在体外猪膀胱模型中,致病性大肠杆菌会造成严重的尿道损伤,而蔓越莓或 D-甘露糖均无保护作用。

IF 2.7 4区 医学 Q3 IMMUNOLOGY
Jenane Konesan, Kate H Moore, Kylie J Mansfield, Lu Liu
{"title":"在体外猪膀胱模型中,致病性大肠杆菌会造成严重的尿道损伤,而蔓越莓或 D-甘露糖均无保护作用。","authors":"Jenane Konesan, Kate H Moore, Kylie J Mansfield, Lu Liu","doi":"10.1093/femspd/ftae026","DOIUrl":null,"url":null,"abstract":"<p><p>Urinary tract infections (UTIs), primarily caused by uropathogenic Escherichia coli (UPEC), have an unclear impact on bladder mucosal physiology. This study investigates UPEC's effects on the urothelium and lamina propria using an ex vivo porcine bladder model. Bladder mucosal strips were analysed for contractile responses to acetylcholine, serotonin, and neurokinin A. Given rising antibiotic resistance, non-antibiotic agents such as cranberry and d-mannose were also evaluated for their potential to prevent UPEC-induced damage. The findings of the current study revealed that UPEC significantly compromised urothelial integrity, barrier function, and permeability, with loss of urothelial cells, uroplakins, and tight junction protein ZO-1 expression. Additionally, infected bladders exhibited a markedly enhanced contractile response to serotonin compared to uninfected controls. Notably, neither cranberry nor d-mannose offered protection against UPEC-mediated damage or mitigated the heightened serotonin-induced contractility. This study provides novel insights into how UPEC disrupts bladder cell biology and highlights the possible involvement of serotonin in the pathophysiology of UTIs.</p>","PeriodicalId":19795,"journal":{"name":"Pathogens and disease","volume":" ","pages":""},"PeriodicalIF":2.7000,"publicationDate":"2024-02-07","publicationTypes":"Journal Article","fieldsOfStudy":null,"isOpenAccess":false,"openAccessPdf":"https://www.ncbi.nlm.nih.gov/pmc/articles/PMC11879300/pdf/","citationCount":"0","resultStr":"{\"title\":\"Uropathogenic Escherichia coli causes significant urothelial damage in an ex vivo porcine bladder model, with no protective effect observed from cranberry or d-mannose.\",\"authors\":\"Jenane Konesan, Kate H Moore, Kylie J Mansfield, Lu Liu\",\"doi\":\"10.1093/femspd/ftae026\",\"DOIUrl\":null,\"url\":null,\"abstract\":\"<p><p>Urinary tract infections (UTIs), primarily caused by uropathogenic Escherichia coli (UPEC), have an unclear impact on bladder mucosal physiology. This study investigates UPEC's effects on the urothelium and lamina propria using an ex vivo porcine bladder model. Bladder mucosal strips were analysed for contractile responses to acetylcholine, serotonin, and neurokinin A. Given rising antibiotic resistance, non-antibiotic agents such as cranberry and d-mannose were also evaluated for their potential to prevent UPEC-induced damage. The findings of the current study revealed that UPEC significantly compromised urothelial integrity, barrier function, and permeability, with loss of urothelial cells, uroplakins, and tight junction protein ZO-1 expression. Additionally, infected bladders exhibited a markedly enhanced contractile response to serotonin compared to uninfected controls. Notably, neither cranberry nor d-mannose offered protection against UPEC-mediated damage or mitigated the heightened serotonin-induced contractility. This study provides novel insights into how UPEC disrupts bladder cell biology and highlights the possible involvement of serotonin in the pathophysiology of UTIs.</p>\",\"PeriodicalId\":19795,\"journal\":{\"name\":\"Pathogens and disease\",\"volume\":\" \",\"pages\":\"\"},\"PeriodicalIF\":2.7000,\"publicationDate\":\"2024-02-07\",\"publicationTypes\":\"Journal Article\",\"fieldsOfStudy\":null,\"isOpenAccess\":false,\"openAccessPdf\":\"https://www.ncbi.nlm.nih.gov/pmc/articles/PMC11879300/pdf/\",\"citationCount\":\"0\",\"resultStr\":null,\"platform\":\"Semanticscholar\",\"paperid\":null,\"PeriodicalName\":\"Pathogens and disease\",\"FirstCategoryId\":\"3\",\"ListUrlMain\":\"https://doi.org/10.1093/femspd/ftae026\",\"RegionNum\":4,\"RegionCategory\":\"医学\",\"ArticlePicture\":[],\"TitleCN\":null,\"AbstractTextCN\":null,\"PMCID\":null,\"EPubDate\":\"\",\"PubModel\":\"\",\"JCR\":\"Q3\",\"JCRName\":\"IMMUNOLOGY\",\"Score\":null,\"Total\":0}","platform":"Semanticscholar","paperid":null,"PeriodicalName":"Pathogens and disease","FirstCategoryId":"3","ListUrlMain":"https://doi.org/10.1093/femspd/ftae026","RegionNum":4,"RegionCategory":"医学","ArticlePicture":[],"TitleCN":null,"AbstractTextCN":null,"PMCID":null,"EPubDate":"","PubModel":"","JCR":"Q3","JCRName":"IMMUNOLOGY","Score":null,"Total":0}
引用次数: 0

