一名成人并发腹膜和胸膜结核:病例报告和文献综述。

IF 1 Q3 MEDICINE, GENERAL & INTERNAL
Caspian Journal of Internal Medicine Pub Date : 2024-09-07 eCollection Date: 2024-01-01 DOI:10.22088/cjim.15.4.735
Elham Barahimi, Zahra Ghaeini Hesarooeyeh, Ayoub Basham, Mohadeseh Karimi, Behnoush Heidari
{"title":"一名成人并发腹膜和胸膜结核:病例报告和文献综述。","authors":"Elham Barahimi, Zahra Ghaeini Hesarooeyeh, Ayoub Basham, Mohadeseh Karimi, Behnoush Heidari","doi":"10.22088/cjim.15.4.735","DOIUrl":null,"url":null,"abstract":"<p><strong>Background: </strong>The simultaneous involvement of the pleura and peritoneum with tuberculosis in the absence of pulmonary foci is an uncommon condition that may lead physicians to misdiagnose.</p><p><strong>Case presentation: </strong>Herein, we present a Persian male adult who manifested with epigastric pain, weakness, and a history of pleuritic chest pain two months prior to admission. The findings of the physical examination included vital signs within the normal range, unilateral fine crackle in the lung, abdominal distension with positive shifting dullness, and fluid wave test. Analysis of the ascitic fluid revealed a Serum-ascites albumin gradient (SAAG) of less than 1.1g/dl, indicating a non-portal condition. The results of the acid-fast bacilli (AFB) staining as well as the TB polymerase chain reaction (PCR) test were negative. However, the adenosine deaminase (ADA) level was 44 IU/L. A chest CT scan revealed mediastinal lymph node enlargement and pleural thickening with loculated pleural effusion. Three acid-fast bacilli smear of morning sputum were sent, and all three were negative. An abdominopelvic CT scan showed multiple periaortic and mesenteric lymph nodes of varying sizes with mesenteric haziness and accumulation of effusion in the peritoneal cavity. Eventually, peritoneal biopsy, the gold standard, was performed, which revealed multiple granulomatous lesions and areas of caseous necrosis surrounded by Langerhans giant cells and epithelioid cells.</p><p><strong>Conclusion: </strong>It is worth noting that in cases of ascites and pleural thickening, especially in patients with poor socioeconomic status, simultaneous pleural and peritoneal TB should be considered, especially in third-world countries.</p>","PeriodicalId":9646,"journal":{"name":"Caspian Journal of Internal Medicine","volume":"15 4","pages":"735-742"},"PeriodicalIF":1.0000,"publicationDate":"2024-09-07","publicationTypes":"Journal Article","fieldsOfStudy":null,"isOpenAccess":false,"openAccessPdf":"https://www.ncbi.nlm.nih.gov/pmc/articles/PMC11444099/pdf/","citationCount":"0","resultStr":"{\"title\":\"Concurrent peritoneal and pleural tuberculosis in an adult: A case report and literature review.\",\"authors\":\"Elham Barahimi, Zahra Ghaeini Hesarooeyeh, Ayoub Basham, Mohadeseh Karimi, Behnoush Heidari\",\"doi\":\"10.22088/cjim.15.4.735\",\"DOIUrl\":null,\"url\":null,\"abstract\":\"<p><strong>Background: </strong>The simultaneous involvement of the pleura and peritoneum with tuberculosis in the absence of pulmonary foci is an uncommon condition that may lead physicians to misdiagnose.</p><p><strong>Case presentation: </strong>Herein, we present a Persian male adult who manifested with epigastric pain, weakness, and a history of pleuritic chest pain two months prior to admission. The findings of the physical examination included vital signs within the normal range, unilateral fine crackle in the lung, abdominal distension with positive shifting dullness, and fluid wave test. Analysis of the ascitic fluid revealed a Serum-ascites albumin gradient (SAAG) of less than 1.1g/dl, indicating a non-portal condition. The results of the acid-fast bacilli (AFB) staining as well as the TB polymerase chain reaction (PCR) test were negative. However, the adenosine deaminase (ADA) level was 44 IU/L. A chest CT scan revealed mediastinal lymph node enlargement and pleural thickening with loculated pleural effusion. Three acid-fast bacilli smear of morning sputum were sent, and all three were negative. An abdominopelvic CT scan showed multiple periaortic and mesenteric lymph nodes of varying sizes with mesenteric haziness and accumulation of effusion in the peritoneal cavity. Eventually, peritoneal biopsy, the gold standard, was performed, which revealed multiple granulomatous lesions and areas of caseous necrosis surrounded by Langerhans giant cells and epithelioid cells.</p><p><strong>Conclusion: </strong>It is worth noting that in cases of ascites and pleural thickening, especially in patients with poor socioeconomic status, simultaneous pleural and peritoneal TB should be considered, especially in third-world countries.</p>\",\"PeriodicalId\":9646,\"journal\":{\"name\":\"Caspian Journal of Internal Medicine\",\"volume\":\"15 4\",\"pages\":\"735-742\"},\"PeriodicalIF\":1.0000,\"publicationDate\":\"2024-09-07\",\"publicationTypes\":\"Journal Article\",\"fieldsOfStudy\":null,\"isOpenAccess\":false,\"openAccessPdf\":\"https://www.ncbi.nlm.nih.gov/pmc/articles/PMC11444099/pdf/\",\"citationCount\":\"0\",\"resultStr\":null,\"platform\":\"Semanticscholar\",\"paperid\":null,\"PeriodicalName\":\"Caspian Journal of Internal Medicine\",\"FirstCategoryId\":\"1085\",\"ListUrlMain\":\"https://doi.org/10.22088/cjim.15.4.735\",\"RegionNum\":0,\"RegionCategory\":null,\"ArticlePicture\":[],\"TitleCN\":null,\"AbstractTextCN\":null,\"PMCID\":null,\"EPubDate\":\"2024/1/1 0:00:00\",\"PubModel\":\"eCollection\",\"JCR\":\"Q3\",\"JCRName\":\"MEDICINE, GENERAL & INTERNAL\",\"Score\":null,\"Total\":0}","platform":"Semanticscholar","paperid":null,"PeriodicalName":"Caspian Journal of Internal Medicine","FirstCategoryId":"1085","ListUrlMain":"https://doi.org/10.22088/cjim.15.4.735","RegionNum":0,"RegionCategory":null,"ArticlePicture":[],"TitleCN":null,"AbstractTextCN":null,"PMCID":null,"EPubDate":"2024/1/1 0:00:00","PubModel":"eCollection","JCR":"Q3","JCRName":"MEDICINE, GENERAL & INTERNAL","Score":null,"Total":0}
引用次数: 0

