研究古巴 COVID-19 康復者對 SARS-CoV-2 的體液反應

IF 3.6 3区 医学 Q2 IMMUNOLOGY
Journal of Immunology Research Pub Date : 2024-09-25 eCollection Date: 2024-01-01 DOI:10.1155/2024/7112940
Ivette Orosa Vázquez, Marianniz Díaz, Yaima Zúñiga Rosales, Klayris Amada, Janoi Chang, Ernesto Relova Hernández, Yaima Tundidor, Hilda Roblejo Balbuena, Giselle Monzón, Bárbara Torres Rives, Enrique Noa Romero, Danay Carrillo Valdés, Irinia Valdivia Álvarez, Aurora Delahanty Fernández, Claudia Díaz, Joaquín Solozabal, Mileidys Gil, Belinda Sánchez, Gertrudis Rojas, Beatriz Marcheco, Tania Carmenate
{"title":"研究古巴 COVID-19 康復者對 SARS-CoV-2 的體液反應","authors":"Ivette Orosa Vázquez, Marianniz Díaz, Yaima Zúñiga Rosales, Klayris Amada, Janoi Chang, Ernesto Relova Hernández, Yaima Tundidor, Hilda Roblejo Balbuena, Giselle Monzón, Bárbara Torres Rives, Enrique Noa Romero, Danay Carrillo Valdés, Irinia Valdivia Álvarez, Aurora Delahanty Fernández, Claudia Díaz, Joaquín Solozabal, Mileidys Gil, Belinda Sánchez, Gertrudis Rojas, Beatriz Marcheco, Tania Carmenate","doi":"10.1155/2024/7112940","DOIUrl":null,"url":null,"abstract":"<p><p>Understanding the immune response generated by SARS-CoV-2 is critical for assessing efficient therapeutic protocols and gaining insights into the durability of protective immunity. The current work was aimed at studying the specific humoral responses against SARS-CoV-2 in Cuban COVID-19 convalescents. We developed suitable tools and methods based on ELISA methodology, for supporting this evaluation. Here, we describe the development of an ELISA for the quantification of anti-RBD IgG titers in a large number of samples and a similar test in the presence of NH<sub>4</sub>SCN as chaotropic agent for estimating the RBD specific antibody avidity. Additionally, a simple and rapid ELISA based on antibody-mediated blockage of the binding RBD-ACE2 was implemented for detecting, as a surrogate of conventional test, the levels of anti-RBD inhibitory antibodies in convalescent sera. In a cohort of 273 unvaccinated convalescents, we identified higher anti-RBD IgG titer (1 : 1,330, <i>p</i>  < 0.0001) and higher levels of inhibitory antibodies blocking RBD-ACE2 binding (1 : 216, <i>p</i>  < 0.05) among those who had recovered from severe illness. Our results suggest that disease severity, and not demographic features such as age, sex, and skin color, is the main determinant of the magnitude and neutralizing ability of the anti-RBD antibody response. An additional paired longitudinal assessment in 14 symptomatic convalescents revealed a decline in the antiviral antibody response and the persistence of neutralizing antibodies for at least 4 months after the onset of symptoms. Overall, SARS-CoV-2 infection elicits different levels of antibody response according to disease severity that declines over time and can be monitored using our homemade serological assays.</p>","PeriodicalId":15952,"journal":{"name":"Journal of Immunology Research","volume":"2024 ","pages":"7112940"},"PeriodicalIF":3.6000,"publicationDate":"2024-09-25","publicationTypes":"Journal Article","fieldsOfStudy":null,"isOpenAccess":false,"openAccessPdf":"https://www.ncbi.nlm.nih.gov/pmc/articles/PMC11446615/pdf/","citationCount":"0","resultStr":"{\"title\":\"Studying the Humoral Response against SARS-CoV-2 in Cuban COVID-19 Recovered Patients.