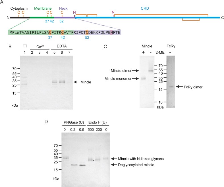
通过颈部的链间二硫键稳定预形成的 mincle 二聚体。

IF 3.3 3区 生物学 Q2 BIOCHEMISTRY & MOLECULAR BIOLOGY
Yu Liu, Kurt Drickamer, Maureen E Taylor
{"title":"通过颈部的链间二硫键稳定预形成的 mincle 二聚体。","authors":"Yu Liu, Kurt Drickamer, Maureen E Taylor","doi":"10.1093/glycob/cwae083","DOIUrl":null,"url":null,"abstract":"<p><p>The sugar-binding receptor mincle stimulates macrophages when it encounters surface glycans on pathogens, such as trehalose dimycolate glycolipid in the outer membrane of mycobacteria. Binding of oligosaccharide ligands to the extracellular C-type carbohydrate-recognition domain (CRD) in mincle initiates intracellular signaling through the common Fc receptor γ (FcRγ) adapter molecule associated with mincle. One potential mechanism for initiation of signaling involves clustering of receptors, so it is important to understand the oligomeric state of mincle. Affinity purification of mincle from transfected mammalian cells has been used to show that mincle exists as a pre-formed, disulfide-linked dimer. Deletion of cysteine residues and chemical crosslinking further demonstrate that the dimers of mincle are stabilized by a disulfide bond between cysteine residues in the neck sequence that links the CRD to the membrane. In contrast, cysteine residues in the transmembrane region of mincle are not required for dimer formation or association with FcRγ. A protocol has been developed for efficient production of a disulfide-linked extracellular domain fragment of mincle in a bacterial expression system by appending synthetic dimerization domains to guide dimer formation in the absence of the membrane anchor.</p>","PeriodicalId":12766,"journal":{"name":"Glycobiology","volume":" ","pages":""},"PeriodicalIF":3.3000,"publicationDate":"2024-12-10","publicationTypes":"Journal Article","fieldsOfStudy":null,"isOpenAccess":false,"openAccessPdf":"https://www.ncbi.nlm.nih.gov/pmc/articles/PMC11632378/pdf/","citationCount":"0","resultStr":"{\"title\":\"Preformed mincle dimers stabilized by an interchain disulfide bond in the neck region.\",\"authors\":\"Yu Liu, Kurt Drickamer, Maureen E Taylor\",\"doi\":\"10.1093/glycob/cwae083\",\"DOIUrl\":null,\"url\":null,\"abstract\":\"<p><p>The sugar-binding receptor mincle stimulates macrophages when it encounters surface glycans on pathogens, such as trehalose dimycolate glycolipid in the outer membrane of mycobacteria. Binding of oligosaccharide ligands to the extracellular C-type carbohydrate-recognition domain (CRD) in mincle initiates intracellular signaling through the common Fc receptor γ (FcRγ) adapter molecule associated with mincle. One potential mechanism for initiation of signaling involves clustering of receptors, so it is important to understand the oligomeric state of mincle. Affinity purification of mincle from transfected mammalian cells has been used to show that mincle exists as a pre-formed, disulfide-linked dimer. Deletion of cysteine residues and chemical crosslinking further demonstrate that the dimers of mincle are stabilized by a disulfide bond between cysteine residues in the neck sequence that links the CRD to the membrane. In contrast, cysteine residues in the transmembrane region of mincle are not required for dimer formation or association with FcRγ. A protocol has been developed for efficient production of a disulfide-linked extracellular domain fragment of mincle in a bacterial expression system by appending synthetic dimerization domains to guide dimer formation in the absence of the membrane anchor.</p>\",\"PeriodicalId\":12766,\"journal\":{\"name\":\"Glycobiology\",\"volume\":\" \",\"pages\":\"\"},\"PeriodicalIF\":3.3000,\"publicationDate\":\"2024-12-10\",\"publicationTypes\":\"Journal Article\",\"fieldsOfStudy\":null,\"isOpenAccess\":false,\"openAccessPdf\":\"https://www.ncbi.nlm.nih.gov/pmc/articles/PMC11632378/pdf/\",\"citationCount\":\"0\",\"resultStr\":null,\"platform\":\"Semanticscholar\",\"paperid\":null,\"PeriodicalName\":\"Glycobiology\",\"FirstCategoryId\":\"99\",\"ListUrlMain\":\"https://doi.org/10.1093/glycob/cwae083\",\"RegionNum\":3,\"RegionCategory\":\"生物学\",\"ArticlePicture\":[],\"TitleCN\":null,\"AbstractTextCN\":null,\"PMCID\":null,\"EPubDate\":\"\",\"PubModel\":\"\",\"JCR\":\"Q2\",\"JCRName\":\"BIOCHEMISTRY & MOLECULAR BIOLOGY\",\"Score\":null,\"Total\":0}","platform":"Semanticscholar","paperid":null,"PeriodicalName":"Glycobiology","FirstCategoryId":"99","ListUrlMain":"https://doi.org/10.1093/glycob/cwae083","RegionNum":3,"RegionCategory":"生物学","ArticlePicture":[],"TitleCN":null,"AbstractTextCN":null,"PMCID":null,"EPubDate":"","PubModel":"","JCR":"Q2","JCRName":"BIOCHEMISTRY & MOLECULAR BIOLOGY","Score":null,"Total":0}
引用次数: 0