摘要

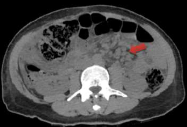
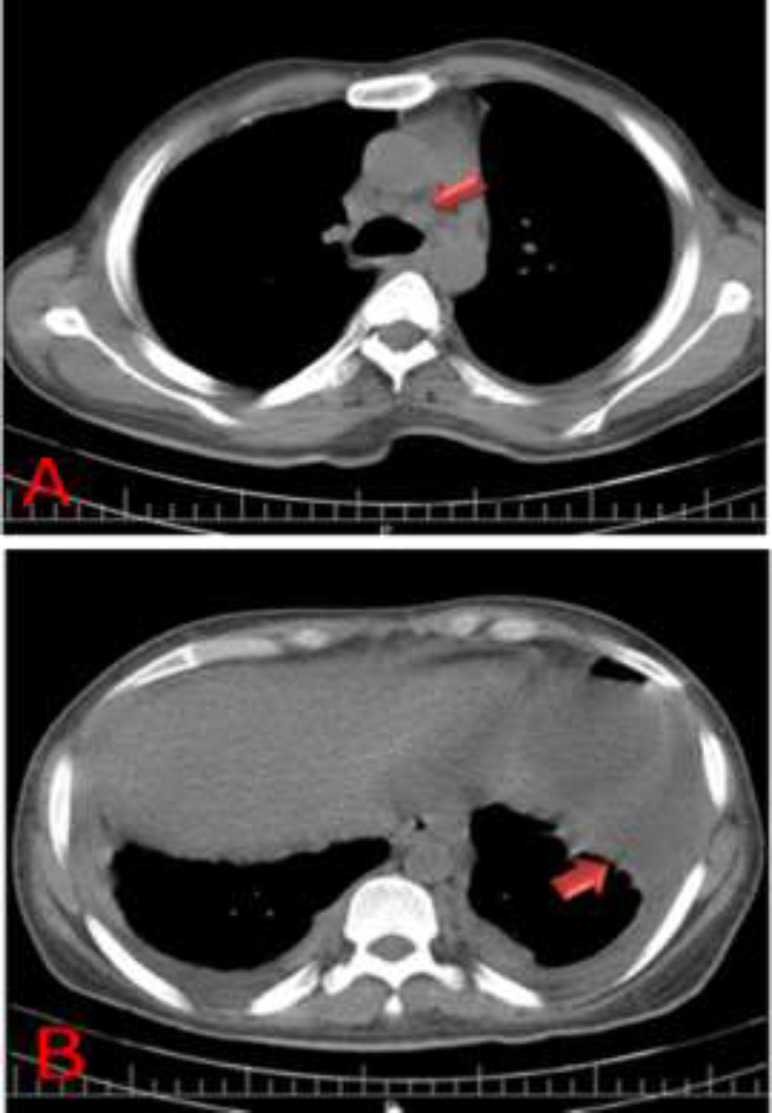
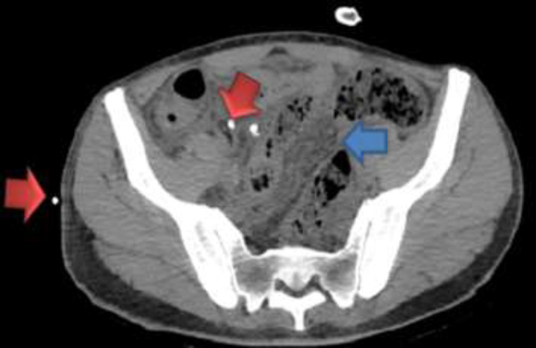
背景:在没有肺部病灶的情况下,胸膜和腹膜同时受累于结核病是一种不常见的情况,可能会导致医生误诊:我们在此介绍一名波斯裔男性成人,入院前两个月表现为上腹痛、乏力和胸膜炎性胸痛病史。体格检查结果包括生命体征在正常范围内、单侧肺部细微噼啪声、腹胀伴移位性钝痛、液波试验阳性。腹水分析显示,血清-腹水白蛋白梯度(SAAG)小于 1.1g/dl,表明为非门静脉病变。酸性革兰氏染色(AFB)和结核聚合酶链反应(PCR)检测结果均为阴性。不过,腺苷脱氨酶(ADA)水平为 44 IU/L。胸部 CT 扫描显示纵隔淋巴结肿大,胸膜增厚,局部胸腔积液。送检的三份晨痰酸性杆菌涂片均为阴性。腹盆腔 CT 扫描显示,患者有多个大小不等的主动脉周围和肠系膜淋巴结,肠系膜混浊,腹腔积液。最后,进行了腹膜活检(金标准),发现多处肉芽肿病变和酪质坏死区,周围有朗格汉斯巨细胞和上皮样细胞:值得注意的是,在腹水和胸膜增厚的病例中,尤其是社会经济状况不佳的患者,应考虑胸膜和腹膜结核同时存在,特别是在第三世界国家。
本文章由计算机程序翻译,如有差异,请以英文原文为准。