\",\"authors\":\"Ivette Orosa Vázquez, Marianniz Díaz, Yaima Zúñiga Rosales, Klayris Amada, Janoi Chang, Ernesto Relova Hernández, Yaima Tundidor, Hilda Roblejo Balbuena, Giselle Monzón, Bárbara Torres Rives, Enrique Noa Romero, Danay Carrillo Valdés, Irinia Valdivia Álvarez, Aurora Delahanty Fernández, Claudia Díaz, Joaquín Solozabal, Mileidys Gil, Belinda Sánchez, Gertrudis Rojas, Beatriz Marcheco, Tania Carmenate\",\"doi\":\"10.1155/2024/7112940\",\"DOIUrl\":null,\"url\":null,\"abstract\":\"<p><p>Understanding the immune response generated by SARS-CoV-2 is critical for assessing efficient therapeutic protocols and gaining insights into the durability of protective immunity. The current work was aimed at studying the specific humoral responses against SARS-CoV-2 in Cuban COVID-19 convalescents. We developed suitable tools and methods based on ELISA methodology, for supporting this evaluation. Here, we describe the development of an ELISA for the quantification of anti-RBD IgG titers in a large number of samples and a similar test in the presence of NH<sub>4</sub>SCN as chaotropic agent for estimating the RBD specific antibody avidity. Additionally, a simple and rapid ELISA based on antibody-mediated blockage of the binding RBD-ACE2 was implemented for detecting, as a surrogate of conventional test, the levels of anti-RBD inhibitory antibodies in convalescent sera. In a cohort of 273 unvaccinated convalescents, we identified higher anti-RBD IgG titer (1 : 1,330, <i>p</i>  < 0.0001) and higher levels of inhibitory antibodies blocking RBD-ACE2 binding (1 : 216, <i>p</i>  < 0.05) among those who had recovered from severe illness. Our results suggest that disease severity, and not demographic features such as age, sex, and skin color, is the main determinant of the magnitude and neutralizing ability of the anti-RBD antibody response. An additional paired longitudinal assessment in 14 symptomatic convalescents revealed a decline in the antiviral antibody response and the persistence of neutralizing antibodies for at least 4 months after the onset of symptoms. Overall, SARS-CoV-2 infection elicits different levels of antibody response according to disease severity that declines over time and can be monitored using our homemade serological assays.</p>\",\"PeriodicalId\":15952,\"journal\":{\"name\":\"Journal of Immunology Research\",\"volume\":\"2024 \",\"pages\":\"7112940\"},\"PeriodicalIF\":3.6000,\"publicationDate\":\"2024-09-25\",\"publicationTypes\":\"Journal Article\",\"fieldsOfStudy\":null,\"isOpenAccess\":false,\"openAccessPdf\":\"https://www.ncbi.nlm.nih.gov/pmc/articles/PMC11446615/pdf/\",\"citationCount\":\"0\",\"resultStr\":null,\"platform\":\"Semanticscholar\",\"paperid\":null,\"PeriodicalName\":\"Journal of Immunology Research\",\"FirstCategoryId\":\"3\",\"ListUrlMain\":\"https://doi.org/10.1155/2024/7112940\",\"RegionNum\":3,\"RegionCategory\":\"医学\",\"ArticlePicture\":[],\"TitleCN\":null,\"AbstractTextCN\":null,\"PMCID\":null,\"EPubDate\":\"2024/1/1 0:00:00\",\"PubModel\":\"eCollection\",\"JCR\":\"Q2\",\"JCRName\":\"IMMUNOLOGY\",\"Score\":null,\"Total\":0}","platform":"Semanticscholar","paperid":null,"PeriodicalName":"Journal of Immunology Research","FirstCategoryId":"3","ListUrlMain":"https://doi.org/10.1155/2024/7112940","RegionNum":3,"RegionCategory":"医学","ArticlePicture":[],"TitleCN":null,"AbstractTextCN":null,"PMCID":null,"EPubDate":"2024/1/1 0:00:00","PubModel":"eCollection","JCR":"Q2","JCRName":"IMMUNOLOGY","Score":null,"Total":0}
引用次数: 0

