视网膜分支静脉闭塞患者抗血管内皮生长因子治疗黄斑水肿后功能和解剖结果的预测因素。

IF 1.5 Q3 OPHTHALMOLOGY
Journal of Ophthalmic & Vision Research Pub Date : 2024-09-16 eCollection Date: 2024-07-01 DOI:10.18502/jovr.v19i3.13531
Catarina Cunha Ferreira, Ricardo Machado Soares, Joana Fernandes, Sofia Teixeira, Eduardo Saraiva, Lígia Ribeiro, Sofia Fonseca, Luís Silva, Filipe Sousa-Neves
{"title":"视网膜分支静脉闭塞患者抗血管内皮生长因子治疗黄斑水肿后功能和解剖结果的预测因素。","authors":"Catarina Cunha Ferreira, Ricardo Machado Soares, Joana Fernandes, Sofia Teixeira, Eduardo Saraiva, Lígia Ribeiro, Sofia Fonseca, Luís Silva, Filipe Sousa-Neves","doi":"10.18502/jovr.v19i3.13531","DOIUrl":null,"url":null,"abstract":"<p><strong>Purpose: </strong>This study aimed to identify predictive factors for the improvement of best-corrected visual acuity (BCVA) and reduction of central macular thickness (CMT) after treatment of macular edema (ME) due to branch retinal vein occlusion (BRVO) in a real-world setting.</p><p><strong>Methods: </strong>This retrospective study included patients with ME secondary to BRVO who were treated with intravitreal injection of bevacizumab as the first-line therapy and were followed up for 12 months. Demographic and clinical data, in addition to baseline spectral domain optical coherence tomography (SD-OCT) features, were considered as possible biomarkers of final BCVA and CMT. We also collected the data concerning the need for additional treatment including sectorial laser photocoagulation, change to another anti-VEGF agent, or intravitreal corticosteroid injection.</p><p><strong>Results: </strong>A total of 161 eyes were analyzed. BCVA significantly improved from baseline to 12-month follow-up (0.6 and 0.4 logMAR, respectively; <i>P</i> <math><mo><</mo></math> 0.01). CMT decreased significantly during the follow-up period (from 498.0 to 325.0 <math><mi>μ</mi></math> m; <i>P</i> <math><mo><</mo></math> 0.01). Final BCVA correlated positively with baseline BCVA (<i>P</i> <math><mo><</mo></math> 0.01, <i>r</i> = 0.57). Older age at diagnosis and baseline SD-OCT findings including CMT, disruption of the retinal inner layers, retinal pigment epithelium (RPE) damage, and impairment of the ellipsoid zone and external limiting membrane negatively affected final BCVA (<i>P</i> <math><mo><</mo></math> 0.01). Multiple regression analysis identified age and BCVA at baseline as the only independent predictors of final BCVA (<i>P</i> = 0.001 and <i>P</i> <math><mo><</mo></math> 0.01, respectively). No association was found between clinical data, SD-OCT parameters, and final CMT.</p><p><strong>Conclusion: </strong>Various clinical and SD-OCT parameters are prognostically relevant for visual improvement in ME secondary to BRVO. Age at diagnosis and baseline BCVA were found to be independent predictors of visual outcome.</p>","PeriodicalId":16586,"journal":{"name":"Journal of Ophthalmic & Vision Research","volume":"19 3","pages":"324-333"},"PeriodicalIF":1.5000,"publicationDate":"2024-09-16","publicationTypes":"Journal Article","fieldsOfStudy":null,"isOpenAccess":false,"openAccessPdf":"https://www.ncbi.nlm.nih.gov/pmc/articles/PMC11443993/pdf/","citationCount":"0","resultStr":"{\"title\":\"Predictive Factors for Functional and Anatomical Outcomes After Anti-VEGF Treatment for Macular Edema in Patients with Branch Retinal Vein Occlusion.