与 COVID-19 相关的肺空洞性病变:病例系列

IF 1 Q3 MEDICINE, GENERAL & INTERNAL
Caspian Journal of Internal Medicine Pub Date : 2024-09-07 eCollection Date: 2024-01-01 DOI:10.22088/cjim.15.4.713
Rama Bozorgmehr, Farzad Esmaili Tarki, Esmat Yazdi, Shahrzad Shahrokhi Nejad
{"title":"与 COVID-19 相关的肺空洞性病变:病例系列","authors":"Rama Bozorgmehr, Farzad Esmaili Tarki, Esmat Yazdi, Shahrzad Shahrokhi Nejad","doi":"10.22088/cjim.15.4.713","DOIUrl":null,"url":null,"abstract":"<p><strong>Background: </strong>Our study discusses the probable etiologies and characteristics of pulmonary cavities in post-COVID-19 patients. A pulmonary cavity is a late complication of the disease, yet it has led to multiple referrals to our tertiary hospital in Tehran, Iran.</p><p><strong>Methods: </strong>We conducted a retrospective case-series study on 20 patients who were admitted to our center between April 2020 and September 2021. They were all diagnosed with COVID-19 and concomitantly developed pulmonary cavities. We assessed their electronic medical records in 2021 and compared their characteristics with other studies based on the available literature.</p><p><strong>Result: </strong>Of the 20 patients with cavities, 12 (60%) had been diagnosed with prior COVID-19, and 9 (45%) had type 2 diabetes mellitus. 9 patients (45%) had bacterial superinfections while 4 (44%) had fungal infections. All patients received corticosteroids, but only 4 (20%) were additionally administered Tocilizumab.</p><p><strong>Conclusion: </strong>COVID-19 patients can develop pulmonary cavities during recovery; however, this infrequent radiologic finding depends on specific risk factors.</p>","PeriodicalId":9646,"journal":{"name":"Caspian Journal of Internal Medicine","volume":"15 4","pages":"713-728"},"PeriodicalIF":1.0000,"publicationDate":"2024-09-07","publicationTypes":"Journal Article","fieldsOfStudy":null,"isOpenAccess":false,"openAccessPdf":"https://www.ncbi.nlm.nih.gov/pmc/articles/PMC11444108/pdf/","citationCount":"0","resultStr":"{\"title\":\"COVID-19 associated lung cavitary lesions: A case series.\",\"authors\":\"Rama Bozorgmehr, Farzad Esmaili Tarki, Esmat Yazdi, Shahrzad Shahrokhi Nejad\",\"doi\":\"10.22088/cjim.15.4.713\",\"DOIUrl\":null,\"url\":null,\"abstract\":\"<p><strong>Background: </strong>Our study discusses the probable etiologies and characteristics of pulmonary cavities in post-COVID-19 patients. A pulmonary cavity is a late complication of the disease, yet it has led to multiple referrals to our tertiary hospital in Tehran, Iran.</p><p><strong>Methods: </strong>We conducted a retrospective case-series study on 20 patients who were admitted to our center between April 2020 and September 2021. They were all diagnosed with COVID-19 and concomitantly developed pulmonary cavities. We assessed their electronic medical records in 2021 and compared their characteristics with other studies based on the available literature.</p><p><strong>Result: </strong>Of the 20 patients with cavities, 12 (60%) had been diagnosed with prior COVID-19, and 9 (45%) had type 2 diabetes mellitus. 9 patients (45%) had bacterial superinfections while 4 (44%) had fungal infections. All patients received corticosteroids, but only 4 (20%) were additionally administered Tocilizumab.</p><p><strong>Conclusion: </strong>COVID-19 patients can develop pulmonary cavities during recovery; however, this infrequent radiologic finding depends on specific risk factors.</p>\",\"PeriodicalId\":9646,\"journal\":{\"name\":\"Caspian Journal of Internal Medicine\",\"volume\":\"15 4\",\"pages\":\"713-728\"},\"PeriodicalIF\":1.0000,\"publicationDate\":\"2024-09-07\",\"publicationTypes\":\"Journal Article\",\"fieldsOfStudy\":null,\"isOpenAccess\":false,\"openAccessPdf\":\"https://www.ncbi.nlm.nih.gov/pmc/articles/PMC11444108/pdf/\",\"citationCount\":\"0\",\"resultStr\":null,\"platform\":\"Semanticscholar\",\"paperid\":null,\"PeriodicalName\":\"Caspian Journal of Internal Medicine\",\"FirstCategoryId\":\"1085\",\"ListUrlMain\":\"https://doi.org/10.22088/cjim.15.4.713\",\"RegionNum\":0,\"RegionCategory\":null,\"ArticlePicture\":[],\"TitleCN\":null,\"AbstractTextCN\":null,\"PMCID\":null,\"EPubDate\":\"2024/1/1 0:00:00\",\"PubModel\":\"eCollection\",\"JCR\":\"Q3\",\"JCRName\":\"MEDICINE, GENERAL & INTERNAL\",\"Score\":null,\"Total\":0}","platform":"Semanticscholar","paperid":null,"PeriodicalName":"Caspian Journal of Internal Medicine","FirstCategoryId":"1085","ListUrlMain":"https://doi.org/10.22088/cjim.15.4.713","RegionNum":0,"RegionCategory":null,"ArticlePicture":[],"TitleCN":null,"AbstractTextCN":null,"PMCID":null,"EPubDate":"2024/1/1 0:00:00","PubModel":"eCollection","JCR":"Q3","JCRName":"MEDICINE, GENERAL & INTERNAL","Score":null,"Total":0}
引用次数: 0