Concurrent peritoneal and pleural tuberculosis in an adult: A case report and literature review.

Concurrent peritoneal and pleural tuberculosis in an adult: A case report and literature review.

Concurrent peritoneal and pleural tuberculosis in an adult: A case report and literature review.

Concurrent peritoneal and pleural tuberculosis in an adult: A case report and literature review.

Background: The simultaneous involvement of the pleura and peritoneum with tuberculosis in the absence of pulmonary foci is an uncommon condition that may lead physicians to misdiagnose.

Case presentation: Herein, we present a Persian male adult who manifested with epigastric pain, weakness, and a history of pleuritic chest pain two months prior to admission. The findings of the physical examination included vital signs within the normal range, unilateral fine crackle in the lung, abdominal distension with positive shifting dullness, and fluid wave test. Analysis of the ascitic fluid revealed a Serum-ascites albumin gradient (SAAG) of less than 1.1g/dl, indicating a non-portal condition. The results of the acid-fast bacilli (AFB) staining as well as the TB polymerase chain reaction (PCR) test were negative. However, the adenosine deaminase (ADA) level was 44 IU/L. A chest CT scan revealed mediastinal lymph node enlargement and pleural thickening with loculated pleural effusion. Three acid-fast bacilli smear of morning sputum were sent, and all three were negative. An abdominopelvic CT scan showed multiple periaortic and mesenteric lymph nodes of varying sizes with mesenteric haziness and accumulation of effusion in the peritoneal cavity. Eventually, peritoneal biopsy, the gold standard, was performed, which revealed multiple granulomatous lesions and areas of caseous necrosis surrounded by Langerhans giant cells and epithelioid cells.

Conclusion: It is worth noting that in cases of ascites and pleural thickening, especially in patients with poor socioeconomic status, simultaneous pleural and peritoneal TB should be considered, especially in third-world countries.

求助全文
通过发布文献求助,成功后即可免费获取论文全文。 去求助
来源期刊
Caspian Journal of Internal Medicine
Caspian Journal of Internal Medicine MEDICINE, GENERAL & INTERNAL-
CiteScore
1.90
自引率
7.10%
发文量
90
审稿时长
20 weeks
×
引用
GB/T 7714-2015
复制
MLA
复制
APA
复制
导出至
BibTeX EndNote RefMan NoteFirst NoteExpress
×
提示
您的信息不完整,为了账户安全,请先补充。
现在去补充
×
提示
您因"违规操作"
具体请查看互助需知
我知道了
×
提示
确定
请完成安全验证×
copy
已复制链接
快去分享给好友吧!
我知道了
右上角分享
点击右上角分享
0
联系我们:info@booksci.cn Book学术提供免费学术资源搜索服务,方便国内外学者检索中英文文献。致力于提供最便捷和优质的服务体验。 Copyright © 2023 布克学术 All rights reserved.
京ICP备2023020795号-1
ghs 京公网安备 11010802042870号
Book学术文献互助
Book学术文献互助群
群 号:604180095
Book学术官方微信