最初出现在蝶窦、眶顶和颅底的免疫球蛋白D-Lambda多发性骨髓瘤:系统回顾与病例报告。

IF 0.7 Q4 CLINICAL NEUROLOGY
Journal of Neurological Surgery Reports Pub Date : 2024-09-16 eCollection Date: 2024-07-01 DOI:10.1055/s-0044-1790589
Yihan Chen, Jianfeng Liu, Jianhui Zhao
{"title":"最初出现在蝶窦、眶顶和颅底的免疫球蛋白D-Lambda多发性骨髓瘤:系统回顾与病例报告。","authors":"Yihan Chen, Jianfeng Liu, Jianhui Zhao","doi":"10.1055/s-0044-1790589","DOIUrl":null,"url":null,"abstract":"<p><p><b>Objectives</b>  Multiple myeloma (MM) with initial manifestations in the sphenoid sinus, orbital apex, and skull base is exceedingly rare. A systematic review was conducted to investigate the epidemiology and advancements <b>.</b> <b>Methods</b>  Relevant cases were identified by searching CNKI, WanFang Data, CQVIP databases, PubMed, Embase, and Web of Science. Additionally, we present a case of IgD-λ (immunoglobulin D-lambda) MM with initial symptoms of dizziness, unilateral pain, blindness, and ophthalmoplegia, leading to a 4-month overall survival. Strictly based on PRISMA standards, we included and summarized existing cases and reflected our case. <b>Results</b>  Our systematic review includes 34 case reports, revealing 67.6% of patients initially presented with diplopia and 44.1% underwent endoscopic procedures, notably with only two cases of IgD-λ subtype. In our case, we performed an endoscopic wide trans-ethmoidal sphenoidotomy and biopsy of the skull base and orbital apex lesion. Postoperative pathology confirmed a highly active plasmacytoma, clinically diagnosed as IgD-λ MM with a TP53 deletion mutation and multiple extramedullary metastases. A range of diagnostic tools was employed, including hemoglobin, immunoglobulin, urinary protein analysis, positron emission tomography-computed tomography (CT), bone marrow cytology, and gene detection. <b>Conclusion</b>  The subtle clinical manifestations of IgD-λ MM in the paranasal sinuses and skull base hinder early diagnosis. There is a paucity of literature describing MM initially presenting in these locations. CT/magnetic resonance scans are necessary to identify characteristic bone destruction. An endoscopic approach is popular for tissue biopsy. Bone marrow biopsy with a smear, serum or urine protein electrophoresis, and immunofixation electrophoresis are crucial upon the appearance of target organ damage.</p>","PeriodicalId":44256,"journal":{"name":"Journal of Neurological Surgery Reports","volume":"85 3","pages":"e144-e155"},"PeriodicalIF":0.7000,"publicationDate":"2024-09-16","publicationTypes":"Journal Article","fieldsOfStudy":null,"isOpenAccess":false,"openAccessPdf":"https://www.ncbi.nlm.nih.gov/pmc/articles/PMC11444811/pdf/","citationCount":"0","resultStr":"{\"title\":\"Immunoglobulin D-Lambda Multiple Myeloma Initially Presenting in the Sphenoid Sinus, Orbital Apex, and Skull Base: A Systematic Review with a Case Report.\",\"authors\":\"Yihan Chen, Jianfeng Liu, Jianhui Zhao\",\"doi\":\"10.1055/s-0044-1790589\",\"DOIUrl\":null,\"url\":null,\"abstract\":\"<p><p><b>Objectives</b>  Multiple myeloma (MM) with initial manifestations in the sphenoid sinus, orbital apex, and skull base is exceedingly rare. A systematic review was conducted to investigate the epidemiology and advancements <b>.</b> <b>Methods</b>  Relevant cases were identified by searching CNKI, WanFang Data, CQVIP databases, PubMed, Embase, and Web of Science. Additionally, we present a case of IgD-λ (immunoglobulin D-lambda) MM with initial symptoms of dizziness, unilateral pain, blindness, and ophthalmoplegia, leading to a 4-month overall survival. Strictly based on PRISMA standards, we included and summarized existing cases and reflected our case. <b>Results</b>  Our systematic review includes 34 case reports, revealing 67.6% of patients initially presented with diplopia and 44.1% underwent endoscopic procedures, notably with only two cases of IgD-λ subtype. In our case, we performed an endoscopic wide trans-ethmoidal sphenoidotomy and biopsy of the skull base and orbital apex lesion. Postoperative pathology confirmed a highly active plasmacytoma, clinically diagnosed as IgD-λ MM with a TP53 deletion mutation and multiple extramedullary metastases. A range of diagnostic tools was employed, including hemoglobin, immunoglobulin, urinary protein analysis, positron emission tomography-computed tomography (CT), bone marrow cytology, and gene detection. <b>Conclusion</b>  The subtle clinical manifestations of IgD-λ MM in the paranasal sinuses and skull base hinder early diagnosis. There is a paucity of literature describing MM initially presenting in these locations. CT/magnetic resonance scans are necessary to identify characteristic bone destruction. An endoscopic approach is popular for tissue biopsy. Bone marrow biopsy with a smear, serum or urine protein electrophoresis, and immunofixation electrophoresis are crucial upon the appearance of target organ damage.</p>\",\"PeriodicalId\":44256,\"journal\":{\"name\":\"Journal of Neurological Surgery Reports\",\"volume\":\"85 3\",\"pages\":\"e144-e155\"},\"PeriodicalIF\":0.7000,\"publicationDate\":\"2024-09-16\",\"publicationTypes\":\"Journal Article\",\"fieldsOfStudy\":null,\"isOpenAccess\":false,\"openAccessPdf\":\"https://www.ncbi.nlm.nih.gov/pmc/articles/PMC11444811/pdf/\",\"citationCount\":\"0\",\"resultStr\":null,\"platform\":\"Semanticscholar\",\"paperid\":null,\"PeriodicalName\":\"Journal of Neurological Surgery Reports\",\"FirstCategoryId\":\"1085\",\"ListUrlMain\":\"https://doi.org/10.1055/s-0044-1790589\",\"RegionNum\":0,\"RegionCategory\":null,\"ArticlePicture\":[],\"TitleCN\":null,\"AbstractTextCN\":null,\"PMCID\":null,\"EPubDate\":\"2024/7/1 0:00:00\",\"PubModel\":\"eCollection\",\"JCR\":\"Q4\",\"JCRName\":\"CLINICAL NEUROLOGY\",\"Score\":null,\"Total\":0}","platform":"Semanticscholar","paperid":null,"PeriodicalName":"Journal of Neurological Surgery Reports","FirstCategoryId":"1085","ListUrlMain":"https://doi.org/10.1055/s-0044-1790589","RegionNum":0,"RegionCategory":null,"ArticlePicture":[],"TitleCN":null,"AbstractTextCN":null,"PMCID":null,"EPubDate":"2024/7/1 0:00:00","PubModel":"eCollection","JCR":"Q4","JCRName":"CLINICAL NEUROLOGY","Score":null,"Total":0}
引用次数: 0