摘要

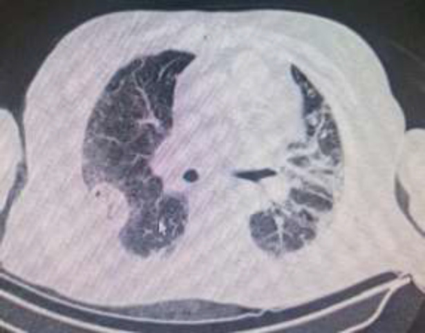
背景:我们的研究探讨了 COVID-19 后患者肺空洞的可能病因和特征。肺空洞是该病的晚期并发症,但它却导致多人转诊至我们位于伊朗德黑兰的三级医院:我们对 2020 年 4 月至 2021 年 9 月期间入住本中心的 20 名患者进行了回顾性病例系列研究。他们均被诊断为 COVID-19,并同时出现肺空洞。我们评估了他们在2021年的电子病历,并根据现有文献将他们的特征与其他研究进行了比较:结果:在 20 名龋齿患者中,12 人(60%)曾被诊断患有 COVID-19,9 人(45%)患有 2 型糖尿病。9名患者(45%)患有细菌性超级感染,4名患者(44%)患有真菌感染。所有患者都接受了皮质类固醇治疗,但只有4名患者(20%)额外使用了托珠单抗:结论:COVID-19 患者在康复期间可能会出现肺空洞,但这种不常见的放射学发现取决于特定的风险因素。
本文章由计算机程序翻译,如有差异,请以英文原文为准。

COVID-19 associated lung cavitary lesions: A case series.

COVID-19 associated lung cavitary lesions: A case series.

COVID-19 associated lung cavitary lesions: A case series.

COVID-19 associated lung cavitary lesions: A case series.

Background: Our study discusses the probable etiologies and characteristics of pulmonary cavities in post-COVID-19 patients. A pulmonary cavity is a late complication of the disease, yet it has led to multiple referrals to our tertiary hospital in Tehran, Iran.

Methods: We conducted a retrospective case-series study on 20 patients who were admitted to our center between April 2020 and September 2021. They were all diagnosed with COVID-19 and concomitantly developed pulmonary cavities. We assessed their electronic medical records in 2021 and compared their characteristics with other studies based on the available literature.

Result: Of the 20 patients with cavities, 12 (60%) had been diagnosed with prior COVID-19, and 9 (45%) had type 2 diabetes mellitus. 9 patients (45%) had bacterial superinfections while 4 (44%) had fungal infections. All patients received corticosteroids, but only 4 (20%) were additionally administered Tocilizumab.

Conclusion: COVID-19 patients can develop pulmonary cavities during recovery; however, this infrequent radiologic finding depends on specific risk factors.

求助全文
通过发布文献求助,成功后即可免费获取论文全文。 去求助
来源期刊
Caspian Journal of Internal Medicine
Caspian Journal of Internal Medicine MEDICINE, GENERAL & INTERNAL-
CiteScore
1.90
自引率
7.10%
发文量
90
审稿时长
20 weeks
×
引用
GB/T 7714-2015
复制
MLA
复制
APA
复制
导出至
BibTeX EndNote RefMan NoteFirst NoteExpress
×
提示
您的信息不完整,为了账户安全,请先补充。
现在去补充
×
提示
您因"违规操作"
具体请查看互助需知
我知道了
×
提示
确定
请完成安全验证×
copy
已复制链接
快去分享给好友吧!
我知道了
右上角分享
点击右上角分享
0
联系我们:info@booksci.cn Book学术提供免费学术资源搜索服务,方便国内外学者检索中英文文献。致力于提供最便捷和优质的服务体验。 Copyright © 2023 布克学术 All rights reserved.
京ICP备2023020795号-1
ghs 京公网安备 11010802042870号
Book学术文献互助
Book学术文献互助群
群 号:604180095
Book学术官方微信