\",\"authors\":\"Catarina Cunha Ferreira, Ricardo Machado Soares, Joana Fernandes, Sofia Teixeira, Eduardo Saraiva, Lígia Ribeiro, Sofia Fonseca, Luís Silva, Filipe Sousa-Neves\",\"doi\":\"10.18502/jovr.v19i3.13531\",\"DOIUrl\":null,\"url\":null,\"abstract\":\"<p><strong>Purpose: </strong>This study aimed to identify predictive factors for the improvement of best-corrected visual acuity (BCVA) and reduction of central macular thickness (CMT) after treatment of macular edema (ME) due to branch retinal vein occlusion (BRVO) in a real-world setting.</p><p><strong>Methods: </strong>This retrospective study included patients with ME secondary to BRVO who were treated with intravitreal injection of bevacizumab as the first-line therapy and were followed up for 12 months. Demographic and clinical data, in addition to baseline spectral domain optical coherence tomography (SD-OCT) features, were considered as possible biomarkers of final BCVA and CMT. We also collected the data concerning the need for additional treatment including sectorial laser photocoagulation, change to another anti-VEGF agent, or intravitreal corticosteroid injection.</p><p><strong>Results: </strong>A total of 161 eyes were analyzed. BCVA significantly improved from baseline to 12-month follow-up (0.6 and 0.4 logMAR, respectively; <i>P</i> <math><mo><</mo></math> 0.01). CMT decreased significantly during the follow-up period (from 498.0 to 325.0 <math><mi>μ</mi></math> m; <i>P</i> <math><mo><</mo></math> 0.01). Final BCVA correlated positively with baseline BCVA (<i>P</i> <math><mo><</mo></math> 0.01, <i>r</i> = 0.57). Older age at diagnosis and baseline SD-OCT findings including CMT, disruption of the retinal inner layers, retinal pigment epithelium (RPE) damage, and impairment of the ellipsoid zone and external limiting membrane negatively affected final BCVA (<i>P</i> <math><mo><</mo></math> 0.01). Multiple regression analysis identified age and BCVA at baseline as the only independent predictors of final BCVA (<i>P</i> = 0.001 and <i>P</i> <math><mo><</mo></math> 0.01, respectively). No association was found between clinical data, SD-OCT parameters, and final CMT.</p><p><strong>Conclusion: </strong>Various clinical and SD-OCT parameters are prognostically relevant for visual improvement in ME secondary to BRVO. Age at diagnosis and baseline BCVA were found to be independent predictors of visual outcome.</p>\",\"PeriodicalId\":16586,\"journal\":{\"name\":\"Journal of Ophthalmic & Vision Research\",\"volume\":\"19 3\",\"pages\":\"324-333\"},\"PeriodicalIF\":1.5000,\"publicationDate\":\"2024-09-16\",\"publicationTypes\":\"Journal Article\",\"fieldsOfStudy\":null,\"isOpenAccess\":false,\"openAccessPdf\":\"https://www.ncbi.nlm.nih.gov/pmc/articles/PMC11443993/pdf/\",\"citationCount\":\"0\",\"resultStr\":null,\"platform\":\"Semanticscholar\",\"paperid\":null,\"PeriodicalName\":\"Journal of Ophthalmic & Vision Research\",\"FirstCategoryId\":\"1085\",\"ListUrlMain\":\"https://doi.org/10.18502/jovr.v19i3.13531\",\"RegionNum\":0,\"RegionCategory\":null,\"ArticlePicture\":[],\"TitleCN\":null,\"AbstractTextCN\":null,\"PMCID\":null,\"EPubDate\":\"2024/7/1 0:00:00\",\"PubModel\":\"eCollection\",\"JCR\":\"Q3\",\"JCRName\":\"OPHTHALMOLOGY\",\"Score\":null,\"Total\":0}","platform":"Semanticscholar","paperid":null,"PeriodicalName":"Journal of Ophthalmic & Vision Research","FirstCategoryId":"1085","ListUrlMain":"https://doi.org/10.18502/jovr.v19i3.13531","RegionNum":0,"RegionCategory":null,"ArticlePicture":[],"TitleCN":null,"AbstractTextCN":null,"PMCID":null,"EPubDate":"2024/7/1 0:00:00","PubModel":"eCollection","JCR":"Q3","JCRName":"OPHTHALMOLOGY","Score":null,"Total":0}
引用次数: 0