摘要

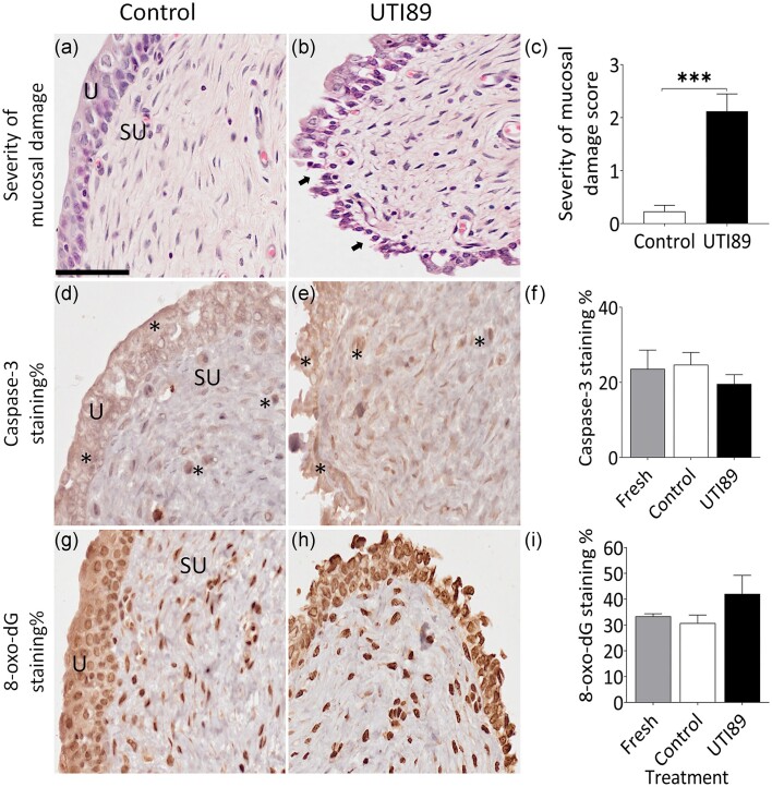
主要由尿路致病性大肠杆菌(UPEC)引起的尿路感染(UTI)对膀胱粘膜生理学的影响尚不明确。本研究利用猪膀胱体外模型研究了 UPEC 对尿路上皮细胞和固有膜的影响。鉴于抗生素耐药性的增加,本研究还评估了蔓越莓和 D-甘露糖等非抗生素制剂预防 UPEC 引起的损伤的潜力。目前的研究结果表明,UPEC 严重损害了尿道的完整性、屏障功能和通透性,导致尿道细胞、尿棘蛋白和紧密连接蛋白 ZO-1 的表达丧失。此外,与未感染的对照组相比,受感染的膀胱对血清素的收缩反应明显增强。值得注意的是,蔓越莓和 D-甘露糖都不能抵御 UPEC 介导的损伤,也不能减轻血清素诱导的收缩力增强。这项研究为了解 UPEC 如何破坏膀胱细胞生物学提供了新的视角,并强调了血清素可能参与UTI的病理生理学。
本文章由计算机程序翻译,如有差异,请以英文原文为准。

Uropathogenic Escherichia coli causes significant urothelial damage in an ex vivo porcine bladder model, with no protective effect observed from cranberry or d-mannose.

Uropathogenic Escherichia coli causes significant urothelial damage in an ex vivo porcine bladder model, with no protective effect observed from cranberry or d-mannose.

Uropathogenic Escherichia coli causes significant urothelial damage in an ex vivo porcine bladder model, with no protective effect observed from cranberry or d-mannose.

Uropathogenic Escherichia coli causes significant urothelial damage in an ex vivo porcine bladder model, with no protective effect observed from cranberry or d-mannose.

Urinary tract infections (UTIs), primarily caused by uropathogenic Escherichia coli (UPEC), have an unclear impact on bladder mucosal physiology. This study investigates UPEC's effects on the urothelium and lamina propria using an ex vivo porcine bladder model. Bladder mucosal strips were analysed for contractile responses to acetylcholine, serotonin, and neurokinin A. Given rising antibiotic resistance, non-antibiotic agents such as cranberry and d-mannose were also evaluated for their potential to prevent UPEC-induced damage. The findings of the current study revealed that UPEC significantly compromised urothelial integrity, barrier function, and permeability, with loss of urothelial cells, uroplakins, and tight junction protein ZO-1 expression. Additionally, infected bladders exhibited a markedly enhanced contractile response to serotonin compared to uninfected controls. Notably, neither cranberry nor d-mannose offered protection against UPEC-mediated damage or mitigated the heightened serotonin-induced contractility. This study provides novel insights into how UPEC disrupts bladder cell biology and highlights the possible involvement of serotonin in the pathophysiology of UTIs.

求助全文
通过发布文献求助,成功后即可免费获取论文全文。 去求助
来源期刊
Pathogens and disease
Pathogens and disease IMMUNOLOGY-INFECTIOUS DISEASES
CiteScore
7.40
自引率
3.00%
发文量
44
期刊介绍: Pathogens and Disease publishes outstanding primary research on hypothesis- and discovery-driven studies on pathogens, host-pathogen interactions, host response to infection and their molecular and cellular correlates. It covers all pathogens – eukaryotes, prokaryotes, and viruses – and includes zoonotic pathogens and experimental translational applications.
×
引用
GB/T 7714-2015
复制
MLA
复制
APA
复制
导出至
BibTeX EndNote RefMan NoteFirst NoteExpress
×
提示
您的信息不完整,为了账户安全,请先补充。
现在去补充
×
提示
您因"违规操作"
具体请查看互助需知
我知道了
×
提示
确定
请完成安全验证×
copy
已复制链接
快去分享给好友吧!
我知道了
右上角分享
点击右上角分享
0
联系我们:info@booksci.cn Book学术提供免费学术资源搜索服务,方便国内外学者检索中英文文献。致力于提供最便捷和优质的服务体验。 Copyright © 2023 布克学术 All rights reserved.
京ICP备2023020795号-1
ghs 京公网安备 11010802042870号
Book学术文献互助
Book学术文献互助群
群 号:604180095
Book学术官方微信