摘要

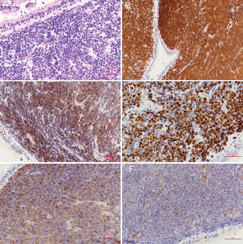
目标 最初表现在蝶窦、眶顶和颅底的多发性骨髓瘤(MM)极为罕见。本研究对其流行病学和研究进展进行了系统回顾。方法 通过检索 CNKI、万方数据、CQVIP 数据库、PubMed、Embase 和 Web of Science 来确定相关病例。此外,我们还发现了一例 IgD-λ(免疫球蛋白 D-lambda)MM,其最初症状为头晕、单侧疼痛、失明和眼球震颤,最终获得了 4 个月的总生存期。我们严格按照 PRISMA 标准纳入并总结了现有病例,并反映了我们的病例。结果 我们的系统综述包括 34 篇病例报告,发现 67.6% 的患者最初表现为复视,44.1% 的患者接受了内窥镜手术,其中只有两例为 IgD-λ 亚型。在我们的病例中,我们在内镜下进行了宽大的经蝶窦蝶窦切除术,并对颅底和眶顶病灶进行了活检。术后病理证实为高活性浆细胞瘤,临床诊断为IgD-λ MM,伴有TP53缺失突变和多发性髓外转移。采用了一系列诊断工具,包括血红蛋白、免疫球蛋白、尿蛋白分析、正电子发射断层扫描-计算机断层扫描(CT)、骨髓细胞学和基因检测。结论 鼻旁窦和颅底 IgD-λ MM 的临床表现不明显,妨碍了早期诊断。描述最初出现在这些部位的 MM 的文献很少。CT/磁共振扫描是确定特征性骨质破坏的必要手段。组织活检常用内窥镜方法。骨髓活检涂片、血清或尿蛋白电泳以及免疫固定电泳在出现靶器官损害时至关重要。
本文章由计算机程序翻译,如有差异,请以英文原文为准。

