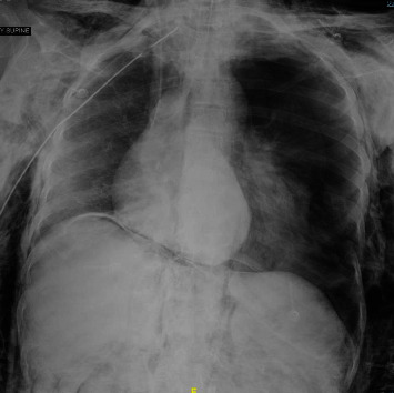
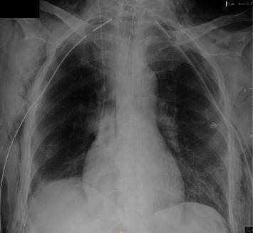
在呼吸暂停测试过程中,气管内充氧与危及生命的气压创伤有关。

IF 0.9 Q4 CLINICAL NEUROLOGY
Case Reports in Neurological Medicine Pub Date : 2024-09-27 eCollection Date: 2024-01-01 DOI:10.1155/2024/9518817
Saud Ali Aljasir, Fahad Abdullah Alshammari, Jehan Abdullah Abdul-Aziz Fatani, Abdalrhman Al Saadon, Abdulaziz H Alzeer
{"title":"在呼吸暂停测试过程中,气管内充氧与危及生命的气压创伤有关。","authors":"Saud Ali Aljasir, Fahad Abdullah Alshammari, Jehan Abdullah Abdul-Aziz Fatani, Abdalrhman Al Saadon, Abdulaziz H Alzeer","doi":"10.1155/2024/9518817","DOIUrl":null,"url":null,"abstract":"<p><p>Apnea testing is a standard method when diagnosing brain or more specifically brainstem death; however, it is imperative to acknowledge the potential for lung injury during this procedure and follow clinical practice guideline recommendations that may reduce the risk of complications. Two cases of barotrauma leading to pneumothorax occurred during apnea tests that used higher-than-recommended oxygen flow rates. Additional data are necessary to clarify the mechanism and incidence of this life-threatening complication.</p>","PeriodicalId":9615,"journal":{"name":"Case Reports in Neurological Medicine","volume":"2024 ","pages":"9518817"},"PeriodicalIF":0.9000,"publicationDate":"2024-09-27","publicationTypes":"Journal Article","fieldsOfStudy":null,"isOpenAccess":false,"openAccessPdf":"https://www.ncbi.nlm.nih.gov/pmc/articles/PMC11452245/pdf/","citationCount":"0","resultStr":"{\"title\":\"Endotracheal Oxygen Insufflation Associated with Life-Threatening Barotrauma during Apnea Testing.\",\"authors\":\"Saud Ali Aljasir, Fahad Abdullah Alshammari, Jehan Abdullah Abdul-Aziz Fatani, Abdalrhman Al Saadon, Abdulaziz H Alzeer\",\"doi\":\"10.1155/2024/9518817\",\"DOIUrl\":null,\"url\":null,\"abstract\":\"<p><p>Apnea testing is a standard method when diagnosing brain or more specifically brainstem death; however, it is imperative to acknowledge the potential for lung injury during this procedure and follow clinical practice guideline recommendations that may reduce the risk of complications. Two cases of barotrauma leading to pneumothorax occurred during apnea tests that used higher-than-recommended oxygen flow rates. Additional data are necessary to clarify the mechanism and incidence of this life-threatening complication.</p>\",\"PeriodicalId\":9615,\"journal\":{\"name\":\"Case Reports in Neurological Medicine\",\"volume\":\"2024 \",\"pages\":\"9518817\"},\"PeriodicalIF\":0.9000,\"publicationDate\":\"2024-09-27\",\"publicationTypes\":\"Journal Article\",\"fieldsOfStudy\":null,\"isOpenAccess\":false,\"openAccessPdf\":\"https://www.ncbi.nlm.nih.gov/pmc/articles/PMC11452245/pdf/\",\"citationCount\":\"0\",\"resultStr\":null,\"platform\":\"Semanticscholar\",\"paperid\":null,\"PeriodicalName\":\"Case Reports in Neurological Medicine\",\"FirstCategoryId\":\"1085\",\"ListUrlMain\":\"https://doi.org/10.1155/2024/9518817\",\"RegionNum\":0,\"RegionCategory\":null,\"ArticlePicture\":[],\"TitleCN\":null,\"AbstractTextCN\":null,\"PMCID\":null,\"EPubDate\":\"2024/1/1 0:00:00\",\"PubModel\":\"eCollection\",\"JCR\":\"Q4\",\"JCRName\":\"CLINICAL NEUROLOGY\",\"Score\":null,\"Total\":0}","platform":"Semanticscholar","paperid":null,"PeriodicalName":"Case Reports in Neurological Medicine","FirstCategoryId":"1085","ListUrlMain":"https://doi.org/10.1155/2024/9518817","RegionNum":0,"RegionCategory":null,"ArticlePicture":[],"TitleCN":null,"AbstractTextCN":null,"PMCID":null,"EPubDate":"2024/1/1 0:00:00","PubModel":"eCollection","JCR":"Q4","JCRName":"CLINICAL NEUROLOGY","Score":null,"Total":0}
引用次数: 0

摘要

呼吸暂停测试是诊断脑死亡或更具体地说是脑干死亡的标准方法;然而,必须认识到在此过程中可能会造成肺损伤,并遵循可降低并发症风险的临床实践指南建议。有两例气压创伤导致气胸的病例是在使用高于建议氧流量的呼吸暂停测试中发生的。需要更多的数据来明确这种危及生命的并发症的机制和发生率。
本文章由计算机程序翻译,如有差异,请以英文原文为准。

Endotracheal Oxygen Insufflation Associated with Life-Threatening Barotrauma during Apnea Testing.

Endotracheal Oxygen Insufflation Associated with Life-Threatening Barotrauma during Apnea Testing.

Endotracheal Oxygen Insufflation Associated with Life-Threatening Barotrauma during Apnea Testing.

Apnea testing is a standard method when diagnosing brain or more specifically brainstem death; however, it is imperative to acknowledge the potential for lung injury during this procedure and follow clinical practice guideline recommendations that may reduce the risk of complications. Two cases of barotrauma leading to pneumothorax occurred during apnea tests that used higher-than-recommended oxygen flow rates. Additional data are necessary to clarify the mechanism and incidence of this life-threatening complication.

求助全文
通过发布文献求助,成功后即可免费获取论文全文。 去求助
来源期刊
自引率
0.00%
发文量
26
审稿时长
11 weeks
×
引用
GB/T 7714-2015
复制
MLA
复制
APA
复制
导出至
BibTeX EndNote RefMan NoteFirst NoteExpress
×
提示
您的信息不完整,为了账户安全,请先补充。
现在去补充
×
提示
您因"违规操作"
具体请查看互助需知
我知道了
×
提示
确定
请完成安全验证×
copy
已复制链接
快去分享给好友吧!
我知道了
右上角分享
点击右上角分享
0
联系我们:info@booksci.cn Book学术提供免费学术资源搜索服务,方便国内外学者检索中英文文献。致力于提供最便捷和优质的服务体验。 Copyright © 2023 布克学术 All rights reserved.
京ICP备2023020795号-1
ghs 京公网安备 11010802042870号
Book学术文献互助
Book学术文献互助群
群 号:604180095
Book学术官方微信