelectricity
Bioelectricity Multiple-
CiteScore
3.40
自引率
4.30%
发文量
33
×
引用
GB/T 7714-2015
复制
MLA
复制
APA
复制
导出至
BibTeX EndNote RefMan NoteFirst NoteExpress
×
提示
您的信息不完整,为了账户安全,请先补充。
现在去补充
×
提示
您因"违规操作"
具体请查看互助需知
我知道了
×
提示
确定
请完成安全验证×
copy
已复制链接
快去分享给好友吧!
我知道了
右上角分享
点击右上角分享
0
联系我们:info@booksci.cn Book学术提供免费学术资源搜索服务,方便国内外学者检索中英文文献。致力于提供最便捷和优质的服务体验。 Copyright © 2023 布克学术 All rights reserved.
京ICP备2023020795号-1
ghs 京公网安备 11010802042870号
Book学术文献互助
Book学术文献互助群
群 号:604180095
Book学术官方微信