摘要

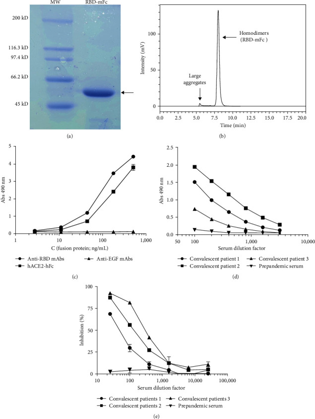
了解 SARS-CoV-2 产生的免疫反应对于评估有效的治疗方案和深入了解保护性免疫的持久性至关重要。目前的工作旨在研究古巴 COVID-19 康复者对 SARS-CoV-2 的特异性体液反应。我们以 ELISA 方法为基础开发了合适的工具和方法,以支持这一评估。在此,我们介绍了一种用于定量检测大量样本中抗 RBD IgG 滴度的 ELISA 方法,以及一种在 NH4SCN 作为混沌剂存在的情况下用于估计 RBD 特异性抗体热敏性的类似检测方法。此外,还采用了一种基于抗体介导的 RBD-ACE2 结合阻断的简单快速 ELISA 方法,作为常规检测的替代方法,检测康复血清中的抗 RBD 抑制抗体水平。在一组 273 名未接种疫苗的康复者中,我们发现重症康复者的抗 RBD IgG 滴度更高(1:1,330,p < 0.0001),阻断 RBD-ACE2 结合的抑制性抗体水平更高(1:216,p < 0.05)。我们的研究结果表明,疾病的严重程度,而不是年龄、性别和肤色等人口统计学特征,是决定抗 RBD 抗体反应的强度和中和能力的主要因素。对 14 名有症状的康复者进行的另一项配对纵向评估显示,抗病毒抗体反应下降,中和抗体在症状出现后至少 4 个月内持续存在。总之,SARS-CoV-2 感染会根据疾病的严重程度引起不同程度的抗体反应,这种反应会随着时间的推移而下降,可以用我们自制的血清学检测方法进行监测。
本文章由计算机程序翻译,如有差异,请以英文原文为准。

Studying the Humoral Response against SARS-CoV-2 in Cuban COVID-19 Recovered Patients.

Studying the Humoral Response against SARS-CoV-2 in Cuban COVID-19 Recovered Patients.

Studying the Humoral Response against SARS-CoV-2 in Cuban COVID-19 Recovered Patients.

Studying the Humoral Response against SARS-CoV-2 in Cuban COVID-19 Recovered Patients.

Understanding the immune response generated by SARS-CoV-2 is critical for assessing efficient therapeutic protocols and gaining insights into the durability of protective immunity. The current work was aimed at studying the specific humoral responses against SARS-CoV-2 in Cuban COVID-19 convalescents. We developed suitable tools and methods based on ELISA methodology, for supporting this evaluation. Here, we describe the development of an ELISA for the quantification of anti-RBD IgG titers in a large number of samples and a similar test in the presence of NH4SCN as chaotropic agent for estimating the RBD specific antibody avidity. Additionally, a simple and rapid ELISA based on antibody-mediated blockage of the binding RBD-ACE2 was implemented for detecting, as a surrogate of conventional test, the levels of anti-RBD inhibitory antibodies in convalescent sera. In a cohort of 273 unvaccinated convalescents, we identified higher anti-RBD IgG titer (1 : 1,330, p  < 0.0001) and higher levels of inhibitory antibodies blocking RBD-ACE2 binding (1 : 216, p  < 0.05) among those who had recovered from severe illness. Our results suggest that disease severity, and not demographic features such as age, sex, and skin color, is the main determinant of the magnitude and neutralizing ability of the anti-RBD antibody response. An additional paired longitudinal assessment in 14 symptomatic convalescents revealed a decline in the antiviral antibody response and the persistence of neutralizing antibodies for at least 4 months after the onset of symptoms. Overall, SARS-CoV-2 infection elicits different levels of antibody response according to disease severity that declines over time and can be monitored using our homemade serological assays.

求助全文
通过发布文献求助,成功后即可免费获取论文全文。 去求助
来源期刊
CiteScore
6.90
自引率
2.40%
发文量
423
审稿时长
15 weeks
期刊介绍: Journal of Immunology Research is a peer-reviewed, Open Access journal that provides a platform for scientists and clinicians working in different areas of immunology and therapy. The journal publishes research articles, review articles, as well as clinical studies related to classical immunology, molecular immunology, clinical immunology, cancer immunology, transplantation immunology, immune pathology, immunodeficiency, autoimmune diseases, immune disorders, and immunotherapy.
×
引用
GB/T 7714-2015
复制
MLA
复制
APA
复制
导出至
BibTeX EndNote RefMan NoteFirst NoteExpress
×
提示
您的信息不完整,为了账户安全,请先补充。
现在去补充
×
提示
您因"违规操作"
具体请查看互助需知
我知道了
×
提示
确定
请完成安全验证×
copy
已复制链接
快去分享给好友吧!
我知道了
右上角分享
点击右上角分享
0
联系我们:info@booksci.cn Book学术提供免费学术资源搜索服务,方便国内外学者检索中英文文献。致力于提供最便捷和优质的服务体验。 Copyright © 2023 布克学术 All rights reserved.
京ICP备2023020795号-1
ghs 京公网安备 11010802042870号
Book学术文献互助
Book学术文献互助群
群 号:604180095
Book学术官方微信