面关节化脓性关节炎:病例回顾

IF 1.3 Q3 RADIOLOGY, NUCLEAR MEDICINE & MEDICAL IMAGING
Journal of Clinical Imaging Science Pub Date : 2024-09-12 eCollection Date: 2024-01-01 DOI:10.25259/JCIS_64_2024
Kin Man Sin, Yung Kong Wong, Brian Wai Him Fung, Angela On Chee Li, Wing Ho Chong, Kai Yan Kwok
{"title":"面关节化脓性关节炎:病例回顾","authors":"Kin Man Sin, Yung Kong Wong, Brian Wai Him Fung, Angela On Chee Li, Wing Ho Chong, Kai Yan Kwok","doi":"10.25259/JCIS_64_2024","DOIUrl":null,"url":null,"abstract":"<p><p>Facet joint septic arthritis is a rare; yet, severe spinal infection often misdiagnosed due to its non-specific clinical presentation and radiological mimickers. This case series illustrates various clinical presentations, imaging features, and outcomes of patients with facet joint septic arthritis. We demonstrate different disease stages to aid clinicians and radiologists in recognizing this condition. Key diagnostic pitfalls are also discussed to enhance diagnostic accuracy in clinical practice.</p>","PeriodicalId":15512,"journal":{"name":"Journal of Clinical Imaging Science","volume":"14 ","pages":"34"},"PeriodicalIF":1.3000,"publicationDate":"2024-09-12","publicationTypes":"Journal Article","fieldsOfStudy":null,"isOpenAccess":false,"openAccessPdf":"https://www.ncbi.nlm.nih.gov/pmc/articles/PMC11450493/pdf/","citationCount":"0","resultStr":"{\"title\":\"Facet joint septic arthritis: A review of cases.\",\"authors\":\"Kin Man Sin, Yung Kong Wong, Brian Wai Him Fung, Angela On Chee Li, Wing Ho Chong, Kai Yan Kwok\",\"doi\":\"10.25259/JCIS_64_2024\",\"DOIUrl\":null,\"url\":null,\"abstract\":\"<p><p>Facet joint septic arthritis is a rare; yet, severe spinal infection often misdiagnosed due to its non-specific clinical presentation and radiological mimickers. This case series illustrates various clinical presentations, imaging features, and outcomes of patients with facet joint septic arthritis. We demonstrate different disease stages to aid clinicians and radiologists in recognizing this condition. Key diagnostic pitfalls are also discussed to enhance diagnostic accuracy in clinical practice.</p>\",\"PeriodicalId\":15512,\"journal\":{\"name\":\"Journal of Clinical Imaging Science\",\"volume\":\"14 \",\"pages\":\"34\"},\"PeriodicalIF\":1.3000,\"publicationDate\":\"2024-09-12\",\"publicationTypes\":\"Journal Article\",\"fieldsOfStudy\":null,\"isOpenAccess\":false,\"openAccessPdf\":\"https://www.ncbi.nlm.nih.gov/pmc/articles/PMC11450493/pdf/\",\"citationCount\":\"0\",\"resultStr\":null,\"platform\":\"Semanticscholar\",\"paperid\":null,\"PeriodicalName\":\"Journal of Clinical Imaging Science\",\"FirstCategoryId\":\"1085\",\"ListUrlMain\":\"https://doi.org/10.25259/JCIS_64_2024\",\"RegionNum\":0,\"RegionCategory\":null,\"ArticlePicture\":[],\"TitleCN\":null,\"AbstractTextCN\":null,\"PMCID\":null,\"EPubDate\":\"2024/1/1 0:00:00\",\"PubModel\":\"eCollection\",\"JCR\":\"Q3\",\"JCRName\":\"RADIOLOGY, NUCLEAR MEDICINE & MEDICAL IMAGING\",\"Score\":null,\"Total\":0}","platform":"Semanticscholar","paperid":null,"PeriodicalName":"Journal of Clinical Imaging Science","FirstCategoryId":"1085","ListUrlMain":"https://doi.org/10.25259/JCIS_64_2024","RegionNum":0,"RegionCategory":null,"ArticlePicture":[],"TitleCN":null,"AbstractTextCN":null,"PMCID":null,"EPubDate":"2024/1/1 0:00:00","PubModel":"eCollection","JCR":"Q3","JCRName":"RADIOLOGY, NUCLEAR MEDICINE & MEDICAL IMAGING","Score":null,"Total":0}
引用次数: 0

摘要

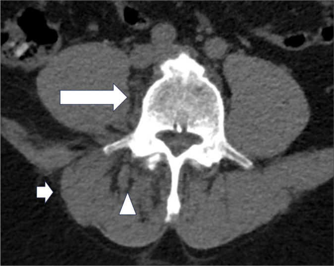
面关节化脓性关节炎是一种罕见的严重脊柱感染,但由于其临床表现和影像学表现不特异,常常被误诊。本系列病例展示了面关节化脓性关节炎患者的各种临床表现、影像学特征和预后。我们展示了不同的疾病分期,以帮助临床医生和放射科医生识别这种疾病。同时还讨论了关键的诊断误区,以提高临床实践中诊断的准确性。
本文章由计算机程序翻译,如有差异,请以英文原文为准。

Facet joint septic arthritis: A review of cases.

Facet joint septic arthritis: A review of cases.

Facet joint septic arthritis: A review of cases.

Facet joint septic arthritis: A review of cases.

Facet joint septic arthritis is a rare; yet, severe spinal infection often misdiagnosed due to its non-specific clinical presentation and radiological mimickers. This case series illustrates various clinical presentations, imaging features, and outcomes of patients with facet joint septic arthritis. We demonstrate different disease stages to aid clinicians and radiologists in recognizing this condition. Key diagnostic pitfalls are also discussed to enhance diagnostic accuracy in clinical practice.

求助全文
通过发布文献求助,成功后即可免费获取论文全文。 去求助
来源期刊
Journal of Clinical Imaging Science
Journal of Clinical Imaging Science RADIOLOGY, NUCLEAR MEDICINE & MEDICAL IMAGING-
CiteScore
2.00
自引率
0.00%
发文量
65
期刊介绍: The Journal of Clinical Imaging Science (JCIS) is an open access peer-reviewed journal committed to publishing high-quality articles in the field of Imaging Science. The journal aims to present Imaging Science and relevant clinical information in an understandable and useful format. The journal is owned and published by the Scientific Scholar. Audience Our audience includes Radiologists, Researchers, Clinicians, medical professionals and students. Review process JCIS has a highly rigorous peer-review process that makes sure that manuscripts are scientifically accurate, relevant, novel and important. Authors disclose all conflicts, affiliations and financial associations such that the published content is not biased.
×
引用
GB/T 7714-2015
复制
MLA
复制
APA
复制
导出至
BibTeX EndNote RefMan NoteFirst NoteExpress
×
提示
您的信息不完整,为了账户安全,请先补充。
现在去补充
×
提示
您因"违规操作"
具体请查看互助需知
我知道了
×
提示
确定
请完成安全验证×
copy
已复制链接
快去分享给好友吧!
我知道了
右上角分享
点击右上角分享
0
联系我们:info@booksci.cn Book学术提供免费学术资源搜索服务,方便国内外学者检索中英文文献。致力于提供最便捷和优质的服务体验。 Copyright © 2023 布克学术 All rights reserved.
京ICP备2023020795号-1
ghs 京公网安备 11010802042870号
Book学术文献互助
Book学术文献互助群
群 号:604180095
Book学术官方微信