Immunoglobulin D-Lambda Multiple Myeloma Initially Presenting in the Sphenoid Sinus, Orbital Apex, and Skull Base: A Systematic Review with a Case Report.

Immunoglobulin D-Lambda Multiple Myeloma Initially Presenting in the Sphenoid Sinus, Orbital Apex, and Skull Base: A Systematic Review with a Case Report.

Immunoglobulin D-Lambda Multiple Myeloma Initially Presenting in the Sphenoid Sinus, Orbital Apex, and Skull Base: A Systematic Review with a Case Report.

Immunoglobulin D-Lambda Multiple Myeloma Initially Presenting in the Sphenoid Sinus, Orbital Apex, and Skull Base: A Systematic Review with a Case Report.

Objectives  Multiple myeloma (MM) with initial manifestations in the sphenoid sinus, orbital apex, and skull base is exceedingly rare. A systematic review was conducted to investigate the epidemiology and advancements . Methods  Relevant cases were identified by searching CNKI, WanFang Data, CQVIP databases, PubMed, Embase, and Web of Science. Additionally, we present a case of IgD-λ (immunoglobulin D-lambda) MM with initial symptoms of dizziness, unilateral pain, blindness, and ophthalmoplegia, leading to a 4-month overall survival. Strictly based on PRISMA standards, we included and summarized existing cases and reflected our case. Results  Our systematic review includes 34 case reports, revealing 67.6% of patients initially presented with diplopia and 44.1% underwent endoscopic procedures, notably with only two cases of IgD-λ subtype. In our case, we performed an endoscopic wide trans-ethmoidal sphenoidotomy and biopsy of the skull base and orbital apex lesion. Postoperative pathology confirmed a highly active plasmacytoma, clinically diagnosed as IgD-λ MM with a TP53 deletion mutation and multiple extramedullary metastases. A range of diagnostic tools was employed, including hemoglobin, immunoglobulin, urinary protein analysis, positron emission tomography-computed tomography (CT), bone marrow cytology, and gene detection. Conclusion  The subtle clinical manifestations of IgD-λ MM in the paranasal sinuses and skull base hinder early diagnosis. There is a paucity of literature describing MM initially presenting in these locations. CT/magnetic resonance scans are necessary to identify characteristic bone destruction. An endoscopic approach is popular for tissue biopsy. Bone marrow biopsy with a smear, serum or urine protein electrophoresis, and immunofixation electrophoresis are crucial upon the appearance of target organ damage.

求助全文
通过发布文献求助,成功后即可免费获取论文全文。 去求助
来源期刊
自引率
0.00%
发文量
31
审稿时长
12 weeks
×
引用
GB/T 7714-2015
复制
MLA
复制
APA
复制
导出至
BibTeX EndNote RefMan NoteFirst NoteExpress
×
提示
您的信息不完整,为了账户安全,请先补充。
现在去补充
×
提示
您因"违规操作"
具体请查看互助需知
我知道了
×
提示
确定
请完成安全验证×
copy
已复制链接
快去分享给好友吧!
我知道了
右上角分享
点击右上角分享
0
联系我们:info@booksci.cn Book学术提供免费学术资源搜索服务,方便国内外学者检索中英文文献。致力于提供最便捷和优质的服务体验。 Copyright © 2023 布克学术 All rights reserved.
京ICP备2023020795号-1
ghs 京公网安备 11010802042870号
Book学术文献互助
Book学术文献互助群
群 号:604180095
Book学术官方微信