摘要

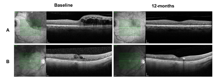
目的:本研究旨在确定在真实世界环境中,视网膜分支静脉闭塞(BRVO)引起的黄斑水肿(ME)治疗后最佳矫正视力(BCVA)改善和黄斑中心厚度(CMT)降低的预测因素:这项回顾性研究纳入了因视网膜分支静脉闭塞(BRVO)而继发黄斑水肿(ME)的患者,这些患者接受了静脉内注射贝伐珠单抗的一线治疗,并接受了 12 个月的随访。除了基线光谱域光学相干断层扫描(SD-OCT)特征外,人口统计学和临床数据也被视为最终 BCVA 和 CMT 的可能生物标志物。我们还收集了需要额外治疗的相关数据,包括扇形激光光凝、改用另一种抗 VEGF 药物或玻璃体内注射皮质类固醇:共分析了 161 只眼睛。从基线到随访 12 个月,BCVA 明显改善(分别为 0.6 和 0.4 logMAR;P 0.01)。CMT在随访期间明显下降(从498.0 μ m降至325.0 μ m;P 0.01)。最终BCVA与基线BCVA呈正相关(P 0.01,r = 0.57)。诊断时年龄较大以及基线 SD-OCT 发现(包括 CMT、视网膜内层破坏、视网膜色素上皮(RPE)损伤以及椭圆体区和外缘膜损伤)对最终 BCVA 有负面影响(P 0.01)。多元回归分析发现,年龄和基线 BCVA 是最终 BCVA 的唯一独立预测因素(分别为 P = 0.001 和 P 0.01)。临床数据、SD-OCT参数和最终CMT之间没有关联:结论:各种临床和SD-OCT参数与继发于BRVO的ME的视力改善预后相关。诊断时的年龄和基线BCVA是视觉结果的独立预测因素。
本文章由计算机程序翻译,如有差异,请以英文原文为准。

Predictive Factors for Functional and Anatomical Outcomes After Anti-VEGF Treatment for Macular Edema in Patients with Branch Retinal Vein Occlusion.

Predictive Factors for Functional and Anatomical Outcomes After Anti-VEGF Treatment for Macular Edema in Patients with Branch Retinal Vein Occlusion.

Purpose: This study aimed to identify predictive factors for the improvement of best-corrected visual acuity (BCVA) and reduction of central macular thickness (CMT) after treatment of macular edema (ME) due to branch retinal vein occlusion (BRVO) in a real-world setting.

Methods: This retrospective study included patients with ME secondary to BRVO who were treated with intravitreal injection of bevacizumab as the first-line therapy and were followed up for 12 months. Demographic and clinical data, in addition to baseline spectral domain optical coherence tomography (SD-OCT) features, were considered as possible biomarkers of final BCVA and CMT. We also collected the data concerning the need for additional treatment including sectorial laser photocoagulation, change to another anti-VEGF agent, or intravitreal corticosteroid injection.

Results: A total of 161 eyes were analyzed. BCVA significantly improved from baseline to 12-month follow-up (0.6 and 0.4 logMAR, respectively; P < 0.01). CMT decreased significantly during the follow-up period (from 498.0 to 325.0 μ m; P < 0.01). Final BCVA correlated positively with baseline BCVA (P < 0.01, r = 0.57). Older age at diagnosis and baseline SD-OCT findings including CMT, disruption of the retinal inner layers, retinal pigment epithelium (RPE) damage, and impairment of the ellipsoid zone and external limiting membrane negatively affected final BCVA (P < 0.01). Multiple regression analysis identified age and BCVA at baseline as the only independent predictors of final BCVA (P = 0.001 and P < 0.01, respectively). No association was found between clinical data, SD-OCT parameters, and final CMT.

Conclusion: Various clinical and SD-OCT parameters are prognostically relevant for visual improvement in ME secondary to BRVO. Age at diagnosis and baseline BCVA were found to be independent predictors of visual outcome.

求助全文
通过发布文献求助,成功后即可免费获取论文全文。 去求助
来源期刊
CiteScore
3.60
自引率
0.00%
发文量
63
审稿时长
30 weeks
×
引用
GB/T 7714-2015
复制
MLA
复制
APA
复制
导出至
BibTeX EndNote RefMan NoteFirst NoteExpress
×
提示
您的信息不完整,为了账户安全,请先补充。
现在去补充
×
提示
您因"违规操作"
具体请查看互助需知
我知道了
×
提示
确定
请完成安全验证×
copy
已复制链接
快去分享给好友吧!
我知道了
右上角分享
点击右上角分享
0
联系我们:info@booksci.cn Book学术提供免费学术资源搜索服务,方便国内外学者检索中英文文献。致力于提供最便捷和优质的服务体验。 Copyright © 2023 布克学术 All rights reserved.
京ICP备2023020795号-1
ghs 京公网安备 11010802042870号
Book学术文献互助
Book学术文献互助群
群 号:604180095
Book学术官方微信