摘要

当糖结合受体 mincle 遇到病原体表面的聚糖(如分枝杆菌外膜上的三卤糖二羟基乙酸糖脂)时,就会刺激巨噬细胞。寡糖配体与 mincle 的细胞外 C 型碳水化合物识别结构域(CRD)结合后,会通过与 mincle 相关的常见 Fc 受体 γ(FcRγ)适配器分子启动细胞内信号传导。启动信号传导的一个潜在机制涉及受体的聚集,因此了解 mincle 的寡聚状态非常重要。从转染的哺乳动物细胞中亲和纯化 mincle 的结果表明,mincle 是以预先形成的、二硫键连接的二聚体形式存在的。半胱氨酸残基的缺失和化学交联进一步证明,mincle的二聚体是通过连接CRD和膜的颈部序列中半胱氨酸残基之间的二硫键来稳定的。相比之下,mincle 跨膜区的半胱氨酸残基不是二聚体形成或与 FcRγ 结合所必需的。通过添加合成的二聚化结构域来引导二聚体在没有膜锚的情况下形成,我们开发出了一种在细菌表达系统中高效生产二硫键连接的 mincle 细胞外结构域片段的方案。
本文章由计算机程序翻译,如有差异,请以英文原文为准。

Preformed mincle dimers stabilized by an interchain disulfide bond in the neck region.

Preformed mincle dimers stabilized by an interchain disulfide bond in the neck region.

Preformed mincle dimers stabilized by an interchain disulfide bond in the neck region.

Preformed mincle dimers stabilized by an interchain disulfide bond in the neck region.

The sugar-binding receptor mincle stimulates macrophages when it encounters surface glycans on pathogens, such as trehalose dimycolate glycolipid in the outer membrane of mycobacteria. Binding of oligosaccharide ligands to the extracellular C-type carbohydrate-recognition domain (CRD) in mincle initiates intracellular signaling through the common Fc receptor γ (FcRγ) adapter molecule associated with mincle. One potential mechanism for initiation of signaling involves clustering of receptors, so it is important to understand the oligomeric state of mincle. Affinity purification of mincle from transfected mammalian cells has been used to show that mincle exists as a pre-formed, disulfide-linked dimer. Deletion of cysteine residues and chemical crosslinking further demonstrate that the dimers of mincle are stabilized by a disulfide bond between cysteine residues in the neck sequence that links the CRD to the membrane. In contrast, cysteine residues in the transmembrane region of mincle are not required for dimer formation or association with FcRγ. A protocol has been developed for efficient production of a disulfide-linked extracellular domain fragment of mincle in a bacterial expression system by appending synthetic dimerization domains to guide dimer formation in the absence of the membrane anchor.

求助全文
通过发布文献求助,成功后即可免费获取论文全文。 去求助
来源期刊
Glycobiology
Glycobiology 生物-生化与分子生物学
CiteScore
7.50
自引率
4.70%
发文量
73
审稿时长
3 months
期刊介绍: Established as the leading journal in the field, Glycobiology provides a unique forum dedicated to research into the biological functions of glycans, including glycoproteins, glycolipids, proteoglycans and free oligosaccharides, and on proteins that specifically interact with glycans (including lectins, glycosyltransferases, and glycosidases). Glycobiology is essential reading for researchers in biomedicine, basic science, and the biotechnology industries. By providing a single forum, the journal aims to improve communication between glycobiologists working in different disciplines and to increase the overall visibility of the field.
×
引用
GB/T 7714-2015
复制
MLA
复制
APA
复制
导出至
BibTeX EndNote RefMan NoteFirst NoteExpress
×
提示
您的信息不完整,为了账户安全,请先补充。
现在去补充
×
提示
您因"违规操作"
具体请查看互助需知
我知道了
×
提示
确定
请完成安全验证×
copy
已复制链接
快去分享给好友吧!
我知道了
右上角分享
点击右上角分享
0
联系我们:info@booksci.cn Book学术提供免费学术资源搜索服务,方便国内外学者检索中英文文献。致力于提供最便捷和优质的服务体验。 Copyright © 2023 布克学术 All rights reserved.
京ICP备2023020795号-1
ghs 京公网安备 11010802042870号
Book学术文献互助
Book学术文献互助群
群 号:604180095
Book学术官方微信